Define Pulmonary embolism
what can cause pulmonary embolisms
What are the basic risk factors for pulmonary embolism
Virchow’s triad
–> hereditary or acquired (cancer, pregnancy, antithrombin)
–> immobility/cast, surgery, obesity, advanced age
–> SMOKING, ORAL CONTRACEPTIVES
–> major surgery, trauma, centra venous catheterization
describe the hemodynamic alterations that occur in pulmonary embolism
describe the compensatory mechanisms
–> stimulates increase in sympathetic tone resulting in systemic vasoconstriciton, increase venous return and ICNREASE STROKE VOLUME
describe most common clinical signs/symptoms
what are some late manifestations
Describe wells criteria
describe D-dimer
ECG results in Pulmonary embolism

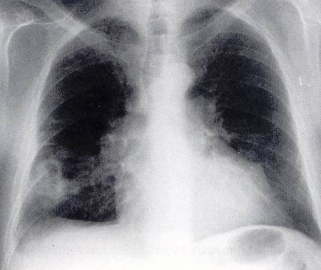
Chest X-ray findings in PE
–> pleural effusion, atelectasis, pulmonary infiltrates, mild elevation of the hemidiaphragm and frank pulmonary infarction may occur

CT angiography (CTA) findings in PE
Pulmonary arteriography findings in PE
describe lower extremity testing
–> positive compression ultrasound
–> impedance plethysmography
–> CT or MRI of lower extremities
describe TX of PE in hemodynamically stable pts
Tx of PE in hemodynamically UNSTABLE pts
describe the ongoing management and prevention of recurrent PE
- Anticoagulation is continued for 3 months
- longer duration with greater risks such as cancer, proximal DVT or idiopathic PE