CORNEA Flashcards

(490 cards)

1
Q

DEFINCIÓN ECTASIA CORNEALES

A

○ encorvamiento y adelgazamiento corneal, progresiva que genera astigmatismo irregular y disminución de función visual
○ Protrusión corneal progresiva (cambios en la curvatura de la córnea)
○ Adelgazamiento “no inflamatorio”
○ Distribución anormal del grosor corneal
○ Elevación posterior anormal
○ Bilateral, asimétrico (las secundarias pueden ser unilaterales)
○ Genera astigmatismo irregular + baja función visual

How well did you know this?
1
Not at all
2
3
4
5
Perfectly
2
Q

CLASIFICACIÓN CAUSAS ECTASIA

A

○ Primarias
■ Queratoglobo
■ Queratocono
■ Degeneración marginal pelúcida (DMP)
○ Secundarias = post Qx refractiva
■ LASIK
■ SMILE
■ Queratotomías Radiales

How well did you know this?
1
Not at all
2
3
4
5
Perfectly
3
Q

Signo de RIzzuti

A

enfoque de la luz dentro del limbo nasal cuando se ilumina con una linterna desde el lado temporal

How well did you know this?
1
Not at all
2
3
4
5
Perfectly
4
Q

Signo de Munson(SIGNO QUERATOCONO)

A

desviación inferior del contorno del párpado inferior en la infraversión

How well did you know this?
1
Not at all
2
3
4
5
Perfectly
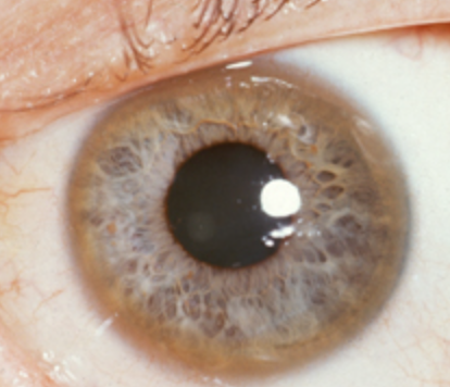
5
Q

Anillo de Fleischer(SIGNO QUERATOCONO)

A

Anillo café encontrado en la base del cono formado por disposición de hierro en el epitelio basal, que se vuelve más estrecho y bien definido con la progresión de la enfermedad

How well did you know this?
1
Not at all
2
3
4
5
Perfectly
6
Q

Estrías de Vogt

A

líneas finas y paralelas observadas en el estroma posterior en el ápice del cono, que desaparecen con la aplicación de presión externa

How well did you know this?
1
Not at all
2
3
4
5
Perfectly
7
Q

DIFERENCIAS QUERATOCONO/QUERATOGLOBO/DEGENERACIÓN MARGINAL PELUCIDA

A
How well did you know this?
1
Not at all
2
3
4
5
Perfectly
8
Q

SÍNDROMES GENÉTICOS ASOCIADOS

A

■ Floppy eye
■ leber
■ atópica
■ prolapso mitral
■ ehlers-danlos
■ down syndrome

How well did you know this?
1
Not at all
2
3
4
5
Perfectly
9
Q

RETINOSCOPIA QUERATOCONO

A

astigmatismo miópico irregular
■ reflejo en tijeras y signo de la gota (Charleux) → signo inespecífico temprano pero inespecífico

How well did you know this?
1
Not at all
2
3
4
5
Perfectly
10
Q

CLÍNICA QUERATOCONO

A

○ mala visión, distorsión, cambio graduación reciente y frecuente
- NO EXISTE LA FORMA UNILATERAL

How well did you know this?
1
Not at all
2
3
4
5
Perfectly
11
Q

2 tipos de pacientes queratocono

A

■ persona joven con historia de alegria, ha cambiado de lentes varias veces y aún con lentes no ve bien, desea cirugía refractiva
■ hidrops: fotofobia, ojo blanco, baja visual súbita (CD, MM) → así buscan por primera vez atención

How well did you know this?
1
Not at all
2
3
4
5
Perfectly
12
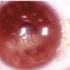
Q

IMAGENES SIGNOS QUERATOCONO

A
How well did you know this?
1
Not at all
2
3
4
5
Perfectly
13
Q

HIDROPS

A

○ Ocurre por ruptura de Descemet
○ Clínica: córnea toda protruida, cierre palpebral inadecuado, fotofobia, perforación
○ La mayoría quedan en leucoma y terminan en QPP

How well did you know this?
1
Not at all
2
3
4
5
Perfectly
14
Q

DIAGNÓSTICO TOPOGRAFICOS QUERATOCONO

A

■ elevación posterior anormal
■ distribución del grosor corneal anormal
■ adelgazamiento corneal no inflamatorio

How well did you know this?
1
Not at all
2
3
4
5
Perfectly
15
Q

MEJOR METODO DIAGNÓSTICO DE QUERATOCONO

A

Scheimpflug y OCT

How well did you know this?
1
Not at all
2
3
4
5
Perfectly
16
Q

CRITERIOS TOPOGRAFICOS QUERATOCONO ESPECIFIOCS

A
How well did you know this?
1
Not at all
2
3
4
5
Perfectly
17
Q

SEGUIMIENTO QUERATOCONO

A

Topografía corneal cada 6 meses (cada 4 si es niño, cada año si es adulto) los primeros 2 años, después anual

How well did you know this?
1
Not at all
2
3
4
5
Perfectly
18
Q

CRITERIOS DE PROGRESIÓN

A

■ aumento de curvatura posterior
■ aumento de curvatura anterior
■ adelgazamiento o aumento en los cambios de grosor de la periférica al punto más fina

  • SE NECESITAN 2 TOPOGRAFÍAS DEL MISMO TIPO
How well did you know this?
1
Not at all
2
3
4
5
Perfectly
19
Q

OPCIONES DE TRATAMIENTO

A

Evitar progresión(NO RUBBING)
* ● siempre tratar superficie, ojo seco o conjuntivitis alérgica
○ lubricante sin conservadores + antihistamínico + compresas frías

CROSSLINKIG
● Riboflavina + UVA → se usa iontoforesis para la riboflavina cargada atraviese mejor el epitelio corneal
● aplanamiento leve + estabilización corneal
● no hay edad límite → raro >40 años

Queratoplastia
● mala CV con LDC
● intolerancia a LDC
● hidrops que no resuelve
● mejor indicación para QPP, sobrevida del tej muy buena a largo plazo
● DALK

How well did you know this?
1
Not at all
2
3
4
5
Perfectly
20
Q

CONJUNTIVOCHALASIS DEFINCIÓN

A

● Tejido conjuntival redundante

How well did you know this?
1
Not at all
2
3
4
5
Perfectly
21
Q

CONJUNTIVOCHALASIS CLÍNICA

A

● Tejido conjuntival redundante

How well did you know this?
1
Not at all
2
3
4
5
Perfectly
22
Q

CONJUNTIVOCHALASIS FISIOPATOLOGÍA

A

○ elastosis con inflamación crónica no granulomatosa

How well did you know this?
1
Not at all
2
3
4
5
Perfectly
23
Q

CONJUNTIVOCHALASIS TRATAMIENTO

A

○ lubricantes, antihistamínicos, dosis cortas de esteroide
○ en casos de mucha molestia: cauterización y/o escisión

How well did you know this?
1
Not at all
2
3
4
5
Perfectly
24
Q

PTERIGIÓN FISIOPATOLOGIA

A

● degeneración basofílica de fibras elásticas que invade la córnea
● tejido fibrovascular que se extiende de conjuntiva (altamente vascular)

How well did you know this?
1
Not at all
2
3
4
5
Perfectly
25
PTERGIÓN EPIDEMIOLOGÍA
- 20 A 30 AÑOS - ASOCIADO A EXPOSICIÓN UV - MÁS COMÚN EN HOMBRES
26
GRADOS PTERGIÓN EN MM
○ <2 mm G1 ○ 2-4 mm G2 ○ >4 mm G3
27
Signos de alarma PTERIGIÓN
○ calcificaciones ○ leucoplasia ○ crecimiento rápido ○ vasos irregulares ○ OCT útil para diferenciar de NESO
28
SIGNOS DE PTERGIÓN
○ línea de Stocker → línea de hierro pigmentada delante del borde del pterigión ○ islas de fuchs → depósitos fibrosos que no están conectados a la cabeza
29
línea de Stocker
línea de hierro pigmentada delante del borde del pterigión
30
islas de fuchs
depósitos fibrosos que no están conectados a la cabeza
31
PTERIGIÓN RECURRENTE
○ post resección hay crecimiento de 1 a 1.5 mm ○ principalmente primeros 3-6 meses → seguimiento mínimo 12 meses
32
TRATAMIENTO PTERIGIÓN
BASES ○ protección rayos UV ○ lubricante ○ evitar uso prolongado de esteroide OPCIONES QUIRÚRGICA ○ esclera desnuda(MUCHA RECURRENCIA) ○ Autoinjerto conjuntival(■ sutura absorbible o pegamento tisular, recurrencia <15%) ○ Membrana amniótica(■ recurrencia similar al autoinjerto, PROPIEDAD ANTIIFLMATORIAS, SUPRIME TGF-B) ○ técnica PERFECT(BAJA RECURRENCIA, DIPLOPÍA TRANSITORIA)
33
PTERGIÓN Y NESO
34
ZONA DE PINGÜECULA
● nasal>temporal → de M3 y M9 ● masa elevada amarillo-blanquexina ● bilateral
35
FACTORES DE RIESGO PINGÜECULA
edad, Luz UV, polvo y viento
36
HSITOLOGIA PINGÜECULA
○ degeneración elastastica del colágeno subepitelial con tej conectivo hialinizado
37
TRATAMIENTO PINGÜECULA
○ subsecuentes ○ esteroide tópico ○ exéresis quirúrgica → inflamación crónica, falta de respuesta con el uso de
38
INDICIACIONES RESECCIÓN DE PTERIGIÓN
- muchos síntomas - inflamación conjuntival - baja visión por astigmatismo - obstrucción eje visual
39
MITOMICINA C PTERIGIÓN
puede disminuir frecuencia de recurrencia
40
Degeneración Salzmann
● nódulos subepiteliales, elevados, color gris-blanquecino o azul-blanquecino de aparición circular en la región central o paracentral de la córnea
41
Degeneración Salzmann DEFINCIÓN
● condición idiopática no inflamatoria ● mujeres edad media
42
Degeneración Salzmann FISIOPATOLOGIA
○ reemplazo de la capa de Bowman por material hialino y fibrilar ○ inflamación superficial crónica
43
Degeneración Salzmann FACTORES DE RIESGO
- ojo seco, sol - queratitis crónica - pannus - LDC duros
44
Degeneración Salzmann TRATAMIENTO
○ leve: lubricante ○ severo → baja AV, fotofobia o irritación = queratectomía superficial manual ○ queratectomía superficial, retiro nódulo, PTK, queratoplastia lamelar
45
Degeneración Salzmann variante(degeneración corneal subepitelial hipertrófica periférica)
○ mujeres, bilateral, periférica y simétrica ○ vascularización limbar superficial y pseudopterigion ○ sin inflamación activa de superficie ocular ○ esteroides dan alivio mínimo a irritación
46
Degeneración Esferoidea(otros nombres Queratopatía Actínica, Queratopatía Climática De Gotas, Distrofia Nodular De Bietti, Queratopatía Labrador)
● depósitos esferoidales traslúcidos color marrón dorado ○ estroma superficial, capa de Bowman, estroma anterior, conjuntiva
47
FACTORES DE RIESGO Degeneración Esferoidea
- exposicion UV - temperatura extrema
48
FORMA PRIMARIA DEGENERACIÓN ESFEROIDEA
○ bilateral ○ depósitos en córnea nasal y temporal ○ con la edad se puede extender a conjuntiva ○ NO se asocia a otras enfermedades oculares asociados a inflamación ○ si cruzan córnea forman queratopatía en banda no calcificada ○ Etiología: Luz UV o producción de material extracelular anormal en conjuntiva limbar
49
FORMA SECUNDARIA DEGENERACIÓN ESFEROIDEA
○ Asociada a lesiones oculares, inflamación o cicatrices corneales ○ Depósitos cerca de áreas vascularizadas o cicatrización corneal ○ Implica degeneración elastótica ○ FR: genética, rayos UV, edad, trauma ambiental
50
FORMA TERCIARIA DEGENERACIÓN ESFEROIDEA
- hallazgos conjuntivales asociados a pinguecula
51
TRATAMIENTO Degeneración Esferoidea
○ lubricación ○ queratectomía superficial ○ queratoplastia fototerapéutica con láser excimer ○ queratoplastia lamelar
52
Shagreen de cocodrilo(CONOCIDA COMO DEGENERACIÓN EN MOSAICO)
● También llamada degeneración en mosaico ● opacidad bilateral que parece piel de cocodrilo ● clasificación: ○ anterior y posterior ● opacidades grises en capa de Bowman separadas por zonas transparentes
53
Quiste de inclusión epitelial conjuntival
● transilumina ● conjuntiva bulbar o fondo de saco ● hallazgo incidental ● normalmente no requieren tx ○ si son sintomáticos se puede drenar en la lámpara de hendidura
54
Queratopatía en Banda DEFINCIÓN
● degeneración superficial de la córnea que involucra a la capa de Bowman ● depósitos basófilos, parecen polvo, finos, a nivel de la capa de Bowman
55
Queratopatía en Banda CAUSAS
56
TABLA COMPARATIVA DISTROFIAS
57
TUMORES CONJUNTIVALES
58
TUMOR CONJUNTIVAL MÁS COMUEN
es el carcinoma de células escamosas, melanoma y linfoma
59
CARCINOMA DE CÉLULAS ESCAMOSAS
60
CAUSA HIPERAGUDA DE CONJUNTIVITIS BACTERIA(<24 HORAS)
NEISSERIA GONORROEA
61
CAUSA AGUDA DE CONJUNTIVITIS BACTERIANA
S. PNEUMONIAE H. INFLUENZA B. HENSELAE
62
CRÓNICA
C. TRACOMATIS
63
CONJUNTIVITS FOLICULAR
- ADENOVIRUS - HERPES VIRUS - COVID-10
64
CAUSA INMUNOMEDIADES
- CONJUNTIVITS ALÉRGICA ESTACIONAL - CONJUNTIVITIS PAPILAR GIGANTE - QUERATOCONJUNTIVITS ATÓPICA
65
PAPILA
66
FÓLICULO
67
CUADRO CLÍNICO HIPERAGUDA
68
DIAGNÓSTICO CONJUNTIVITIS BACTERIANA
AGAR CHOCOLATE Y THAYER-MARTIN - SE OBSERVAN EN TINCIÓN DE GRAM DIPLOCOCOS GRAM -
69
TRATAMIENTO GONORREA
SISTÉMICO - SIN ULCERA: DOSIS UNICA CEFTRIAXONA - ULCERA: CEFTRIAXNO 1 GR IV CADA 12 HORAS POR 3 DÍAS/CIPROFLOXACINO
70
DONDE OCURRE EL ADELGAZAMIENTO CORNEAL
CENTRAL
71
TRATAMIENTO EN ETAPAS TEMPRANAS PARA EVITAR PROGRESIÓN EN EL QUERATOCONO
CROSS LINKING
72
MECANISMO DE ACCIÓN DEL CROSS LINKING
AUMENTA ENLACES COVALENTES
73
ADENOVIRUS 8,19, 37
SE ASOCIA A QUERATONCOJUNTIVITS EPIDEMIRCA
74
MICROORGANISMO ASOCIADO A QUERATITIS CRISTALINIANA
S. VIRIDIANS
75
PROTEÍNA DE LA CUAL DEPENDE A LA TRANSPARENCIA DE LA CÓRNEA
DECORINA
76
MECANISMO DE ACCIÓN DE LA CICLOSPORINA
inhibición de la producción de citocinas implicadas en la regulación de la activación de los linfocitos T.
77
CONTRAINDICACIÓN USO DE ESTEROIDES EN QUERATITIS HERPÉTICA
QUERATITIS EPITELIAL
78
CARACTERÍSTICA MÁS ESPECIFICA DE LA QUERARITIS HERPÉTICA
DENDRITAS CORNEALES
79
VOLUMEN DE LA LÁGRIMA
7-10 MCL
80
FUNCIÓN DE LA QUERATOMETRÍAS EN LA QX REFRACTIVA
MEDIR CURVATURA
81
TINCIÓN DE HONGOS
KOH
82
GUTTAS EN FUCHS
CONCRESCENCIA DE LA DESCEMET AL ENDOTELIO
83
MÉTODO DIAGNÓSTICO EN FUCHS PARA DENSIS DE CÉLULAS ENDOTELIALES
MICROSCOPIA CONFOCAL
84
AGENTE CAUSA DE CONJUNTIVAS BACTERIAN AGUDA EN NIÑOS
Haemophilus influenzae
85
AGENTE CAUSA DE CONJUNTIVAS BACTERIAN AGUDA EN ADULTOS
Streptococcus pneumoniae
86
CUADRO CLÍNICO DE CONJUNTIVITIS BACTERIANA AGUDA
87
DIAGNÓSTICO CONJUNTIVITIS BACTERIANA AGUDA
MAYORMENTE CLÍNICO
88
Tratamiento CONJUNTIVITIS BACTERIANA AGUDA
- Mayoría autolimitado y no requieren tratamiento resuelven de 2 a 7 días - Iniciar antibióticos en el día 3 o 4 reducir el uso de antibióticos
89
Síndrome oculoglandular de Parinaud CUADRO CLÍNICO
1. Conjuntivitis granulomatosa 2. Linfadenopatía regional 3. 3-10 días posterior a inoculación
90
Síndrome oculoglandular de Parinaud Agente causal
Bartonella henselae
91
Síndrome oculoglandular de Parinaud Cuadro clínico
Lesión granulomatosa en conjuntiva Linfadenopatía preauricular y submandibular Nodulos supurativo
92
Síndrome oculoglandular de Parinaud DIAGNÓSTICO
ELISA →Ac anti Bartonella henselae PCR → Bartonella henselae
93
Conjuntivitis secundaria a Chlamydia trachomatis
1. Síntomas leves por meses o semanas 2. Folicular 3. Ausencia de membranas
94
Cuadro clínico Chlamydia trachomatis
- Reacción folicular en conjuntiva tarsal - Reacción folicular en conjuntiva bulbar y plica semilunar - Micropannus - Infiltrados epiteliales y subepitelilaes
95
Diagnóstico Chlamydia trachomatis
- Clínico - Diagnósticos laboratorio: Observación directa de bacterias intracelulares en tinción de Giemsa Inmunofluorescencia directa PCR Chlamydia trachomatis
96
Tratamiento Chlamydia trachomatis
* Azitromicina 1 gr dosis única Otras opciones * Doxiciclina 100 mg cada 12 horas por 7 días. * Tetraciclina 250 mg cada 6 horas por 7 días. * Eritromicina 500 mg cada 6 horas por 7 días
97
Tracoma
Agente causal →Chlamydia trachomatis serotipos A-C
98
ESTADIOS TRACOMA
1. CONJUNTIVITIS FOLICULAR 2. Hipertrofia papilar difusa infiltrado linfocítico 3. Cicatrización de conjuntiva tarsal 4. Pestañas aberrantes 5. Opacificación corneal
99
CONJUNTIVITIS FOLICULAR TRACOMA(ESTADIO 1)
PREDOMINA EN CONJUNTIVA SUPERIOR
100
Hipertrofia papilar difusa infiltrado linfocítico(estadio 2 tracoma)
101
Cicatrización de conjuntiva tarsal(estadio 3 tracoma)
102
Pestañas aberrantes(estadio 4 tracoma)
103
Opacificación corneal(estadio 5)
104
TRATAMIENTO TRACOMA
* Azitromicina 1 gr dosis única Otras opciones * Doxiciclina 100 mg cada 12 horas por 2 semanas. * Tetraciclina 1.5 a 2 g por 3 semanas . Eritromicina tópica y traciclina 1% tópica * Medidas de higiene estrictas*
105
Ophthalmia neonatorum AGENTE CAUSAL
Agente causal → Chlamydia trachomatis, Neisseria gonorrhoeae y bacterias del tracto intestinal y la piel (Staphylococcus, Streptococcus y Gram -) Virus = Herpes Simplex Virus
106
Ophthalmia neonatorum AGENTE CAUSAL(DIAGNÓSTICO DIFERENCIAL)
107
Ophthalmia neonatorum NEISSERIA
108
Ophthalmia neonatorum NEISSERIA TRATAMIENTO
- Tratamiento : Ceftriaxona de 25 a 50 mg/kg/24 h, con un máximo de 125 mg. - Alternativo: Cefotaxima 100 mg/kg en dosis única Irrigación ocular frecuente con solución salina isotónica estéril
109
Chlamydia trachomatis NEONATAL
110
Chlamydia trachomatis NEONATAL TRATAMIENTO
Tratamiento : Eritromicina oral 50 mg/kg/24 h durante dos semanas. - Adyuvante : Eritromicina tópica Irrigación ocular frecuente con solución salina isotónica estéril
111
PROFILAXIS CONJUNTIVITIS NEONATAL
- Tetraciclina en ungüento al 1% - Eritromicina en ungüento al 0,5% - Yodopovidona 2.5% - Nitrato de plata
112
Conjuntivitis epidémica(AGENTE CAUSAL)
Adenovirus serotipos 8, 19, 37
113
Conjuntivitis epidémica CUADRO CLÍNICO
1. Autolimitada 2. Folicular 3. Altamente contagiosa
114
Fiebre faringoconjuntival AGENTE CAUSAL
Adenovirus serotipos 3, 4, 7
115
MEMBRANAS Y PSEUDOMEMBRANAS
Fibrina + Vasos Linfáticos + Vasos sanguíneos
116
Conjuntivitis aguda hemorrágica ETIOLOGÍA
Enterovirus 70, Coxsackievirus A24
117
Conjuntivitis aguda hemorrágica CUADRO CLÍNICO
1. Folicular súbita. 2. Múltiples petequias hemorrágicas en conjuntiva bulbar y tarsal. 3. Altamente contagioso
118
Conjuntivitis aguda hemorrágica Tratamiento
119
Conjuntivitis alérgica estacional
1. Papilar leve. 2. Asociado a síntomas rinitis alérgica 3. Patrones estacionales → Primavera y Verano
120
Conjuntivitis alérgica estacional TRATAMIENTO
121
Conjuntivitis alérgica estacional TRATAMIENTO TÓPICO
122
Conjuntivitis papilar gigante
1. Papilar severa 2. Papilas >3.0 mm 3. Asociado a uso de lentes de contacto, suturas expuestas,cirugías filtrantes de glaucoma , usuarios de prótesis oculares
123
Conjuntivitis papilar gigante CUADRO CLÍNICO
124
Conjuntivitis papilar gigante TRATAMIENTO
125
Queratoconjuntivitis vernal
Cuadro de conjuntivitis: 1. Papilar severa . 2. Patrones estacionales 3. Historia de atopias: rinitis alérgica, asma, eczema
126
ULCERA EN ESCUDO CONJUNTIVITIS VERNAL
ASOCIADA AL ROCE DE LAS PAPILAS CON LA CÓRNEA
127
TIPO DE TUMORES CONJUNTIVALES
Tipo * Benignos 52% * Premalignos 18% * Malignos 30%
128
ORIGEN DE TUMORES CONJUNTIVALES
* Epitelial * Melanocítico * Linfoide
129
Más frecuentes TUMORES CONJUNTIVALES
* Nevo 23% * NESO 14% * MAP 12% * Melanoma 12% * Tumor linfoide 9%
130
Papiloma CONJUNTIVAL
*Tumor epitelial benigno con bajo riesgo de malignidad
131
SITIOS MÁS COMUNES Papiloma CONJUNTIVAL
*Niños: Pedunculados, fondo de saco inferior *Adultos: Sésiles, conjuntiva bulbar
132
Papiloma CONJUNTIVAL MANEJO
*Médico *Crioterapia (no en limbo) *Dinitroclorobenzeno (DNCB) *Interferon alfa IM *Interferon alfa 2B tópico *MMC *Cimetidina VO *Quirúrgico *Láser CO2: lesiones recalcitrantes *Escisión papilomas limbales: descartar malignidad
133
NESO(NeoplasiaEscamosa de la Superfice Ocular)
* Neoplasia intraepitelial conjuntival (NIC) * Carcinoma de células escamosas
134
NESO Epidemiología
* Hombres mayores, blancos * Incidencia 0.03 a 1.0 por 100,000 personas/año
135
FACTORES DE RIESGO NESO
* Radiación solar crónica * Deficiencia inmune (VIH, transplantes, enfermedades autoinmunes) * Xeroderma pigmentoso * Exposición a humo de tabaco * VPH * Lesión de superficie ocular * Deficiencia de vitamina A
136
NESO CLÍNICA
Clínica * Tumor unilateral gelatinoso vascularizado * En áreas de exposición al sol (interpalpebral) * Otras características: leucoplaquia, vasos nutricios, infiltración espumosa * Amarillo-rosa
137
NIC (Neoplasia intraepitelial conjuntiva)
NO PASA LA MEMBRANA BASAL
138
Carcinoma escamoso CONJUNTIVAL
*Pasa membrana basal e invade tejido subconjuntival accediendo a vasos linfáticos *Potencial metastático (raro: <1%) *Lesión exofitica, sésil o pedunculada, interpalpebral, cercana al limbo, crecimiento lento
139
DIAGNÓSTICO DIFERENCIAL NESO
140
TRATAMIENTO NESO
* Resección quirúrgica con técnica “no touch” * Quimioterapia tópica * Antiviral tópico * Cidofovir * Terapia fotodinámica
140
Nevo
* Lesión benigna * Plana o ligeramente elevada en conjuntiva bulbar interpalpebral, poco pigmentada, móvil * Suele pigmentarse y tener quistes en 2º década de la vida * Transformación maligna <1%
141
Nevo con atipia
* Precanceroso * >40 años * Asociado a cambios en morfología (aumento de tamaño o pigmentación) * Sin tratamiento suele evolucionar a melanoma * Diagnóstico histopatológico
142
Melanosis Adquirida Primaria
Adultos, blancos Clínica * Pigmentación sutil, plana, multicéntrica, unilateral, difusa (incluye fondo de saco y conjuntiva tarsal) * Velocidad de progresión variable (años) Riesgo de progresión a melanoma en MAP con atipia 70 a 80%
143
¿Cuál es la definición más precisa de ectasia corneal?
Adelgazamiento no inflamatorio con protrusión progresiva
144
2. ¿Cuál de las siguientes es una ectasia corneal primaria?
Queratoglobo
145
3. ¿Qué hallazgo en la retinoscopía sugiere queratocono?
Reflejo en tijeras
146
El signo de Munson se refiere a:
Desviación del párpado inferior en infraversión
147
¿Cuál es el mejor método diagnóstico para queratocono subclínico?
Elevación posterior con Scheimpflug u OCT
148
¿Qué factor de riesgo tiene un odds ratio de 6.42 para queratocono?
Antecedente familiar positivo
149
En el tratamiento inicial del queratocono, se prefiere
Lentes de contacto rígidos permeables
150
¿Qué combinación describe mejor la fisiopatología del pterigión?
Mutación p53 + angiogénesis + invasión de células conjuntivales
151
¿Cuál es el signo característico del pterigión?
Línea de Stocker
152
¿Qué técnica quirúrgica para pterigión tiene menor tasa de recurrencia?
injerto conjuntival con pegamento
153
La pingüécula es más frecuente en:
Zona nasal
154
12. La degeneración Salzmann se asocia principalmente a:
Ojo seco y queratitis crónica
155
¿Cuál de las siguientes NO es típica de degeneración esferoidea?
A) Depósitos esferoidales marrón-dorados B) Ubicación en estroma profundo C) Asociación a UV D) Afectación nasal y temporal ✅ Respuesta correcta: B
156
14. ¿Qué hallazgo corresponde al Shagreen de cocodrilo?
A) Opacidades estromales puntiformes B) Opacidades con apariencia de piel de cocodrilo C) Estrías en forma de peine D) Vasos neoformados ✅ Respuesta correcta: B
157
16. El tumor conjuntival más frecuente es:
C) Carcinoma escamoso
157
¿Qué es un pseudopterigión?
C) Adherencia conjuntival post-traumática
158
17. ¿Qué subtipo de papiloma conjuntival es más frecuente en niños?
C) Pedunculado
159
18. El VPH asociado a papilomas pedunculados es principalmente:
B) 6 y 11
160
20. El tratamiento de primera línea para un hemangioma capilar infantil es:
B) Propranolol
161
19. ¿Cuál de los siguientes tumores conjuntivales tiene mayor potencial metastásico?
C) Carcinoma mucoepidermoide
162
21. ¿Cuál es el microorganismo más relacionado con conjuntivitis hiperaguda purulenta?
C) Neisseria gonorrhoeae
163
22. La conjuntivitis gonocócica se caracteriza principalmente por:
C) Secreción purulenta masiva y edema severo
164
23. ¿Qué agente es causa del síndrome oculoglandular de Parinaud?
A) Bartonella henselae
165
24. El tracoma se asocia con serotipos de Chlamydia:
C) A–C
166
25. ¿Cuál es la primera causa de ceguera prevenible en países subdesarrollados?
D) Tracoma
167
26. ¿Cuál de estos serotipos de adenovirus produce fiebre faringoconjuntival?
B) 3, 4, 7
168
27. ¿Qué característica distingue a la membrana conjuntival verdadera de la pseudomembrana?
B) La verdadera sangra al retirarla
169
28. ¿Cuál es la causa más frecuente de conjuntivitis neonatal grave?
C) Neisseria gonorrhoeae
170
29. ¿Qué técnica es adecuada para profilaxis de oftalmia neonatorum?
C) Eritromicina al 0.5%
171
30. ¿Qué serotipo de Chlamydia causa conjuntivitis de inclusión en adultos?
B) D–K
172
31. ¿Cuál es la presentación clínica más frecuente en la queratoconjuntivitis vernal?
B) Papilas gigantes tarsales
173
32. ¿Qué hallazgo típico aparece en la forma limbar de la queratoconjuntivitis vernal?
C) Puntos de Horner–Trantas
174
33. ¿Cuál es la causa más frecuente de queratitis bacteriana?
D) Estafilococo aureus
175
34. El factor de riesgo número uno para queratitis bacteriana es:
C) Lentes de contacto
176
35. ¿Qué microorganismo causa úlceras dendríticas en la córnea?
B) Herpes simple
177
36. ¿Qué hallazgo clínico diferencia queratitis herpética simple de queratitis herpética zoster?
A) Pseudodendritas
178
37. ¿Qué antifúngico tópico de primera línea se utiliza en Fusarium?
C) Natamicina
179
38. ¿Qué técnica de diagnóstico rápido es útil para detectar hongos en la córnea?
D) KOH
180
39. ¿Cuál es el microorganismo más frecuente en queratitis asociada a lentes de contacto?
C) Pseudomonas aeruginosa
181
40. En Acanthamoeba, el hallazgo casi patognomónico es:
C) Queratoneruritis radial
182
¿Cuál de las siguientes opciones NO se asocia como factor de riesgo de queratitis micótica?
A) Trauma vegetal B) Uso prolongado de esteroides tópicos C) Cirugía corneal previa D) Cirugía de retina ✅ Respuesta correcta: D
183
42. El agente causal más común de queratitis micótica filamentosa en México es:
C) Fusarium
184
43. ¿Qué signo clínico orienta a pensar en queratitis fúngica?
D) Infiltrado satélite
185
44. ¿Qué tinción es más útil para observar hifas en queratitis fúngica?
B) PAS
186
45. ¿Qué es la queratopatía neurotrófica?
C) Alteración trófica por denervación corneal
187
46. ¿Cuál es la complicación más temida de un hidrops corneal en queratocono?
C) Perforación corneal
188
47. ¿Cuál es el hallazgo característico del signo de Rizzuti?
B) Enfoque luminoso en limbo nasal
189
48. ¿Qué indica la presencia de un anillo de Fleischer?
A) Pigmento de hierro en la base del cono
190
49. ¿Qué sustancia se utiliza en el crosslinking corneal?
A) Riboflavina + UVA
191
50. ¿Cuál es el protocolo de seguimiento en queratocono para progresión?
C) Topografía cada 6 meses los 2 primeros años
192
51. ¿Qué indica la línea de Stocker?
A) Línea de hierro delante del borde de un pterigión
193
52. ¿Qué complicación se asocia al uso de esclera desnuda en cirugía de pterigión?
A) Bajo índice de recurrencia B) Necrosis escleral C) Falta de epitelización corneal D) Solo B y C son correctas ✅ Respuesta correcta: D
194
53. ¿Cuál de los siguientes tumores conjuntivales tiene mayor potencial de invasión intraocular?
A) Papiloma B) Nevus C) Carcinoma escamoso invasivo D) Granuloma piógeno ✅ Respuesta correcta: C
195
54. ¿Qué lesión se asocia a la activación de mutación p53 inducida por UV?
C) Pterigión
196
55. ¿Cuál de los siguientes factores es más frecuente en tumores melanocíticos de conjuntiva con riesgo de melanoma?
C) Vasos nutricios
197
56. ¿Cuál de las siguientes NO es criterio de progresión en queratocono?
A) Aumento de curvatura posterior B) Aumento de grosor periférico C) Aumento de curvatura anterior D) Adelgazamiento progresivo ✅ Respuesta correcta: B
198
57. El pterigión recurre principalmente en los primeros:
B) 3–6 meses
199
58. La degeneración Salzmann puede tratarse quirúrgicamente con:
B) Queratectomía superficial
200
59. ¿Qué microorganismo es más frecuente en queratitis micobacteriana post-LASIK?
B) M. fortuitum
201
60. ¿Qué parámetro paquimétrico mínimo se recomienda para implante de anillos intracorneales en queratocono?
B) 450 micras
202
62. La recurrencia postquirúrgica del pterigión suele asociarse principalmente a:
C) Reactivación del proceso inflamatorio
203
63. La técnica PERFECT para pterigión tiene como ventaja:
B) Baja recurrencia y menor necesidad de ayudante
204
64. ¿Qué se recomienda hacer en un paciente con catarata y pterigión importante?
B) Operar pterigión primero
205
65. ¿Qué complicación puede ocurrir al usar mitomicina C en cirugía de pterigión?
C) Necrosis escleral
206
66. ¿Qué hallazgo histológico caracteriza a la pingüécula?
A) Degeneración elastótica subepitelial
207
67. El pseudopterigión se distingue del pterigión clásico porque:
C) Respeta la zona limbar
208
68. ¿Cuál es la localización típica de los depósitos de degeneración esferoidea?
B) Nasal y temporal
209
69. ¿Cuál es otro nombre de la degeneración esferoidea?
A) Queratompatía climática de gotas
210
70. La queratopatía en banda afecta principalmente:
D) Capa de Bowman
211
71. ¿Cuál es la causa más frecuente de quemadura química ocular?
B) Alcalis
212
72. ¿Qué lesión suele observarse tras quemadura química grave?
B) Pannus vascular
213
73. El tratamiento inicial en quemadura química ocular incluye:
C) Irrigación abundante
214
74. ¿Qué sustancia se emplea en lubricantes para ojo seco severo?
✅ Respuesta correcta: D
215
75. En síndrome de ojo seco, la fisiopatología involucra principalmente:
B) Inflamación y disfunción lagrimal
216
76. ¿Cuál de los siguientes NO es criterio diagnóstico de ojo seco?
A) Osmolaridad elevada B) Ruptura lagrimal precoz C) Paquimetría corneal aumentada D) Inflamación de la superficie ocular ✅ Respuesta correcta: C
217
77. ¿Qué técnica refractiva consiste en ablación superficial de la córnea?
C) PRK
218
78. ¿Cuál es la complicación más temida del LASIK?
C) Ectasia corneal
219
79. ¿Qué capa corneal se preserva en la queratoplastia lamelar anterior profunda (DALK)?
C) Endotelio
220
80. La queratoplastia endotelial (DMEK) sustituye principalmente:
B) Células endoteliales y Descemet
221
81. ¿Cuál es la indicación principal de queratoplastia penetrante en queratocono?
C) Intolerancia a lentes de contacto
222
82. ¿Qué fórmula para cálculo de lente intraocular se prefiere en queratocono leve?
C) SRK II
223
83. ¿Qué alteración se observa en la paquimetría de un paciente con queratocono avanzado?
B) Adelgazamiento central
224
84. ¿Qué dato es más confiable para el diagnóstico subclínico de queratocono?
C) Elevación posterior
225
85. ¿Cuál es la distrofia corneal más frecuente en edad adulta?
C) Fuchs
226
87. ¿Cuál es la indicación quirúrgica más frecuente en distrofia de Fuchs?
B) DMEK
227
86. En la distrofia de Fuchs, ¿qué hallazgo clínico aparece en la etapa temprana?
C) Guttas centrales
228
88. ¿Cuál es el patrón hereditario de la distrofia corneal macular?
B) Autosómica recesiva
229
89. ¿Qué tipo de depósitos aparecen en la distrofia granular tipo 1?
B) Hialinos
230
90. ¿Cuál de las siguientes NO es típica de la distrofia de Schnyder?
A) Cristales subepiteliales B) Asociación a hipocolesterolemia C) Haze estromal D) Arco lipoide ✅ Respuesta correcta: B
231
91. ¿Qué hallazgo define la distrofia de Lattice?
C) Líneas refráctiles ramificadas
232
92. ¿Qué tinción identifica depósitos amiloides en la distrofia de Lattice?
D) Rojo Congo
233
93. En la distrofia endotelial de Fuchs, ¿qué sintomatología es característica al despertar?
A) Visión borrosa matutina
234
94. ¿Qué patrón de herencia tiene la distrofia polimorfa posterior?
B) Autosómica dominante
235
95. ¿Qué hallazgo se asocia a la distrofia corneal de Fleck?
A) Opacidades discoides tipo caspa
236
97. ¿Qué técnica de queratoplastia sustituye solamente el endotelio y la Descemet?
C) DMEK
237
96. ¿Qué estructura se afecta en la distrofia congénita hereditaria endotelial?
C) Endotelio
238
98. ¿Cuál de los siguientes es un hallazgo típico de queratopatía en banda?
A) Depósitos basófilos
239
99. ¿Qué complicación es frecuente en la queratitis herpética estromal inmunomediada?
C) Opacidades cicatriciales
240
100. ¿Cuál es el tratamiento de primera línea para úlcera dendrítica herpética?
C) Aciclovir
241
101. ¿Cuál es la capa corneal afectada principalmente en la queratopatía bullosa?
D) Endotelio
242
102. En la queratitis bacteriana por Pseudomonas, ¿qué hallazgo clínico destaca?
B) Infiltrado mucopurulento adherente
243
103. ¿Qué tipo de queratoplastia se indica en descemetocele?
PK
244
105. ¿Cuál es el reservorio más frecuente de Acanthamoeba?
C) Agua contaminada
245
104. El uso prolongado de lentes de contacto se relaciona más con:
B) Queratitis bacteriana
246
106. ¿Qué hallazgo en microscopía confocal sugiere Acanthamoeba?
B) Quistes con doble pared
247
107. ¿Qué hallazgo distingue la queratitis micobacteriana?
C) Infiltrado no supurativo persistente
248
110. ¿Qué medicamento suele producir depósitos corneales en forma de vórtice (verticillata)?
A) Amiodarona
248
109. ¿Cuál de las siguientes NO corresponde a una distrofia estromal?
A) Macular B) Schnyder C) Fuchs D) Lattice ✅ Respuesta correcta: C
249
108. El tratamiento de primera línea para Fusarium en queratitis micótica es:
C) Natamicina
250
111. ¿Cuál es el patrón de herencia de la distrofia de Meesmann?
A) Autosómica dominante
251
112. ¿Qué hallazgo clínico caracteriza la distrofia gelatinosa en forma de gota?
A) Nódulos subepiteliales amiloides
252
113. ¿Qué agente etiológico se asocia a queratoconjuntivitis epidémica?
B) Adenovirus
253
114. En conjuntivitis hemorrágica aguda, ¿qué virus destaca?
B) Enterovirus 70
254
115. ¿Qué nombre recibe la inflamación conjuntival asociada a exposición UV crónica?
C) Pterigión
255
116. ¿Cuál es la edad de mayor presentación del queratocono?
B) Adolescencia–20 años
256
118. ¿Qué técnica de topografía evalúa mejor la elevación posterior?
C) Scheimpflug
257
117. ¿Cuál es la indicación de los anillos intracorneales en queratocono?
C) Aplanar la córnea y mejorar tolerancia a LDC
258
119. En el tratamiento del síndrome de ojo seco, ¿cuál medida farmacológica se usa como antiinflamatorio?
B) Inmunosupresores como ciclosporina
259
120. La distrofia corneal amorfa posterior se caracteriza por:
A) Haze difuso
260
121. ¿Qué capa corneal se afecta en el Shagreen de cocodrilo?
Bowman
261
122. La queratopatía actínica es sinónimo de:
B) Degeneración esferoidea
262
123. ¿Cuál es el tratamiento de elección para distrofia de membrana basal epitelial sintomática?
B) Desbridamiento epitelial
263
125. ¿Qué mutación está asociada a la distrofia de Fuchs?
C) COL8A2
263
124. ¿Qué hallazgo describe la distrofia epitelial de Meesmann?
A) Vesículas intraepiteliales
264
126. ¿Cuál de los siguientes describe mejor la distrofia polimorfa posterior?
B) Autosómica dominante, no progresiva
265
127. ¿Cuál es el agente más asociado a queratitis por biofilm en cirugía corneal?
B) Micobacterias
266
128. ¿Cuál es la indicación de la terapia fotodinámica en tumores conjuntivales?
C) NESO refractarios
267
129. La queratopatía neurotrófica aparece principalmente por lesión de:
B) Nervio trigémino
268
130. ¿Qué virus se asocia a papilomas pedunculados conjuntivales?
C) VPH 6 y 11
269
131. ¿Qué medicamento se emplea para quimioterapia tópica en NESO?
B) 5-fluorouracilo
270
132. ¿Cuál de estos no es un factor de mal pronóstico en melanoma conjuntival?
A) Localización carúncula B) Grosor >2 mm C) Asociación a PAM D) Pigmento uniforme ✅ Respuesta correcta: D
271
133. ¿Cuál de estos virus NO está relacionado con conjuntivitis folicular epidémica?
D) Herpes simple
272
134. El síndrome de Parinaud se relaciona con:
C) Bartonella henselae
273
135. ¿Cuál es la complicación más grave de la oftalmia neonatorum gonocócica?
C) Perforación corneal
274
136. ¿Qué tinción se utiliza para identificar lesiones precancerosas conjuntivales?
C) Rosa de Bengala
275
137. ¿Qué hallazgo NO corresponde a la distrofia de Avellino?
A) Opacidades hialinas B) Líneas de lattice C) Depósitos amiloides D) Cristales subepiteliales ✅ Respuesta correcta: D
276
138. ¿Qué tipo de respuesta inmunológica predomina en queratitis herpética estromal?
C) CD4 con citocinas
277
139. El test de Shirmer evalúa principalmente:
B) Volumen lagrimal basal
278
140. ¿Qué procedimiento se considera de rescate en perforaciones corneales grandes?
C) Queratoplastia penetrante
279
141. ¿Qué serotipo de adenovirus produce con mayor frecuencia queratoconjuntivitis epidémica?
B) 8
280
142. ¿Qué alteración corneal secundaria es frecuente en conjuntivitis vernal crónica?
B) Queratocono
281
143. ¿Qué estructura corneal se afecta primero en queratitis por Fusarium?
D) Epitelio
282
144. ¿Cuál es el porcentaje aproximado de complicaciones infecciosas en cirugía refractiva?
A) <0.1%
283
145. ¿Cuál es la tinción de elección para hongos filamentosos en córnea?
C) PAS
284
146. ¿Cuál es la acción de la riboflavina en crosslinking?
B) Fotosensibilizante
285
147. ¿Cuál es la principal vía de transmisión de conjuntivitis de inclusión por Chlamydia?
C) Fómites y contacto directo
286
148. ¿Qué hallazgo define la distrofia epitelial de Lisch?
C) Opacidades radiales en flama
287
149. ¿Qué microorganismo produce placas inflamatorias endoteliales y necrosis estromal en úlceras corneales?
B) Pseudomonas aeruginosa
288
150. ¿Qué nombre recibe la tinción de coloración de mucopolisacáridos en distrofia macular?
B) Azul alcian
289
152. ¿Cuál de estos NO es un factor de riesgo para queratitis micótica?
A) Trauma vegetal B) Cirugía refractiva C) Uso prolongado de esteroides D) Ojo seco severo ✅ Respuesta correcta: D
290
151. ¿Qué virus ocasiona conjuntivitis hemorrágica aguda epidémica?
C) Enterovirus 70
291
153. ¿Cuál de estos hallazgos NO sugiere progresión de queratocono?
A) Aumento de curvatura posterior B) Adelgazamiento periférico C) Aumento del grosor corneal D) Aumento de curvatura anterior ✅ Respuesta correcta: C
292
154. ¿Cuál es el objetivo del crosslinking corneal?
C) Estabilizar el adelgazamiento progresivo
293
155. ¿Qué estructura corneal corresponde a la cicatriz leucomatosa en queratocono?
C) Estroma profundo
294
156. ¿Qué tinción identifica bacterias intracelulares en conjuntivitis por Chlamydia?
A) Giemsa
295
157. ¿Cuál es el hallazgo más frecuente en distrofia endotelial polimorfa posterior?
B) Opacidades geográficas en Descemet
296
158. ¿Qué factor incrementa el riesgo de progresión de queratocono durante el embarazo?
C) Cambios hormonales
297
159. En qué procedimiento se recomienda mayor precaución para evitar ablación irregular en córneas delgadas:
PRK
298
160. ¿Qué hallazgo esperas en una queratitis herpética estromal inmunomediada?
C) Infiltrados estromales sin defecto epitelial
299
162. ¿Qué hallazgo clínico orienta a Acanthamoeba en etapas tardías?
C) Infiltrado anular
300
163. ¿Qué agente se asocia con queratitis micótica levaduriforme?
C) Candida
301
164. En la queratitis micótica, ¿qué dato orienta a lesión filamentosa?
C) Bordes filamentosos y satélites
302
165. ¿Cuál de los siguientes factores NO incrementa riesgo de queratitis bacteriana?
A) Trauma corneal B) Lentes de contacto C) Cirugía refractiva D) Paquimetría gruesa ✅ Respuesta correcta: D
303
166. ¿Qué se observa en el patrón topográfico del queratocono?
C) Adelgazamiento inferior
304
167. ¿Cuál es el tratamiento inicial para queratitis bacteriana severa?
C) Antibiótico de amplio espectro
305
168. ¿Qué hallazgo caracteriza la distrofia de Reis-Bücklers?
C) Opacidades geográficas en Bowman
306
169. ¿Qué capa corneal se afecta en la distrofia de Thiel-Behnke?
B) Bowman
307
170. ¿Cuál es la complicación más frecuente del hidrops corneal?
C) Perforación corneal
308
171. ¿Cuál es el microorganismo más relacionado con queratopatía cristalina infecciosa?
B) Micobacterias y anaerobios
309
172. ¿Cuál es la complicación más frecuente del uso prolongado de lentes de contacto?
C) Queratitis infecciosa
310
173. ¿Qué tipo de células se pierden principalmente en la distrofia de Fuchs?
C) Células endoteliales
311
174. ¿Qué virus produce lesiones corneales con pseudodendritas?
C) Herpes zoster
312
175. ¿Cuál es la principal complicación visual del pterigión?
B) Astigmatismo irregular
313
176. ¿Qué característica tiene la distrofia gelatinosa en forma de gota?
C) Depósitos amiloides subepiteliales
314
177. ¿Cuál es la base del tratamiento médico de la queratopatía neurotrófica?
C) Protección epitelial y lubricación
315
178. ¿Qué hallazgo esperas en la topografía de un paciente con degeneración marginal pelúcida?
B) Adelgazamiento inferior periférico
316
179. ¿Qué hallazgo define la distrofia Schnyder?
A) Depósitos de colesterol
317
180. ¿Qué procedimiento es ideal para tratar la queratopatía bullosa con fibrosis superficial avanzada?
D) PK
318
182. ¿Cuál es el componente clave en la formación de anillo de Fleischer?
B) Hierro
319
181. ¿Qué técnica refractiva utiliza extracción de lentícula?
C) SMILE
320
183. ¿Qué hallazgo NO corresponde a conjuntivitis por adenovirus?
A) Infiltrados subepiteliales B) Secreción purulenta C) Folículos D) Pseudomembranas ✅ Respuesta correcta: B
321
184. ¿Qué virus produce fiebre faringoconjuntival?
B) Adenovirus
322
185. ¿Cuál es el hallazgo característico de la queratitis disciforme?
B) Edema estromal central circular
323
186. ¿Qué agente se cultiva mejor en agar Sabouraud?
C) Hongos
324
187. ¿Cuál de los siguientes agentes no invade epitelio intacto?
D) Adenovirus
325
188. ¿Qué estructura se reemplaza en DALK?
A) Estroma
326
189. ¿Qué microorganismo se aísla con agar no nutritivo con E. coli?
C) Acanthamoeba
327
190. ¿Qué alteración describe la queratitis epitelial herpética?
A) Úlcera geográfica
328
191. ¿Qué hallazgo define la distrofia granular tipo 2?
C) Copos de nieve y líneas cortas tipo lattice
329
192. ¿Qué característica tienen las pseudomembranas?
B) No sangran al retirarse
330
193. ¿Cuál es el tratamiento inicial de un paciente con quemadura química ocular severa?
B) Irrigación abundante inmediata
331
194. ¿Qué hallazgo histológico presenta la degeneración Salzmann?
A) Depósitos hialinos subepiteliales
332
195. ¿Cuál es el síntoma más frecuente en queratocono?
C) Visión borrosa con cambios frecuentes de graduación
333
197. ¿Cuál es el hallazgo característico en queratitis por herpes zoster?
B) Pseudodendritas
334
198. ¿Qué indica el signo de Munson?
B) Ectasia severa con desviación del párpado
335
199. ¿Qué factor se asocia a mayor riesgo de recurrencia de pterigión?
B) Técnica de esclera desnuda
336
200. ¿Cuál es la técnica quirúrgica más conservadora para distrofia de Bowman superficial?
C) PTK
337
201. ¿Qué hallazgo es característico de degeneración marginal pelúcida?
C) Adelgazamiento inferior periférico
338
202. ¿Qué técnica diagnóstica detecta mejor la elevación posterior en ectasias?
D) Tomografía corneal (Scheimpflug)
339
203. ¿Qué alteración topográfica se observa en queratocono avanzado?
C) Patrón asimétrico inferior con elevación posterior
340
204. ¿Cuál es el pilar fundamental en la fisiopatología del queratocono?
B) Alteración del colágeno y matriz extracelular
341
205. ¿Cuál de los siguientes hallazgos NO es típico de degeneración esferoidea?
C) Lesiones profundas estromales
342
206. ¿Qué hallazgo clínico define el signo de Rizzuti?
A) Luz reflejada en limbo nasal por protrusión corneal
343
207. ¿Cuál es la indicación de crosslinking corneal?
C) Frenar progresión ectásica
344
208. ¿Qué hallazgo es típico de la distrofia de Fuchs en etapas iniciales?
C) Guttas centrales
345
209. ¿Qué estructura se sustituye en la queratoplastia endotelial (DMEK)?
D) Descemet + endotelio
346
210. ¿Qué hallazgo define la distrofia macular?
C) Depósitos mucopolisacáridos
347
211. ¿Qué procedimiento se indica en úlcera corneal con riesgo inminente de perforación?
C) Injerto tectónico
348
212. ¿Qué estructura se preserva en la queratoplastia lamelar anterior profunda?
C) Endotelio
349
213. ¿Cuál es el principal efecto secundario de la mitomicina C en cirugía de pterigión?
C) Necrosis escleral
350
214. ¿Qué célula produce la matriz estromal corneal?
C) Queratocito
351
215. ¿Qué virus produce lesiones conjuntivales tipo folicular con membranas?
A) Adenovirus
352
216. ¿Qué hallazgo topográfico indica progresión de ectasia?
B) Aumento de K máximo
353
217. ¿Qué factor ambiental es más relacionado con progresión de queratocono?
C) Frotamiento ocular crónico
354
218. ¿Cuál es el síntoma más frecuente en queratitis infecciosa?
A) Dolor
355
219. ¿Cuál es la complicación más frecuente tras queratoplastia penetrante?
C) Rechazo endotelial
356
220. ¿Qué hallazgo se ve en la distrofia Schnyder?
B) Cristales de colesterol
357
221. ¿Cuál es la capa más afectada en la distrofia granular?
B) Estroma
358
222. ¿Qué hallazgo NO se relaciona con queratitis herpética estromal?
A) Infiltrado estromal sin defecto epitelial B) Hipopion purulento C) Nubes estromales D) Vasos profundos ✅ Respuesta correcta: B
359
223. ¿Cuál de las siguientes es una indicación de queratoplastia penetrante urgente?
A) Astigmatismo irregular B) Leucoma central C) Perforación corneal D) Ectasia subclínica ✅ Respuesta correcta: C
360
224. ¿Qué agente produce úlceras dendríticas corneales?
B) VHS
361
225. ¿Qué estudio diagnostica mejor la densidad celular endotelial?
C) Microscopía especular
362
226. ¿Cuál es el síntoma más frecuente en degeneración marginal pelúcida?
C) Visión borrosa
363
227. ¿Qué signo orienta a distrofia polimorfa posterior?
B) Vesículas endoteliales
364
228. ¿Qué factor NO se asocia a progresión de queratocono?
A) Rubbing ocular B) Atopia C) Cirugía refractiva D) Hipertensión ocular ✅ Respuesta correcta: D
365
229. ¿Cuál es la función de la riboflavina en crosslinking?
B) Absorber UVA para inducir enlaces de colágeno
366
230. ¿Qué capa se ve afectada en la distrofia de Meesmann?
C) Epitelio
367
231. ¿Qué hallazgo NO esperas en distrofia macular?
A) Opacidades centrales B) Depósitos de mucopolisacáridos C) Vesículas endoteliales D) Opacidades difusas ✅ Respuesta correcta: C
368
232. ¿Qué técnica diagnóstica confirma queratitis por Acanthamoeba?
C) Cultivo en agar no nutritivo con E. coli
369
233. ¿Cuál es la localización más frecuente de pingüécula?
D) Nasal
370
234. ¿Qué agente es más frecuente en queratitis por lentes de contacto?
C) Pseudomonas
371
235. ¿Qué virus produce queratitis con infiltrados numulares?
A) Adenovirus
372
236. ¿Cuál es la indicación de PRK en córneas finas?
A) Evitar flap
373
237. ¿Qué hallazgo clínico se observa en la queratitis disciforme?
374
A) Edema estromal central circular
375
238. ¿Cuál de las siguientes describe mejor a la distrofia polimorfa posterior?
B) Autosómica dominante, estable
376
239. ¿Qué estructura permite la transparencia corneal?
B) Disposición regular del colágeno
377
240. ¿Qué tratamiento disminuye la inflamación crónica en ojo seco?
C) Corticoides o ciclosporina
378
241. ¿Cuál es la complicación más frecuente del injerto conjuntival en pterigión?
A) Recurrencia
379
242. ¿Qué agente NO invade epitelio intacto normalmente?
D) Estafilococo
380
243. ¿Qué estructura corneal está ausente en la zona del pterigión?
C) Bowman
381
244. ¿Qué técnica refractiva implica mayor riesgo de ectasia corneal?
C) LASIK
382
245. ¿Qué capa de la córnea se conserva en DALK?
A) Endotelio
383
246. ¿Qué fármaco se utiliza para reducir vascularización en pterigión recidivante?
B) MMC
384
247. ¿Qué factor ambiental influye más en la formación de pingüécula?
B) Radiación ultravioleta
385
248. ¿Qué hallazgo define la queratopatía en banda?
A) Depósitos basófilos en Bowman
386
249. ¿Qué alteración epitelial ocurre en distrofia de Meesmann?
B) Quistes intraepiteliales
387
250. ¿Qué hallazgo clínico orienta a queratitis micótica?
C) Infiltrado con bordes mal definidos y satélites
388
253. ¿Cuál es el hallazgo de la queratitis disciforme herpética?
C) Edema estromal central con pliegues en Descemet
389
255. ¿Cuál es el agente más frecuente en queratitis bacteriana?
C) Estafilococo aureus
390
256. ¿Qué hallazgo clínico se asocia a queratitis herpética epitelial?
B) Úlcera dendrítica
391
258. ¿Qué test mide la estabilidad de la película lagrimal?
C) BUT (tiempo de ruptura lagrimal)
392
260. ¿Qué capa de la córnea forma la mayor parte de su grosor?
C) Estroma
393
283. ¿Qué lesión conjuntival pigmentada tiene mayor potencial de transformación maligna?
B) Melanosis adquirida primaria con atipia (PAM con atipia)
394
284. ¿Qué tumor conjuntival tiene mayor tendencia a invadir intraocular?
B) Carcinoma escamoso invasivo
395
285. ¿Cuál es el tratamiento de primera línea en carcinoma conjuntival in situ (NESO)?
C) Escisión amplia + crioterapia
396
286. ¿Cuál es la localización más frecuente del carcinoma escamoso conjuntival?
B) Zona nasal interpalpebral
397
287. ¿Cuál es el factor de riesgo ambiental más importante para carcinoma conjuntival?
B) Radiación ultravioleta
398
288. ¿Qué lesión conjuntival tiene la apariencia de masa vascular roja, de crecimiento rápido tras trauma?
C) Granuloma piógeno
399
289. ¿Cuál es el principal factor pronóstico en el melanoma conjuntival?
C) Grosor y localización
400
290. ¿Qué técnica complementaria ayuda a estadificar un melanoma conjuntival?
D) Resonancia magnética orbitaria
401
291. ¿Qué tumor conjuntival presenta patrón de vasos “en fresa”?
D) Hemangioma capilar
402
292. ¿Cuál de los siguientes NO se considera lesión precursora de melanoma?
A) PAM con atipia B) Nevus adquirido C) Melanosis racial D) Nevus congénito gigante ✅ Respuesta correcta: C
403
293. ¿Cuál es el tratamiento tópico más usado como adyuvante en NESO?
A) Interferón alfa 2b
404
294. ¿Qué variante de carcinoma conjuntival presenta mayor agresividad?
A) Interferón alfa 2b
405
294. ¿Qué variante de carcinoma conjuntival presenta mayor agresividad?
C) Mucoepidermoide
406
295. ¿Qué lesión benigna de conjuntiva suele ser multilobulada y gelatinosa?
B) Papiloma
407
296. ¿Qué tumor conjuntival se asocia frecuentemente a linfoma sistémico?
C) Linfoma MALT
408
297. ¿Cuál es el hallazgo histológico del melanoma conjuntival?
C) Proliferación de melanocitos atípicos con invasión estromal
409
298. ¿Qué tinción ayuda a identificar células neoplásicas en carcinoma conjuntival?
C) Inmunohistoquímica p53
410
299. ¿Qué agente tópico puede usarse como quimioterapia para carcinoma conjuntival?
B) Mitomicina C
411
300. ¿Cuál de estos NO es criterio de mal pronóstico en melanoma conjuntival?
A) Extensión a fórnix B) Localización palpebral C) Tamaño pequeño D) Engrosamiento >2 mm ✅ Respuesta correcta: C
412
1. ¿Cuál es la principal característica clínica de una perforación corneal?
C) Comunicación entre el ambiente y la cámara anterior
413
2. ¿Qué prueba confirma clínicamente la fuga de humor acuoso en una perforación?
B) Prueba de Seidel
414
3. ¿Cuál es la causa más frecuente de perforación corneal en países en vías de desarrollo?
C) Queratitis bacteriana
415
4. ¿Qué agente perfora con mayor frecuencia la córnea en países desarrollados?
C) Herpes simple
416
5. ¿Cuál de los siguientes microorganismos puede atravesar córnea intacta?
C) Corynebacterium diphtheriae
417
6. ¿Cuál es la primera medida en el manejo inicial de una perforación corneal?
D) Evitar compresión ocular
418
7. ¿Qué antibiótico sistémico se indica de inicio en perforación corneal?
C) Fluoroquinolona de 4ª generación
419
8. En una perforación menor a 2 mm, ¿qué técnica se considera de primera elección?
C) Pegamento tisular con LDC terapéutico
420
9. ¿Qué material se utiliza en pegamentos biológicos para perforaciones corneales?
Fibrina
421
10. ¿Cuál es la indicación para un parche córneo-escleral tectónico?
C) Perforaciones periféricas de 3–5 mm
422
11. ¿Qué técnica quirúrgica restaura la integridad del globo en perforaciones amplias y profundas?
C) Queratoplastia penetrante
423
12. ¿Qué complicación esperas en una perforación corneal que no se trata oportunamente?
C) Endoftalmitis
424
13. ¿Cuál es la principal indicación de una membrana amniótica en perforación corneal?
C) Perforaciones con riesgo de rechazo al injerto
425
14. ¿Qué microorganismo es causa frecuente de perforación micótica?
D) Fusarium
426
15. ¿Cuál es un factor predisponente a perforación en ojo seco severo?
C) Hipoestesia corneal
427
16. ¿Qué mecanismo inmunológico puede causar perforación no infecciosa?
A) Vasculitis con liberación de colagenasas
428
17. ¿Qué hallazgo clínico es característico en perforaciones traumáticas?
C) Prolapso de iris o tejido uveal
429
18. ¿Qué sutura se prefiere para injerto tectónico en perforaciones periféricas?
C) Nylon 10-0
430
19. ¿Cuál es el papel de los lentes de contacto terapéuticos en perforación?
C) Favorecer la reepitelización y protección
431
20. ¿Cuál de los siguientes agentes se emplea para control antiinflamatorio en perforaciones autoinmunes?
C) Ciclosporina sistémica
432
Microorganismos que penetran córnea intacta
Neisseria Shigella Listeria Corynebacterium diphteriae Haemophilus aegyptius
433
1. ¿Qué significa etimológicamente el término topografía?
C) Descripción de un lugar
434
2. ¿Qué estructura NO evalúa la queratoscopía con disco de Plácido?
C) Elevación posterior
435
3. ¿Cuál de las siguientes técnicas permite evaluar la cara posterior de la córnea?
C) Tomografía de coherencia óptica
436
4. ¿Qué principio óptico emplea la cámara de Scheimpflug?
C) Captura en cortes con inclinación
437
5. ¿Qué parámetro NO puede aportar el disco de Plácido?
C) Paquimetría
438
7. ¿Qué tipo de mapa topográfico valora principalmente la distribución de la potencia dióptrica?
D) Sagital o axial
439
8. ¿Cuál de las siguientes ventajas tiene la topografía de elevación por barrido láser?
C) Mayor área de cobertura
440
9. ¿Qué tecnología compara el tiempo de retorno de luz infrarroja?
A) Tomografía de coherencia óptica
441
10. ¿Cuál de estas aplicaciones clínicas NO corresponde a la topografía corneal?
A) Diagnóstico de queratocono B) Detección de ectasias C) Estudio de cámara vítrea D) Evaluación pre-LASIK ✅ Respuesta correcta: C
442
11. ¿Qué parámetro se considera más temprano en el queratocono subclínico?
B) Elevación posterior
443
12. ¿Qué define el índice KISA%?
C) Asimetría de superficie corneal
444
13. Un valor KISA% mayor a 100% indica:
D) Queratometría franca de queratocono
445
14. ¿Qué define la estadificación de Belin ABCD?
C) Elevación posterior, grosor, curvatura y visión
446
15. En la proyección de Belin Ambrosio, ¿cuál es un hallazgo de progresión?
C) Kmax aumenta más de 1 D
447
16. En el Pentacam, ¿qué significa un índice Df mayor a 1.6?
B) Sospechoso de ectasia
448
17. ¿Qué parámetro del Pentacam es más confiable para detectar irregularidad posterior?
C) Mapa de elevación
449
18. En el análisis del “moño astigmático”, ¿qué NO se debe encontrar?
A) Simetría B) Ortogonalidad C) Enantiomorfismo D) Desviación mayor de 30° ✅ Respuesta correcta: D
450
19. ¿Cuál de los siguientes mapas topográficos muestra mejor cambios localizados?
C) Mapa tangencial
451
20. ¿Qué diferencia en micras entre el punto más fino y el ápex corneal se considera normal?
A) <10 micras
452
21. ¿Qué diferencia en grosor entre el centro y la periferia suele considerarse anormal?
D) >100 micras
453
22. ¿Cuál es el valor de Kmax sospechoso en queratocono según la presentación?
D) >47.2 D
454
23. ¿Qué valor I/S (inferior-superior) mayor orienta a queratocono?
C) 1.4 D
455
24. ¿Qué ventaja ofrece la tomografía sobre la simple topografía?
C) Reconstrucción 3D de todo el segmento anterior
456
25. ¿Qué define el término enantiomorfismo en topografía?
B) Simetría entre ambos ojos
457
26. ¿Qué utilidad tiene la cámara de Scheimpflug?
C) Captar imágenes seccionadas con buena profundidad
458
27. ¿Qué dato NO corresponde a un hallazgo de progresión en queratocono?
A) Adelgazamiento periférico B) Kmax estable C) Aumento de elevación posterior D) Adelgazamiento en el punto más delgado ✅ Respuesta correcta: B
459
28. ¿Qué ayuda a predecir el riesgo de ectasia en cirugía refractiva?
D) Topografía corneal anormal
460
29. ¿Qué diferencia S/I en micras orienta a queratocono según la presentación?
C) >30 micras
461
30. ¿Cuál de estos sistemas integra mapas de paquimetría, elevación y curvatura en el mismo estudio?
C) Pentacam
462
● ONCOCITOMA
○ tumor benigno ○ células ductales y acinares de la glándula lagrimal ○ viejitos
463
● CARCINOMA SEBÁCEO
○ >50 años (en jóvenes si tienen antecedente de radioterapia) ○ clínica ■ simulan chalazión o blefaroconjuntivitis unilateral crónica ■ invasión conjuntiva 50% ■ invasión córnea 25%
464
● MELANOCITOSIS
○ Parches de conjuntiva con pigmentación gris pizarra ○ unilateral e inmovil ○ seguimiento semestral
465
○ Hemangioma cavernoso
■ tumor orbitario más común en adultos
466
467
468
469
470
471
472
473
474
475
476
477
478
479
480
480
481
482
483
484
485