Cours 2 Flashcards

(52 cards)

1
Q

Que ce sont les lésions?

A

Ce sont des altérations morphologiques des organes, décelables par tout moyen d’observation. Elles sont des signes de maladie, tout comme les symptômes cliniques.

How well did you know this?
1
Not at all
2
3
4
5
Perfectly
2
Q

Les lésions peuvent être le résultat de quoi?

A
  1. De l’agression qui a déclenché la maladie
  2. Des réactions apparues au cours du déroulement du processus morbide
How well did you know this?
1
Not at all
2
3
4
5
Perfectly
3
Q

À quoi correspond une lésion élémentaire?

A

À l’altération morphologique d’une structure analysée isolément

How well did you know this?
1
Not at all
2
3
4
5
Perfectly
4
Q

Qu’est-ce qu’un ensemble lésionnel?

A

L’association des différentes lésions élémentaires

How well did you know this?
1
Not at all
2
3
4
5
Perfectly
5
Q

Sur quoi est fondée la démarche de l’anatomie pathologique?

A

Une analyse sémiologique qui compare les tissus normaux et les tissus pathologiques

How well did you know this?
1
Not at all
2
3
4
5
Perfectly
6
Q

Qu’est-ce qui est indispensable pour permettre une interprétation synthétique qui aboutit à un diagnostic

A

Une corrélation anatomoclinique (les lésions sont confrontées aux données cliniques, biologiques et d’imagerie)

How well did you know this?
1
Not at all
2
3
4
5
Perfectly
7
Q

Quel est le but de l’anatomocytopathologie dans la pratique médicale?

A

Elle permet d’élaborer le diagnostic par la démarche anatomoclinique

How well did you know this?
1
Not at all
2
3
4
5
Perfectly
8
Q

Comment l’anatomocytopathologie permet d’élaborer une diagnostic en pratique médicale?

A
  1. les lésions sont analysées et décrites dans un compte rendu, puis l’anatomopathologiste doit intégrer l’ensemble des faits morphologiques et des renseignements clniques pour, en conclusion du compte-rendu, affirmer un diagnostic ou proposer
    une hypothèse diagnostiques
  2. Préciser le prognostic en apportant des éléments utiles, en particulier dans le domaine de la pathologie tumorale
  3. Évaluer l’effet des thérapeutiques; les examens anatomocytopathologiques sont renouvelés au cours d’un traitement afin de juger de la disparation, de la persistance ou de l’aggravation des lésions
How well did you know this?
1
Not at all
2
3
4
5
Perfectly
9
Q

De quelles manières les cellules isolées, ou les petits amas cellulaires, peuvent-ils être obtenus?

A
  1. Recueil des liquides spontanément émis (urine,
    expectoration, fistule, drain);
  2. Raclage, brassage, écouvillonnage, aspiration des cellules desquamant spontanément (Bulle cutanéomuqueuse,
    bronches, voies biliaires, aspiration après lavage bronchoalvéolaire)

Googler pas bulle cutanéomuqueuse c’est dégueulasse

  1. Ponction à l’aiguille d’un liquide (épanchement de séreuse ou articulaire, kyste, collection) avec ou sans contrôle écho-ou scannographique, liquide céphalo-rachidien
  2. Ponction à l’aiguille d’un organe ou d’une tumeur (ganglion, nodule, thyroïdien ou mammaire) avec ou sans contrôle échographique ou scannographique
  3. Apposition d’un tissu (pièce opératoire, biopsie) sur une lame
How well did you know this?
1
Not at all
2
3
4
5
Perfectly
10
Q

Qui a été le premier à développer un microscope en 1595?

A

Zacharia Iansen (mais il l’utilisait pas vraiment)

How well did you know this?
1
Not at all
2
3
4
5
Perfectly
11
Q

Qui a été a inventé le mot cellule en 1675?

A

Robert Hooke en regardant des parois cellulaires de cellules végétales du liège qui lui rappelait les cellules (chambre) des religieux

How well did you know this?
1
Not at all
2
3
4
5
Perfectly
12
Q

Qui regardait du sperm d’animal au microscope?

A

Antoine Van Leeuwenhoek

How well did you know this?
1
Not at all
2
3
4
5
Perfectly
13
Q

Qui était Antoine van Leeuwenhoek?

A

Un businessman qui utilisait un tout petit microscope pour regarder la qualité des tissus

How well did you know this?
1
Not at all
2
3
4
5
Perfectly
14
Q

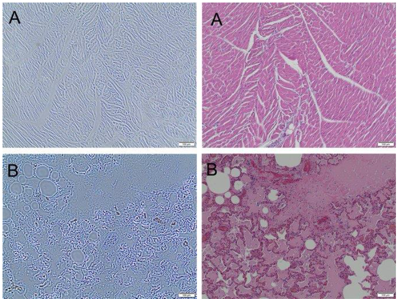
Que peut-on voir dans les images A et B?

A

A) du muscle
B) Un poumon infecté avec du tissu inflammatoire

Ça nous démontre l’important d’utiliser la coloration pour mieux voir les structures

How well did you know this?
1
Not at all
2
3
4
5
Perfectly
15
Q

Quelle est la technique la plus couramment utilisée en histologie animale et en anatomie pathologique de routine?

A

Coloration hématoxyline-éosine

How well did you know this?
1
Not at all
2
3
4
5
Perfectly
16
Q

Le colorant basique, l’hématoxyline, colore quoi?

A

Les structures acides en bleu violacé

How well did you know this?
1
Not at all
2
3
4
5
Perfectly
17
Q

Quelles structures ont une forte affinité pour l’hématoxyline et pourquoi?

A

Les noyaux, ribosome et RER, car elles sont riches en ADN et ARN

How well did you know this?
1
Not at all
2
3
4
5
Perfectly
18
Q

Le colorant acide, éosine, colore quoi?

A

Les structures basiques en rouge ou en rose

How well did you know this?
1
Not at all
2
3
4
5
Perfectly
19
Q

Comme la plupart des protéines cytoplasmiques sont basiques, elles colorent quoi?

A

Le cytoplasme des cellules en rose ou rouge rosé

How well did you know this?
1
Not at all
2
3
4
5
Perfectly
20
Q

En général lorsque la coloration par He est appliqué à des cellules animales, à quoi cela ressemble-t’il?

A

Les noyaux sont colorés en bleu violet
et le cytoplasme en rose/rouge

Ex en photo: Cellules du pancréas

How well did you know this?
1
Not at all
2
3
4
5
Perfectly
21
Q

Que peut-on voir sur l’image suivante?

A

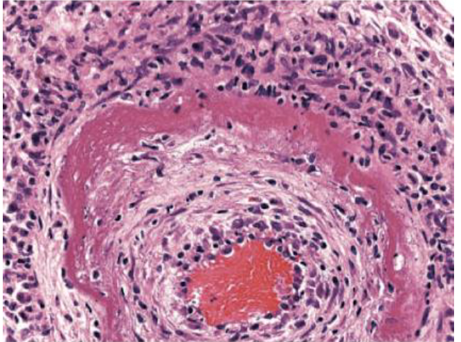
Un vaisseau sanguin (rond rouge) avec de la fibrose qui s’est accumulée autour (le rose foncé c’est le colorant accumulé sur la fibrose)

22
Q

Selon la coloration Van Gieson, de quelles couleurs sont les différentes structures?

A

collagène = en rouge
noyaux = bleu
érythrocytes et cytoplasme = jaune

23
Q

Quand la coloration Van Gieson est couplée avec une coloration des fibres élastique, quelle couleur se rajoute ?

A

La teinte bleu-noire pour colorer l’élastine

24
Q

Quand est-ce que la coloration Van Gieson + la coloration des fibres élastiques est utilisée?

A

Particulièrement, pour étudier les vaisseaux sanguins et la constitution de la peau

25
Nommer les deux types de colorations utilisées ici dans le derme papillaire et réticulaire
À Gauche: Hématoxyline et éosine (H & E) À droite: Coloration vangieson avec coloration des fibres élastine
26
Que colore (et de quelle couleur) la technique de Periodic acid-Schiff (PAS)?
La mucine produit par les cellules caliciformes des tractus gastro-intestinal et respiratoire en magenta Quand la mucine est colorée on dit que c'est PAS-positive
27
Outre la mucine, nommer d'autres structures qui sont PAS-positives
- Membranes basales - Bordures en brosse du tubule rénal, de l'intestin grêle et du gros intestin - cartilage et collagène -Glycogène -Complexes d'hydrates de carbone
28
Qu'est-ce qui est une forme de stockage des hydrates de carbone dans des cellules comme les hépatocytes et les cellules musculaires et qui est PAS-positive?
le glycogène
29
Quel est l'intérêt du Periodic acid-Schiff?
- Permet la compréhension de la structure et de la fonction des cellules et des tissus - En anatomie pathologique dans le diagnostic de lésions tissulaires
30
Que représentent les images A et B et quelle coloration est utilisée?
A: Foie normal avec réserve de glycogène B: Fibrose au niveau du foie Coloration à l'acide périodique de Schiff (PAS)
31
Que colore le bleu Acian?
Certains types de mucine, mais PAS TOUS, et le cartilage
32
Le bleu Acian est un colorant pouvant être combiné à quelles autres méthode de coloration?
He et Van Gieson
33
Que représente cette image?
Cellules caliciforme de l'appareil respiratoire qui produise des mucines et donc colorées au bleu Acian
34
Quelle technique est aussi appelée coloration du tissu conjonctif?
Trichrome de Masson
35
Qu'est-ce que le Trichrome de Masson mets en évidence?
Les éléments du tissu de soutien, en particulier le collagène
36
Quelles sont les 3 couleurs utilisées dans le trichrome de Masson et que colorent-elles?
1. Bleu = noyaux et structures basophiles 2. Bleu-Vert = Collagène (couleur dépend selon variante utilisée) 3. Rouge = cytoplasmes, muscles, érythrocytes et kératine
37
Comment visualise-t'on l'hypertrophie cardiaque en histologie?
- Les myocytes cardiaques sont agrandis avec des formes bizarres et des noyaux pléiotropes. - Les myocytes cardiaque sont en dérangement, avec une perte d'alignement parallèle normal en raison de l'orientation aléatoire des myocytes hyperthropiques ce qui donne un aspect tourbillonnant à l'architecture myocardique , avec une prédilection pour la cloison interventriculaire hypertrophiée.
38
V/F: Un désordre myocytaire sévère et étendu a été observé à l'autopsie chez les patients chez qui une mort cardiaque subite s'est produite.
Vrai
39
Que représentent les 4 images suivantes?
A : Section myocardiaque mince normale en H & E B: Cardiomyopathie hypertrophique en H & E C: même chose qu'en B, mais plus zoomé D: Encore comme en B, mais avec coloration au Trichrome de Masson, ce qui fait ressortir le tissu fibreux. On voit donc des zones de fibroses interstitielles
40
Que représentent ces images?
À Gauche: Tractus veine porte d'un foie normal À droite: FIbrose portale ou fibrose périportale du foie (on arrive à peine à différencier la veine porte)
41
Que représente cette image?
Une fibrose péricellulaire stéatohépatique (un type de fibrose graisseuse) On voit sur l'image avec les flèches que les cellules sont entourées de fibrose (en mauve)
42
Que représentent ces images?
Trois exemples de cirrhose de l’hépatite C montrant différents degrés de dépôt de fibrose
43
Le trichrome de Goldner s'applique à quel type de coupe?
À des coupes en résine acrylique d’os non décalcifié pour distinguer l'os minéralisé de l'ostéoide non-minéralisé
44
V/F: Grâce à son composant hématoxylique, le Trichrome de Masson colore également les noyaux des ostéoblastes, des ostéocytes, des ostéoclastes et des cellules médullaires
FAUX, Trichrome de Goldner
45
Que colorent la coloration d'Azan?
Le tissu conjonctif, mais également les fins détails cytologiques notamment au niveau des épithéliums
46
Quelles sont les couleurs utilisées dans la coloration d'Azan et que colorent-elles?
Rouge = noyaux Bleus= collagène, membranes basales, mucine orangée/rouge = fibres musculaires et hématies
47
L'acide osmique (osmium) colore quoi en microscopie optique?
Les goutelettes lipidiques des adipocytes et la myéline qui couvre certaines fibres nerveuses
48
Que représente cette image?
Le fonctionnement des techniques immuno-histologiques qui permet la coloration à l'aide d'anticorps
49
Que représentent ces images?
À gauche en haut: une partie de la moitié d'un cerveau d.un patient de 70 ans atteint d'Alzheimer À droite en haut: Un cerveau de contrôle âgé et en bonne santé en coloration au nitrate d'argent (on peut voir les plaques bêta-myéloïdes En bas à gauche et à droite : Comparaison du cerveau atteint et pas atteint coloré à l'aide de l'immuno histologie. Les petites tâches brunes sont les plaques bêtas-myéloïdes auxquelles les anticorps se sont apposées donnant la couleur brune
50
Comment se nomme le marquage de noyaux de la couleur rouge en fluorescence?
DRAQ5
51
Comment se nomme le marquage de noyaux de la couleur bleue en fluorescence?
Hoechst
52
Que représente cette image?
La coloration par fluorescence de centrosome. En bleu c'est Hoechst qui est utilisée pour colorée les noyaux et en vert ce sont les microtubules et filaments d'actine qui sont colorés