MPOC et bronchiectasie Flashcards

(20 cards)

1
Q

Qu’est-ce que la MPOC

A

Maladies progressives respiratoires qui rendent difficile l’évacuation de l’air des poumons

How well did you know this?
1
Not at all
2
3
4
5
Perfectly
2
Q

Principales causes MPOC

A
  • tabagisme
    -pollution de l’air
  • infections
  • génétiques
How well did you know this?
1
Not at all
2
3
4
5
Perfectly
3
Q

Vrai ou faux : les MPOC sont la 3e cause de décès dans le monde et s’attaquent plus aux femmes?

A

V

How well did you know this?
1
Not at all
2
3
4
5
Perfectly
4
Q

Principaux symptômes MPOC

A

-Toux persistante
-Production excessive de mucus
-Essoufflement
-Respiration sifflante

How well did you know this?
1
Not at all
2
3
4
5
Perfectly
5
Q

4 formes de l’emphysème

A

Centriacinaire
Panacinaire
Irrégulier
Acinaire distal

How well did you know this?
1
Not at all
2
3
4
5
Perfectly
6
Q

Caractéristiques centriacinaire

A

morphologie: parties centrales et proximales des acini
Lobe du poumon atteint: supérieur, segments apicaux
Profil clinique: fumeurs, accompagné de bronchite chronique

How well did you know this?
1
Not at all
2
3
4
5
Perfectly
7
Q

Caracterisques panacinaire

A

morphologie: acini uniformément élargis, des bronchioles respiratoires aux alvéoles terminales
Profil clinique: déficience en a-1-antitrypsine

How well did you know this?
1
Not at all
2
3
4
5
Perfectly
8
Q

Morphologie et profil clinique emphysème irrégulier

A

morphologie: irrégulier, associé à une cicatrisation
Profil clinique: aucun car insignifiant

How well did you know this?
1
Not at all
2
3
4
5
Perfectly
9
Q

Morphologie et profil clinique acinaire distal

A

morphologie: acini en aval de la bronchiole respiratoire affectée
Profil clinique: jeunes adultes présentant un pneumothorax spontané

How well did you know this?
1
Not at all
2
3
4
5
Perfectly
10
Q

Qu’est-ce que la bronchite chronique

A

Toux productive persistante (avec expectorations) qui dure au moins 3 mois consécutifs au cours d’une année, et ce sur au moins 2 années consécutives.

How well did you know this?
1
Not at all
2
3
4
5
Perfectly
11
Q

Pathogénèse de la bronchite chronique

A

Hypersécrétion de mucus commençant dans grandes voies respiratoires

How well did you know this?
1
Not at all
2
3
4
5
Perfectly
12
Q

Causes de la bronchite chronique

A

cigarette, dioxyde de sulfure et dioxyde de nitrogène ( polluants de l’air)

How well did you know this?
1
Not at all
2
3
4
5
Perfectly
13
Q

Symptômes bronchite chronique

A

1.Hypertrophie glandes muqueuses dans trachée + bronches
2. Augmentation sécrétions cellules mucines dans surfaces épithéliales petites bronches + bronchioles
3. Inflammation (macrophages, neutrophiles et lymphocytes)

How well did you know this?
1
Not at all
2
3
4
5
Perfectly
14
Q

V/F: les effets méfiés par cytokines des lymphocytes T (IL-13) sont relié à la bronchite chronique

A

V

How well did you know this?
1
Not at all
2
3
4
5
Perfectly
15
Q

Qu’est-ce qui augmente dans la bronchite chronique à la suite de l’exposition de la fumée du tabac?

A

Expression mucines + production elastase neutrophilique

How well did you know this?
1
Not at all
2
3
4
5
Perfectly
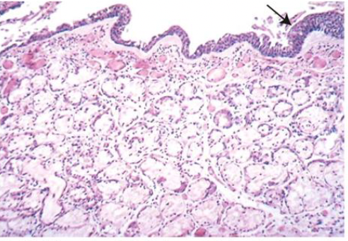
16
Q

Que représente cette image + coloration ?

A

-Bronchite chronique. On remarque l’épaississement marqué de la couche muqueuse (environ deux fois la normale) et la métaplasie squameuse de l’épithélium pulmonaire (flèche noire).
- Coloration H & E

17
Q

Conditions prédisposantes à la bronchiectasie

A
  1. Obstruction bronchique (tumeurs, corps étrangers, impact mucus)
  2. Conditions génétiques/congenitale
  3. Pneumonie nécrosante ou suppurative
18
Q

Conditions génétiques/congénitale relié à la bronchectasie ?

A

-Fibrose kystique (obstruction par mucus+ infections secondaires)
- États d’immunodéficiences (dim immunoglobulines/infections bactériennes récurrentes)
-Dyskinésie ciliaire primitive (trouble rare autosomal récessif- immobilité des cils)

19
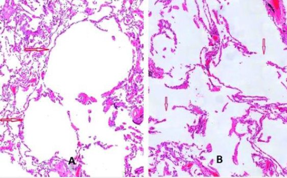
Q

Que représente cette image + coloration

A
  • Histologie du poumon explanté du patient 2 au grossissement 20× montrant une dilatation alvéolaire centriacinaire (A : flèches) et une fragmentation prononcée des parois alvéolaires (B : flèches) en accord avec un emphysème sévère.
  • Coloration H & E
20
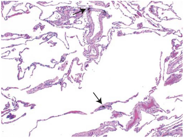
Q

Que représente cette image + coloration

A
  • Emphysème pulmonaire
  • On observe un élargissement marqué de l’espace aérien, avec une déstuction des septa alvéolaires, mais sans fibrose. Notez la présence de pigments noirs (particules de carbone)
  • Coloration H & E