Cours 7 Flashcards

(60 cards)

1
Q

Qu’est-ce qu’une vascularite?

A

C’est une inflammation des parois d’un vaisseau.

How well did you know this?
1
Not at all
2
3
4
5
Perfectly
2
Q

Quels sont les 2 mécanismes les plus communs qui causent les vascularites?

A
  1. Une inflammation soutenue par le système immunitaire
  2. Une invasion directe des parois des vaisseaux par un agent infectieux.
How well did you know this?
1
Not at all
2
3
4
5
Perfectly
3
Q

Vrai ou Faux:
L’infection (des parois des vaisseaux) par un agent infectieux peut indirectement induire une réponse immunitaire? (réaction croisée)

A

Vrai

How well did you know this?
1
Not at all
2
3
4
5
Perfectly
4
Q

Il existe plus d’une vingtaine de formes de vascularites. Selon quels critères sont-elles classées?

A
  • Diamètre du vaisseau
  • Rôle joué par le système immunitaire
  • Présence d’auto anticorps
  • Formation de granulations
  • Spécificité à un organe
  • Lien avec une population spécifique
How well did you know this?
1
Not at all
2
3
4
5
Perfectly
5
Q

L’artérite à cellules géante est une vascularite de quel type?

A

Vascularite des grands vaisseaux

How well did you know this?
1
Not at all
2
3
4
5
Perfectly
6
Q

Vrai ou Faux:
Des synonymes de l’artérite à cellules géantes sont : artérite temporale, artérite crânienne ou maladie d’Horton.

A

Vrai

How well did you know this?
1
Not at all
2
3
4
5
Perfectly
7
Q

Nomme les symptômes de l’artérite à cellules géantes.

A
  1. Fièvre
  2. Perte de poids
  3. Malaise ou fatigue
  4. Céphalées
  5. troubles visuels
  6. douleurs
  7. hyperestésie douloureuse de l’artère temporale
  8. Douleurs dans les muscles de la mâchoire lors de la mastication
How well did you know this?
1
Not at all
2
3
4
5
Perfectly
8
Q

Comment est fait le diagnostic de l’artérite à cellules géantes?

A

Par biopsie de l’artère temporale.

How well did you know this?
1
Not at all
2
3
4
5
Perfectly
9
Q

Quel est le traitement de l’artérite à cellules géantes?

A

Corticostéroïdes et aspirine. (prévient les complications visuelles)

How well did you know this?
1
Not at all
2
3
4
5
Perfectly
10
Q

L’artérite à cellules géantes touche principalement quelle artère?

A

L’aorte thoracique, ses premières branches à destinée cervicale et les branches extra crâniennes des artères carotides.

How well did you know this?
1
Not at all
2
3
4
5
Perfectly
11
Q

Vrai ou Faux:
Des signes de pseudo-polyarthrite rhizomélique sont fréquents dans l’artérite à cellules géantes.

A

Vrai

How well did you know this?
1
Not at all
2
3
4
5
Perfectly
12
Q

Quel est l’âge moyen des personnes atteintes de l’artérite à cellules géantes?

A

72 ans. la majorité ont en haut de 50 ans.

How well did you know this?
1
Not at all
2
3
4
5
Perfectly
13
Q

Vrai ou Faux:
Les femmes sont atteintes de l’artérite à cellules géantes 2 à 3 fois plus fréquemment que les hommes.

A

Vrai

How well did you know this?
1
Not at all
2
3
4
5
Perfectly
14
Q

L’artérite à cellules géantes peut survenir dans tous les groupes raciaux, mais plus fréquemment dans quel groupe?

A

Personnes d’origine scandinave

How well did you know this?
1
Not at all
2
3
4
5
Perfectly
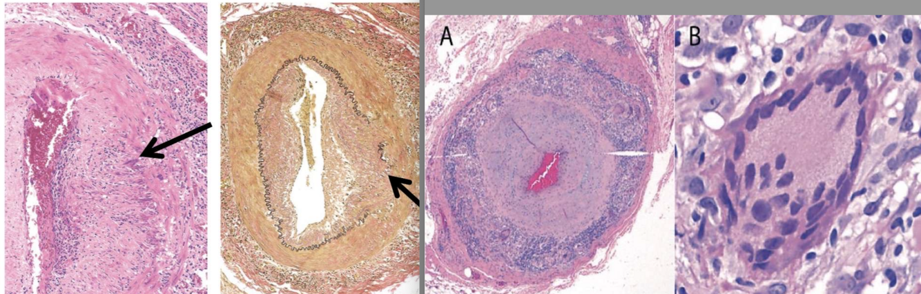
15
Q

Quel est ce type d’artérite?
image p.11-12 pwp7

A

L’artérite à cellules géantes

How well did you know this?
1
Not at all
2
3
4
5
Perfectly
16
Q

Quelle est la cause de l’artérite de Takayasu?

A

Inconnue, mais l’auto immunité est suspectée. L’inflammation vasculaire peut provoquer une sténose, occlusion, dilatation artérielle ou des anévrismes.

How well did you know this?
1
Not at all
2
3
4
5
Perfectly
17
Q

L’artérite de Takayasu touche principalement quel vaisseau?

A

L’aorte et ses grosse branches

How well did you know this?
1
Not at all
2
3
4
5
Perfectly
18
Q

L’artérite de Takayasu est une vascularite de quel type?

A

Vascularite des grands vaisseaux

How well did you know this?
1
Not at all
2
3
4
5
Perfectly
19
Q

Quelle est l’incidence annuelle globale de l’artérite de Takayasu?

A

0,3 à 3,4 million

How well did you know this?
1
Not at all
2
3
4
5
Perfectly
20
Q

L’artérite de Takayasu se manifeste principalement chez quelle population?

A

Jeune femme
(historiquement asiatique, mais maintenant reconnue comme ayant une distribution globale).

How well did you know this?
1
Not at all
2
3
4
5
Perfectly
21
Q

Quel est le type de vascularite?

A

Arthérite Takayasu

How well did you know this?
1
Not at all
2
3
4
5
Perfectly
22
Q

Quels sont les symptômes de l’artérite de Takayasu?

A
  1. Pressions différentielles ou mesures de pressions différentes entre les membres
  2. Claudication d’un membre (sensation de douleur à type de crampe ou de fatigue au niveau des muscles des jambes, et non des articulations)
How well did you know this?
1
Not at all
2
3
4
5
Perfectly
23
Q

Le diagnostic de l’artérite de Takayasu repose sur quoi?

A

L’artériographie aortique ou angio-IRM

How well did you know this?
1
Not at all
2
3
4
5
Perfectly
24
Q

Quel est le traitement de l’artérite de Takayasu?

A

Corticostéroïdes et autres immunosuppresseurs.
En cas d’ischémie menaçant certains organes: des interventions vasculaires (ex.:pontage).

How well did you know this?
1
Not at all
2
3
4
5
Perfectly
25
La polyartérite noueuse est une vascularite de quel type?
Vascularite des moyens vaisseaux
26
Vrai ou Faux: La polyartérite noueuse est rare?
Vrai (2 à 33 cas/million)
27
Quelle est l'incidence principale de la polyartérite noueuse?
Adulte d'âge moyen, augmente avec l'âge et culmine vers 50 ans.
28
Quelles sont les causes de la polyartérite noueuse?
Inconnue, mais système immunitaire impliqué.
29
Vrai ou Faux: La plupart des cas de la polyartérite noueuse sont idiopathiques.
Vrai Environ 20% des patients ont une hépatite B, ou plus rarement C.
30
Vrai ou Faux La polyartérite noueuse consiste en une inflammation et une nécrose des artères musculaires de taille petite et moyenne (sauf aorte et artère pulmonaire) avec une ischémie tissulaire secondaire.
Vrai
31
Quel organe est généralement épargné par la polyartérite noueuse?
Les poumons
32
Quels sont les symptômes de la polyartérite noueuse?
symptômes systémiques (fièvre, fatigue, etc.)
33
Comment est diagnostiquée la polyartérite noueuse?
biopsie d'un organe atteint
34
Quel est le traitement de la polyartérite noueuse?
Corticostéroïdes et immunosuppresseurs
35
Quelle est cette vascularite?
Polyarthérite noueuse
36
L'artérite de Kawasaki est une vascularite de quel type?
Vascularite des moyens vaisseaux
37
L'artérite de Kawasaki implique quelles artères?
Coronaires
38
L'artérite de Kawasaki touche les personne de quel âge?
Nourrissons et entre 1 à 8 ans
39
Quelle est la cause de L'artérite de Kawasaki?
inconnue, hypersensibilité retardée impliquant une réaction croisée avec des déterminants antigéniques sur les cellules endothéliales ou musculaires lisses.
40
Quelles sont les complications les plus graves de L'artérite de Kawasaki?
myocardite aiguë avec insuffisance cardiaque, troubles du rythme et anévrismes des artères coronaires
41
Le diagnostic sur L'artérite de Kawasaki est basé sur quoi?
1. Critères cliniques 2. ECG 3. Échocardiographie
42
L'utilisation de fortes doses des quels médicaments permettent d'améliorer les symptômes et de prévenir les complications cardiaques de L'artérite de Kawasaki?
Aspirine et immunoglobuline
43
Quels sont les symptômes de L'artérite de Kawasaki?
1. fièvre 2. Éruption cutanée 4. Inflammation buccale et de la conjonctive 5. Adénopathie ( Petite masse de tissu lymphatique en forme de haricot longeant les vaisseaux lymphatique)
44
La granulomatose avec polyangéïte est une vascularite de quel type?
Vascularite des petits vaisseaux
45
Vrai ou Faux La granulomatose avec polyangéïte est la même chose que La granulomatose de Wegener.
Vrai
46
Vrai ou Faux Une chondrite nasale peut provoquer un gonflement, des douleurs et un effondrement des l'ensellure nasale (nez en selle).
vrai
47
La granulomatose avec polyangéïte touche combien de personne et de quel âge?
environ 1/25 000. tout groupe ethnique et tout âge. (plus chez les blancs et à partir de 40 ans)
48
Quelle est la cause de La granulomatose avec polyangéïte?
inconnue, mais mécanismes immunologiques jouent un rôle.
49
Est-ce que tous les organes peuvent être atteints dans La granulomatose avec polyangéïte?
oui, mais majoritairement les voies respiratoires et les reins.
50
Quels sont les symptômes de La granulomatose avec polyangéïte?
ils varient en fonction de l'organe touché.
51
Sur quoi repose le diagnostic de La granulomatose avec polyangéïte?
biopsie
52
Quel est le traitement pour La granulomatose avec polyangéïte?
Corticostéroïdes et immunosuppresseurs.
53
La thrombo-angéite oblitérante de Buerger est une vascularite de quel type?
Vascularite des petits vaisseaux
54
Qu'est-ce qu'une thrombo-angéite oblitérante de Buerger?
C'est une thrombose inflammatoire des artères de petit et moyen calibres et de certaines veines superficielles, entrainant une ischémie artérielle des extrémités et une thrombophlébite superficelle.
55
Quel est le principal facteur de risque de la thrombo-angéite oblitérante de Buerger
Le tabagisme
56
La thrombo-angéite oblitérante de Buerger touche principalement quelle population?
Presque exclusivement les fumeurs de sexe masculin entre 20 à 40 ans.
57
Quels sont les symptômes de la thrombo-angéite oblitérante de Buerger?
1. Claudication (la claudication intermittente est caractérisée par une démarche asymétrique et irrégulière due à une douleur dans les jambes) 2. ulcères non cicatrisants des pieds 3. douleurs de repos 4. gangrène
58
Sur quoi repose le diagnostic de la thrombo-angéite oblitérante de Buerger?
-Sur les éléments cliniques, -les examens complémentaires vasculaires non invasifs, -l'artériographie et -l'exclusion d'autres causes.
59
Quel est le traitement de la thrombo-angéite oblitérante de Buerger?
Arrêt du tabac. Prognostic est excellent. Si pas arrête tabac = souvent amputation
60
quel est ce type de vascularite?
thrombo-angéite oblitérante de Buerger