Cours 5 Flashcards

(41 cards)

1
Q

Qu’est-ce qu’une nécrose de coagulation

A

Mort cellulaire souvent causé par un infractus qui donne une texture ferme aux tissus affectés

How well did you know this?
1
Not at all
2
3
4
5
Perfectly
2
Q

V/F: l’architecture des cellules n’est pas préservée pendant plusieurs jours suite à une nécrose de coagulation

A

Faux, l’architecture est préservée

How well did you know this?
1
Not at all
2
3
4
5
Perfectly
3
Q

Comment une nécrose de coagulation empêche la protéolyse des cellules mortes?

A

La blessure dénature les protéines structurelles et les enzymes = pas de protéolyse de cellules mortes possibles = les cellules éosinophiles anucléées (c mortes) persistent et rendent les tissus fermes

How well did you know this?
1
Not at all
2
3
4
5
Perfectly
4
Q

Quelle est cette figure histologique?

A

Nécrose de coagulation:
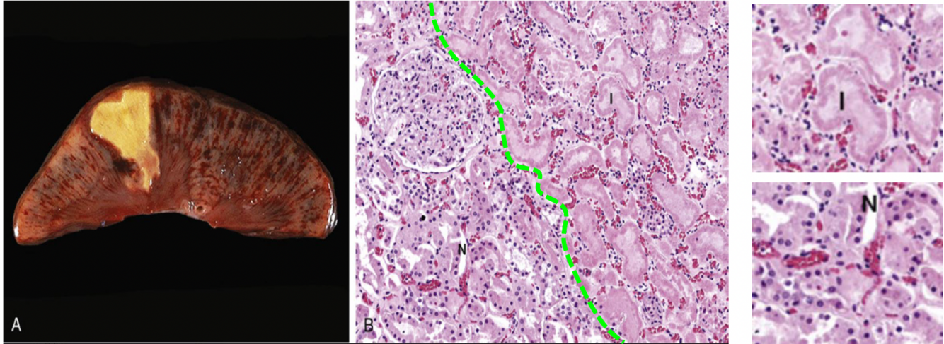
A: infractus rénal
B : on peut voir le glomérule à gauche + à droite = cellules nécrotiques
I: cellules nécrotiques dans l’infractus
N: normal
*les cellules n’ont plus de noyaux dans les cas de nécrose, mais gardent leur forme

How well did you know this?
1
Not at all
2
3
4
5
Perfectly
5
Q

Quelle est cette figure histologique?

A

Nécrose de liquéfaction, infractus dans le cerveau montrant la dissolution des tissus

How well did you know this?
1
Not at all
2
3
4
5
Perfectly
6
Q

Où est-ce qu’on observe des nécroses de liquéfaction?

A

sur les sites d’infections bactériennes ou fongiques

How well did you know this?
1
Not at all
2
3
4
5
Perfectly
7
Q

Comment se développent les nécroses de liquéfaction?

A

les microbes stimulent l’accumulation de cellules inflammatoires et les enzymes des leucocytes digèrent/liquéfient les tissus. Le liquide visqueux est ensuite éliminé par les phagocytes

How well did you know this?
1
Not at all
2
3
4
5
Perfectly
8
Q

V/F: La mort hypoxique des cellules du système nerveux central provoque souvent une nécrose de liquéfaction

A

vrai

How well did you know this?
1
Not at all
2
3
4
5
Perfectly
9
Q

Qu’est-ce qu’un abcès dans le cas d’une nécrose de liquéfaction?

A

Accumulation de pus (jaune crème) du à une infection bactérienne (inflammation aiguë)

How well did you know this?
1
Not at all
2
3
4
5
Perfectly
10
Q

Quelle est cette figure histologique?

A

Nécrose caséeuse d’une tuberculose pulmonaire
- caséeuse = fromage
- souvent relié à des tuberculoses

How well did you know this?
1
Not at all
2
3
4
5
Perfectly
11
Q

Comment peut-on décrire une nécrose caséeuse?

A
  • l’architecture cellulaire est oblitérée (effacée)
  • contours cellulaires ne peuvent être discernés
How well did you know this?
1
Not at all
2
3
4
5
Perfectly
12
Q

Qu’est-ce qu’un granulome?
(pas à savoir mais aide à comprendre)

A

Amas de cellules immunitaires responsable de l’inflammation dans les tissus affectés
*caractéristiques des nécroses caséeuses

How well did you know this?
1
Not at all
2
3
4
5
Perfectly
13
Q

Quelle est cette figure histologique?
C’est quoi les dépôts blancs

A
  1. Stéatonécrose
    - nécrose graisseuse dans la pancréatite aiguë
  2. des foyers de nécroses graisseuses
How well did you know this?
1
Not at all
2
3
4
5
Perfectly
14
Q

Dans les stéatonécroses, des dépôts blancs sont formés. Ils sont dus à quoi?

A

À la saponification des graisses

How well did you know this?
1
Not at all
2
3
4
5
Perfectly
15
Q

C’est quoi la saponification des graisses

A

C’est quand les graisses mortes réagissent avec le calcium pour former des savons de calcium

How well did you know this?
1
Not at all
2
3
4
5
Perfectly
16
Q

Quelle est cette figure histologique?
Décrire cette figure.

A
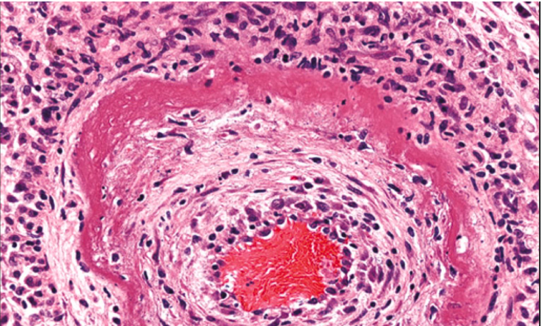
  1. Nécrose fibrinoïde d’une artère atteint de périartérite noueuse
  2. paroi de l’artère présente une zone circonférentielle de nécrose rose vif (collagène) avec dépôt de protéines et inflammation
How well did you know this?
1
Not at all
2
3
4
5
Perfectly
17
Q

Quelle genre de microscopie permet d’observer une nécrose fibrinoïde

A

microscopie optique

18
Q

Dans quelles circonstances on peut observer une nécrose fibrinoïde? (4)

A
  • dans les réactions immunitaires dans lesquelles des complexes d’antigènes et d’anticorps se déposent dans les parois des vx sanguins (diapo 16)
  • les cas d’hypertension sévère (diapo 16)
  • vascularite (diapo 17)
  • organes transplantés en cours de rejet (diapo 17)
19
Q

Que signifie « fibrinoïde » dans les nécroses fibrinoïdes?

A

Fibrinoïde: ressemble à fibrine

Mr. ChatGPT = dans les vaisseaux sanguins blessés, les dépôts de complexes immuns et l’infiltration de protéines plasmatiques donnent un aspect rose vif, similaire à la fibrine, lors de l’observation au microscope après coloration H&E

20
Q

Qu’est-ce qui donne la couleur rose vif et amorphe dans les préparations de nécroses fibrinoïde? (2)

A

les complexes immuns déposés et les protéines plasmatiques qui se sont inflitrés dans les parois des vx blessés

Mr. ChatGPT = dans les vaisseaux sanguins blessés, les dépôts de complexes immuns et l’infiltration de protéines plasmatiques donnent un aspect rose vif, similaire à la fibrine, lors de l’observation au microscope après coloration H&E

21
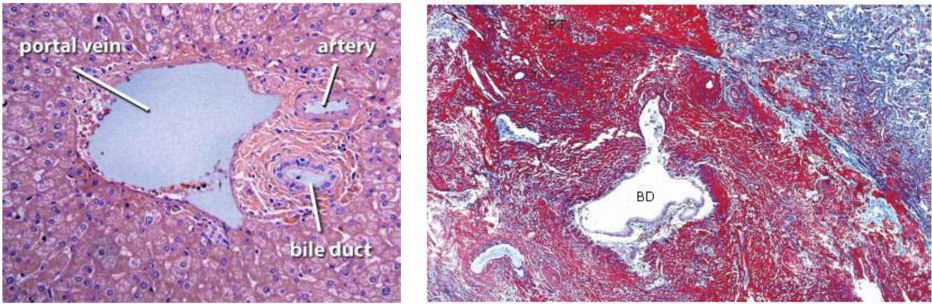
Q

Quelle est cette figure histologique?

A

Gauche = veine porte
Droite = cas de fibrose avancée de la veine porte (difficiles de reconnaitre les structures)

22
Q

Quel marqueur permet de détecter une nécrose spécifique d’un tissu?

A

La fuite de protéines intracellulaires à travers la membrane endommagée.
Les protéines s’échappent des cellules nécrotiques dans le sang, où elles servent de marqueurs.

23
Q

En lien avec les marqueurs cliniques utiles, nommez les protéines correspondantes aux tissus nommés:
1. muscle cardiaque
2. épithélium des voies biliaires
3. foie (hépatocytes)

A
  1. troponine, isoforme unique et prots contractile
  2. isoforme résistante de l’enzyme phosphatase alcaline
  3. transaminases
24
Q

Qu’est-ce que l’apoptose?

A

une voie de mort cellulaire

25
Comment les cellules déclanchent leur apoptose/mort? (2)
1. actient des enzymes qui dégradent leur propre ADN nucléaire 2. activent leurs protéines nucléaires et cytoplasmiques
26
V/F: la membrane plasmique de la cellule apoptique se détruit complètement lors d'une apoptose.
Faux: la membrane plasmique de la cellule reste intacte, mais est altérée (modifié) pour que les corps apoptotiques soient reconnus et phagocytés par les macrophages
27
Quelle est la différence principale entre la nécrose et l'apoptose dans l'évacuation de leur contenu?
- Apoptose : Mort cellulaire programmée sans inflammation (élimination des fragments apoptiques avant que le contenu cellulaire s'échappe = évite l'inflammation lors de la mort cellulaire) - Nécrose : Mort cellulaire non contrôlée souvent accompagnée d'inflammation.
28
Quelle est la condition physiologique d'une perte de signalisation du facteur de croissance (mécanisme présumé)
embryogénèse
29
Quelle est la condition physiologique d'une perte de signaux de facteur de croissance ou de survie
renouvellement des tissus prolifératifs
30
Quelle est la condition physiologique d'une diminution des niveaux d'hormones entraînant une réduction des signaux de survie
involution des tissus hormono-dépendants (ex: endomètre)
31
Quelle est la condition physiologique d'une perte de signaux de survie du à l'élimination du stimulus d'activation des leucocytes
la fin des réponses immunitaires et inflammatoires
32
Quelle est la condition physiologique d'une forte reconnaissance des antigènes du soi induit apoptose par les voies des récepteurs mitochondriaux et de la mort
les lymphocytes autoréactifs
33
Nommez 3 conditions qui déclanchent certains mécanismes apoptiques:
1. dommage à l'ADN 2. accumulation de protéines mal repliées 3. infections, en particulier celles virales
34
Définition de l'autophagie:
fait référence à la digestion lysosomale des propres composantes de la cellule
35
Quand l'autophagie est activée?
En période de privation; c'est un mécanisme de survie qui permet à la cellule affamée de vivre en mangeant son propre contenu pour fournir nutriments et énergie
36
Qu'est-ce qu'une phagophore?
Double membrane dérivée du RE
37
Expliquer la première étape du processus de l'autophagie.
Les organites intracellulaires et des portions de cytosol sont séquestrées dans une phagophore (portion du RE) qui va mûrir pour en faire une vacuole
38
Qui va initier l'autophagie et qui va détecter le manque de nutriments
des protéines cytosoliques
39
Expliquer la deuxième partie du processus de l'autophagie.
1. il va y avoir fusion de la vacuole et des lysosomes = autophagolysosome 2. les enzymes lysosomales vont digérer les composantes cellulaires de la vacuole
40
V/F: l'autophagie peut être associée à une atrophie des tissus et être une adaptation.
Vrai, elle aide les cellules à survivre aux périodes de disette (déf disette: manque de ce qui est nécessaire à la vie)
41
Que se produit-il quand la cellule affamée ne peut plus s'en sortir en dévorant son contenu?
autophagie va signaler une mort cellulaire par apoptose