CROUP Flashcards

(41 cards)

1
Q

¿Qué es el crup o laringotraqueítis y qué estructuras involucra? (Laringotraqueítis/Crup)

A

Es la inflamación de la laringe y la región subglótica, con extensión variable hacia tráquea. La laringe contiene estructuras que generan la fonación y la tráquea va del cartílago cricoides hasta la carina.

How well did you know this?
1
Not at all
2
3
4
5
Perfectly
2
Q

¿Por qué la laringe y la región subglótica son tan sintomáticas en el crup? (Laringotraqueítis/Crup)

A

Porque el área laríngea es el sitio más estrecho del tracto respiratorio, y la región subglótica está limitada por el cartílago cricoides, que es un anillo completo y no puede expandirse más.

How well did you know this?
1
Not at all
2
3
4
5
Perfectly
3
Q

¿Cuál es la tríada clásica del crup? ¿Qué implica el estridor bifásico? (Laringotraqueítis/Crup)

A

La tríada es
disfonía, tos traqueal perruna y estridor inspiratorio.

El estridor bifásico puede presentarse y sugiere mayor gravedad.

How well did you know this?
1
Not at all
2
3
4
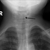
5
Perfectly
4
Q

¿Qué significa que el crup genere respiración bifásica? (Laringotraqueítis/Crup)

A

Que hay trabajo respiratorio tanto en inspiración como en espiración por compromiso laríngeo.

How well did you know this?
1
Not at all
2
3
4
5
Perfectly
5
Q

¿Qué dato anatómico de la subglotis explica muchas complicaciones de intubación? (Laringotraqueítis/Crup)

A

La región subglótica corresponde al primer anillo traqueal y está limitada por el cartílago cricoides, siendo una zona rígida donde se generan muchas complicaciones de intubación.

How well did you know this?
1
Not at all
2
3
4
5
Perfectly
6
Q

¿Qué diferencia general hay entre crup viral y crup espasmódico o falso crup? (Laringotraqueítis/Crup)

A

El crup viral se asocia a infección; el crup espasmódico o falso crup puede presentarse en niños no infectados, suele tener relación con rinitis alérgica y se maneja con soporte, vigilancia y prevención de complicaciones.

How well did you know this?
1
Not at all
2
3
4
5
Perfectly
7
Q

Menciona cómo es el patron en croup viral vs espasmódico
1. Síntomas:
2. Temporalidad y duración
3. Asociación

A

Viral
1. Virales (congestión y fiebre) y continuos
2. Autolimitada 3 días (usual)
3. Infección viral

Espasmódico
1. VAS leves y ocasionales (se quitan), sin fiebre.Nocturno. Sin fiebre
2. Recurrente. Inicio y fin súbito
3. Atopia

How well did you know this?
1
Not at all
2
3
4
5
Perfectly
8
Q

¿El crup espasmódico excluye al crup viral? (Laringotraqueítis/Crup)

A

No. Es fácil que un paciente con crup viral también haga componente espasmódico; no todos los cuadros son exclusivamente por espasmo.

How well did you know this?
1
Not at all
2
3
4
5
Perfectly
9
Q

¿Qué pacientes tienen más riesgo de presentar nuevos episodios de crup? (Laringotraqueítis/Crup)

A

Quien ya tuvo crup tiene mayor riesgo de repetir episodios; la idea central es que quien inflama las cuerdas vocales puede volver a inflamarlas.

How well did you know this?
1
Not at all
2
3
4
5
Perfectly
10
Q

¿Por qué el crup es más frecuente por la noche? -> Si hay síntomas antes de las 6 de la tarde ___

A

Porque en la noche hay menos cortisol.

Indicación para hospitalizar

How well did you know this?
1
Not at all
2
3
4
5
Perfectly
11
Q

Etiología de CROUP

A

VIRUS 80%
○ Parainfluenza tipo 1 y 3 –> PRINCIPAL
○ Influenza A y B
○ Rinovirus
○ Coronavirus
○ Adenovirus
○ VSR
○ Metapneumovirus

How well did you know this?
1
Not at all
2
3
4
5
Perfectly
12
Q

¿Cuándo debe pensarse en sobreinfección bacteriana en un paciente con crup?

¿Qué agentes bacterianos son los más comunes?

A

Cuando el paciente con crup no mejora como se espera.
Es más frecuente en inmunosuprimidos o en pacientes con consumo constante de antibióticos.

  • S.aureus, s.pyogenes, s.neumoniae
How well did you know this?
1
Not at all
2
3
4
5
Perfectly
13
Q

¿Deben darse antibióticos de rutina en el crup? (Laringotraqueítis/Crup)

A

No. No dar antibióticos de rutina.

How well did you know this?
1
Not at all
2
3
4
5
Perfectly
14
Q

¿Cuál es la epidemiología típica del crup respecto a edad y estacionalidad? (Laringotraqueítis/Crup)

A

Es más frecuente entre 6 y 36 meses, raro en mayores de 6 años, y predomina en otoño e invierno.

How well did you know this?
1
Not at all
2
3
4
5
Perfectly
15
Q

¿Qué papel tiene la historia familiar en el crup? (Laringotraqueítis/Crup)

A

Existe componente familiar; el PPT menciona mayor riesgo de presentar un episodio (3.2 veces) y de crup recurrente en presencia de antecedente familiar.

How well did you know this?
1
Not at all
2
3
4
5
Perfectly
16
Q

¿Qué dato horario del inicio de síntomas se asocia con mayor probabilidad de hospitalización? (Laringotraqueítis/Crup)

A

Síntomas entre 12:00 y 18:00 horas se asocian con mayor probabilidad de requerir hospitalización.

How well did you know this?
1
Not at all
2
3
4
5
Perfectly
17
Q

¿Qué otro criterio práctico de hospitalización se menciona en el PPT? (Laringotraqueítis/Crup)

A

Una indicación para hospitalizar es cuando el paciente tiene crup antes de las 6 de la tarde. También considerar hospitalización si el cuadro es moderado, si vive lejos o si existe riesgo.

18
Q

¿Cuál es la fisiopatología del crup viral? (Laringotraqueítis/Crup)

A

Inicia como infección de la mucosa nasal y faríngea que se extiende hacia tráquea y laringe, produciendo estrechez subglótica, que es la principal característica anatómica.

19
Q

¿Qué células participan en el infiltrado inflamatorio del crup viral? (Laringotraqueítis/Crup)

A

Histiocitos, linfocitos, células plasmáticas y neutrófilos.

20
Q

¿Qué caracteriza al crup espasmódico en cuanto a inflamación y comorbilidades? (Laringotraqueítis/Crup)

A

Presenta edema no inflamatorio, pero sí responde a corticoesteroides. Deben evaluarse comorbilidades, primero rinitis alérgica.

21
Q

¿Qué relación tiene el reflujo gastroesofágico con el crup espasmódico según el PPT? (Laringotraqueítis/Crup)

A

La evidencia de relación con ERGE en niños es limitada. El PPT señala que el reflujo es consecuencia del crup, no causa, porque el trabajo respiratorio por encima del cricoides favorece reflujo.

22
Q

¿Qué caracteriza a la traqueítis bacteriana y en quiénes puede verse más? (Laringotraqueítis/Crup)

A

Puede verse más en pacientes con traqueostomía. Se asocia a pus, abscesos, úlceras pseudomembranosas, gran ataque al estado general y puede causar choque séptico.

23
Q

¿Qué estudios endoscópicos pueden usarse en mala evolución y cómo distinguir hallazgos? (Laringotraqueítis/Crup)

A

En mala evolución puede requerirse broncoscopia o nasolaringoscopia. Si se observa la epiglotis superior, orienta a broncoscopia; si se observa el pliegue aritenoideo superior, orienta a nasolaringoscopia.

24
Q

¿Qué escala se usa para valorar gravedad del crup? (Laringotraqueítis/Crup)

A

La escala de Westley.

25
5 puntos que se evaluan en la escala de Westley y puntuación en croup leve, mod, severa, insuficiencia respiratoria
- Nivel de consciencia, cianosis, estridor, entrada de aire, retracciones - Leve < 2; moderado 3-7; grave 8-11, IR > 12
26
Síntomas en croup leve, mod, severo e IR | escala de Westley
Leve: tos perruna ocasional sin estridor en reposo Mod: + estridor en reposo, sin agitación y angustia Grave: + agitación y angustia IR: + nivel de consciencia deprimido, cianosis y palidez | + significa lo anterior +
27
¿Cómo se maneja el crup leve? (Laringotraqueítis/Crup)
Manejo de soporte, como **lavados nasales en casa**, más vigilancia y explicación de datos de alarma/retorno. Evaluar el uso de esteroide
28
¿Cómo se maneja el crup moderado? (Laringotraqueítis/Crup)
**Esteroide** y valorar **nebulización con epinefrina/adrenalina** si tiene riesgo. Debe explicarse cuándo volver. Si reaparece el cuadro en 36-48 horas puede considerarse otra dosis según evolución.
29
¿Cómo se maneja el crup severo? (Laringotraqueítis/Crup)
Lo ideal es **dexametasona parenteral IV**. **Si se administra adrenalina nebulizada**, debe observarse al paciente al menos por varias horas y repetir dosis cuantas veces sea necesario según respuesta.
30
¿Cómo se maneja la insuficiencia respiratoria por crup? (Laringotraqueítis/Crup)
Manejo como crup severo y considerar **manejo invasivo de la vía aérea**.
31
¿Cuáles son los tratamientos farmacológicos mencionados para crup? (Laringotraqueítis/Crup)
**Dexametasona, prednisolona, budesonida, adrenalina racémica y L-adrenalina nebulizada**.
32
¿Cuál es la dosis de dexametasona en crup? (Laringotraqueítis/Crup)
**Dexametasona 0.15-0.6 mg/kg**.
33
¿Cuál es la dosis de prednisolona en crup? (Laringotraqueítis/Crup)
**Prednisolona 1 mg/kg**.
34
¿Qué presentación inhalada de corticoide se menciona en crup? (Laringotraqueítis/Crup)
**Budesonida**.
35
¿Cuál es la dosis de adrenalina racémica en crup? (Laringotraqueítis/Crup)
**Adrenalina racémica 0.05 mL/kg**.
36
¿Cuál es la dosis de L-adrenalina nebulizada en crup y en qué concentración? (Laringotraqueítis/Crup)
**L-adrenalina 0.5 mL/kg** de solución **1 mg/mL (1:1000)**.
37
¿Qué diagnósticos diferenciales importantes deben considerarse en un paciente con crup? (Laringotraqueítis/Crup)
**Epiglotitis, absceso retrofaríngeo y cuerpo extraño**.
38
¿Qué hallazgo clínico orienta a epiglotitis como diagnóstico diferencial? (Laringotraqueítis/Crup)
La **posición en trípode**.
39
¿Cuándo se indican estudios de imagen en un cuadro compatible con crup? (Laringotraqueítis/Crup)
En casos atípicos, duda diagnóstica, mala respuesta al tratamiento, recurrencia o sospecha de aspiración de cuerpo extraño.
40
¿Qué signo radiológico se menciona para epiglotitis? (Laringotraqueítis/Crup)
El **thumb sign** o signo del pulgar.
41
Datos en RX de CROUP
Signo de la aguja, campanario, torre de iglesia, punta de lapiz | Tiene varios nombres