Aortic dissection
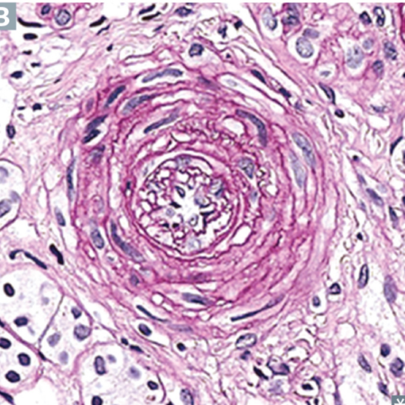
Arteriolosclerosis , Hyperplastic-“onion skinning’
Hyaline-thickening of vessel walls
Lipofuscin : A yellow-brown “wear and tear” pigment
Aschoff body containing Anitschkow cells,
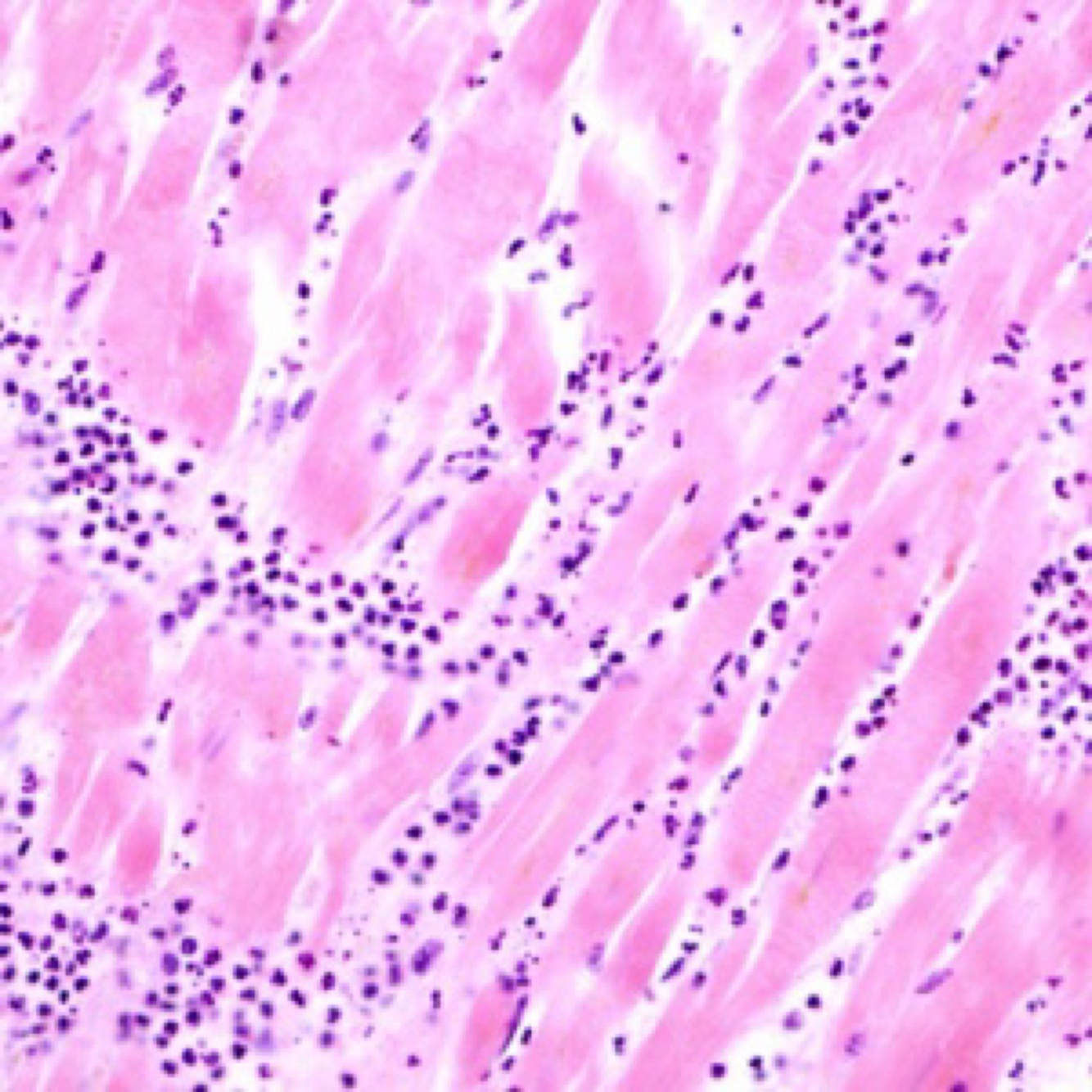
Neutrophilic infiltration occurs between 1 and 3 days after an acute MI.
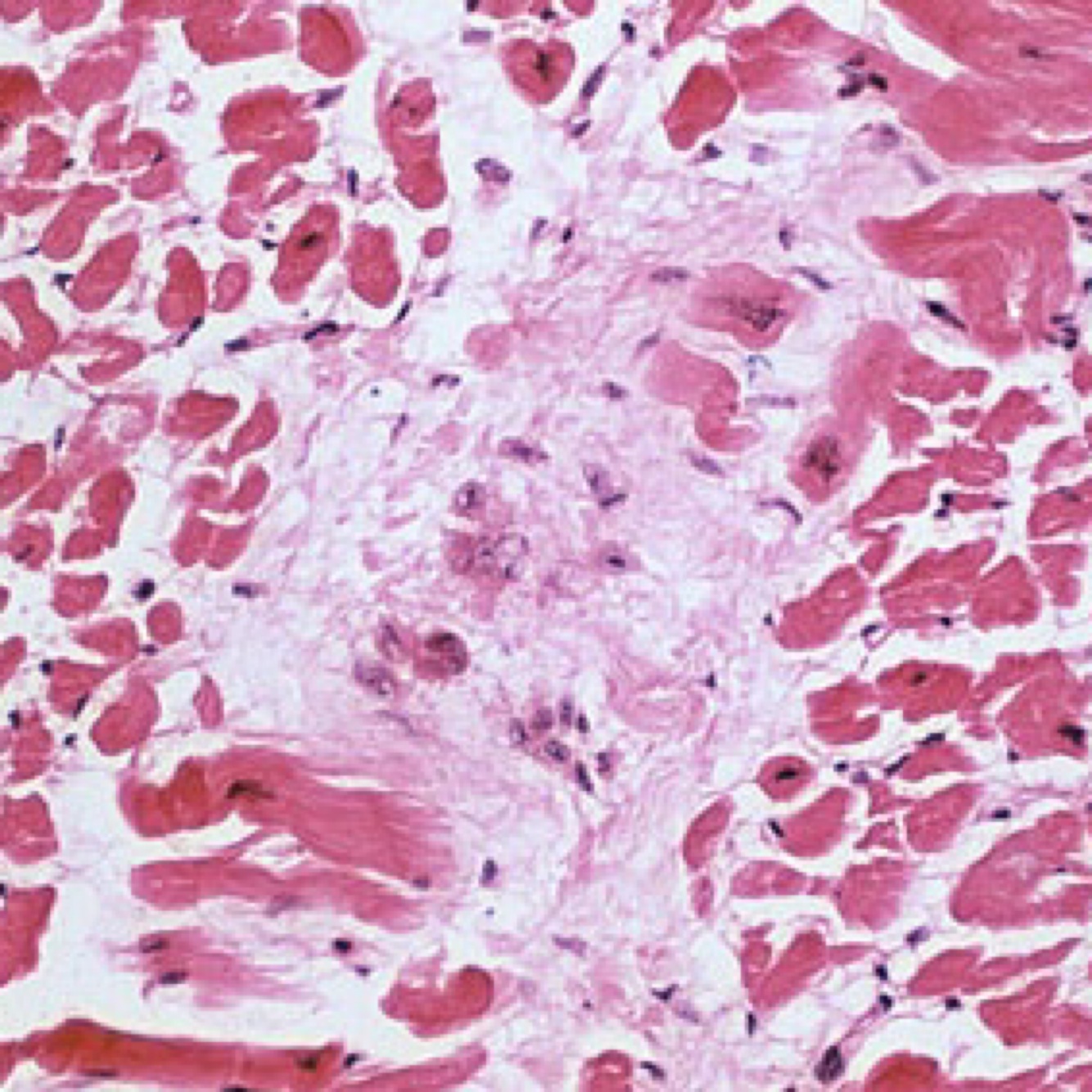
Contraction bands seen in the histologic study of the myocardium following MI are caused by massive calcium influx and result in hypercontraction of the sarcomeres.
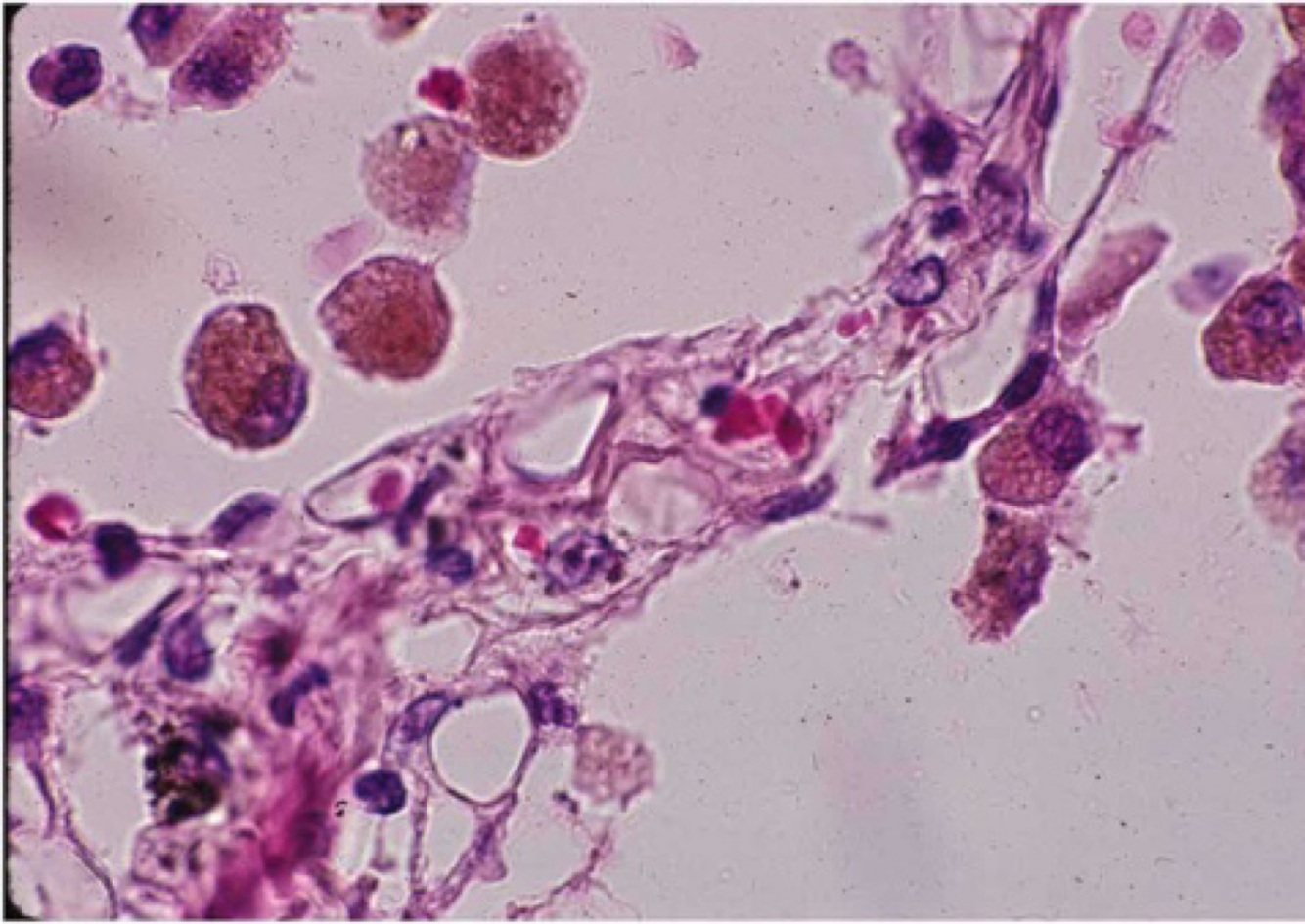
Microscopic features of pulmonary edema as a result of heart failure include the presence of hemosiderin-laden macrophages.