Mix Flashcards

(6 cards)

1
Q
A

basal cell carcinoma: peripherally “palisading nuclei” and hyperchromatic dense nuclei.

How well did you know this?
1
Not at all
2
3
4
5
Perfectly
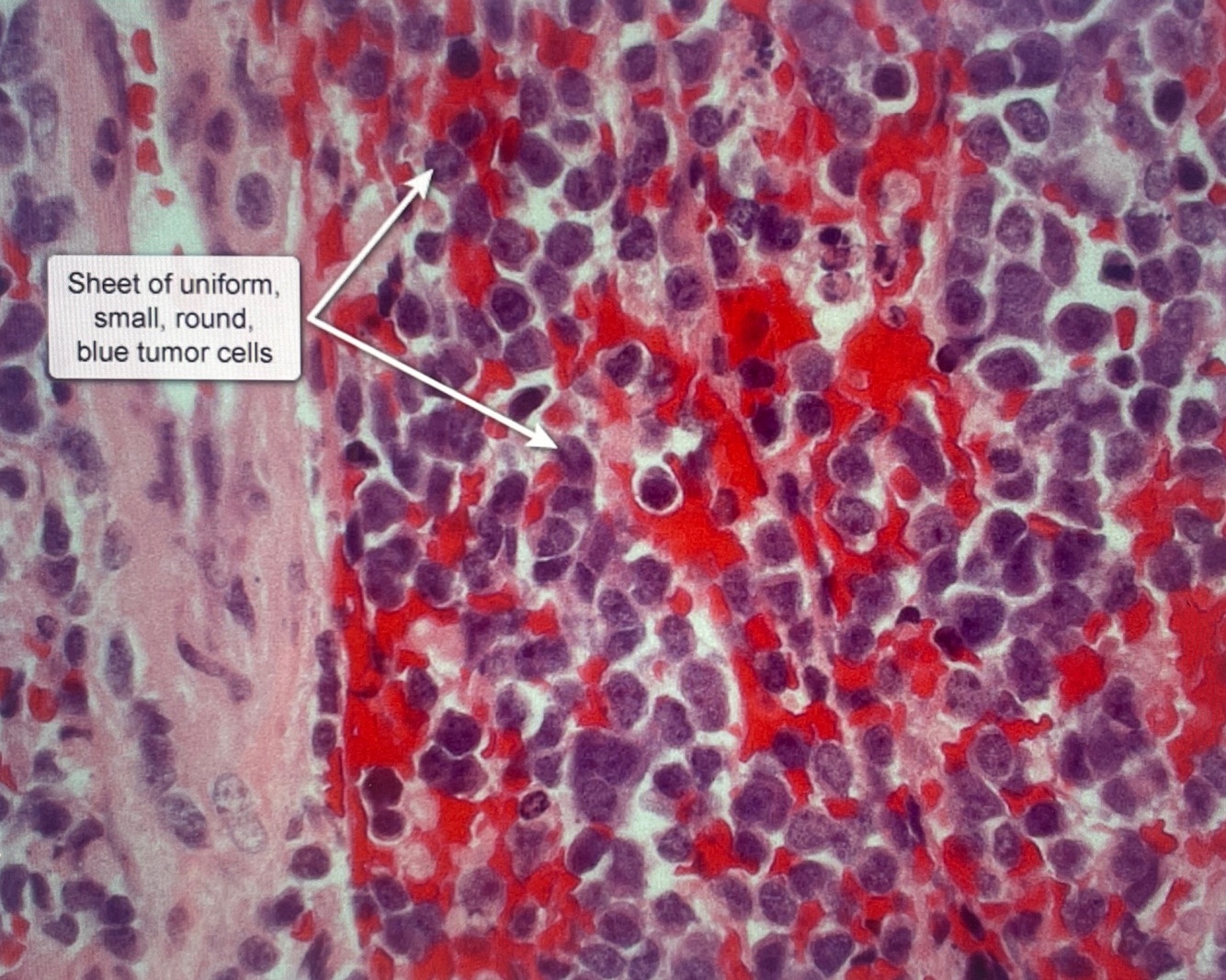
2
Q
A

Ewing sarcoma

How well did you know this?
1
Not at all
2
3
4
5
Perfectly
3
Q
A
How well did you know this?
1
Not at all
2
3
4
5
Perfectly
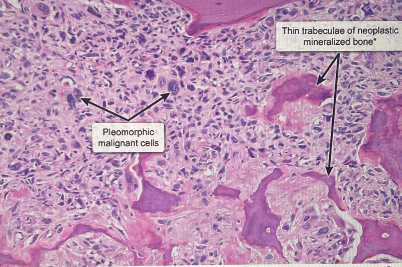
4
Q
A

Osteosarcoma

How well did you know this?
1
Not at all
2
3
4
5
Perfectly
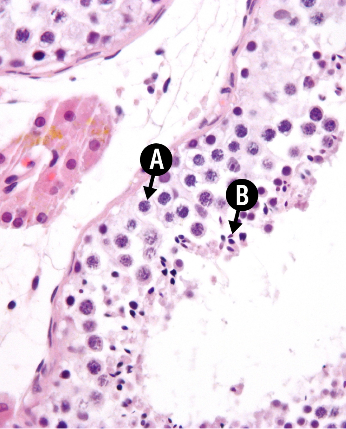
5
Q

healthy man who has a testicular mass. An area of normal tissue from the biopsy is shown، which cell A and which cell B:

A

spermatogonia (cell A), spermatids (cell B)

How well did you know this?
1
Not at all
2
3
4
5
Perfectly
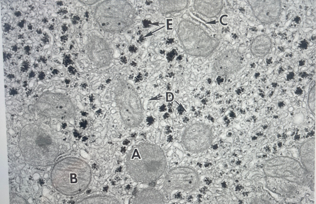
6
Q
A

A. Peroxisome
B. Mitochondria
C.rough endoplasmatic reticulmum
D. Endoplasm
E. Ribosomes

How well did you know this?
1
Not at all
2
3
4
5
Perfectly