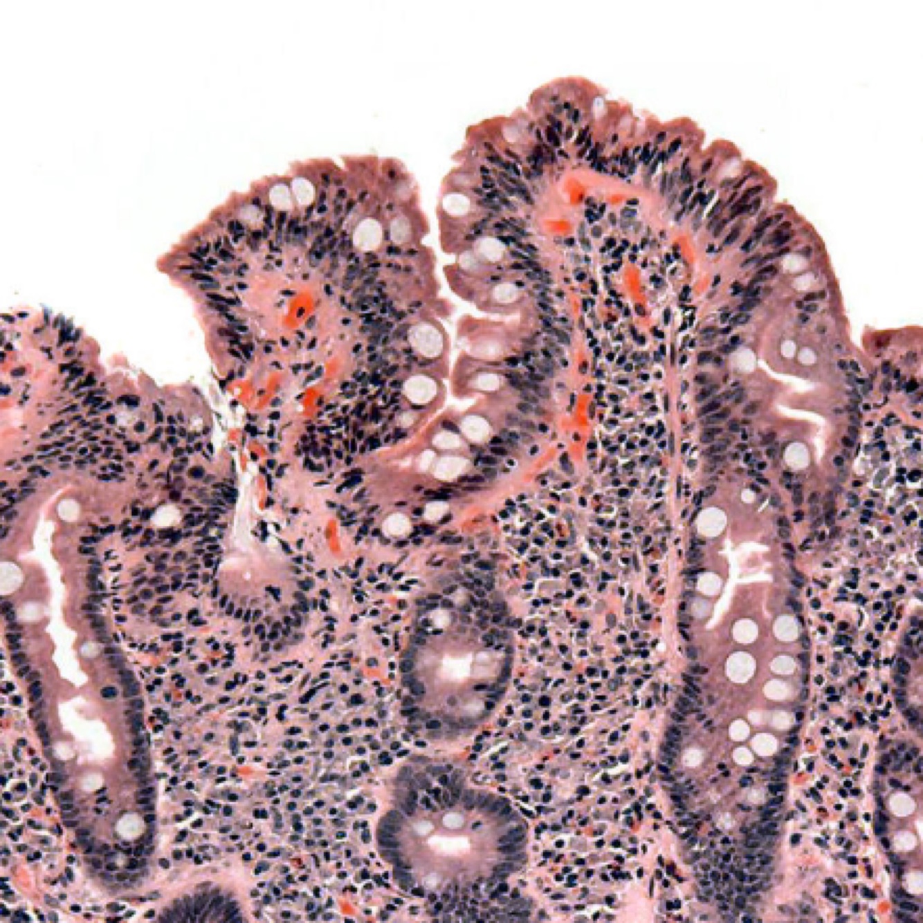
celiac disease: villous atrophy, crypt hyperplasia, intraepitheial lymohocytosis
Hemochromatosis :hemosiderin-laden hepatocytes and Kupffer cells
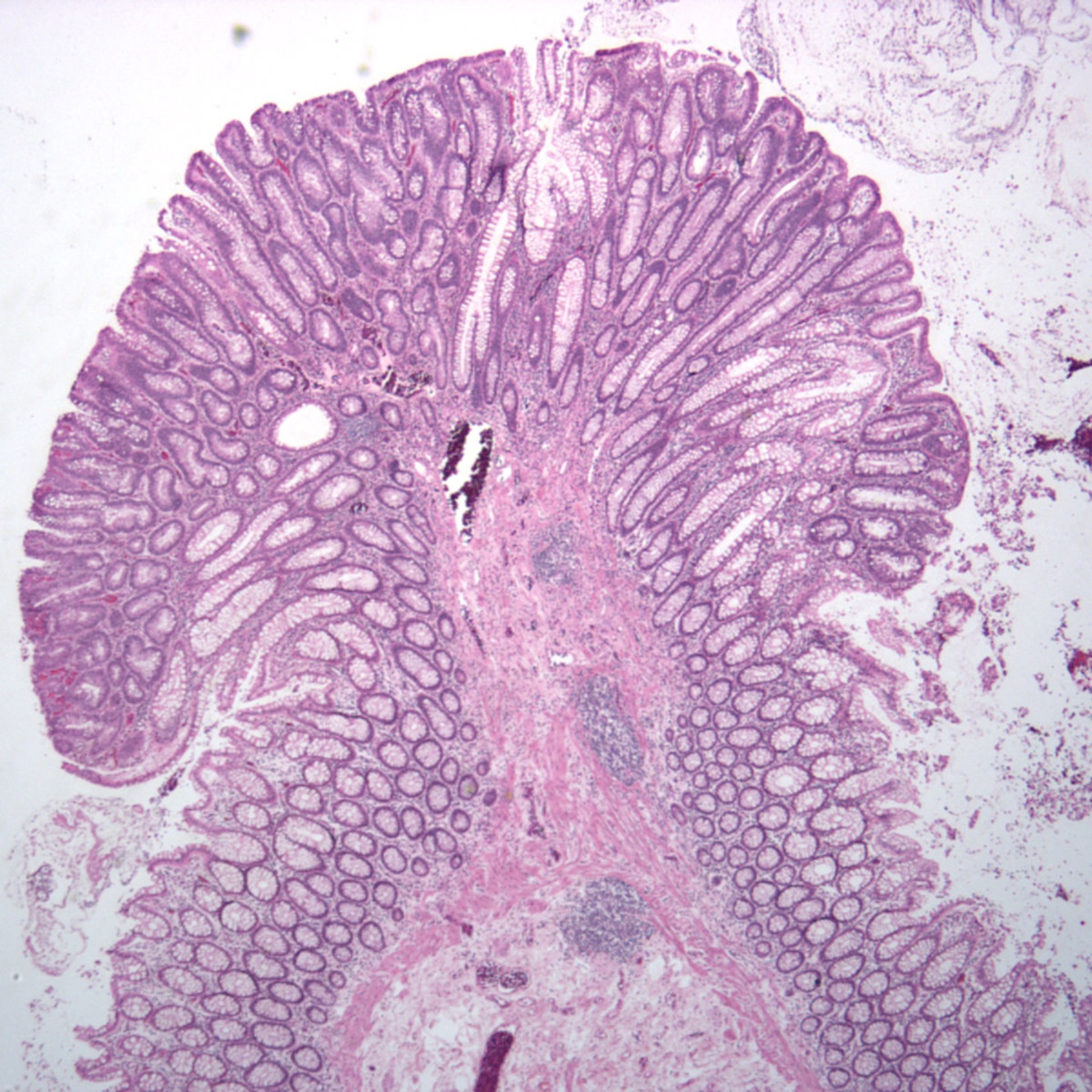
adenomatous polyps :pedunculated polyp shows a tubular adenoma
Adenomatous polyps: villous type
colonic adenocarcinoma
H pylori–associated gastric ulcers typically show small, solitary, punched-out lesions with sharply demarcated edges and inflammatory infiltrate
diverticulitis
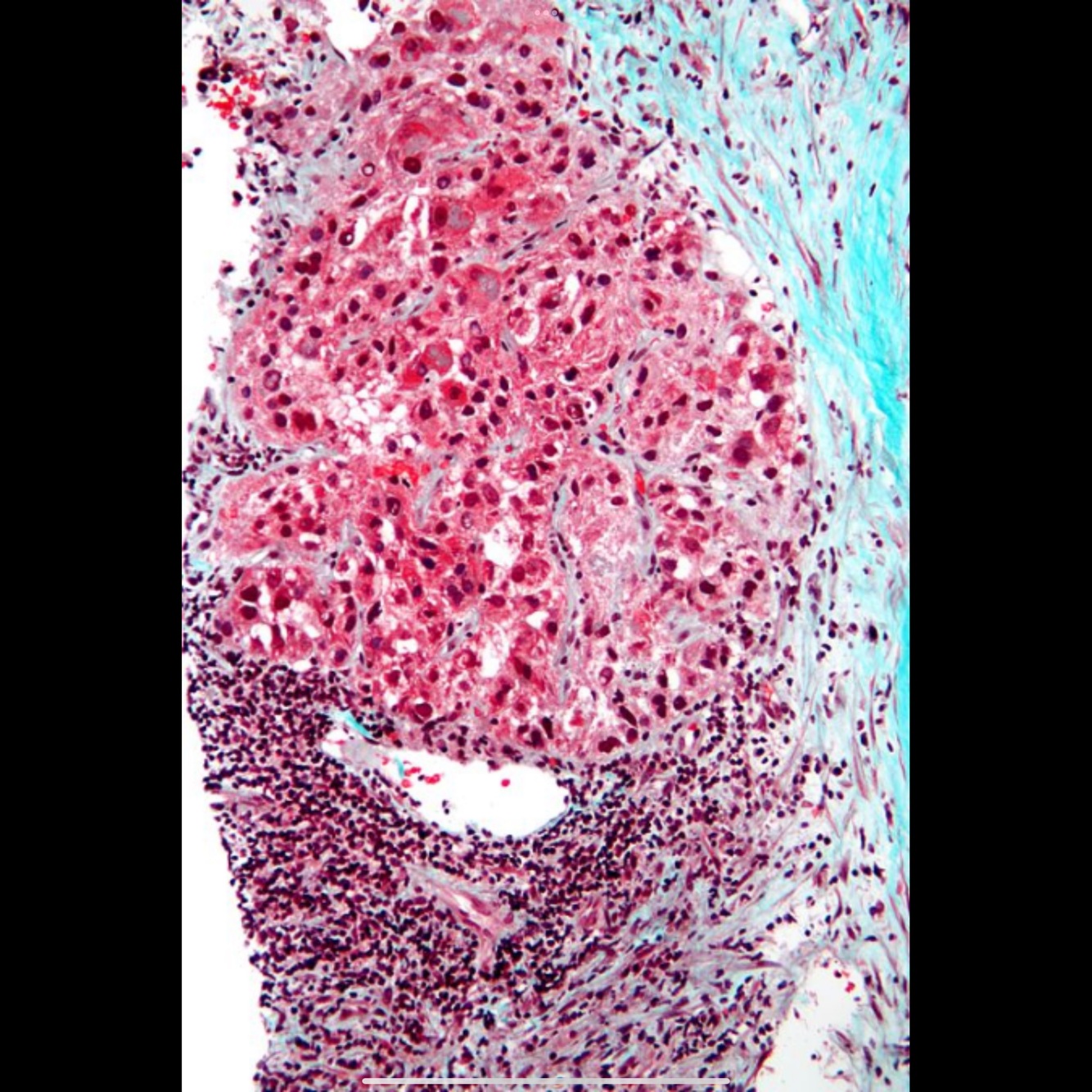
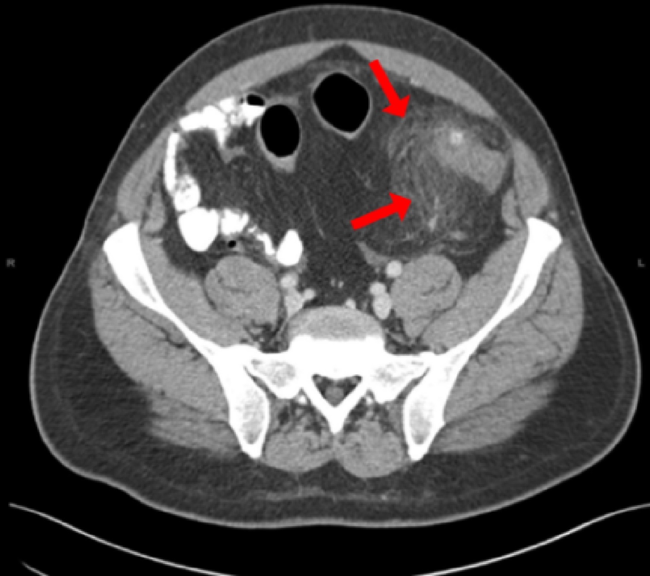
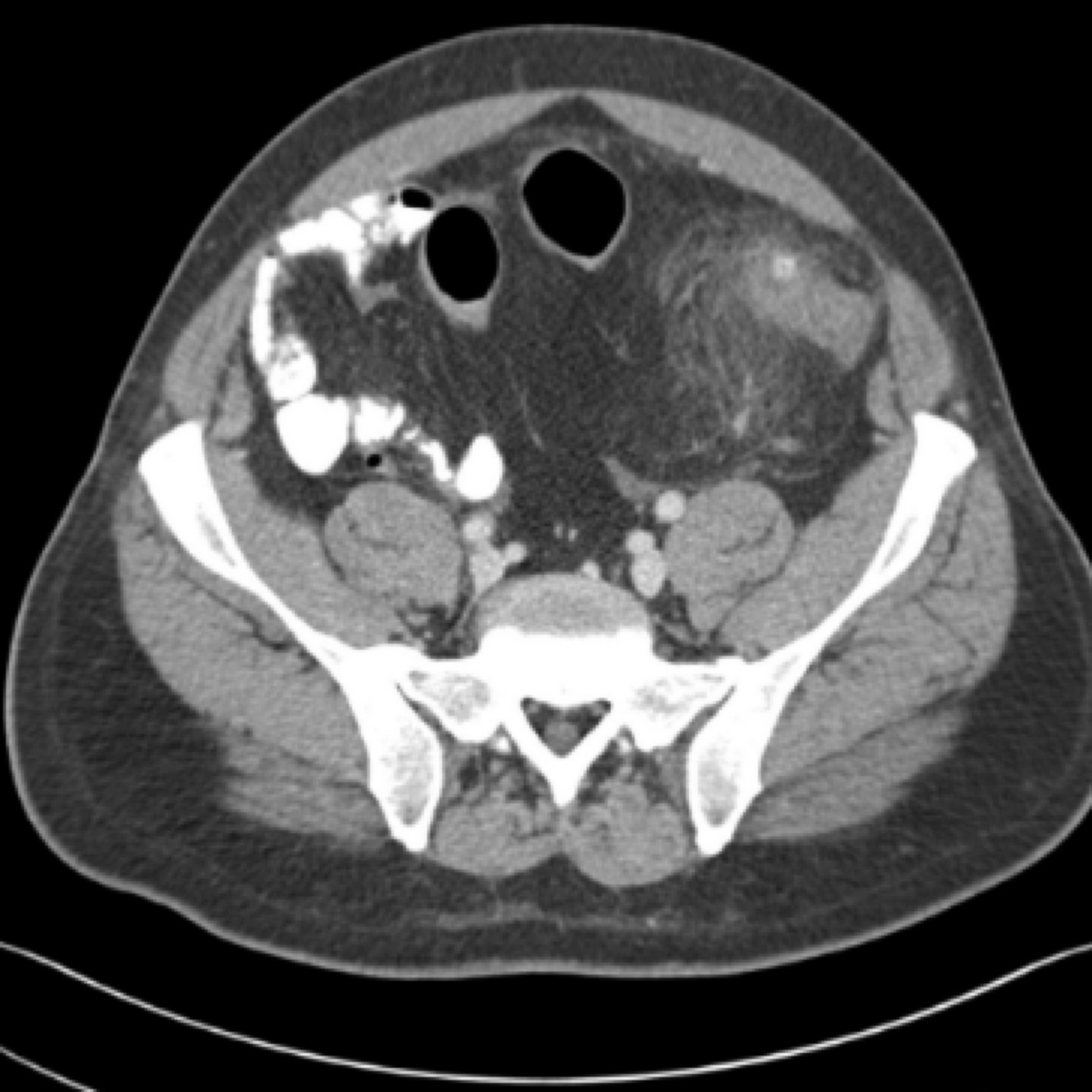
The biopsy results show well-differentiated hepatocellular carcinoma (HCC), also suggested by the hepatic nodule on imaging.
Krukenberg tumors: signet-ring” cells I
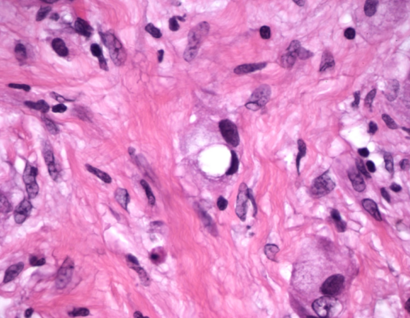
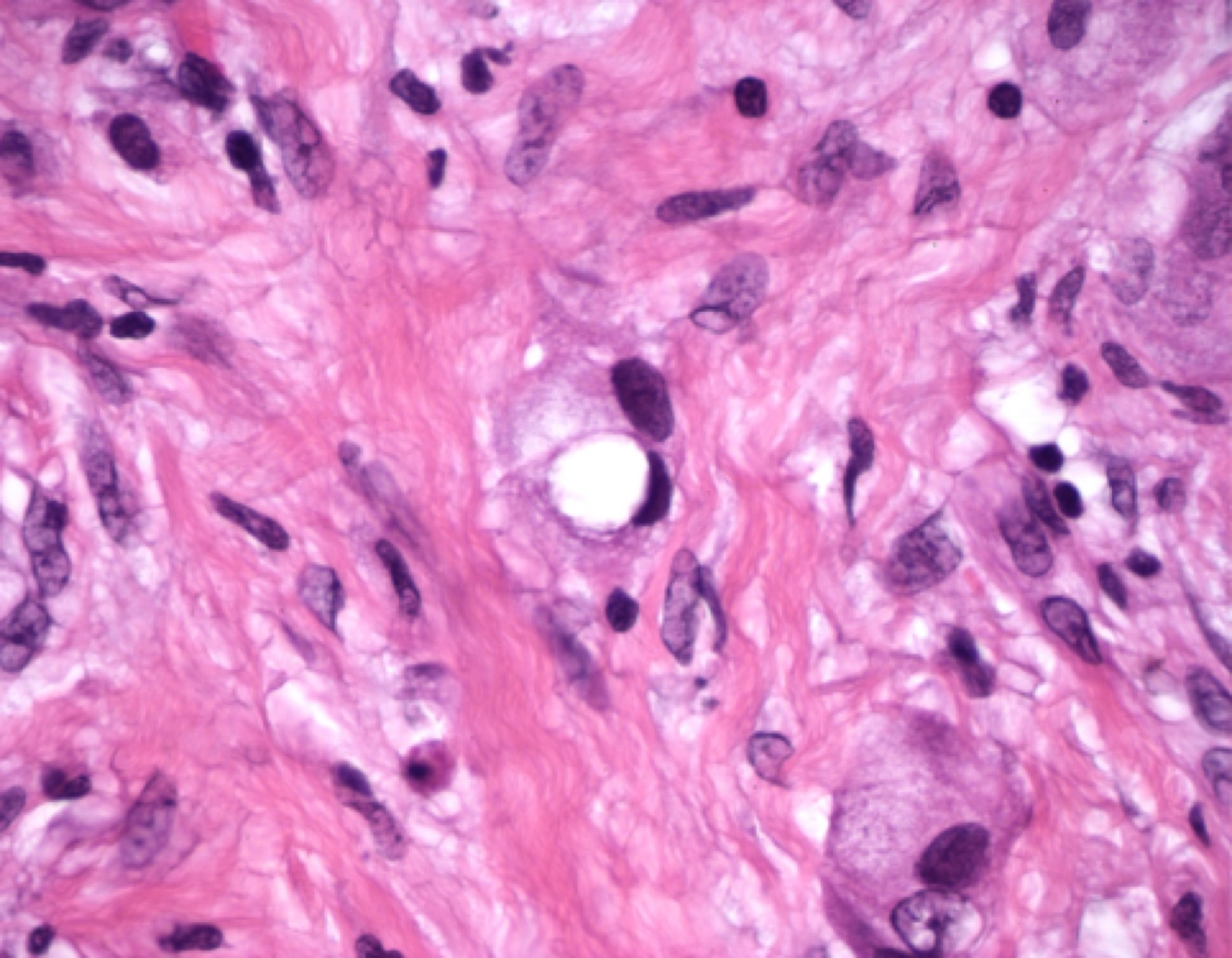
alcohol-associated hepatitis: Fatty changes (macro- and microvesicular), Mallory bodies, and a neutrophilic infiltrate
Mallory body
Councilman bodies,
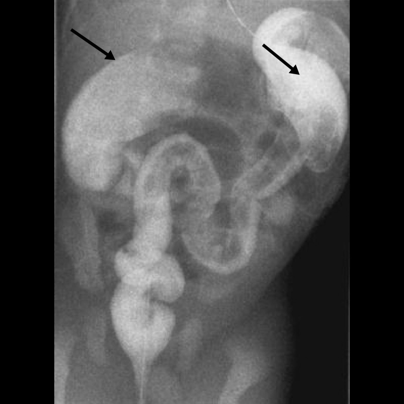
Hirschsprung disease: On barium enema study, she has proximal colonic dilatation
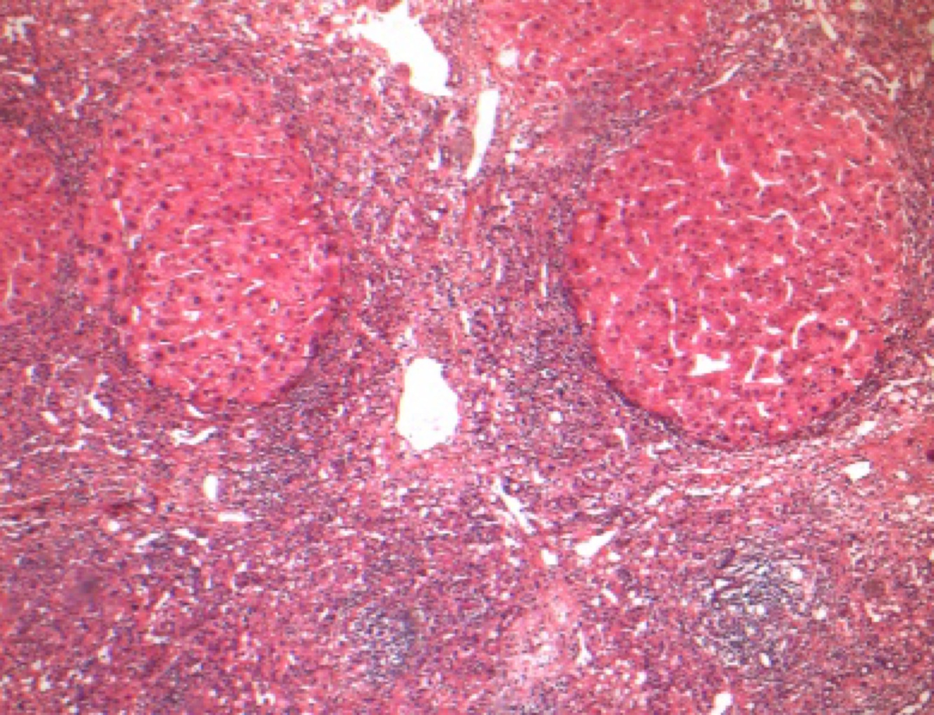
Cirrhosis is characterized pathologically by regenerative nodules with thick, collagenous septae.
Virchow node (left supraclavicular node) is strongly suggestive of gastric cancer.
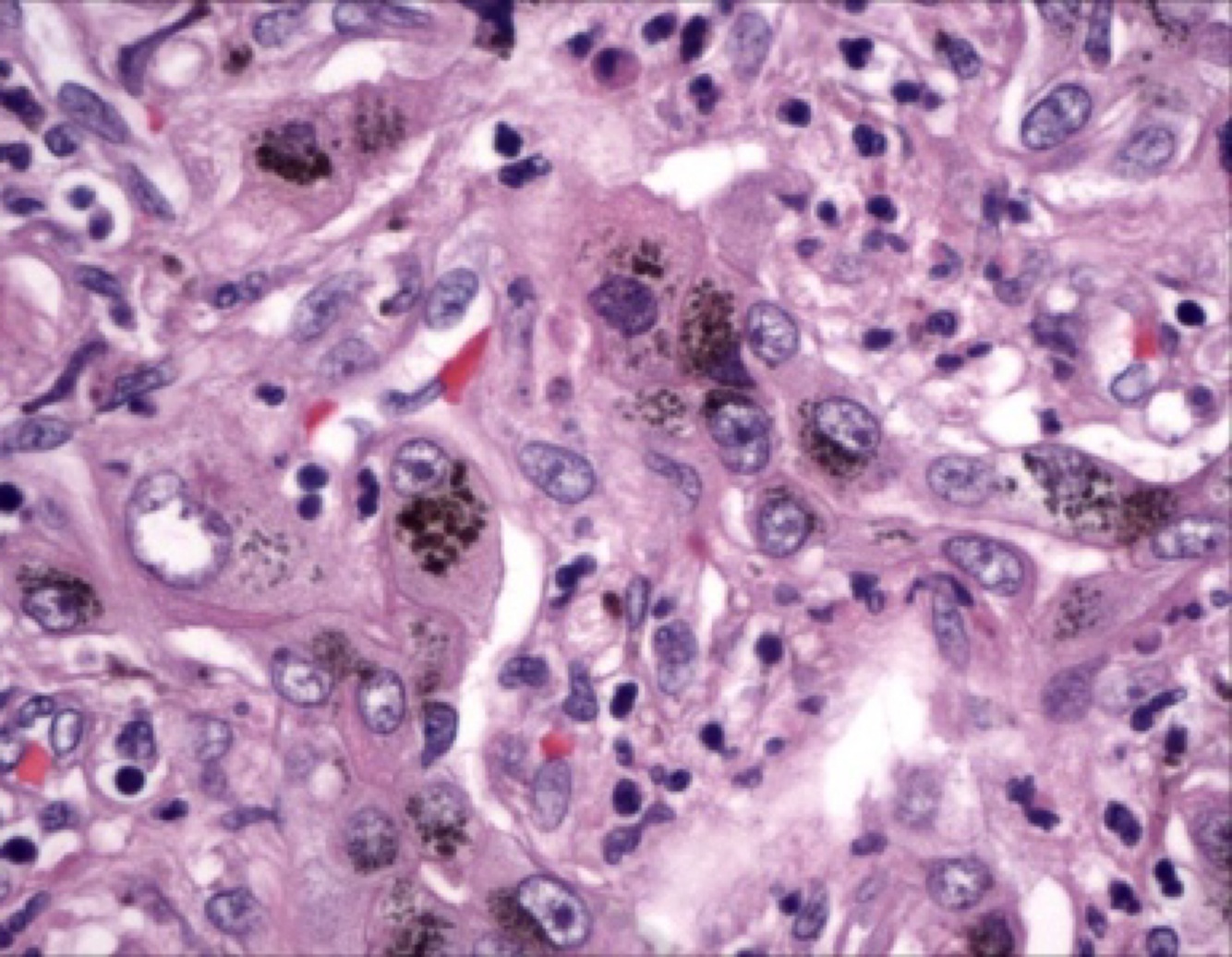
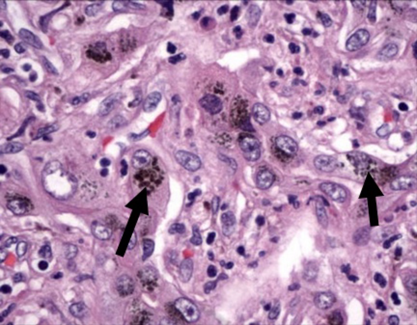
Whipple disease: A biopsy specimen of the lamina propria shows accumulation of macrophages that contain rod-shaped inclusion bodies
Whipple disease: foamy macrophages with periodic acid-Schiff (PAS) positive granules,