Renal Flashcards

(27 cards)

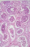
1
Q
A

Muddy brown cast

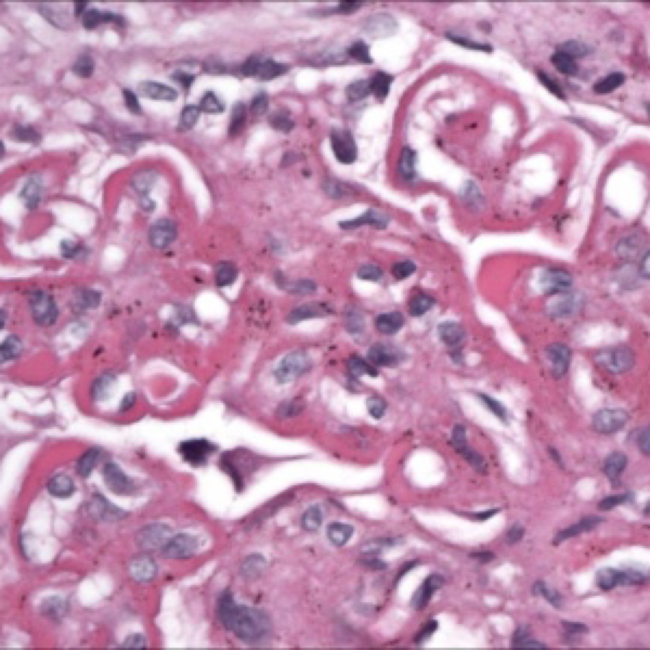
How well did you know this?
1
Not at all
2
3
4
5
Perfectly
2
Q
A

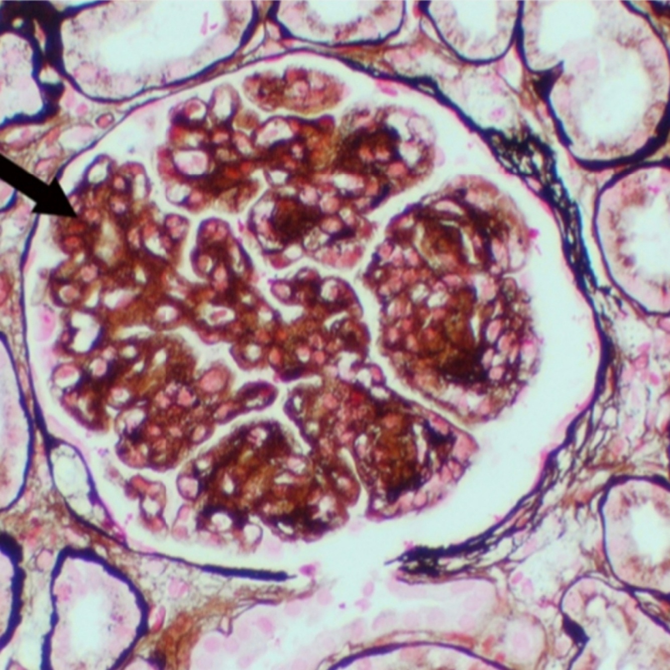
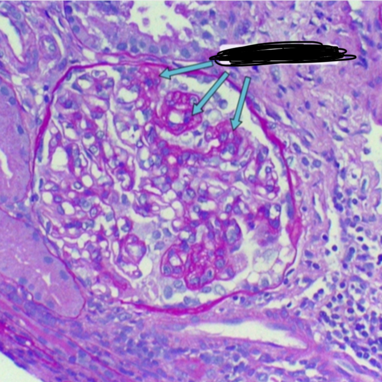
renal biopsy shows nodular sclerosis (also called Kimmelstiel-Wilson nodules), which is characteristic of advanced diabetic nephropathy

How well did you know this?
1
Not at all
2
3
4
5
Perfectly
3
Q
A

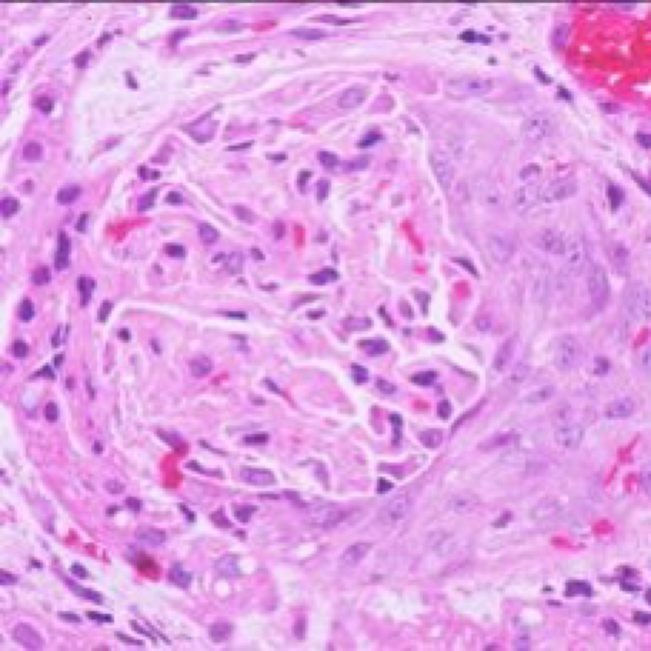
rapidly progressive glomerulonephritis : crescent moon shaped

How well did you know this?
1
Not at all
2
3
4
5
Perfectly
4
Q
A

A mass biopsy showing keratin pearl formation is a common finding in squamous cell cancers

How well did you know this?
1
Not at all
2
3
4
5
Perfectly
5
Q
A

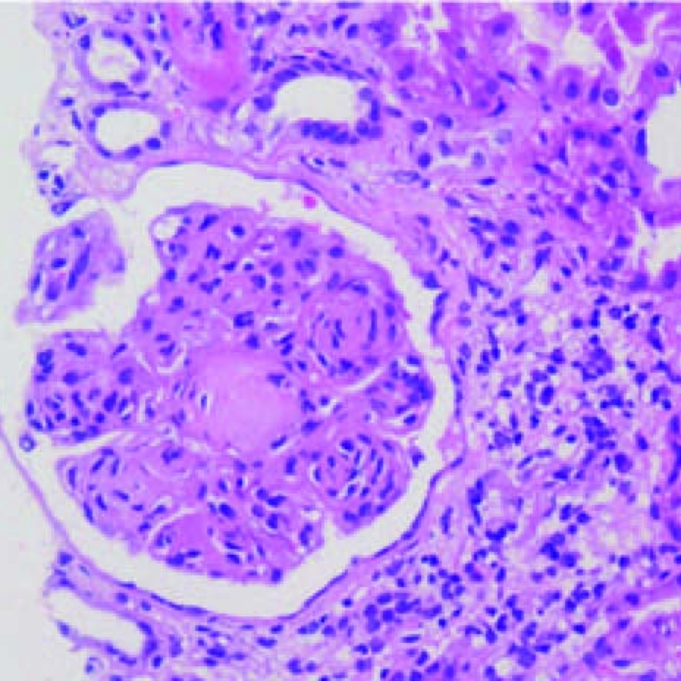
focal segmental glomerulosclerosis (FSGS)

How well did you know this?
1
Not at all
2
3
4
5
Perfectly
6
Q
A

lupus nephritis, wire-loop” appearance,

How well did you know this?
1
Not at all
2
3
4
5
Perfectly
7
Q
A

RBC cast

How well did you know this?
1
Not at all
2
3
4
5
Perfectly
8
Q
A

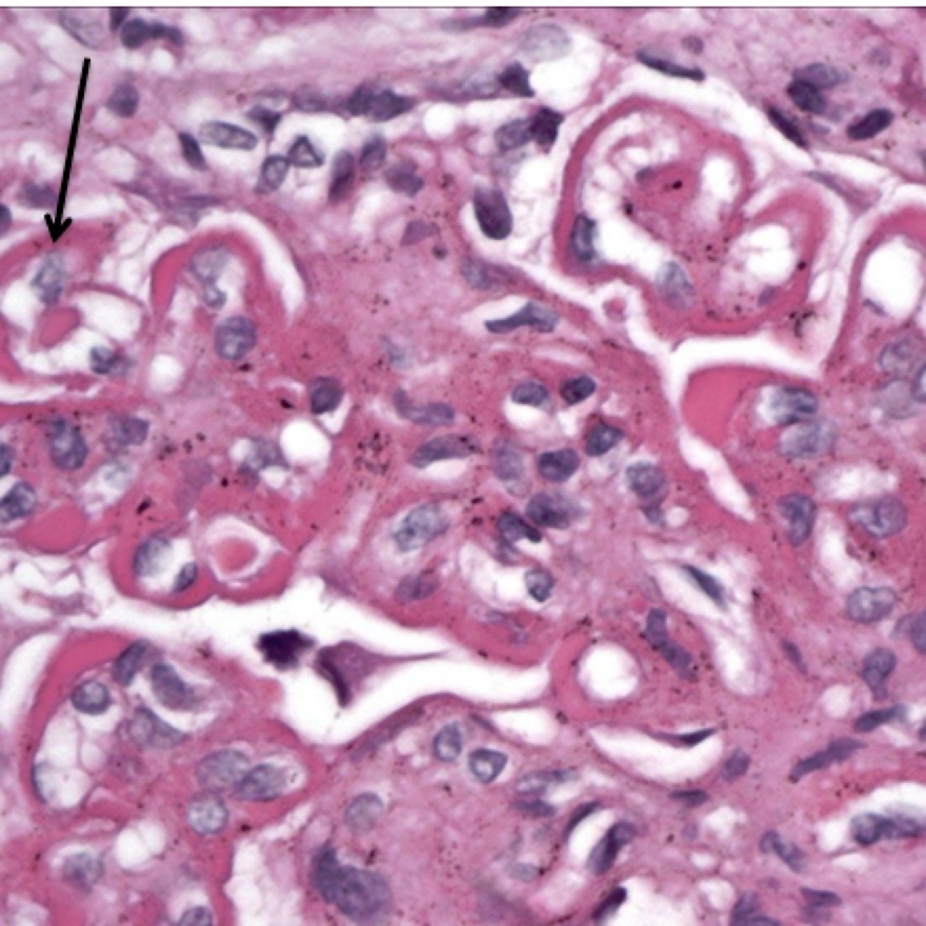
APSGN, enlarged hypercellular glomeruli, with dense subepithelial humps on the basement membrane.

How well did you know this?
1
Not at all
2
3
4
5
Perfectly
9
Q
A

Goodpasture syndrome , linear pattern

How well did you know this?
1
Not at all
2
3
4
5
Perfectly
10
Q
A

Membranous nephropathy

How well did you know this?
1
Not at all
2
3
4
5
Perfectly
11
Q
A

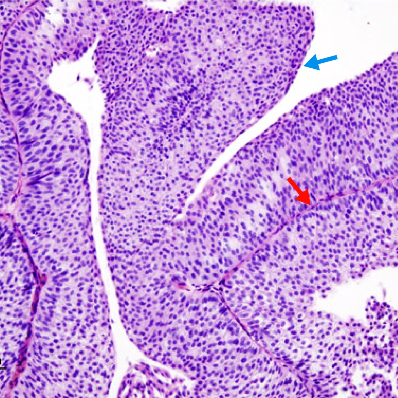
fibrovascular cores (red arrow)
Transtional cell carcinoma of the bladder

How well did you know this?
1
Not at all
2
3
4
5
Perfectly
12
Q
A

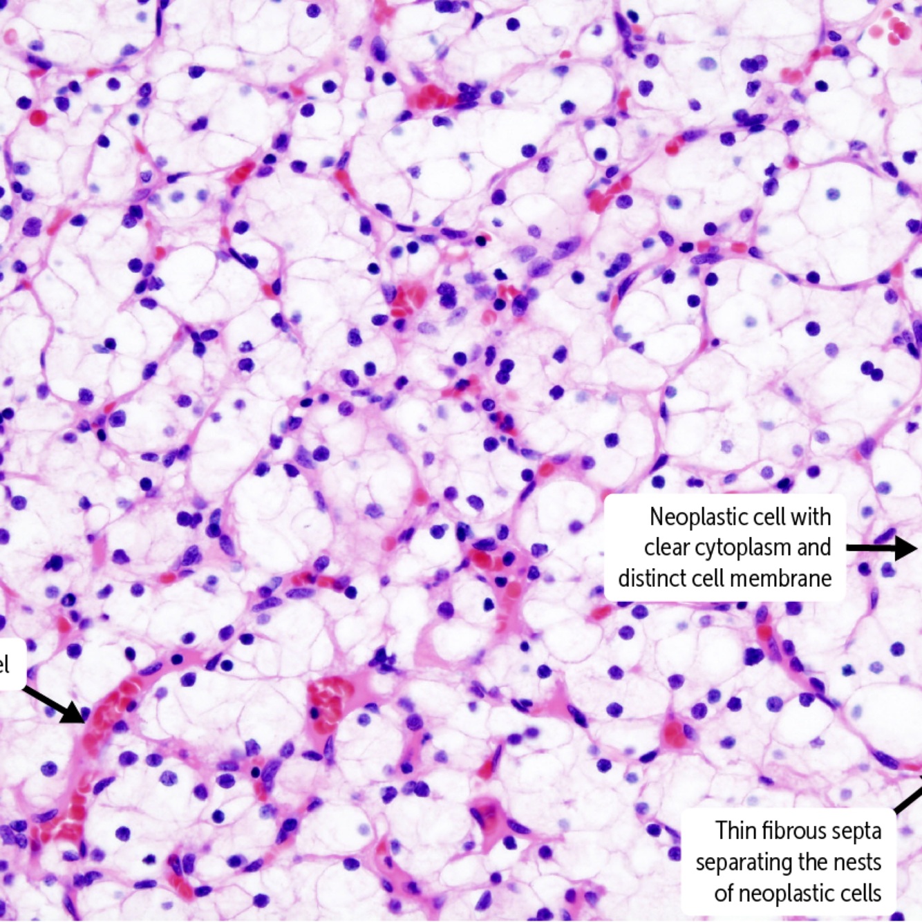
RCC

How well did you know this?
1
Not at all
2
3
4
5
Perfectly
13
Q
A

Membranous proliferative GN

How well did you know this?
1
Not at all
2
3
4
5
Perfectly
14
Q
A

Coffin lid
(“sarcophagus”) Ammonium † ph magnesium phosphate (struvite)

How well did you know this?
1
Not at all
2
3
4
5
Perfectly
15
Q
A

Rhomboid of uric acid stones

How well did you know this?
1
Not at all
2
3
4
5
Perfectly
16
Q
A

focal segmental GS

17
Q
18
Q
A

Cystine stone (hexagonal )

21
Q
22
Q
23
Q
24
Q
A

Granular casts

25
WBC casts
26
Renal
Acute pyelonephritis: many leukocytes in the tubule
27