CVS 3 Flashcards

(85 cards)

1
Q

parasympathetic control of HR by what nerve?

A

vagus nerve

How well did you know this?
1
Not at all
2
3
4
5
Perfectly
2
Q

sympathetic control of Heart contraction by what spinal cord segments?

A

T1-T4

rooted to heart and coronary arteries via

cardipulmonary nerve plexus = situated at the bifurcation of the trachea

How well did you know this?
1
Not at all
2
3
4
5
Perfectly
3
Q

autonomic motor fibres that supply the heart travel from?

A
  1. parasympathetic - vagus nerve
  2. sympathetic - T1-T4 via cardiopulmonary nerve plexus
How well did you know this?
1
Not at all
2
3
4
5
Perfectly
4
Q

Sensory and pain fibres from the hear wall travel to what spina cord level?

A

T1-T4

sympathetic nerves

note (the somatic - sensory nerves in T1-4 supply determatomes on inner aspect of arm - so pain from heart = can be interpreted as coming from dermatomes instead of heart (e.g/ left upper arm) upper arm dermatomes because these are strong impulses than autonomic ones

How well did you know this?
1
Not at all
2
3
4
5
Perfectly
5
Q

modified cells in SA node are known as

A

Purkinje cells (nodal cells)

How well did you know this?
1
Not at all
2
3
4
5
Perfectly
6
Q

outline conducting system

A
  1. sinoatrial node
  2. atrioventricular node
  3. Bundle of His
  4. Left and right bundle branches
  5. Purkinje fibres
How well did you know this?
1
Not at all
2
3
4
5
Perfectly
7
Q

sympathetic innervation of the heart

A

T1-T4 spinal segment

SA node/AV node

but also

myocardium muscle/cardiac muscle - can increase contractility

How well did you know this?
1
Not at all
2
3
4
5
Perfectly
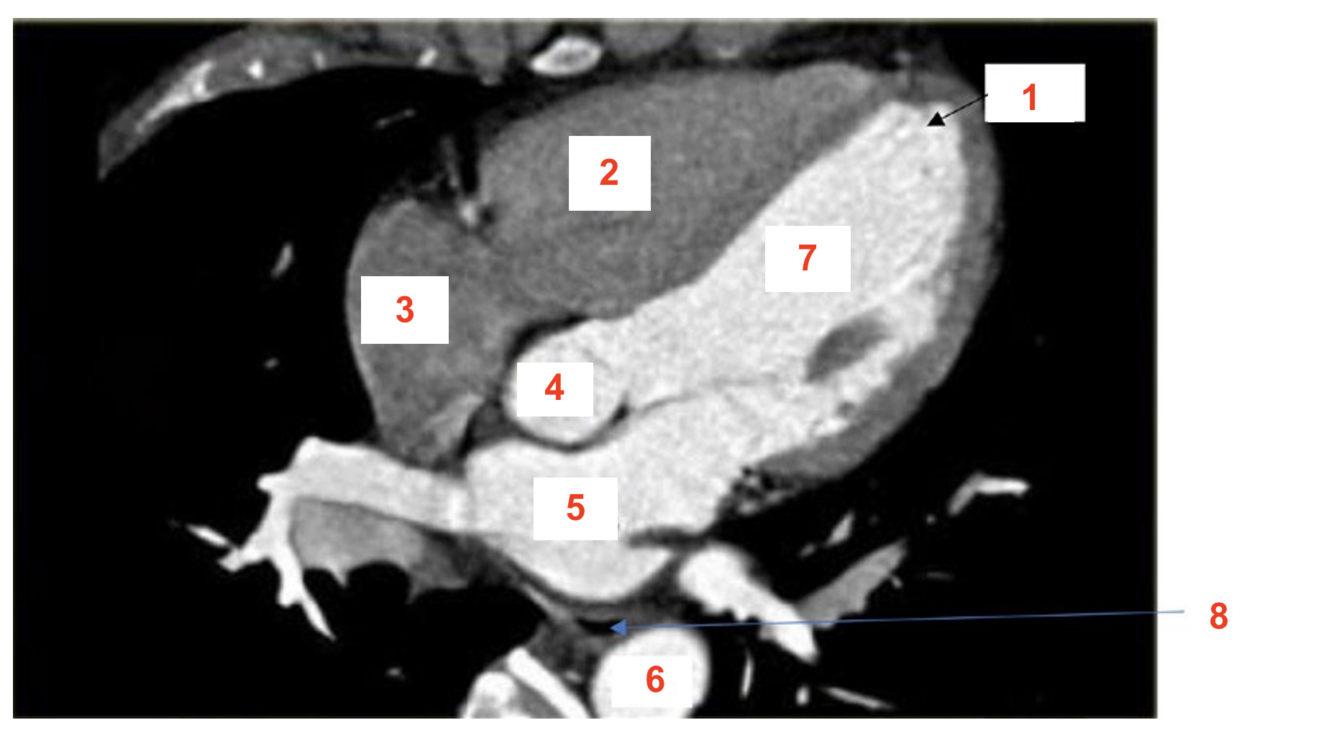
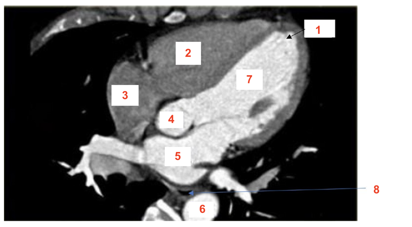
8
Q

label

A
  1. SA node
  2. Inter-atrial pathways (bachmans bundle)
  3. Internodal pathways
  4. AV node
  5. Bundle of HIS
  6. RIGHT bundle branch
  7. LEFT bundle branch
  8. Purkinje fibres
How well did you know this?
1
Not at all
2
3
4
5
Perfectly
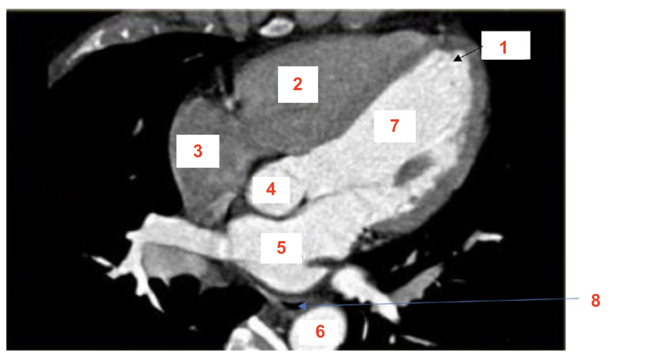
9
Q

label

A
  1. SA node
  2. Inter-atrial pathways (bachmans bundle)
  3. Internodal pathways
  4. AV node
  5. Bundle of HIS
  6. RIGHT bundle branch
  7. LEFT bundle branch
  8. Purkinje fibres
How well did you know this?
1
Not at all
2
3
4
5
Perfectly
10
Q

Why is angina pain referred much more often to the left upper arm than the right?

A

heart is situated more to the left side of the chest and so the brain will interpret the pain impulses as coming from the left arm more frequently than it does the right arm

How well did you know this?
1
Not at all
2
3
4
5
Perfectly
11
Q

Where is the SA node found

A

Right atrium

near opening of SVC

How well did you know this?
1
Not at all
2
3
4
5
Perfectly
12
Q

where is the AV node found

A

near the coronary sinus on the inferior part of

-> interatrial septum.

How well did you know this?
1
Not at all
2
3
4
5
Perfectly
13
Q

c) The atrioventricular bundles (of His) - lie within each side of the ???

A

interventricular septum

How well did you know this?
1
Not at all
2
3
4
5
Perfectly
14
Q

label 1

A

RV

How well did you know this?
1
Not at all
2
3
4
5
Perfectly
15
Q

2

A

Apex

How well did you know this?
1
Not at all
2
3
4
5
Perfectly
16
Q

3

A

RA

How well did you know this?
1
Not at all
2
3
4
5
Perfectly
17
Q

4

A

LV

How well did you know this?
1
Not at all
2
3
4
5
Perfectly
18
Q

5

A

oesophagus

How well did you know this?
1
Not at all
2
3
4
5
Perfectly
19
Q

6

A

LA

How well did you know this?
1
Not at all
2
3
4
5
Perfectly
20
Q

7

A

aorta

How well did you know this?
1
Not at all
2
3
4
5
Perfectly
21
Q

8

A

azygos vein

How well did you know this?
1
Not at all
2
3
4
5
Perfectly
22
Q

1

A

Apex

How well did you know this?
1
Not at all
2
3
4
5
Perfectly
23
Q

2.

A

RV

How well did you know this?
1
Not at all
2
3
4
5
Perfectly
24
Q

3

A

RA

How well did you know this?
1
Not at all
2
3
4
5
Perfectly
25
4
Ascending aorta
26
5
LA
27
6
Descending aorta
28
7
LV
29
8
oesphagus
30
1
trachea
31
2
aortic knuckle/knob
32
3
RA
33
4
LV
34
5
APEX
35
circumflex artery
36
the left marginal artery of the heart is a branch of the
circumflex artery
37
the left marginal artery of the heart is a branch of the
circumflex artery
38
Pectinate muscles
39
Moderator band
40
External iliac artery
41
What is Coarctation of the Aorta?
Coarctation of the aorta is a birth defect in which a part of the aorta is narrower than usual.
42
left
43
right ventricle
44
superior vena cava
45
5th left intercostal space
46
Sinus venosus - coronary sinus developed from sinus venosus
47
middle cardiac vein
48
trabeculae carneae
49
right ventricle
50
left brachiocephalic vein
51
left **BUNDLE BRANCH** of bundle of HIS
52
innervation of the SA node and AV node
sympathetic - T1-T4 parasympathetic - vagus nerves
53
where is the atrioventricular (bundles of HIS) situated in the heart?
interventricular septum
54
Distal to the inguinal ligament, the external iliac artery becomes the
common femoral artery
55
Bifurcation of the abdominal aorta into common iliac arteries
L4
56
main branches of the ascending aorta
left and right coronary arteries
57
main branches of descending aorta
* posterior intercostal arteries * * oesophageal arteries * * bronchial arteries * * mediastinal branches
58
◦ Common iliac arteries – arise at vertebral level
L4 and lie in the iliac fosse
59
◦ External iliac arteries – arise from the common iliac arteries at vertebral level
L5
60
◦ Internal iliac arteries – arise from the common iliac arteries at vertebral level
L5
61
internal thoracic arteries arise from?
the subclavian arteries
62
◦ Arteries have branches, while veins have
tributaries.
63
branches of veins are called
tributaries.
64
the great veins
SVC and IVC
65
the great arteries
aorta and pulmonary trunk
66
The SVC drains blood from the
head, neck and upper limbs
67
the IVC drains blood from
the abdominal, pelvic cavities and lower limbs
68
what do the anterior intercostal veins drain into
the internal thoracic vein
69
what drains the posterior intercostal veins
azygos venous system -> SVC drains blood from posterior Intercostal veins into the SVC
69
what drains the posterior intercostal veins
azygos venous system -> SVC drains blood from posterior Intercostal veins into the SVC
70
the hemiazygos veins drain into?
the azygos vein by crossing from left to right at T8/T9
71
what vertebrae level does the hemiazygos vein cross over to drain into the azygos vein
T8/T9
72
the azygos vein drains into
SVC
73
which chest wall veins are drained by the ayzgos and hemiazygos veins
posterior intercostal veins
74
when does the subclavian artery become the the axillary artery
lateral boarder of the first rib
75
the brachial artery bifurcates into?
radial and ulnar arteries at the cubital fossa
76
depression at the front of the elbow
cubital fossa (where brachial artery bifurcates into the ulnar and radilal arteries)
77
Dorsalis pedis artery
78
External iliac artery
79
right common illiac artery
80
Popliteal artery
81
Internal iliac artery
82
Posterior tibial artery
83
Anterior tibial artery
84
femoral artery