Tissues Flashcards

(146 cards)

1
Q

what are tissues?

A

CELLS (with similar function)

FIBRES

EXTRACELLULAR SUBSTANCE

tissues is formed from a collection of cells containing a predominant cell type - that work together to perform the same function

How well did you know this?
1
Not at all
2
3
4
5
Perfectly
2
Q

what is an organ

A

a collection of tissues, joined in a structural unit with a common function

How well did you know this?
1
Not at all
2
3
4
5
Perfectly
3
Q

the primary 4 tissue types

A
  1. connective tissue (blood, bone ,muscle)
  2. epithelial tissue
  3. muscle
  4. nerve
How well did you know this?
1
Not at all
2
3
4
5
Perfectly
4
Q

blood is considered what type of tissue?

A

connective

How well did you know this?
1
Not at all
2
3
4
5
Perfectly
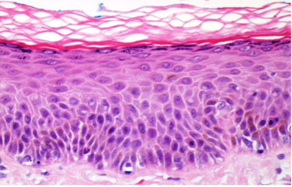
5
Q

What type of tissue is this and where is it found, and function?

A

The skin

keratinized - stratified squamous epithelium

function - PROTECTION is tough, relatively impermeable, and self-replacing.

How well did you know this?
1
Not at all
2
3
4
5
Perfectly
6
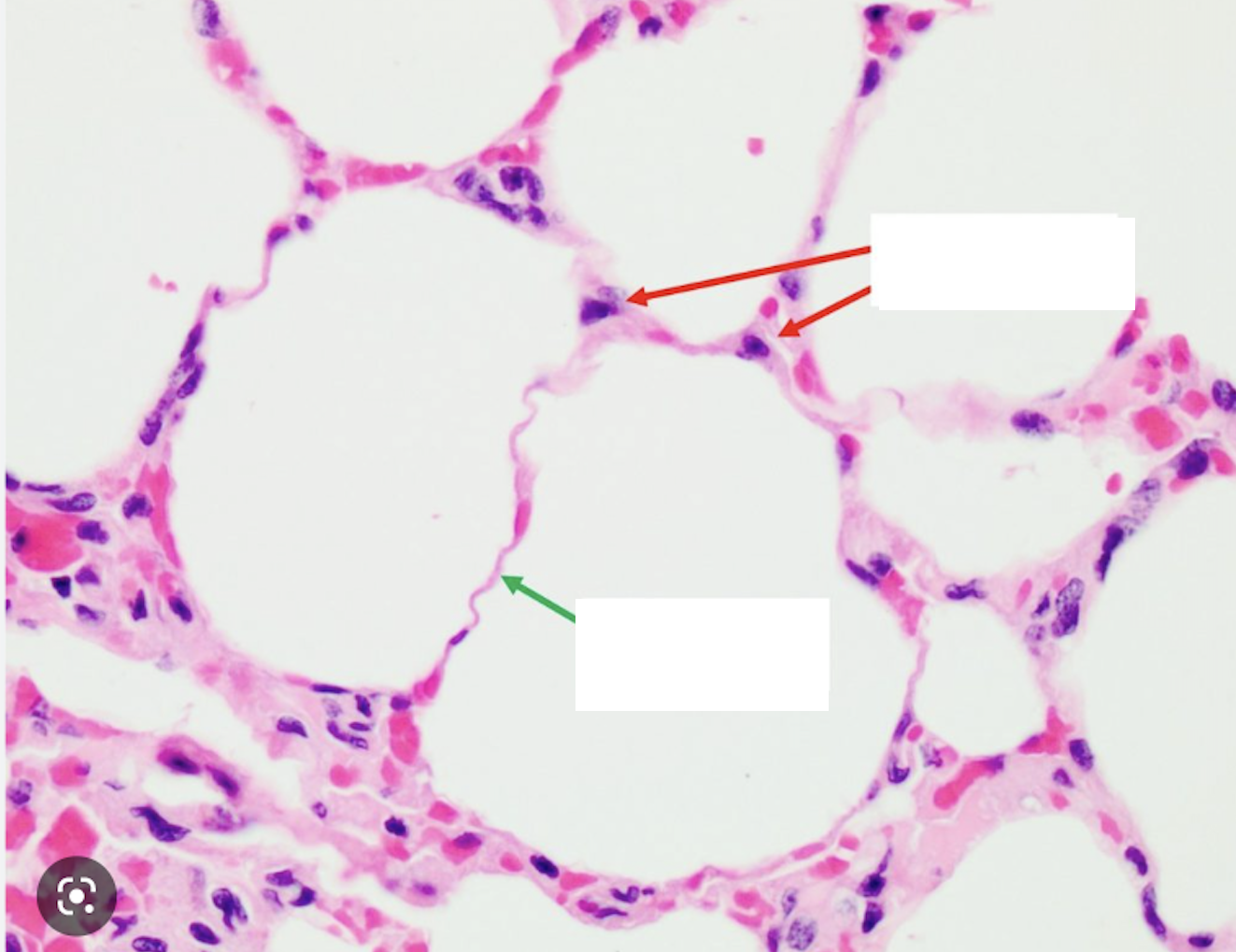
Q

type of tissue, and location, function

red and green arrows are?

A

Found in the alveoli

Simple squamous epithelium

Thin walled- flat cells - gas exchange/diffusion

Red arrow T2 pneumocytes/alveolar cells
Green arrow T1 - the squamous

How well did you know this?
1
Not at all
2
3
4
5
Perfectly
7
Q

Key features of epithelial tissue

A
  • cell rich - have dense populations of cells /bound tightly
  • Are on the surface/form covering on all internal/external surfces on body
  • Protection, absorption , diffusion., form glands to produce secretions
How well did you know this?
1
Not at all
2
3
4
5
Perfectly
8
Q

Two places you can find simple squamous epithelium

A
  • alveolar type 1 cells
  • capillaries - endothelium
How well did you know this?
1
Not at all
2
3
4
5
Perfectly
9
Q

where is pseudostratified epithelium found

A

Pseudostratified epithelium is also sometimes referred to as respiratory epithelium, since ciliated pseudostratified columnar epithelia is mainly found in the larger respiratory airways of the

->nasal cavity, trachea and bronchi.

How well did you know this?
1
Not at all
2
3
4
5
Perfectly
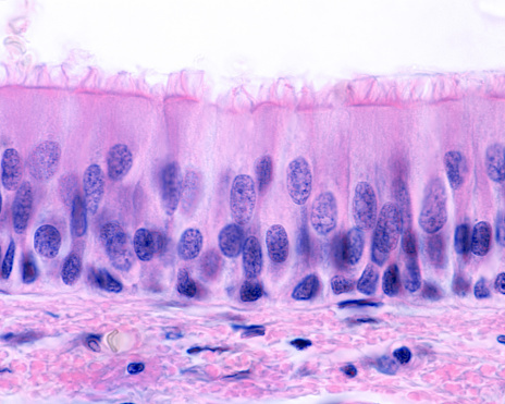
10
Q

location, type , function

A

cilliated pseudostratified columnar epithilum

Trachea (nasal cavity, bronchi)

Protection -help trap and transport particles brought in through the nasal passages and lungs.

How well did you know this?
1
Not at all
2
3
4
5
Perfectly
11
Q

What makes up the ECM

A

fibres + ground substance + fluid

How well did you know this?
1
Not at all
2
3
4
5
Perfectly
12
Q

connective tissue is formed from the mesoderm

a. true
b. false

A

a. true

How well did you know this?
1
Not at all
2
3
4
5
Perfectly
13
Q

Three types of cartilage

A
  1. hyaline
  2. elastic
  3. fibrocartiglage
How well did you know this?
1
Not at all
2
3
4
5
Perfectly
14
Q

where is hyaline cartilage found

A

walls of respiratory tract- nose, larynx, trachea

ribs - costal cartilages

epiphyseal plates of long bones

How well did you know this?
1
Not at all
2
3
4
5
Perfectly
15
Q

where is fibrocartilage found

A

intervertebral disc

secondary cartilaginous joints e.g. pubic symphysis

How well did you know this?
1
Not at all
2
3
4
5
Perfectly
16
Q

where is elastic cartilage found

A

epiglottis

external ear

How well did you know this?
1
Not at all
2
3
4
5
Perfectly
17
Q

type of tissue

A

hyaline cartilage

connective tissue

features -> chrondrocyte in lacunae

How well did you know this?
1
Not at all
2
3
4
5
Perfectly
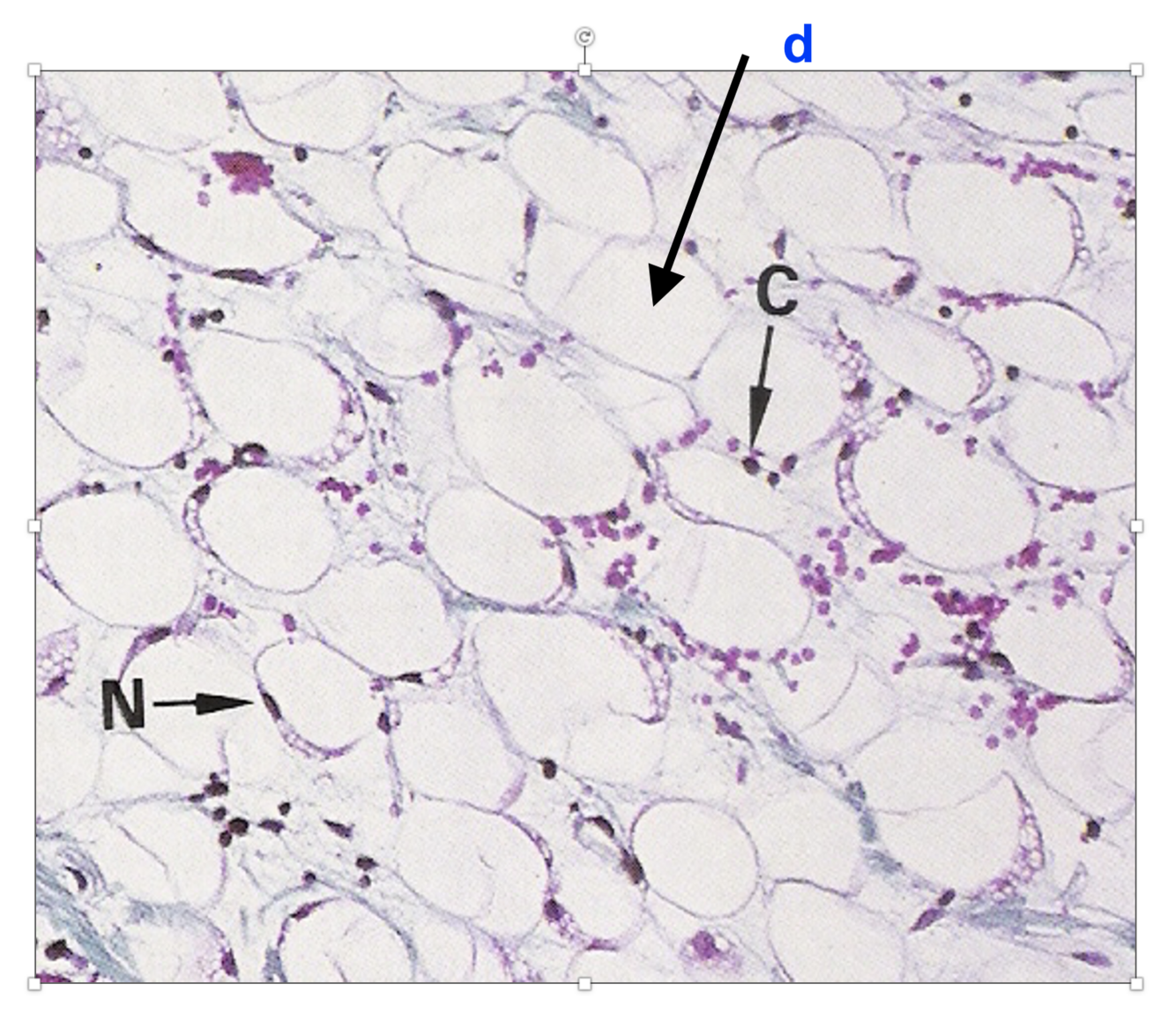
18
Q

type of tissue?

and labels

function

A

adipose tissue

d- adipocyte
C - capillary
N - nucelus

function - energy storage , insulation

How well did you know this?
1
Not at all
2
3
4
5
Perfectly
19
Q
A

adipose tissue

adipocyte

How well did you know this?
1
Not at all
2
3
4
5
Perfectly
20
Q

what is the function of this epithelium tissue

A

protection

stratified squamous

How well did you know this?
1
Not at all
2
3
4
5
Perfectly
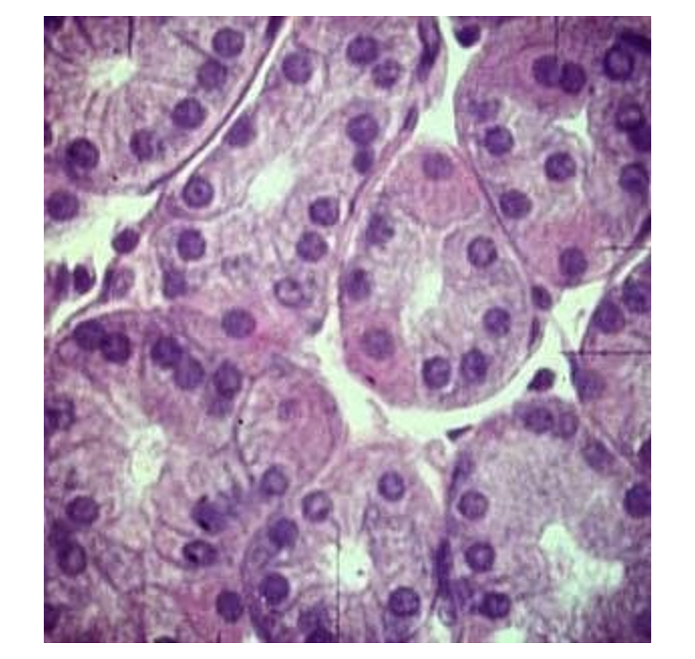
21
Q

The structures shown below represents which type of tissue?
Choose the single best answer (SBA)

a. Loose connective tissue
b. Muscle
c. Dense regular connective tissue
d. Epithelium
e. Nerve tissue

A

epithelium

gland acini

How well did you know this?
1
Not at all
2
3
4
5
Perfectly
22
Q

Concerning the muscle type shown below, choose the single best answer
a. It is striated
b. It is found in the heart
c. It is non-striated
d. It is attached to the skeleton
e. It is voluntary

A

is non striated

How well did you know this?
1
Not at all
2
3
4
5
Perfectly
23
Q

structure of trachea and bronchi from lumen to outside tube

A

mucosa
submucosa
smooth muscle
cartilage
adventitia

How well did you know this?
1
Not at all
2
3
4
5
Perfectly
24
Q

The two layers of mucosa in extrapulmonary tubes (trachea/bronchi) outside of lung

A
  • respiratory epithelium
  • lamina propria (thin/loose connective tissue layer)
How well did you know this?
1
Not at all
2
3
4
5
Perfectly
25
label 1-5
1. Adventitia 2. Smooth muscle 3. Hyaline cartilage 4. Submucosa containing glands. 5. Mucosa-> Respiratory epithelium lying on basement membrane followed by lamina propria.
26
label 1
Adventitia
27
label 2
smooth muscle
28
label 3
hyaline cartilage
29
label 4
submucosa containing glands
30
label 5
Mucosa (2 layers) -Respiratory epithelium lying on basement membrane - followed by lamina propria.
31
o Which connective tissue fibre (collagen, elastic, reticular) predominates in the respiratory tract?
elastic
32
o Which type of cartilage (hyaline, fibro-, elastic) is found in the respiratory tract?
hyaline
32
o Which type of cartilage (hyaline, fibro-, elastic) is found in the respiratory tract?
hyaline
33
o Which type of muscle fibre (skeletal, smooth) is found in the respiratory tract?
smooth muscle
34
name cells found in epithelial layers of airway
- cilia - basal - goblet - brush - small granule cells
35
ciliated pseudostratified columnar epithelium is found?
trachea, main bronchi
36
lining of smaller bronchioles
simple columnar to the cuboidal epithelium,
37
lining of alveoli
thin squamous epithelium that allows for gas exchange
38
Tunica externa
39
4 layers of respiratory system
Mucosa (epithelium and supporting lamina propria) Submucosa Cartilage and/or Muscle layer Adventitia
40
epithelium of trachea
Ciliated pseudostratified columnar epithelium
41
intrapulmonary bronchi In the intrapulmonary bronchi, there is less cartilage, and it does not completely encircle the lumen. Contains layers of smooth muscle between the mucosa and submucosa
42
epithelium of bronchiole -describe
Pseudostratified ciliated columnar epithelium decreases in height in the bronchiole to finally become simple columnar to cuboidal epithelium (fewer cilia/non-ciliated in smaller bronchioles).
43
Which part of the airway has no cartilage?
bronchiole
44
the changes in epithelium from trachea to bronchiole
pseudostratified ciliated columnar epithelium simple columnar with fewer cilia to ciliated cuboidal epithelium.
45
LOOK AT ALVEOLI
LOOK Type I pneumocytes: large flattened cells - (95% of the total alveolar area) which present a very thin diffusion barrier for gases. Type II pneumocytes (making up 5% of the total alveolar area, but 60% of total cells). These cells secrete 'surfactant' which decreases alveolar surface tension and stops alveoli collapsing when we breathe out. Macrophages (dust cell) are also present in the walls. These, when found in the lumen of the alveolus, are also known as “dust cells” due to their brownish appearance.
46
# extapulmonary respiratory label
1. Adventitia 2. Smooth muscle 3. Hyaline cartilage 4. Submucosa containing glands. 5. Mucosa: Respiratory epithelium lying on basement membrane followed by lamina propria.
47
o Which type of cartilage (hyaline, fibro-, elastic) is found in the respiratory tract?
hyaline
48
o Which connective tissue fibre (collagen, elastic, reticular) predominates in the respiratory tract?
elastic
49
o Which type of muscle fibre (skeletal, smooth) is found in the respiratory tract?
smooth
50
what is the name of the smooth muscle in the trachea
trachealis can contract - expluse air quicker
51
. In which tissue layer of the trachea are the secretory glands found?
submucosa
52
how distinguish intrapulmonary bronchus from extrapulomnary
- the hyaline cartilage is DISCONTINUOUS - distinguish from BRONCHIOLE - **which have NO cartilage**
53
the last components of the conducting portion of the respiratory system
terminal bromchioles
54
epithelium of large and smaller bronchioles
low columnar (larger bronchioles) cuboidal (smaller bronchioles) *(and flattens out) completely to a simple (single) layer in the alveoli.
55
Bronchioles possess cells that secrete a substance which makes surfactant. These cell are known as
Clara (club cells)
56
differences between bronchus and bronchioles
bronchioles - have no cartilage - have no glands - increase in smooth muscle (constricting air flow)
57
what type of epithelium is found in the bronchioles
simple columnar to the cuboidal epithelium
58
Are there glands, cartilage or smooth muscle present in a bronchiole (yes or no)?
glands - no cartilage - no smooth muscle - yes
59
what structure is this? label a and b
artery a. tunica adventita b. tunica media
60
label structure what is the structure
vein b. tunica adventitia a. tunica meida
61
basic layers of all blood vessels
* Tunica intima - endothelial lining (simple sqaumous) - sub-endothelial layer * Internal elastic lamina * Tunica media - smooth muscle * External elastic lamina * Tunica adventitia - dense irregular connective tissue
62
type of tissue
cardiac muscle a. striations b. intercalated discs
63
where would you find simple sqaumous epithelium
* alveoli * capillary
64
what type of tissue is bone?
specialised connective tissue
65
where would you find stratified sqamous cells
the skin protective/withstand abrasion
66
where would you find simple columnar cells?
in the small intestine = covered in microvilli specialised for absorption
67
wherre would you find pseudostratified columnar epithelium
trachea and bronchi (with cilia) and goblet cells protection
68
types of fibres in ECM and where found
1. collagen - e.g. tendons 2. elastic - aorta 3. recticular - lymph organs
69
the 3 types of connective tissue
1. loose (adipose/areolar) 2. dense - regular/irregular 3. specialised - cartilage, bone, blood
70
Exocrine glands
remain in contact with the epithelium by DUCTS and secrete into lumen of TUBES.
71
Endocrine
lose contract with epithelium and secrete directly into BLOOD VESSELS
72
Where is connective tissue found
1. Loose -> connects epithelial tissue to underlying structures 2. fibrous/dense - tendons, ligaments 3. adipose - energy storage 4. cartilage - outer ear, vertebral column, ends of nones 5. bones 6. blood- plasma
73
where is epithelial tissue found
lines outer and inner surfaces of body - inner lining of respiratory system, internal organs and blood vessels
74
where is nervous tissue found
neurons and supporting cells
75
Which cells secrete the fibres and extracellular matrix components of connective tissue?
fibroblasts
76
which type of gland is found closer to a blood supply/has a richer blood supply?
endocrine secretes hormones/substances directly into the bloodstream
77
primary location of loose connective tissue
underneath epithelia that cover surfaces initial site of defence against bacteria - many transient cell types
78
what type of tissue is adipose tissue
specialised loose connective rich blood supply
79
Components of connective tissue
1. fibres (collagen, elastic, recticular) 2. ground substance 3. tissue fluid - liquid
80
cells that syntesize the ECM and collagen
Fibroblasts
81
function of neuron
1. generation of nerve impulses /APs 2. conduction of nerve impulses/APs
82
4 regions of neruons
1. cell body - soma 2. dendrites 3. axon 4. terminals
83
unicellular exorcine gland
goblet cells (presenet in respiratory epithelium)
84
Example of merocrine gland | exocrine
sweat glands exocytosis secretions
85
Example of apocrine glands | exocrine
mammary glands axillary sweat glands
86
example of holocrine gland
sebaceous glands
87
Ductless, secrete into surrounding blood vessels
endocrine glands - thyroid gland (acini - round shaped)
88
basement membrane location and function
underlies the epithelium provides physical support/attachment seperate tissues
89
main function of simple sqaumous epithelium
absorptive
90
main function of glandular epithelium
secretory
91
main function of stratified epithelium
protection
92
Cillia
found in respiratory tract move debris up and out of the airway
93
microvilli
small intestine increase surface area of the cell and enhance absoprtion
94
pseudostratified
a single layer of epithelial cells that are in direct contact with the basement membrane, however, appear to be stratified due to the positioning of the cells
95
type of connective tissue found in muscle tendon/ligament
dense regular
96
type of connective tissue around dermis of skin/fibrous capsules of joints
dense irregular
97
type of connective tissue around organs and blood vessels
Loose
98
Which type of tissue can be found in aponeuroses, ligaments, and tendons?
dense fibrous - regular
99
The surface of the skin (epidermis) is composed of ___ ___ tissue.
stratified sqaumous
100
Which type of Epithelial Membranous tissue is found at the surface layer of mucous lining of intestine, stomach, and **part** of the respiratory tract.
- simple sqauous - simple columnar
101
Which type of tissue is located on the inner framework of bone marrow filtration, lymph nodes, and spleen?
adipose - recticular
102
Which type of tissue is found in the alveoli of the lungs.
simple squamous
103
This type of tissue is found in the ducts and tubules of many organs, including those of the exocrine glands and kidneys.
simple cuboidal
104
Which type of cartilage is located in the disk between vertebrae?
fibrocartilage
105
Which type of tissue is found in the nasal septum and covering articular surfaces of bones.
hyaline
106
Simple squamous tissue can be found at the surface layer of the pleura, pericardium, and peritoneum.
true
107
The epithelial lining of pericardium is
simple sqaumous
108
The type of tissue that covers the surface of the body and lines vessels and body cavities is
epithelial
109
The cilia originate from
basal granule
110
The epithelial tissue which form protective layer of the skin, buccal cavity and tongue is
stratified squamous
111
Salivary gland is an example of
alevolar gland
112
The excretory passages of the urinary system has a lining of epithelial cells which are elastic. These constitute the epithelial tissue called
transitional epithelium
113
All the cells rest on a basement membrane in epithelial tissue known as
connective tissue
114
Pseudociliated epithelium is a characteristic feature of mucous membrane of
the trachea
115
A "brush border" in the proximal kidney tubule is due to
mirovilli
116
Exocrine part of pancreas is classified as
tubulo-alveolar gland
117
Some glands contain glandular cells which lose apical part of cytoplasm with the secretion. Such glands are called
apocrine
118
Epithelial tissue is devoid of blood supply a. true b. false
a. true
119
unicellular mucous glands
goblet cells
120
In cuboidal epithelial cells, nuclei are situated
centrally
121
Minute cytoplasmic connections between cells of epithelium is known as
desmosomes
122
Exocrine glands containing glandular cells which shed themselves to secrete their products are known as
holocrine gands
123
Exocrine glands containing glandular cells which shed themselves to secrete their products are known as
holocrine gands
124
Example for a holocrine gland is
sebaceous gland
125
The largest volume of adult tissues in he body is derived from (in vertebrates)
mesoderm
126
Epithelial cell differs from connective and supporting tissues
more cellular substance
127
type of connective tissue found in muscle tendon/ligaments
dense regular
128
type of connective tissue found in dermis of skin/fibrous capsules of joints
dense irregular
129
type of connective tissue found around organs and blood vessels
loose
130
dense regular connective tissue
the extracellular collagen fibres are arranged in parallel bundles
131
dense irregular connective tissue
collagen fibres are not arranged in paralell
132
main sites can find adipose tissue
 Under the skin (subcutaneous fat)  Packed around internal organs (visceral fat)  Between muscles  Within bone marrow  Breast tissue
133
What is the main function of adipose tissue?
 Storing energy(as TAGs), insulation  Releasing important hormones
134
What is the main functional difference between white and brown adipose tissue?
white -> stores energy (predominant type in adults) brown -> releases stored energy as heat
135
3 types of fibres in ECM of connective tissue
- collagen - elastic - recticular
136
3 types of cells in loose connective tissue that have migrated from the blood stream
1. macrophages 2. monocytes 3. lymphocytes 4. mast cells 5. eosinophils 6. plasma cells
137
What 2 main components make up the extracellular matrix of connective tissues?
1. FIBRES : Collagen/elastic/reticular 2. GROUND SUBSTANCE substance
138
What is the name of cancer (malignancy) that results from the uncontrolled proliferation of epithelial cells?
carcinoma
139
What is the name of cancer (malignancy) that results from uncontrolled proliferation of connective tissue cells?
sarcoma
140
white adipose tissue
141
dense compact bone
142
simple cuboidal
143
transitional
144
pseudostratified columnar epithelium
145
what type of tissue are tendons?
dense regular connective tissue