CXR Flashcards

(41 cards)

1
Q

What are the broad steps of assessing an X-ray?

A

Confirm patient details (Name, DOB, unique ID number)

Assess quality of image (RIPE)

Structured interpretation of CXR (ABCDE)

How well did you know this?
1
Not at all
2
3
4
5
Perfectly
2
Q

What does RIPE stand for?

A

Rotation: spinous process should be betwen medial ends of both the clavicles
Inspiration: should see at least 7 anterior or 9 posterior ribs
Projection: AP or PA?
Exposure: Vert should be visible behind the heart and left hemidiaphragm should be visibile to the edge of the spine

How well did you know this?
1
Not at all
2
3
4
5
Perfectly
3
Q

What considerations needed for AP CXR? [1]

A

Heart size is magnified in AP view - can’t tell if that is pathological or due to XR

How well did you know this?
1
Not at all
2
3
4
5
Perfectly
4
Q

Indiviudally what do the ABCDE stand for?

A

Airway
Breathing
Circulation
Diaphragm
Everything else

How well did you know this?
1
Not at all
2
3
4
5
Perfectly
5
Q

When investigating abnormalites in airways on a CXR, what would you look out for? [3]

A

Tracheal deviation

Obstruction/inhaled foreign bodies

Hilum abnormalities

How well did you know this?
1
Not at all
2
3
4
5
Perfectly
6
Q

What pathology would be indicated by trachea being pushed to R/L?

A

Trachea push indicates pneumothorax due to increase in volume forcing the trachea in opposite direction

Tension pneumothorax is a medical emergency

How well did you know this?
1
Not at all
2
3
4
5
Perfectly
7
Q

What pathology would be indicated by trachea being pulled to R/L?

A

Trachea push indicates pneumothorax due to decrease in volume (and pressure) forcing the trachea in opposite direction

E..g Lobar collapse;
Lobectomy

How well did you know this?
1
Not at all
2
3
4
5
Perfectly
8
Q

Inhaled foreign objects are more likely to be lodged into which bronchus? [1]

A

Right bronchus

How well did you know this?
1
Not at all
2
3
4
5
Perfectly
9
Q

What pathology would be indicated by englarged hilum?

A

Asymmetry/enlargement raises suspicion of pathology e.g:
* Lymphadenopathy and tumours
* Pulmonary venous hypertension
* Pulmonary arterial hypertension

How well did you know this?
1
Not at all
2
3
4
5
Perfectly
10
Q

What are common CXR presentations for breathing dificulties? [6]

A

Common presentations
Consolidation
Lung mass
Pulmonary oedema
Pneumothorax
Pleural effusion

How well did you know this?
1
Not at all
2
3
4
5
Perfectly
11
Q

How does consolidation appear on a CXR?

What is consolidation commonly caused by? [3]

A

Consolidation: opacification

Mostly due to pneumonoia BUT also due to malignancy / PE

(would repeat CXR to see if DD)

How well did you know this?
1
Not at all
2
3
4
5
Perfectly
12
Q

What can cause a lung mass on CXR? [4]

A
  • Lung cancer
  • Abscess
  • Infection
  • Granuloma
How well did you know this?
1
Not at all
2
3
4
5
Perfectly
13
Q

What does pulmonary oedema look like on CXR? What markers do you look for?

A

Pulmonary oedema:
- Fluid in alveolar and interstitial space
- Kerley B linees
- Batwing opacities

How well did you know this?
1
Not at all
2
3
4
5
Perfectly
14
Q

What does pleural effusion look like on CXR? What markers do you look for?

A

Fluid in the pleural space:
- Blunting of the costrophrenic and cardiophrenic angles

How well did you know this?
1
Not at all
2
3
4
5
Perfectly
15
Q

What is pneumothorax caused by?

What does it look like on a CXR?

A

Pneumothorax: Air within the pleural space
/ a collapsed lung

How well did you know this?
1
Not at all
2
3
4
5
Perfectly
16
Q

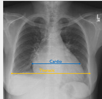
What 3 things are you looking for when assessing cardiac pathology in CXR? [3]

A
  • Heart size: Normal cardiothoracic ratio ≤ 0.5
  • Heart borders
  • Mediastinal contours
How well did you know this?
1
Not at all
2
3
4
5
Perfectly
17
Q

What can cardiomegaly be caused by? [4]

A

Commonly due to heart failure with a long list of possible causes…
* Hypertension
* Valvular heart disease
* Cardiomyopathy
* Myocardial infarction

18
Q

What causes indistinguishable heart borders on a CXR?

A

Pathology of overlying tissue (e.g infection)

19
Q

Which diaphragm is more raised in a CXR?

20
Q

What 4 things are you looking for when assessing diaphragm pathology in CXR? [4]

A
  • Hemidiaphragm levels- R>L
  • Shape
  • Costophrenic and cardiophrenic angles
  • Air beneath diaphragm: pneumoperitoneum
21
Q

Pneumoperitoneum is
commonly caused by? [1]

A

Pneumoperitoneum (air under diaphragm) is
commonly caused by perforation of the bowel

22
Q

How can you ID hyperinflated lungs on a CXR? [3]

A
  • Marked hyperinflation
  • Flattened diaphragm
  • Can see 10 anterior ribs- much more than normal
23
Q

What would hyperinflated lungs most commonly be caused bY?

A

Seen most commonly in COPD

24
Q

What could cause diaphragm elevation? [1]

A

phrenic nerve palsy [1]

25
What should you look for in everything else on CXR? [6]
* Bones * Soft tissues * NG tubes * Pacemakers * Lines * Artificial heart valves
26
What does this CXR indicate? - Pneumoperitoneum - Pneumothorax - Pulmonary oedema - Consolidation - Pleural effusion
What does this CXR indicate? - Pneumoperitoneum - **Pneumothorax** - Pulmonary oedema - Consolidation - Pleural effusion
27
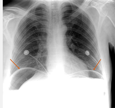
What does this CXR indicate? - Pneumoperitoneum - Pneumothorax - Pulmonary oedema - Consolidation - Pleural effusion
What does this CXR indicate? - Pneumoperitoneum - Pneumothorax - Pulmonary oedema - Consolidation **Pleural effusion: blunted costophrenic edges**
28
What does this CXR indicate? - Pneumoperitoneum - Pneumothorax - Pulmonary oedema - Consolidation - Pleural effusion
What does this CXR indicate? - Pneumoperitoneum - Pneumothorax - Pulmonary oedema - **Consolidation** - Pleural effusion
29
What does this CXR indicate? - Pneumoperitoneum - Pneumothorax - Pulmonary oedema - Consolidation - Pleural effusion
What does this CXR indicate? - **Pneumoperitoneum** : **Gas is beneath both hemidiaphragms, more prominent on the right, in keeping with a pneumoperitoneum. Sternotomy wires** - Pneumothorax - Pulmonary oedema - Consolidation - Pleural effusion
30
What does this CXR indicate? - Pneumoperitoneum - Pneumothorax - Pulmonary oedema - Consolidation - Pleural effusion
What does this CXR indicate? Pneumoperitoneum Pneumothorax **Pulmonary oedema** Consolidation Pleural effusion *In the context of acute pulmonary oedema, alveolar oedema radiates symmetrically from the hilar regions in a ‘bat's wing’ distribution of airspace shadowing Note the enlarged heart (CTR 60%) and the cardiac surgery artifact – sternal wires and metallic heart valve Blunting of the costophrenic angles is due to pleural effusions – interstitial fluid has leaked into the pleural cavity*
31
Which of the following is NOT a sign of acute pulmonary oedema? Bat wing appearance Kerley B lines Upper Lobe division Costrophrenic blunting
Which of the following is NOT a sign of acute pulmonary oedema? Bat wing appearance Kerley B lines Upper Lobe division **Costrophrenic blunting**
32
Which of the following is NOT a sign of acute pulmonary oedema? Bat wing appearance Kerley B lines Upper Lobe division Costrophrenic blunting
Which of the following is NOT a sign of acute pulmonary oedema? Bat wing appearance Kerley B lines Upper Lobe division **Costrophrenic blunting**
33
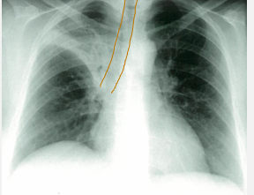
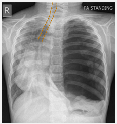
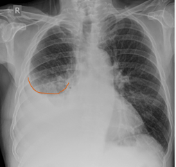
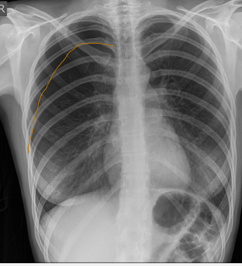
What pathology is depicted in this CXR? [1]
right sided pneumonia [1]
34
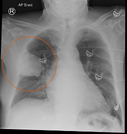
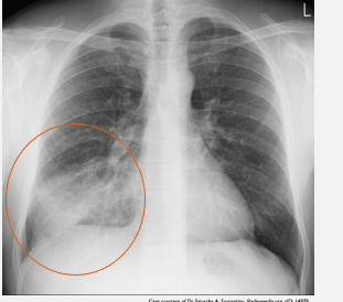
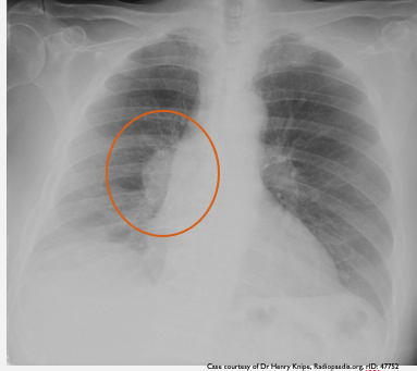
What pathology is indicated in this CXR? [1]
Right sided pneumothorax? [1]
35
What pathology the most likely cause of this CXR? [1]
Hyperinflation: most comonly caused by COPD
36
Name the CXR finding in this CXR [1]
diaphragm elevation
37
What has happened here? Pneumothorax Mass growth Haemothorax Malignant effusion
What has happened here? Pneumothorax Mass growth Haemothorax **Malignant effusion**
38
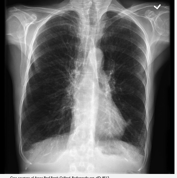
Which pathology is shown here? Pleural effusion Pulmonary oedema Cardiomegaly Heart Valve Normal CXR
Pleural effusion Pulmonary oedema **Cardiomegaly** Normal CXR
39
What is the major pathological finding in this image ? Pleural effusion Pulmonary oedema Cardiomegaly Heart Valve Normal CXR
What is the major pathological finding in this image ? Pleural effusion **Pulmonary oedema** Cardiomegaly Heart Valve Normal CXR *There is bilateral patchy opacification of the lung fields, which would be in keeping with pulmonary oedema.*
40
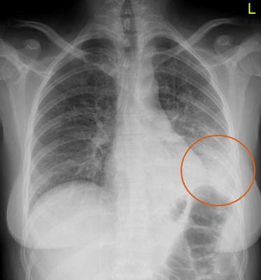
What is the major pathological finding in this image ? Pleural effusion Pulmonary oedema Cardiomegaly Heart Valve Normal CXR
What is the major pathological finding in this image ? **Pleural effusion** Pulmonary oedema Cardiomegaly Heart Valve Normal CXR *There is a moderate right-sided pleural effusion. There is a meniscus and opacification clearly visible into the midzone of the right lung.*
41
What is the major pathological finding in this image ? Pleural effusion Pulmonary oedema Cardiomegaly Heart Valve Normal CXR