TB Flashcards

(33 cards)

1
Q

TB is an infection predominately caused by which bacteria?

A

Tuberculosis (TB) is an infection caused by Mycobacterium tuberculosis

How well did you know this?
1
Not at all
2
3
4
5
Perfectly
2
Q

Mycobacteria are:

  • gram-negative cocci shaped bacteria
  • gram-postive cocci shaped bacteria
  • gram-negative rod shaped bacteria
  • gram-postive cocci shaped bacteria
  • gram-negative spiral shaped bacteria
A

Mycobacteria are:

  • gram-negative cocci shaped bacteria
  • gram-postive cocci shaped bacteria

gram-negative rod shaped bacteria

  • gram-postive rod shaped bacteria
  • gram-negative spiral shaped bacteria
How well did you know this?
1
Not at all
2
3
4
5
Perfectly
3
Q

Which stain do you use for Tb? [2]

What colour do they appear when using this stain? [2]

A

Ziehl–Neelsen stain: bright- red colored rods when a is used.

Auramine: flourescent coloured

How well did you know this?
1
Not at all
2
3
4
5
Perfectly
4
Q

What is the most sensitive method of identifying TB? [1]

Why? [1]

A

TB culture
Allows identification and susceptibility testing - very important for treatment management

How well did you know this?
1
Not at all
2
3
4
5
Perfectly
5
Q

How does TB spread? [2]

A

Airbourne particles (called droplet nuclei) need to get to lungs
Can live on surfaces
Contagious, but not easily to acquire infection

How well did you know this?
1
Not at all
2
3
4
5
Perfectly
6
Q

What does probabilty that TB will transmit depend on? [6]

A

Infectiousness of person with active TB disease (lungs full of TB?)
Environment in which exposure occurred
Length of exposure
Virulence (strength) of the tubercle bacilli
Host immunity and co-morbidities

How well did you know this?
1
Not at all
2
3
4
5
Perfectly
7
Q

Pathogenesis of TB?

A
  • Inhaled bacteria in droplets carried into lungs:
    typically settle in subpleural area mid or lower lung zones
  • Engulfed by alveolar macrophages form Ghon Focus
  • TB laden macrophages travel to local lymph nodes
  • Form Primary complex (aka Ghon Complex) = primary TB lung infection in non-immune host (Ghon Focus, TB granuloma), plus draining lymph nodes.
  • 5% Ptx have primary pulmonary TB
  • 5% will control TB temporarily, but it will be reactivated later (latent): post primary TB
  • 90 % have no more disease progression
How well did you know this?
1
Not at all
2
3
4
5
Perfectly
8
Q

What is a ghon focus? [1]

What is a ghon complex? [1]

A

A small lung lesion known as a Ghon focus develops. The Ghon focus is composed of tubercle-laden macrophages.

The combination of a Ghon focus and hilar lymph nodes is known as a Ghon complex

How well did you know this?
1
Not at all
2
3
4
5
Perfectly
9
Q

How prevalent is latent TB is in the world?

How prevalent is latent TB is in the Ptx with HIV?

A
  • About 1.7 billion people, 23% of the world’s population, are estimated to have a latent TB infection
  • HIV: 30-50% TB disease
How well did you know this?
1
Not at all
2
3
4
5
Perfectly
10
Q

What is biggest risk factor for mTB reactivating? [1]

All suspected and confirmed cases of TB must have an WHAT test? [1]

A

HIV / AIDs (due to both infections impacting T helper cells)

All suspected and confirmed cases of TB must have an HIV test

How well did you know this?
1
Not at all
2
3
4
5
Perfectly
11
Q

Describe 3 groups for risk factors for TB reactivation?

A

Immunocompromised states:
- infection with HIV
- Diabetes mellitus
- Silicosis
- Malnutririon
- Ageing
- Prolonged therapy with corticosteroids
- Other immunosuppressive therapy
- Organ transplant

Substance abuse
- IV
- Alchoholics

Others:
* Tumor necrosis factor- alpha [TNF-α] antagonists (used in RA)
* Haematological malignancy
* Severe kidney disease /haemodialysis

How well did you know this?
1
Not at all
2
3
4
5
Perfectly
12
Q

Treatment of which drug type is a risk factor for TB re-activation?

A

Prolonged therapy of corticosteroids

How well did you know this?
1
Not at all
2
3
4
5
Perfectly
13
Q

What is the difference between pulmonary TB, extrapulmonary TB and miliary TB?

Which Ptx populations see each in?

A
  • Pulmonary TB: located in the lungs; most populations
  • Extrapulmonary TB: located not in the lungs (Larynx
    Lymph nodes, Pleura, Brain, Kidneys & adrenals, Bones and joints)
    ; younh children and HIV
  • Millary TB: Systemic; severly malnorished or IC
How well did you know this?
1
Not at all
2
3
4
5
Perfectly
14
Q

What are the roles of granulomas in TB infection? [1]

A

Granuloma serves to prevent further growth and spread of M tuberculosis.

How well did you know this?
1
Not at all
2
3
4
5
Perfectly
15
Q

Explain the pathology of primary TB

A

Primary TB:

  • Once ingested and inside the macrophage, they produce a protein that inhibits fusion of macrophage and lysosome, which allows the mycobacterium to survive
  • Proliferates, and creates a localized infection.
  • About 3 weeks after initial infection, cell-mediated immunity kicks in, and immune cells surround the site of TB infection, creating a granuloma, essentially an attempt to wall off the bacteria and prevent it from spreading.
  • The tissue inside the middle dies as a result, a process referred to as caseous necrosis, which means “cheese-like” necrosis, since the dead tissue is soft, white, and looks a bit like cheese. This area is known as a “Ghon focus.
How well did you know this?
1
Not at all
2
3
4
5
Perfectly
16
Q

Why would post-primary TB / reactivation of latent TB occur? [1]
Where is post primary TB most likely to be found ? [1]

A

Reactivation of latent TB causes: Post primary TB

  • If the host becomes immunocompromised the initial infection may become reactivated. Reactivation generally occurs in the apex of the lungs and may spread locally or to more distant sites.
  • In lungs characterized by cavitary lesions, typically in oxygen rich upper lobes. Relates to hosts previous exposure to MTB and immune response.
17
Q

Signs and symptoms of pulmonary TB?

A

SYMPTOMS
Fever
Night sweats
Weight loss and anorexia
Tiredness and malaise
Cough (most common symptom) > 3 weeks duration
Haemoptysis (occasionally)
Dyspnoea (Breathlessness) if pleural effusion

Signs
- Pyrexia
- Often no chest signs despite CXR abnormality
- Maybe crackles in affected area
- In extensive disease:
i) signs of cavitation (if large) – hyperresonance
ii) fibrosis – decreased lung expansion
- If pleural involvement: typical signs of effusion – decreased breath sounds over effusion, stony dullness to percussion, loss of tactile fremitus

18
Q

Investigations for TB? [5]

A

CXR (mainstay)
Sputum sample: ZN stain AND culture
Histology
Mantoux test
IFN-y assay

19
Q

Would would CXR of Ptx with TB present like? [3]

A

Apex of the lung often involved (more aerobic!)

Ill defined patchy consolidation

Cavitation usually develops within consolidation

Healing results in fibrosis

Hilar lymphadenopathy

20
Q

What would CXR look like in:

  • Primary TB
  • Reactivated TB
  • Millary TB
A

Primary TB may show patchy consolidation, pleural effusions and hilar lymphadenopathy

Reactivated TB may show patchy or nodular consolidation with cavitation (gas filled spaces in the lungs) typically in the upper zones

Disseminated Miliary TB give a picture of “millet seeds” uniformly distributed throughout the lung fields

21
Q

What vaccination do you give for TB? [1]
Which population do you give it to? [1]

A

BCG: Bacille Calmette-Guerin vaccine

Given to children: little evidence protecting adults

22
Q

How do you diagnose if you’ve got latent TB or not? [2]

A

Tuberculin sensitivity Test – aka PPD (Purified Protein Derivative) (Manteux) test:

  • Tuberculin is injected between layers of the dermis, tuberculin is a component of the bacteria, and if a person has previously been exposed to TB, the immune system reacts to the tuberculin and produces a small, localized reaction within 48 to 72 hours; if the reaction creates a large enough area of induration (rather than just redness), it’s considered to be a positive test.

DOESNT DISTINGUISH BETWEEN LATENT AND ACTIVE TB

IFN-γ assay

  • If patient has had TB infection, T lymphocytes produce interferon gamma in response – measured and compared with control sample.
23
Q

Which populations do we screen for latent TB? [1]

A

High risk populations: HIV / Immunocompromised. Test for reactivation

24
Q

First line treatment for TB? [4]

A

Standard treatment of TB disease is four-drug therapy - treatment with single drug can lead to development of a bacterial population resistant to that drug:

RIPE !

  • Rifampicin
  • Isoniazid
  • Pyrazinamide
  • Ethambutol
25
Second line Treatment medications for TB?
Quinolones (Moxifloxacin) Injectables Capreomycin, kanamycin, amikacin Ethionamide/Prothionamide Cycloserine PAS ( Para-aminosalicylic acid) Linezolid Clofazamine
26
How long do you treat TB for if there is no suspected CNS involvment or drug resistance? [1] Which drugs do you give and when? [4]
6 months total treatment duration **First two months**: Rifampicin, Isoniazid (with pyridoxine), Pyrazinamide, Ethambutol **Next 4 months** – if MTB drug susceptibility conforms- isoniazid (with pyridoxine) and rifampicin
27
Why might MTB drug resistance occur? [4]
* Natural history – during multiplication small number of naturally drug resistant organisms arise through spontaneous mutations * Improper drug regimens / poor drug compliance leads to selection of these mutants * Single and multi drug resistance * Diagnostic delays, overcrowding and inadequate infection control facilitates transmission of drug resistance
28
What is miliary TB? When does it occur? [1]
Miliary TB: - **systemic spread** of bacilli through blood stream - during: **primary infection** or **reactivation** - **lungs are always involved** - Often **multiple organs** involved Headaches suggest meningeal involvement Pericardial,pleural effusions Ascites(involvement of peritoneum) Retinal involvement (choroid tubercles in the eye) Adrenal galnds – may causes adrenal insufficiency
29
Name 5 places that extra-pulmonary TB likely spread to [3]
**Lymphadenitis** Cervical LNs most commonly Abscesses & sinuses **Gastrointestinal** Swallowing of tubercles in mucous coughed up – any part gut Peritoneal Ascitic or adhesive **Genitourinary** Slow progression to renal disease Subsequent spreading to lower urinary tract **Bone & joint Haematogenous spread** Spinal TB most common- called Pott’s disease **Tuberculous meningitis** Chronic headache, fevers CSF – markedly raised proteins, lymphocytosis
30
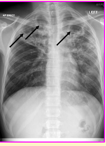
Dr de Silva, a junior doctor, spent 6 months working in a refugee camp in Thailand. She presents to her GP with fatigue, malaise and cough of one month's duration occasionally productive of rust-coloured sputum. Dr de Silva has also noted 3 kg weight loss in the last month. She does not smoke. Her GP arranges for a chest x-ray, image shown on the left. The radiologist phones the GP because she is concerned about the abnormalities shown by the arrows. **Q3a: What is the most likely diagnosis in this patient?** **Q3b: What type of abnormality(s) does the chest x-ray show? Describe in detail**. **Q3c: What are risk factors for the disease Dr de Silva most likely has? – list a minimum of three (they do not have to be specific to Dr de Silva).**
Dr de Silva, a junior doctor, spent 6 months working in a refugee camp in Thailand. She presents to her GP with fatigue, malaise and cough of one month's duration occasionally productive of rust-coloured sputum. Dr de Silva has also noted 3 kg weight loss in the last month. She does not smoke. Her GP arranges for a chest x-ray, image shown on the left. The radiologist phones the GP because she is concerned about the abnormalities shown by the arrows. Q3a: What is the most likely diagnosis in this patient? **Patient’s symptoms and chest x-ray suggest primary TB** Q3b: What type of abnormality(s) does the chest x-ray show? Describe in detail. **Ghon foci – little arrow; primary TB site Enlarged hilar lymph nodes – big arrow – together called a Ghon COMPLEX. Consistent with primary TB (vs reactivation TB)** Q3c: What are risk factors for the disease Dr de Silva most likely has? – list a minimum of three (they do not have to be specific to Dr de Silva). **Recent arrival or travel country where TB endemic Work in areas endemic for TB HIV Poorly controlled Type 2 Diabetes Mellitus Other immunocompromise states (i.e. cancer for which patient undergoing chemotherapy) Homeless Drug users, prison inmates Close contacts of patients with MTB disease**
31
Q2: Please list the four first line medications used to treat TB, and for each medication one described side effect
**Rifampicin**: Raised transaminases & induces cytochrome P450; Orange secretions / urine **Isoniazid**: Peripheral neuropathy (prevent with pyridoxine 10mg od); Hepatotoxicity **Pyrazinamide**:Hepatotoxicity **Ethambutol**: Visual disturbance
32
Lara B, a 50 year old homeless woman living in London, presents to a shelter. The shelter staff note her weight has dropped 5 kg since her last visit 6 months ago, and on talking with Lara she states that she has had cough, haemoptysis, and night sweats for the past month or so. Concerned about infection with Mycobacterium tuberculosis the patient is referred to a clinic where a sputum smear is negative for acid-fast bacillus, and both a PPD and an Interferon gamma release assay are negative. What can be concluded about Lara’s condition? - The negative PPD makes the diagnosis of active Mycobacterium tuberculosis disease very unlikely - The negative interferon gamma release assay makes the diagnosis of active Mycobacterium tuberculosis disease very unlikely - The negative sputum smear rules out active Mycobacterium tuberculosis disease in Lara - The fact that the PPD, interferon gamma release assay and sputum smear are all negative makes the diagnosis of active Mycobacterium tuberculosis disease very unlikely - The fact that the PPD, interferon gamma release assay and sputum smear are all negative does not rule out the possibility of Mycobacterium tuberculosis disease.
Lara B, a 50 year old homeless woman living in London, presents to a shelter. The shelter staff note her weight has dropped 5 kg since her last visit 6 months ago, and on talking with Lara she states that she has had cough, haemoptysis, and night sweats for the past month or so. Concerned about infection with Mycobacterium tuberculosis the patient is referred to a clinic where a sputum smear is negative for acid-fast bacillus, and both a PPD and an Interferon gamma release assay are negative. What can be concluded about Lara’s condition? - The negative PPD makes the diagnosis of active Mycobacterium tuberculosis disease very unlikely - The negative interferon gamma release assay makes the diagnosis of active Mycobacterium tuberculosis disease very unlikely - The negative sputum smear rules out active Mycobacterium tuberculosis disease in Lara - The fact that the PPD, interferon gamma release assay and sputum smear are all negative makes the diagnosis of active Mycobacterium tuberculosis disease very unlikely - **The fact that the PPD, interferon gamma release assay and sputum smear are all negative does not rule out the possibility of Mycobacterium tuberculosis disease.** *The fact that the PPD, interferon gamma release assay and sputum smear are all negative does not rule out the possibility of Mycobacterium tuberculosis disease. *Sometimes patients with active MTB disease actually become anergic and will not react to the PPD test nor have a positive interferon gamma release assay. A negative sputum test SMEAR also does not rule out active disease – it may be negative in early TB or because the patient produced a weak cough. Furthermore, people with HIV/AIDS – and Lara is also at risk for HIV/AIDS – are more likely to have negative sputum smears. To definitively rule out MTB disease we have to wait for the **sputum** cultures.*
33
Label A-D