xx Flashcards

(45 cards)

1
Q

When would this histopatholigcal slide from an MI likely to have occurred

Less than 1 day
Less than 7 days
1-3 week
3-6 weeks

A

When would this histopatholigcal slide from an MI likely to have occurred

Less than 1 day
Less than 7 days
1-3 week
3-6 weeks

How well did you know this?
1
Not at all
2
3
4
5
Perfectly
2
Q

When would this histopatholigcal slide from an MI likely to have occurred

Less than 1 day
Less than 7 days
1-3 week
3-6 weeks

A

When would this histopatholigcal slide from an MI likely to have occurred

Less than 1 day coagulative necrosis
Less than 7 days
1-3 week
3-6 weeks

How well did you know this?
1
Not at all
2
3
4
5
Perfectly
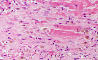
3
Q

When would this histopatholigcal slide from an MI likely to have occurred

Less than 1 day
Less than 7 days
1-3 week
3-6 weeks

A

When would this histopatholigcal slide from an MI likely to have occurred

Less than 1 day
Less than 7 days
1-3 week granulation occurring
3-6 weeks

How well did you know this?
1
Not at all
2
3
4
5
Perfectly
4
Q

When would this histopatholigcal slide from an MI likely to have occurred

Less than 1 day
Less than 7 days
1-3 week
3-6 weeks

A

When would this histopatholigcal slide from an MI likely to have occurred

Less than 1 day
Less than 7 days
1-3 week
3-6 weeks scarring occurring

How well did you know this?
1
Not at all
2
3
4
5
Perfectly
5
Q

When would this histopatholigcal slide from an MI likely to have occurred

Less than 1 day
Less than 7 days
1-3 week
3-6 weeks

A

When would this histopatholigcal slide from an MI likely to have occurred

Less than 1 day
Less than 7 days 1-2 days
1-3 week
3-6 weeks

How well did you know this?
1
Not at all
2
3
4
5
Perfectly
5
Q

When would this histopatholigcal slide from an MI likely to have occurred

Less than 1 day
Less than 7 days
1-3 week
3-6 weeks

A

When would this histopatholigcal slide from an MI likely to have occurred

Less than 1 day
Less than 7 days
1-3 week
3-6 weeks

How well did you know this?
1
Not at all
2
3
4
5
Perfectly
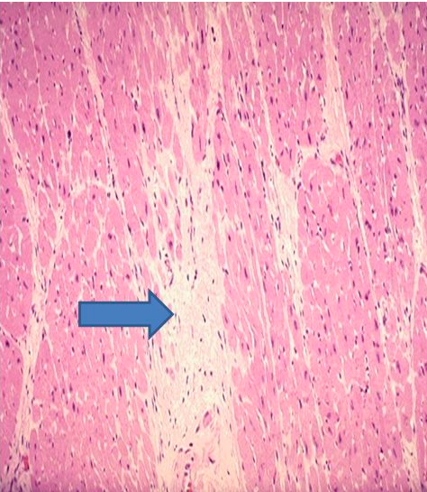
6
Q

When would this histopatholigcal slide from an MI likely to have occurred

Less than 1 day
Less than 7 days
1-3 week
3-6 weeks

A

When would this histopatholigcal slide from an MI likely to have occurred

Less than 1 day
Less than 7 days
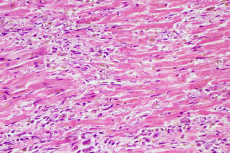
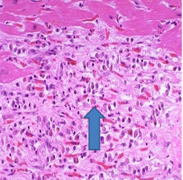
1-3 week granulation
3-6 weeks

How well did you know this?
1
Not at all
2
3
4
5
Perfectly
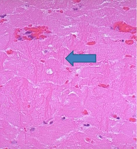
7
Q

When would this histopatholigcal slide from an MI likely to have occurred

Less than 1 day
Less than 7 days
1-3 week
3-6 weeks

A

When would this histopatholigcal slide from an MI likely to have occurred

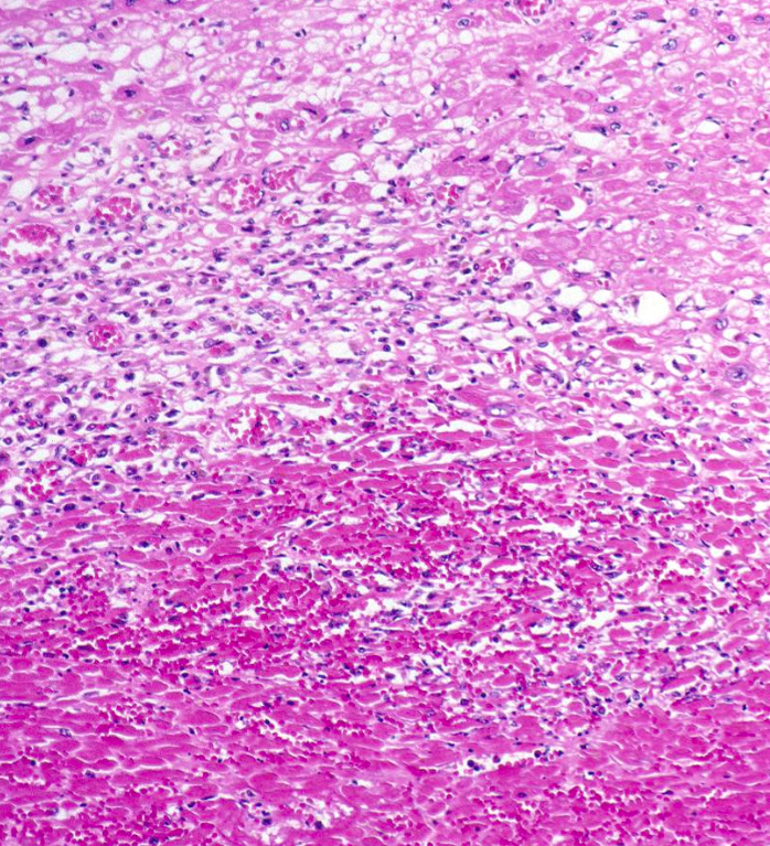
** Less than 1 day** coagualtive necrosis
Less than 7 days
1-3 week
3-6 weeks

How well did you know this?
1
Not at all
2
3
4
5
Perfectly
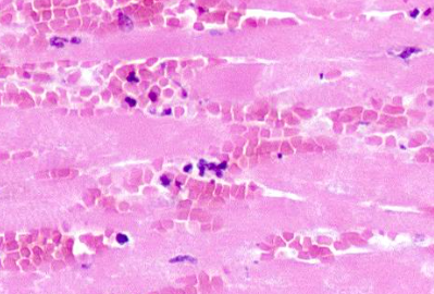
8
Q

When would this histopatholigcal slide from an MI likely to have occurred

Less than 1 day
Less than 7 days
1-3 week
3-6 weeks

A

When would this histopatholigcal slide from an MI likely to have occurred

Less than 1 day
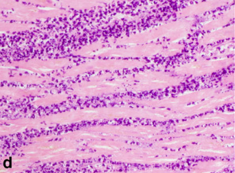
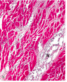
Less than 7 days accute inflam
1-3 week
3-6 weeks

How well did you know this?
1
Not at all
2
3
4
5
Perfectly
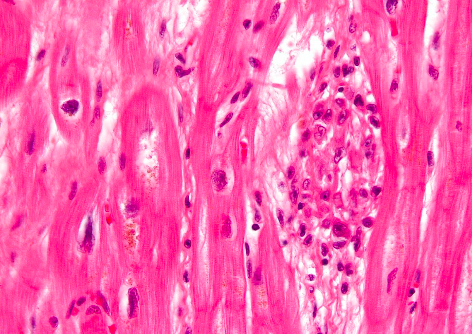
9
Q

When would this histopatholigcal slide from an MI likely to have occurred

Less than 1 day
Less than 7 days
1-3 week
3-6 weeks

A

When would this histopatholigcal slide from an MI likely to have occurred

Less than 1 day
Less than 7 days
1-3 week
3-6 weeks scarring

How well did you know this?
1
Not at all
2
3
4
5
Perfectly
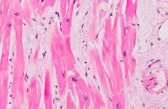
10
Q

When would this histopatholigcal slide from an MI likely to have occurred

Less than 1 day
Less than 7 days
1-3 week
3-6 weeks

A

When would this histopatholigcal slide from an MI likely to have occurred

Less than 1 day
Less than 7 days
1-3 week granulation
3-6 weeks

How well did you know this?
1
Not at all
2
3
4
5
Perfectly
11
Q

When would this histopatholigcal slide from an MI likely to have occurred

Less than 1 day
Less than 7 days
1-3 week
3-6 weeks

A

When would this histopatholigcal slide from an MI likely to have occurred

Less than 1 day coagulative necrosis
Less than 7 days
1-3 week
3-6 weeks

How well did you know this?
1
Not at all
2
3
4
5
Perfectly
12
Q

When would this histopatholigcal slide from an MI likely to have occurred

Less than 1 day
Less than 7 days
1-3 week
3-6 weeks

A

When would this histopatholigcal slide from an MI likely to have occurred

Less than 1 day
Less than 7 days
1-3 week
3-6 weeks

How well did you know this?
1
Not at all
2
3
4
5
Perfectly
13
Q

Summary of MI histology?

A
How well did you know this?
1
Not at all
2
3
4
5
Perfectly
14
Q

When would this histopatholigcal slide from an MI likely to have occurred

Less than 1 day
Less than 7 days
1-3 week
3-6 weeks

A

When would this histopatholigcal slide from an MI likely to have occurred

Less than 1 day
Less than 7 days
1-3 week
3-6 weeks

How well did you know this?
1
Not at all
2
3
4
5
Perfectly
15
Q

When would this histopatholigcal slide from an MI likely to have occurred

Less than 1 day
Less than 7 days
1-3 week
3-6 weeks

A

When would this histopatholigcal slide from an MI likely to have occurred

Less than 1 day (12 hours)
Less than 7 days
1-3 week
3-6 weeks

How well did you know this?
1
Not at all
2
3
4
5
Perfectly
16
Q

When would this histopatholigcal slide from an MI likely to have occurred

Less than 1 day
Less than 7 days
1-3 week
3-6 weeks

A

When would this histopatholigcal slide from an MI likely to have occurred

Less than 1 day
Less than 7 days
1-3 week
3-6 weeks

How well did you know this?
1
Not at all
2
3
4
5
Perfectly
17
Q

When would this histopatholigcal slide from an MI likely to have occurred

Less than 1 day
Less than 7 days
1-3 week
3-6 weeks

A

When would this histopatholigcal slide from an MI likely to have occurred

Less than 1 day
Less than 7 days
1-3 week
3-6 weeks

How well did you know this?
1
Not at all
2
3
4
5
Perfectly
18
Q

When would this histopatholigcal slide from an MI likely to have occurred

Less than 1 day
Less than 7 days
1-3 week
3-6 weeks

A

When would this histopatholigcal slide from an MI likely to have occurred

Less than 1 day
Less than 7 days
1-3 week
3-6 weeks scarring

19
Q

Which pathology usually occurs after pharyngeal A streptococcal infection? [1]

A

Rheumatic fever

20
Q

Rheumatic fever is histologically identifiable which structures? [1]

A

Aschoffs bodies

21
Q

Which of the following of A-C are:

Rheumatic mitral stenosis
Normal
Ashoff bodies

A

A: Normal
B: Ashoff bodies
C: Rheumatic mitral stenosis

22
Q

Descibe what aschoff bodies are [2] and where they are found [1]

A

Aschoff are nodular inflammatory lesions found in the CT of the myocardium.
Aschoff bodies are areas of necrosis and large distinctive macrophages

23
Q

Aschoff bodies may collect at the [] valve toc cause rheumatic [] stenosis.

A

Aschoff bodies may collect at the mitral valve toc cause rheumatic mitral stenosis.

24
Which substance is synthesised in the middle of theses structures?
Thyroglobulin (stores and secretes T3 & T4)
25
Which thyroid disease is depicted here? [1]
Hashimoto Thyroiditis
26
Label A-B of the parathyroid gland
A: **Chief cells** B: **oxyphil cells**
27
Label A-D of the adrenal gland
A = zona glomerulosa, B = zona fasciculata, C = zona reticularis. D = Medulla.
28
What is this depcited in pancreas?
Islet of Langerhans
29
Which cells have been stained in the islet of langerhans Alpha cells Beta cells Delta cells PP cells
Which cells have been stained in the islet of langerhans Alpha cells **Beta cells** : most abundant Delta cells PP cells
30
Which of the following are the majority of the endcorine cells in islet of langerhans? Alpha cells Beta cells Delta cells PP cells
Which of the following are the majority of the endcorine cells in islet of langerhans? Alpha cells **Beta cells** Delta cells PP cells
31
Which thyroid disease is depicted here? [1]
Graves Follicular cells are taller and have larger nuclei. Increased colloid use to produce T4 causes scalloping (S on right image). Increased collide use also reduces the size of follicles.
32
Label A-F of the kidney
33
What do the arrows [1] and asterixes [1] depict of the kidney
Arrows: Renal corpsucles *: collecting ducts
34
Label A & B of renal parenchyma
A: **podocytes** B: **basement membrane**
35
Which of the following is the DCT and PCT? [2]
A: DCT B: PCT
36
Which of the following is the DCT and PCT? [2]
Arrows: PCT Arrowheads: DCT
37
Which is the loop of henle and which is the collecting duct?
C = CD B: LoH
38
Label A-D of the ureter
A: transitional epithelium B: LP C: muscualris mucosa D: adventitia
39
Label A-C of ureter
A: transitional epithelium B: LP C: muscularis
40
Label A-D of liver
41
What type of liver cancer is depicted here? Metastatic adenocarcinoma Hepatic carcinoma
What type of liver cancer is depicted here? **Metastatic adenocarcinoma** Hepatic carcinoma
41
What type of liver cancer is depicted here? Metastatic adenocarcinoma Hepatic carcinoma
What type of liver cancer is depicted here? **Metastatic adenocarcinoma** Hepatic carcinoma
42
What type of liver cancer is depicted here? Metastatic adenocarcinoma Hepatic carcinoma
What type of liver cancer is depicted here? Metastatic adenocarcinoma **Hepatic carcinoma**
43
Glial cells in the pituitary stalk are called WHAT? [1]
Pituicytes