Explain what two types of stroke are [2]
Ischaemic Stroke: occlusion of an intracranial or neck vessel leading to ischaemia and subsequent infarction of brain tissue.
Haemorrhagic Stroke: Bleeding into or around the brain. Classically due to a burst aneurysm. Sub divided into
- intracerebral haemorrhage
- Subarachnoid haemorrhage
What are the two main mechanisms that cause ischaemic stroke? [2]
Explain how atherosclerosis causes ischaemic stroke
Endothelial damage allows lipoproteins and monocytes to adhere to the vessel wall and enter the intima.
Monocytes differentiate into macrophages and engulf the lipoprotein and become known as foam cells.
Further accumulation of cholesterol and foam cells forms a fatty streak.
Foam cells release pro-inflammatory cytokines which leads to smooth muscle cell proliferation. and connective tissue to deposition in the fatty streak.
These changes form a fibrous cap over the lipid core.
A necrotic core can form due to the lack of capillaries.
Plaque rupture removes the endothelium which exposes the fibrous cap leading to thrombosis and occlusion of the artery
What is a watershed ischaemic stroke? [1]
Sudden BP drop by more than 40mmHg, then there is low cerebral blood flow = global ischaemia leading to ‘watershed infarcts’ in vulnerable areas of cortex between boundaries of different arterial territories
brain ischemia that is localized to the vulnerable border zones between the tissues supplied by the anterior, posterior and middle cerebral arteries
When is common to see watershed stroke?
Sepsis patients
What is the most important risk factor for Haemorrhagic stroke? [1]
Hypertension !
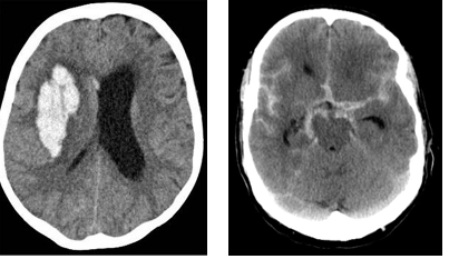
Which type of haemorrhagic stroke are the following CTs?
Whats the difference between Intracerebral haemorrhage vs Subarachnoid haemorrhage (SAH)?
Which causes a thunderclap headache?
Intracerebral haemorrhage is bleeding into the brain parenchyma: basal ganglia particularly effected
SAH is bleeding into the subarachnoid space. thunderclap headache
S & S for stroke?
Label A-C

A: anterior cerebral artery
B: middle cererbral artery
C: internal carotid artery
draw the circle of willis xxx

label A-D [4]

A: vertebral artery
B: superior cerebellar artery
C: posterior cerebral artery
D: basilar artery

S&S of stroke?
F – Face
A – Arm
S – Speech
T – Time (act fast and call 999)
Confusion
Aphasia (Expressive vs Receptive)
Dizziness and loss of balance
Visual disturbance
Which artery is most common to have a stroke in? [1]
Middle cerebral artery
Risk factors for stroke?
Risk factors:
- Male
- Black or Asian
- Hypertension
- Past TIA
- Smoking
- Diabetes mellitus
- Increasing age
- Heart disease (valvular, ischaemic)
- Alcohol
- Polycythaemia, thrombophilia
- AF - stasis of blood in poorly contracting atria = thrombus formation
Primary prevention for stroke? [4]
Primary prevention:
What are the 3 overlying causes of cellular death in stroke? [3]
Mechanical compression
Cerebral Oedema
Excitotoxicity
How does mechanical compression cause cellular damage in stroke?
Raised ICP causes cerebellar tonsils through the foramen magnum = cerebellar herniation and results in compression of brainstem and upper cervical spinal cord
How does cerebral oedema cause cerebral cellular death?
Reduced ATP limits the function of Na pumps which usually remove Na from neurons.
An increased Na concentration in the neurons leads to more water entering and the generation of cerebral oedema. Raises intracerebral pressure
Excitotoxicity
What is penumbra?
The term used for the reversibly injured brain tissue around ischemic core; which is the pharmacological target for acute ischemic stroke treatment. The goal to treat ischemic stroke is to salvage the penumbra as much and early as possible
What is first thing you do when suspect stroke patient? [1]
Get them to have a non-contrast CT scan: rule out haemorrhage stroke
How would you treat acute stroke? [2]
Thromboylsis:
- using drug - Alteplase
- Must occur within 4.5 hours of onset
- haemorrhage has to be excluded
Mechanical thrombectomy:
- endovascular removal of a thrombus from a large artery.
What drug would you initially give to non-haem stroke? [1]
Aspirin !