Derm Labs Flashcards

(15 cards)

1
Q

What are the 5 lab tests for infectious agents

A
  • direct stains
  • culture
  • antigen detection
  • nucleic acid amplification
  • serology
How well did you know this?
1
Not at all
2
3
4
5
Perfectly
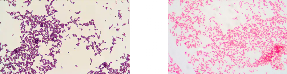
2
Q

Which of these is gram positive

A

The left image is positive

How well did you know this?
1
Not at all
2
3
4
5
Perfectly
3
Q

What is this infectious agent

A

Staph aureus
- gram positive cocci in singles, pairs, clusters

How well did you know this?
1
Not at all
2
3
4
5
Perfectly
4
Q

what is this infectious agent

A

Group A strep pyogenes
- gram positive cocci in long chains

How well did you know this?
1
Not at all
2
3
4
5
Perfectly
5
Q

What is this infectious agent

A

neisseria gonorrhoeae
- gram negative diplococci

How well did you know this?
1
Not at all
2
3
4
5
Perfectly
6
Q

What is this infectious agent

A

Escherichia coli
- gram negative bacilli in urine

How well did you know this?
1
Not at all
2
3
4
5
Perfectly
7
Q

What is the gold standard lab for infectious agents

A

culture
- routine bacteria
- mycobacteria
- fungal infections

How well did you know this?
1
Not at all
2
3
4
5
Perfectly
8
Q

What does minimum inhibitory concentration mean

A

the lowest concentration of antimicrobial agent that inhibits growth of the organism
- sensitive (most inhibition)
- intermediate (some inhibition)
- resistant (no inhibition)

How well did you know this?
1
Not at all
2
3
4
5
Perfectly
9
Q

What is the problem with antigen detection testing

A

cannot distinguish between viable and nonviable organisms (a culture will grow only the live organisms)

How well did you know this?
1
Not at all
2
3
4
5
Perfectly
10
Q

Nucleic acid amplification testing can identify…

A

difficult to grow/slow growing organisms, can use PCR
- HIV viral load
- HSV
- MRSA
- Covid

How well did you know this?
1
Not at all
2
3
4
5
Perfectly
11
Q

Serology tests detect…

A

host antibodies produced in response to infection

How well did you know this?
1
Not at all
2
3
4
5
Perfectly
12
Q

What can skin scraping microscopy identify

A

Fungal infections (KOH prep)
- tinia
- candidiasis
Scabies (mineral oil)

How well did you know this?
1
Not at all
2
3
4
5
Perfectly
13
Q

What can a woods light test distinguish

A

-vitiligo (blue/white)
-hypopigmentation
-tinia capitis (blue/green)
-cutaneous pseudomonas

How well did you know this?
1
Not at all
2
3
4
5
Perfectly
14
Q

What does Tzanck testing identify

A

uses stain to identify herpes simplex or herpes zoster in intact vesicles (cant distinguish between the two)

How well did you know this?
1
Not at all
2
3
4
5
Perfectly
15
Q

What can diascopy determine

A

whether a red lesion is due to blood within a superficial vessel or from hemorrhage

How well did you know this?
1
Not at all
2
3
4
5
Perfectly