Describe the etiology of urethritis
Describe the presentation of urethritis
Describe the diagnosis of urethritis
Describe the treatment for urethritis
Describe the etiology of acute simple cystitis
Describe the presentation of acute simple cystitis
Describe the diagnosis of acute simple cystitis
Describe the treatment of acute simple cystitis
Describe the etiology of pyelonephritis
Describe the presentation of pyelonephritis
Describe the diagnosis if pyelonephritis
Describe the treatment for pyelonephritis
Define pyuria
presence of WBC in urine
Define bacteriuria
presence of bacteria in urine
Describe the classic presentation of pyelonephritis
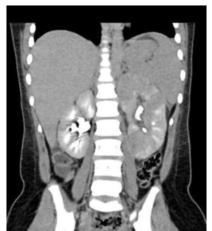
What is the diagnosis
L sided pyelonephritis
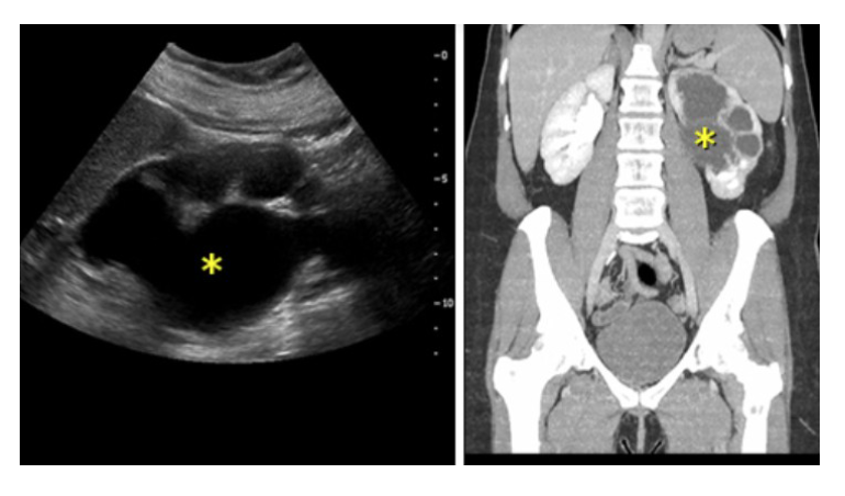
what is the diagnosis
L sided hydronephrosis