Neuroimaging Flashcards

(37 cards)

1
Q

How does CT work

A
  • xrays emitted in a beam and detected on the opposite side
  • creates 2d slices that can be visualized into 3D by scrolling through
  • Bone/calc = bright white
  • Air = black
  • Soft tissue = grayscale (Hornsfield)
How well did you know this?
1
Not at all
2
3
4
5
Perfectly
2
Q

What is CT the most sensitive/specific for

A

SAH, SDH, EDH, abscesses, masses

How well did you know this?
1
Not at all
2
3
4
5
Perfectly
3
Q

What are some limitations of CT

A

poor differentiation of soft tissue (Can miss inflammatory changes and ischemia)

How well did you know this?
1
Not at all
2
3
4
5
Perfectly
4
Q

How does contrast work in CT

A
  • iodine contrast media blocks passage of xrays
  • helps distinguish enhanced tissues from background
  • timing of contrast admin determines what lights up
  • renally excreted
How well did you know this?
1
Not at all
2
3
4
5
Perfectly
5
Q

What does CT contrast help highlight

A

vascular and inflamed tissues (also malignancy, abscess)
- typically not as good as MRI if it is available

How well did you know this?
1
Not at all
2
3
4
5
Perfectly
6
Q

How to interpret a CT

A
  • identify pt
  • identify plane (axial and soft tissue is good to start with)
  • scroll superior to inferior
  • blood, cisterns, brain, ventricles, bones (blood can be very bad)
How well did you know this?
1
Not at all
2
3
4
5
Perfectly
7
Q

Where is the blood

A

epidural

How well did you know this?
1
Not at all
2
3
4
5
Perfectly
8
Q

where is the blood

A

subdural

How well did you know this?
1
Not at all
2
3
4
5
Perfectly
9
Q

where is the blood

A

intracerebral

How well did you know this?
1
Not at all
2
3
4
5
Perfectly
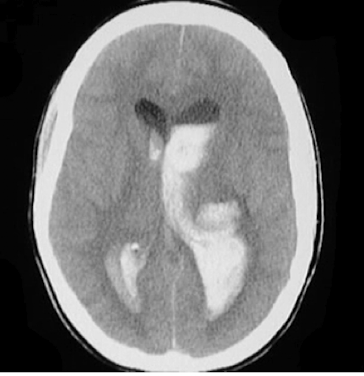
10
Q

Where is the blood

A

intraventricular

How well did you know this?
1
Not at all
2
3
4
5
Perfectly
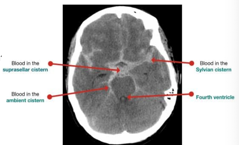
11
Q

where is the blood

A

subarachnoid (cisterns/circle of willis)

How well did you know this?
1
Not at all
2
3
4
5
Perfectly
12
Q

What to check when evaluating cisterns on CT

A

are they open and do they have blood in them

How well did you know this?
1
Not at all
2
3
4
5
Perfectly
13
Q

What to look for when evaluating the brain parenchyma on CT

A
  • symmetry
  • grey-white differentiation
  • shift
  • hyper/hypodensity
How well did you know this?
1
Not at all
2
3
4
5
Perfectly
14
Q

What to look for when evaluating the ventricles on CT

A

should be open, symmetrical, without blood

How well did you know this?
1
Not at all
2
3
4
5
Perfectly
15
Q

What to look for when evaluating bone on CT

A
  • switch software to bone window
  • look for fractures, step-offs, gaps (compare to other side)
How well did you know this?
1
Not at all
2
3
4
5
Perfectly
16
Q

What is CTA head/neck

A

CT angiography of head and neck vessels to assess for vascular cut-offs/occlusions, or high risk stenoses

17
Q

What are the indications for CTA head/neck

A
  • TIA
  • vertebral/carotid artery dissection
  • dense/cortical strokes (large vessel occlusion)
  • aneurysm detection and operative planning
18
Q

Describe brain MRI mechanism of action

A

best for viewing soft tissue
- harnesses natural tendency of hydrogen ions to align in magnetic field (alignment and relaxation)
- different tissues realign at different intensities
- T1, T2, FLAIR, STIR, DWI, ADC

19
Q

Describe the difference between T1 and T2 view

A

T1 highlights tissue (fat) and T2 highlights mostly water

20
Q

Describe FLAIR

A

Fluid attenuated inversion recovery
- nullifies signal from CSF
- helps find subtle problems near CSF rich areas, pre-infarct edema, demyelinated MS lesions

21
Q

Describe STIR

A
  • nullifies signal from tissue
  • good for finding subtle problems in fat-rich areas, fracture, osteomyelitis
22
Q

Describe DWI and ADC

A

(Diffusion weighted imaging, apparent diffusion coefficient)
Helpful for identifying stroke within minutes of happening
- combines T2 and water enhancement
- ADC is a superimposed sequence to control quality (DWI can appear too bright)

23
Q

What contrast is used in MRI

A

Gadolinium: a rare earth metal that interacts with H+ ions in a magnetic/pulsing field
- contraindicated in pregnancy
- need renal panel (predisposition to nephrogenic systemic fibrosis)
**- enhances arteries and vascularly abnormal tissues (tumors, abscess)

24
Q

What is the likely diagnosis in this MRI with contrast

A

Tumor: lit up because it is vascularized

If it was an abscess it would be dark because it wouldn’t be vascularized

25
Describe the indication of MRA head/neck
Uses inversion recovery sequences and "time of flight" sequences to differentiate fast moving blood from static surrounding tissues - gadolinium not required **- can identify vascular cut offs, aneurysms, arteriovenous malformation, arterial dissection** (CTA more sensitive for neck vessel dissection)
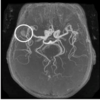
26
What is the diagnosis
right MCA aneurysm
27
Describe the method of interpreting MRI
- verify pt - start with T2 for background anatomy and pathology - scroll top to bottom - look for asymmetry, abnormal signals - T2 then FLAIR then DWI/ADC - compare with previous images if possible
28
Describe how PET scans work
Identifying and tracking tumors and relative blood flow - variable uptake of radiolabeled substances to metabolically active tissue, which lights up brighter - injected substance is radioactive
29
Describe fluoroscopic angiography (cerebral angiogram)
procedure performed by neuro interventional radiologist - catheter inserted and directed to target vessel with iodinated contrast dye - catheter can direct thrombolytics/suction thrombectomy, or aneurysm coiling
30
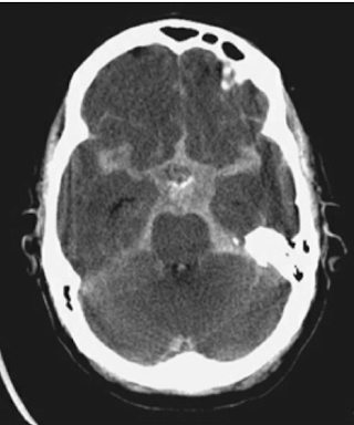
What is the diagnosis
Right MCA stroke
31
what is the diagnosis
subarachnoid hemorrhage
32
what is the diagnosis
brain abscess (with periabscess edema)
33
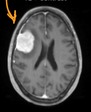
what is the diagnosis
brain tumor
34
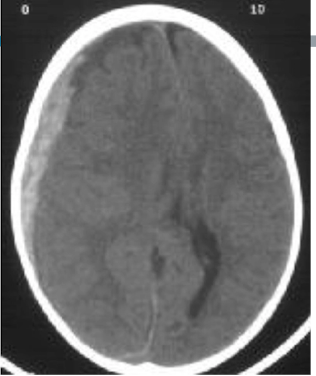
what is the diagnosis
subdural hematoma
35
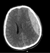
what is the diagnosis
epidural hematoma
36
what is the diagnosis
multiple sclerosis
37
what is the diagnosis
cerebellar stroke