הפטיטיס ויראלי, מחלות מטבוליות, הפטיטיס אוטואימיוני, DILI Flashcards

(117 cards)

1
Q

HEV + HAV

מקור הווירוס, דרך הדבקה, לאיזה הפטיטיס יוביל ומה המרקרים העיקריים שנראה בדם

A

מקור הוירוס- צואה

דרך הדבקה- פקו-אוראלית

הפטיטיס אקוטי בלבד (מדוכאי חיסון E יכול להיות כרוני)

HAV marker- IgM-anti HAV → IgG anti HAV

HEV marker- IgM-anti HEV → IgG anti HEV

נראה בנוסף עלייה בALT

How well did you know this?
1
Not at all
2
3
4
5
Perfectly
2
Q

מהי דרך ההדבקה של גנוטיפ 1+2 וגנוטיפ 3+4 של וירוס

HEV

A

1+2 genotype- drinking water (Mexico, India, Pakistan)

3+4- uncooked pigs, trough pigs

How well did you know this?
1
Not at all
2
3
4
5
Perfectly
3
Q

איזה הדבקה של וירוס מסכן משמעותית נשים בהריון

A

Infection in HEV in pregnenet women with genotype 1+2 → risk of 25% mortality

How well did you know this?
1
Not at all
2
3
4
5
Perfectly
4
Q

איזה וירוס עובר אינטגרציה לגנום

A

HBV

Once HBV always HBV

How well did you know this?
1
Not at all
2
3
4
5
Perfectly
5
Q

מהו הקשר בין

HBV

להתפתחות HCC

A

Xprotein- חלבון קרצינוגני של הוירוס

בנוסף האינטגרציה של הווירוס לגנום משרה שינויים כמו מחיקות, טרנסלוקציות וכדומה

How well did you know this?
1
Not at all
2
3
4
5
Perfectly
6
Q

כנגד מה מיוצר החיסון היום ל-HBV

A

PreS1, PreS2

חלבוני מעטפת מאוד אימיונוגניים, החיסון ניתן לאחר הלידה

How well did you know this?
1
Not at all
2
3
4
5
Perfectly
7
Q

איזו תרופה נתנת לטיפול ב

HBV

A

NUCS

מעכב רוורס טראנסקריפטאז. ברגע שמפסיקים יש שוב רפליקציה של cccDNA מהגנום

How well did you know this?
1
Not at all
2
3
4
5
Perfectly
8
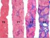
Q

מתי נראה מטופל שחולה ב-

HDV

מה הסכנה

A

רק אם הוא חולה גם ב-HBV

Co-infection

לעומת חולה רק בהפטיטיס בי, במקרה הזה תוך 5-6 שנים יכולה להופיע שחמת (צעירים בני 30) תמונה שלא רואים לא ב-HBV ולא ב-HCV

How well did you know this?
1
Not at all
2
3
4
5
Perfectly
9
Q

if a person have co-infection with HBV and HDV which will be active?

מתי יהיה

how do i know a patient have HDV

A

HDV

הוא יותר חזק מ-בי ומדכא אותו

HDV IgM or IgG (IgG is not protective)

How well did you know this?
1
Not at all
2
3
4
5
Perfectly
10
Q

כנגד מה מושתת הטיפול ב-

HCV

A

NS** **(non structural)3,4,5

פועלים נגד אנזימי הרפליקציה של הוירוס = Direct anti-viral

How well did you know this?
1
Not at all
2
3
4
5
Perfectly
11
Q

מדוע אין חיסון ל-

HCV

A

ממזר גדול שעובר יותר מוטציות מאשר

HIV

בנוסף 6 זנים עם 67 תת זנים.

How well did you know this?
1
Not at all
2
3
4
5
Perfectly
12
Q

מהם 3 התרופות שניתנקות וכנגד איזה קבוצה כל אחת

A

נזכור לפי סיומות:

Previr-

How well did you know this?
1
Not at all
2
3
4
5
Perfectly
13
Q
A

תשובה ד

How well did you know this?
1
Not at all
2
3
4
5
Perfectly
14
Q

מהי ההגדרה של חולה עם הפטיטיס קשה ומצב של בלבול

A

אי ספיקת כבד

**נובע מאנפלופתיה כבדית יחס עם ההפטיטיס

How well did you know this?
1
Not at all
2
3
4
5
Perfectly
15
Q

מה ההבדל בין הפטיטיס כרונית לאקוטית

A

טווח של 6 חודשים

How well did you know this?
1
Not at all
2
3
4
5
Perfectly
16
Q

איזה מאפיין בבדיקת דם יכול להכווין להפטיטיס אקוטי

A

אנזימים הפטוצלולאריים פי 10 כאשר:

AST/ALT > 1 **AST dominant

  • הפטיטיס אלכוהולי
  • wilson disease
How well did you know this?
1
Not at all
2
3
4
5
Perfectly
17
Q

מהי קשת ההתייצגות הקלינית של הפטיטיס אקוטית

A

מא-סימפטומטים ועד מחלה פולמיננטית עם אנצפלופתיה ואי ספיקת כבד

How well did you know this?
1
Not at all
2
3
4
5
Perfectly
18
Q

מהו המהלך הטיפוסי של הפטיטיס ויראלי אקוטי

A

תקופת אינקובציה ← אחרי הופעת המחלה האקוטית:

Icertric phase- צהבת, שתן שחור, מלזיה, אנורקסיה, בחילות, כאבים בבטן עליונה ימנית, גרד

אחרי דלקת אקוטית הכבד יכול לחזור לעצמו ולהפוך לכבד תקין לחלוטין , במידה ולא יש החמרה עד למצב של השתלה

How well did you know this?
1
Not at all
2
3
4
5
Perfectly
19
Q

באיזה וירוס הדבקה ורטיקלית תוביל להפטיטיס כרונית

A

הדבקה ב-HBV מהאם ליילוד

הדבקה מעל גיל 5 - רק 10% מהמקרים יהפכו לכרוניים אבל תיהיה צורה אקוטית קשה

How well did you know this?
1
Not at all
2
3
4
5
Perfectly
20
Q

HBV

מהו הסרולוגיה שנראה באדם מחוסן

A

Anti-Hbs positive

How well did you know this?
1
Not at all
2
3
4
5
Perfectly
21
Q

HBV

כיצד סרולוגיה תעזור להבדיל בין מצב אקוטי לכרוני

A

IgM anti-HBc

חיובי בהפטיטיס אקוטי

במצב כרוני הוא נעלם אבל

Total anti-HBc ישאר גבוה

How well did you know this?
1
Not at all
2
3
4
5
Perfectly
22
Q

HBV

כיצד נדע האם לאדם יש הפטיטיס פעילה

A

HBsAg +

How well did you know this?
1
Not at all
2
3
4
5
Perfectly
23
Q

מהם המרקרים היחידים שיהיה חיוביים ב

HBV window period

A

IgM anti-HBc

IgG anti-HBc

How well did you know this?
1
Not at all
2
3
4
5
Perfectly
24
Q

איזה 2 צורות הידבקות אפשרי לראות בהפטיטיס

HDV

מה צריך

HDV מ-HBV

A

super-infection

Co-infection

HDV needs HBsAg for his envelope

How well did you know this?
1
Not at all
2
3
4
5
Perfectly
25
מהם 3 גורמי הסיכון שמכנסים 85% מאוכלוסיית החולים ב-HCV בישראל
1. אנשים שנולדו בברית המועצות לשעבר 2. קבלת דם ומוצריו לפני 1992 3. מזריקי סמים היום או בעבר ## Footnote **_מכסה מעל 85% מהחולים החיובים להפטיטיס C_**
26
איזו אוכלוסייה מאפיין כל גנוטיפ של HCV גנוטיפים: 1,3,4 בישראל
1- הכי שכיח (1B) 3- משתמשי סמים 4- מצרים
27
מי הם קבוצות הסיכון העיקריות לחלות במחלה
25-45% **אתיולוגיה לא ידועה**
28
מהו הדפוס האנזימתי של HCV
אנזימי כבד מוגברים- **_לא מעל 400_** ב-20% אנזימי הכבד יהיו תקינים **_בדיקה תקינה לא שוללת מחלה_**
29
כיצד מבררים אדם בחשד ל- HCV
**קליניקה ו-Sero conversion כלומר אדם שהיה שלילי ופתאום חיובי**
30
מהו % האנשים שמצליחים להיפטר מ-HCV ואיך נראה בבדיקה סרולוגית
**20-25% מהאנשים מצליחים להיפטר מהנגיף** **סרולוגית:** * PCR שלילי * אנזימים תקינים * anti-HCV positive **_כ-80% מהאוכלוסייה תמשיך למהלך כרוני_**
31
מה מאפיין דפוס סרולוגי של chronic HCV
* PCR + * אנזימי כבד גבוהים * Anti-HCV +
32
מהו הממצא ## Footnote **לפי מה נקבעת חומרת המחלה**
הסננה לימפוציטרים ברווחים הפרי-פורטליים עם חדירה לאזור של הלובולים. **_ביופסיה עוזרת אך אינה פתוגנמונית-_** דומה גם בתרופות, הפטיטיס אימיוני ביופסיה של HCV
33
מהם ארבעת דרגות הפיברוזיס
F0- כבד תקין ללא פיברוזיס F1- המרווחים הפורטלים עם מעט קולגן F3- fibrosis bridges בין רווח פורטלי לרווח אחר או בין הרווח הפורטלי ל-central vein F4- כירוזיס, נודולים גדולים המוקפים ברקמת פיברוזיס עבה **_השחמת בהפטיטיס ויראלי זהה למחלות אחרות של שחמת_**
34
כיצד נסווג את חומרת המחלה של HCV
**_דרגת הפיברוזיס_** * F0-F1- **Mild** * F2- **Moderate** * F3-F4- **Advenced-** לא מבדילים בין 3 ל-4 כי יכול להיות שלב 4 אבל ניפול על אזור 3 וההפך
35
מהם 2 הדרכים לאבחון לא פולשני של רמת הפיברוזיס
1. Fibroscan (elastography)- קרן שעוברת דרך הכבד ומקבלים את התוצאות בקילו פסקל, טוב להגיד אם יש שחמת או מחלה קלה (מעל 1 קילו פסקל שחמתי) 2. Fib4 score- לוקחים 4 פרמטרים (גיל, מספר טסיות, רמות של AST+ALT) מקבלים תוצאה **_אם הערך פחות מ-1.45 ככל הנראה מחלה קלה בדיוק רב מאוד._**
36
מהו ערך הסף ל Fib4 score
1.45 מתחת- ככל הנראה מחלה קלה מעל 3.25- פיברוזיס מתקדם
37
מהם הדרכים לאבחן ולהעריך HCV
**_אבחון_** סימפטומים (פחות עוזר), סרולוגיה, PCR, הערכת דרגת הפיברוזיס
38
מדוע קיים קשר בין הפטיטיס סי לבין מחלות אוטואימיוניות ולימפופרוליפרטיביות
**_הוירוס עובר רפליקציה גם בהפטוציטים אך גם בתאי B ולכן עושה סימולציה לתאים ← בתורו מוביל למחלות אוטואימיונות ולימפופרוליפרטיביות_**
39
מדוע קיים קשר בין הפטיטיס סי לבין מחלות אוטואימיוניות ולימפופרוליפרטיביות
**_הוירוס עובר רפליקציה גם בהפטוציטים אך גם בתאי B ולכן עושה סימולציה לתאים ← בתורו מוביל למחלות אוטואימיונות ולימפופרוליפרטיביות_**
40
מדוע רואים פורפורה בהידבקות ב- HCV
**ווסקוליטיס-** שקיעה של קריו-גלובולין . **_יש התייצגות סיסטמית בגלל שקיעת קומפלקס אימיוני שמכיל_** **_HCV_** יכול להוביל לפציעים בעור כתוצאה מאיסכמיה של כלי דם
41
מהו המנגנון הפתופיזיולוגי של HCV- B cells
HCV connect to B-cell → activation of B cell polyclonal → monoclonal IgM → **Non Hodgkin lymphoma B cell** _\*\* הוירוס מעט את האפופטוזיס שלהם_
42
לאיזה סוג של לימפומה גורם HCV
marginal zone lymphoma (MZL) ## Footnote **_הטיפול אנטי-ויראלי כמו שהטיפול ב_** **_-MALT הינו הינו בהליקובקטר פילורי_**
43
מהם התופעות האקסטרא- הפטיות המרכזיות של HCV (4)
* **תופעות אוטואימיוניות- נוגדנים אוטואימיונים** * **ווסקוליטיס - קריו גלובלינמיה** * **מעלה סיכון לסכרת סוג 2,** משפיעה על תנגודת לאינסולין, טיפול אנטי ויראלי יכול לשפר תנגודת לאינסולין * **קשר לאתרוסקלרוזיס -** טרשת עורקים, מוצאים וירוס בפלאק התרשתי ובטיפול עיבוי דופן האינטימה נעלם
44
מהו המלך הטבעי של הידבקות ב HCV במה נטפל
הפטיטיס אקוטי ← 20% בני מזל יפטרו מהנגיף הפטיטיס אקוטי ← 80% יעברו להפטיטיס כרוני ← שחמת במשך 20 שנה **_סיכון לקרצינומה עולה ב-1-4% כל שנה, 50% יעשו דה-קומפנציה בצורה של מיימת_** **_מטפלים גם בנגיף- סילוק שלו עוזר להקטין סיבוכים וסיכונים אך גם בתופעות האקסטרא-הפטיות_**
45
מהו האלגוריתם לטיפול ואבחון הפטיטיס C
46
מאיזה צמד תרופות מורכב MAVIRET למי ניתן וכמה כדורים
Asvir + Previr **_אפשר לתת רק למטופלים נאיבים ללא דה-קומפנצציה_** כדורים \* 3 ביום, למשך 8 שבועות
47
מאיזה צמד תרופות מורכב Eclusa למי ניתן וכמה כדורים
Asvir + Buvir **_אפשר לתת למטופלים נאיבים או מטופלים עם מחלה מתקדמת ודה-קומפנציאציה_** כדורים \* 1 ביום, למשך 12 שבועות
48
איזה תרופה לא נוכל לתת לחולה עם HCV שיש לו דה-קומפנצאציה
Previr כלומר לא נוכל לתת Maviret
49
איזה נוגדן של HBV מסמל לי הפטיטיס אקוטי
anti-HBc-IgM
50
מה יכולה להיות הסיבה של עלייה ב HBe-Ag ישנן 2 סיבות אפשריות
1. מוטנט שגורם להפסקה ייצור של אנטיגן E **למרות שיש רפליקציה פעילה** 2. כשאין יותר רפליקציה פעילה של הווירוס = החלמה ## Footnote **_כ-90% מהאוכלוסייה בארץ ובמזרח התיכון עם E antigen negative disease_**
51
מהי הסרולוגיה של אדם החולה בהפטיטיס אקוטי + כרוני של HBV
**_אקוטי_** * HBsAg * HBcIgM * HBeAg \*\* unless mutant than HBeAb * PCR DNA + **_כרוני_** * HBsAg * HBcIgG * HBeAg \*\* unless mutant than HBeAb * PCR DNA +
52
מהו ההבדל בסרולוגיה בין אדם שהחלים מהפטיטיס B לבין אדם שהתחסן
**_מחוסן_** * HBsAb **_החלים_** * HBsAb * HBcIgG * HBeAb
53
מהם הפרמטרים אותם נבדוק לאבחון והערכה של חשד לחולה עם הפטיטיס בי (3)
סרולוגיה, PCR, דרגת פיברוזיס
54
איזה 3 פאזות יש במהלך הטבעי של HBV באיזה גילאים ומה נראה בכל פאזה
* **Immune tolerance (20-25)-** טיטרים גבוהים של דנ"א ללא מחלה. אנזימים + ביופסיה תקינה. * **Immune Clearance (25-30)-** דלקת, אנזימים גבוהים וניתן לראות פיברוזיס * **Inactive phase (adulthood)-** אין דלקת קשה, טיטר דנ"א לא גבוה, יש צירוזיס וסכנה לפתח HCC
55
מהו הרף לטיפול ב HBV
**_טיטר מעל 2000 + אנזימים גבוהים מעל הנורמה (40)_**
56
כיצד נקבע האם לטפל באדם עם אנזימים תקינים אך דנ"א גבוה? HBV
**_במקרים גבוליים נעריך חומרת מחלה:_** 1. אלסטוגרפיה- F2 ומעלה נטפל 2. ביופסיה- דלקת קשה / F2 ומעלה
57
מה ההגדרה של נשא ב HBV
* HBsAg + * PCR DNA \< 2000 * אנזימים תקינים
58
מהי המטרה התרפואטית בטיפול ב- HBV
**_Serologic seroconversion_** **_HBsAg → HBsAb (anti-HBs)_**
59
מהי רמת הטיטר מעליה נטפל באישה בהריון עם HBV ובמה נטפל וכמה זמן
טיטר מעל 200,000, בודקים בתחילת ההריון ובשבוע 22-24 של ההריון ## Footnote **_נוכל לטפל רק עם טנופוביר - למשך שאר ההריון ו-3 חודשים לאחר לידה_**
60
מהם האופציות הטיפוליות לטיפול ב- HBV
1. PEG-INF- מסלק רמות גבוהות של HBsAg ונסבל אצל מטופלים צעירים. מטפלים עד שנה / עדשה-E-antigen נעלם 2. NUCS- inhibit RT (**Tenofovir, Entecavir**) ## Footnote **_PEG-UNF + NUCS- מפתחים עמידויות_** **_Tenofovir + entecavir- לא מפתחים עמידויות_** **_Tenofovir- התרופה היחידה לנשים בהריון_**
61
מהוה יתרון הגבוה של PEG-INF
יודע להוריד רמות של HBsAg **_כלומר פוטנציאל להביא לריפוי, קונטרא-אינדיקציה בהריון_**
62
מהו הטיפול המומלץ באנשים העומדים לקבל תרופות מדכאות חיסון (כמו כימותרפיה, במיוחד ממפטרה- לימפומות)
טיפול אנטי ויראלי פרופילקטי למשל 18 חודשים **לאחר** סיום הטיפול המדכא חיסוני ## Footnote **_טיפול ב-Entecavir / tenofovir (NUCS)_** **_באנשים מדוכאי חיסון יש סיכון גבוה לרה-אקטיבציה של הוירוס_**
63
מהו הטיפול שניתן לאנשים עם דה-קומנצאציה וחולים עם HBV
NUCS (Tenofovir/ entecavir)
64
מהו טיפול קו ראשון ומה קו שני ב-HBV
קו ראשון -NUCS (Tenofovir / Ectecavir) קו שני- PEG-INF
65
מהם 2 הדרכים בהם תרופה יכולה לפגוע בכבד
**_Intrinsic DILI-_** פגיעה ישירה (תלוית מינון) בתא ומוות תאי, - נקרוזיס ואפופטוזיס **_Idosynchronic DILI-_** פגיעה אימיונית שגורמת לדלקת ופציעה המתווחכת דלקת **פגיעה לא ישירה אוגמנטין**
66
כיצד נאבחן DILI
**_אבחנת שלילה - כלומר נשלול את כל המצבים שמובילים להפטיטיס אקוטי_**
67
איזו אבחנה תמיד תיהיה באבחנה המבדלת של הפטיטיס אקוטי
**_DILI_**
68
מהם 3 המרכיבים של DILI
1. התרופה- מינון, מטבוליזם, ליפופיליות 2. מאחסן- גיל, מין, פולימופריזם גנטי 3. סביבתי- מיקרוביום, הרגלי תזונה ושתייה, עישון
69
כיצד נסווג את סוג הפגיעה ההפטוטוקסית בדילי? מהו היחס R לכל אחת מהפגיעות כמה נצפה לעלייה באנזימים : ALP ALT
1. **פגיעה הפטוצלולארית R \>5** 2. **פגיעה כוליסטטית R \< 2** 3. **Mixed 2\< R \<5** ALP\>2\*ULN- cholestatic ALT \> 3\*ULN- Hepatocellular ALP \>2\*ULN **_+_** ALT \> 3\*ULN - mixed נוכל לחשב יחס שיכול לתת אינדיקציה לאיזה פגיעה נראה ![]()
70
מהו Hy's law ומה ההשלכות שלו
Serum bilirubin (total BL) \> \*2 ULN Aminotransferases \> \*3 ULN **קשור בפרוגנוזה רעה ותמותה עולה ל-14%** **_אך נשתמש ביחס המשודרג כי הרגישות גבוה יותר_**
71
מהם ההבדלים בין פגיעה ישירה בכבד לעומת אידיוסינקראטית
**_פגיעה ישירה:_** 1. תלוי מינון (פגיעה ישירה) 2. תקופה לטנטית קצרה (פגיעה ישירה) 3. מורפולוגיית כבד- לרוב פגיעה הפטוצלולארית **_פגיעה לא ישירה_** 1. לא תלוי מינון 2. תקופה לטנטית משתנה (ארוכה, קצרה..) 3. מורפולוגית הכבד- יכולה להיות משולבת (גם כוליסטאטית וגם הפטוצלולארית)
72
מהו החיסרון של RUCAM Score בערכה של פגיעה בDILI
**_מחשב Positive rechallenge_** החזרת תרופה למטופל שחשודה לפגיעה בכבד- אם הסימנים מופיעים מחדש זה האתגר החיובי. **כיום משתמשים בעיקר באתר של** **Liver Tox**
73
איזה סוג של פגיעה נראה בשימוש **באוגמנטין** ולאיזה תת קבוצה של דילי שייכת
**_Idiosyncratic injury_** לכן יכול לקחת זמן עד להופעה של תמונה קלינית, פגיעה לא ישירה, נוכל לראות **פגיעה משולבת עם נטייה למחלה כוליסטטית**
74
מהי הגישה בבירור של DILI
**_אבחנת שלילה ולכן גישה במספר שלבים:_** חולה עם **_הפטיטיס אקוטי_** ← חשד לדילי ← נחפש _סימנים תומכים_(אלרגיה, פגיעה בכליות, אפיזודות חוזרות בשימוש בתרופות) ← נשאל על _חשיפה לתרופות_ ← הפסקת תרופות (אם אפשר) _ובדיקה באתר ליוור טוקס_ ← _חישוב יחס_ והאם הבעיה כבדית / כוליסטטית / שילוב ← _נחפש סיבות אחרות ונשלול_ לפני אבחנה ← _הדמיה_ ואם יש צורך _ביופסיית כבד_
75
מתי נבצע ביופסיית כבד
שלילה של הפטיטיס אוטואימיוני
76
מהו הטיפול ב DILI
1. הפסקת התרופה 2. אם מדובר בפארא-צטמול- נותנים אנטידוט **N-acytel Cysteine**
77
מהו האנטידוט של פארא-צטמול
**_N-acytel cysteine_**
78
מה עושים במצב שיש הפטיטיס C או כבד שומני וצריך לקחת תרופה מסוימת?
**_אין עדות בספרות לכך שיש פגיעה באדם עם מחלת כבד כרונית_**
79
באיזה אוכלוסייה של חולים כן ניזהר עם טיפול שהינו הפטוטוקסי
**אנשים עם תסמונת מטבולית -** תרופות למשל שיכולות להוביל לכבד שומני באנשים עם כבד שומני, במיוחד טמוקסיפן ומטוטרוקסאט ## Footnote **אנשים בטיפול אנטי ויראלי להפטיטיס בי וסי**
80
איזו אוכלוסייה מיועדת לטוקסיות של אוגמינטין (2 אוכלוסיות)
1. גברים מעל גיל 50 2. אנשים עם HLA-DRB
81
מהו הטיפול בפגיעה בכבד עקב אימיונותרפיה? (PD-L1, CTLA-4)
**סטרואידים-** מוריד טולרנטיות של לימפוציטים (לא תגובה אידיוסינקרטית) הפטוטוקסיות מיוחדת
82
מתי נראה יחס של AST \>\> ALT
מחלת חבד מתקדמת ואתיולוגיות מסוימות (אלכוהול, ווילסון, מקור שרירי)\*
83
מהם המאפיינים של מחלת ווילסון
אוטוזומאלית רסציבית ## Footnote **גן- ATP7B**
84
למה תוביל מוטציה בגן ATP7B 2 פגיעות
1. פגיעה בקשירת הנחושת אפוסרולופלזמים ← הנחושת חופשית בתאים והיא טוקסית וברמה מסוימת זולגת לדם 2. פגיעה בהפרשת הנחושת מההפטוציטים לדרכי המרה ## Footnote **_נחושת חופשית בהפטוציטים ובדם היא טוקסית ←במקרים נדירים תוביל להמוליזה ו-AFL_**
85
כיצד מתבצע האבחון של ווילסון
**_אבחנה קלינית ולא אבחנה גנטית, לעיתים לא מוצאים 2 מוטציות אך בטוחים שיש 2._** לרוב החולים הם compound heterozygous / homozygous
86
מהי הכמות הטוקסית של נחושת בכבד, מהי ההתייצגות הקלינית של שקיעת נחושת בכבד
כבד, שומני, הפטיטיס כרוני, שחמת \*\*וכל הסיבוכים הנלווים (דליות, מיימת וכדומה) ## Footnote **_מעל 250 מיקרוגרם לגרם רקמה מדובר בכמות טוקסית_** **_לרוב חולים בגיל צעיר אך לעיתים נראה late onset_**
87
מהם 2 המאפיינים הנוירולוגים המאפיינים מחלת ווילסון
1. מחלה פסיכיאטרית- 20% מהמקרים 2. בשקיעה בגרעיני הבסיס (באזל גנגליה)- תמונה של פרקינסון (רעד, הליכה לא יציבה) ## Footnote **_הפגיעה הנוירולוגית בלתי הפיכה_**
88
מהם 4 ביטויים סיסטמיים של מחלת ווילסון
1. **Kayzer fleischer**- עודף נחושת שמצטברת סביב הקשיתית, אינו פתוגנמוני 2. **אנמיה המוליטית** 3. **פגיעה לבבית-** הצטברות נחושת במיוקרד 4. **פגיעה כלייתית-** פגיעה בטובולי של הנפרונים ו-_Fanconi syndrom_e = פגיעה ביכולת ספיגה והפרשה של גלוקוז, ח.א וחומצה אורית (לכן חומצה אורית נמוכה בדם)
89
מתי נחשוד בווילסון
1. מחלת כבד בילדים / מתבגרים 2. מחלה פסיכיאטרית בילדים / מתבגרים גם ללא ביטוי כבדי 3. המוליזה 4. חומצה אורית נמוכה/ קייזר פליישר/ פנקוני /ילדים להורים חולים
90
אבחון ווילסון (4 קריטריונים)
1. **צרולופלזמין נמוך -** כי אפוצרולופלזמין לא קושר נחושת ואז לא יווצר המבנה של צרולופלזמין (אופצרולופלזמין + 6 אטומי נחושת). ב-10% מהמקרים צרולופלזמין יהיה תקין 2. **נחושת חופשית בשתן-** מעל 100 מחשיד (תקין קטן מ-50, בין 50-100 הטרוזיגוט) 3. **קייזר פליישר-** 50% מהחולים ללא מחלה נוירולוגית, 90% מהחולים עם פגיעה נוירולוגית 4. **ביופסיה-** אבחנתי + יעיל למעקב **_ערכים מעל 250 של נחושת חופשית בפרנכימת הכבד הינם דיאגנוסטית למחלה_** **_כל מדד מקבל ניקוד- מעל 4 יש אבחון ולא צריך לבצע ביופסיה, מתחת ל-4 תידרש ביופסיה_ \*\***בכל מקרה נרצה לעשות ביופסיה למעקב אם עדיין מתחת ל-4 נעשה מבחן למוטציות- אם מצאנו 2 מוטציות אבחנתי
91
מה יהיה החלק הגבוה בבדיקה של total copper בדם של חולה ווילסון
total = free Cu + ceruloplasmin ## Footnote **_בחולה ווילסון הנחושת החופשית תיהיה גבוהה בעוד הצרולופלזמין יהיה נמוך_**
92
מהו הטיפול בווילסון
93
מהו Hemochromatosis מה המאפיינים שלה
עודף ברזל בדם ## Footnote **_מחלה גנטית עם ביטוי מאוחר- 45-50- בגברים יותר מוקדם מנשים בגלל ווסת)_**
94
**_מהו אבחון הבלעדי של הימוכרומאטוזיס_**
**_הומוזיגוט למוטציה הספציפית_** **_C282Y HFE Gene_** **חדירות המחלה נמוכה ולכן נבדוק רק** ***בהתייצגות קלינית אופיינית*** \*\*מתוך אנשים שהם הומוזיגוטים למוטציה רק 1 % יפתח מחלה
95
מה התפקיד של ferroportin + Hepcidin
**פרופורטין-** אחראי על שחרור ברזל ממאגרים לדם במצב שהם חשים בריכוז נמוך **הפסידין-** מופרש מתאי כבד ועושה בקרה שלילית לפרופורטין בעודף ברזל בדם ויעבור דיכוי במצב של חסר ברזל, אנמיה, היפוקסמיה וכדומה
96
למה מובילה מוטציה בגן HFE
גורמת לכך שהגוף מרגיש כאילו כל הזמן חסר ברזל והתעלות של טרנספרין פועלות ביתר ← הצטברות כמות גדולה של ברזל בדם ## Footnote **_שורה תחתונה- אין בקרה על מעבר הברזל מהמעי אל הדם_**
97
אילו איברים מועדים לשקיעת ברזל
* כבד * לבלב * בלוטת התריס * היפופיזה * לב * אשכים * מפרקים * עור
98
מהו המדד האמין ביותר שנבדוק בחשד להימוכרומאטוזיס
**סטרוציה של ברזל-** רמות של ברזל בסרום / החלק הקשור של ברזל ## Footnote **_מעל 45% מחשיד להימוכרומאטוזיס ודורש בירור_**
99
מהו הטיפול בהימוכרומאטוזיס
* הקזות דם * בחולים עם אנמיה דפרוקסמין- יותר חלש אבל גורם להפרשה של ברזל כמו בווילסון
100
כיצד נעשה האבחון בהימוכרומאטוזיס
סטורציה של ברזל מעל 45% ← אבחנה גנטית ← **_שילוב אבחנתי_** \*\*אם יש באבחנה פריטין מעל 1000 ואנזימי כבד גבוהים ← נעשה ביופסיה לוודא שאין שחמת
101
AIH מאפיינים
_כמעט תמיד בנשים_ **_אבחנה הינה על בסיס שלילה + רמזים_** לרוב מלווה במחלה אוטואימיונית נוספת- בעיקר האשימוטו דורש שלילה של מצבים שמחכים AIH
102
מהו ההבדל בין Type I to Type II AIH
103
האם חולה שהיא סרו-נגטיבית שולל בוודאות AIH?
**_לא!_** יש אנשים (בעיקר נשים) שלא נמצא להם נוגדנים ועדיין יוגדרו כהפטיטיס אוטואימיוני ויגיבו **מאוד יפה לסטרואידים**
104
מהי הפתופיזיולוגיה של הפטיטיס אוטואימיוני
**פרה-דיספוזיציה גנטית בשילוב של פקטורים סביבתיים.** בחלק גדול מהחולים לא נזהה את הטריגר שהוביל למחלה
105
מהן האפשרויות להתייצגויות קליניות שונות של חולה עם AIH (בהקשר של הכבד)
* הפטיטיס כרוני - סימפטומטי / א-סימפטומתי * AFL * הפטיטיס אקוטי * שחמת * פאנל כבדי לא תקין
106
מהם הנוגדנים הכי שכיחים שנוכחים ב- AIH
ANA SMA \*\*יש עוד אבל הם לא בקו ראשון בד"כ
107
בהפרעה של אנזימי כבד ובדיקת נוגדנים ANA חיובית במה אחשוד? (מהכי שכיח להכי פחות)
1. כבד שומני 2. HCV 3. הפטיטיס אוטואימיוני **_בצביעה אימיונופלורסנטית נראה שלכל מצב יש דפוס שונה של צביעה ל-ANA._** באוטואימיוני צביעה הומוגנית
108
מהו % מהחולות המתייצגות עם שחמת באבחון של הפטיטיס אימיוני
כ-25%-30% מהחולות יהיו עם שחמת, במצב זה לא נוכל לראות דלקת אבחנתית אל רק כבד מצולק ← **נקרא Burned out liver**
109
מה נראה בתמונה היסטולוגית של הפטיטיס אוטואימיוני
הסננה של תאי פלזמה, לעיתים הסננה לובולרית ## Footnote **שום דבר לא פתוגנמוני**
110
למה משמשים הקריטריונים להפטיטיס אוטואימיוני
אחידות בין המוסדות השונים בעיקר לצורך מחקר. ## Footnote **_ציון מעל 5 ככל הנראה הפטיטיס אימיוני, מעל 6 אבחנה דפינטיטיבית_**
111
מהו הטיפול בהפטיטיס אוטואימיוני
**_סטרואידים, טיפול מציל חיים_** **_בודוזוניד-_** לא סיסטמי ומשפיע רק על הכבד. קונטרא-אינדיקציה לחולה עם שחמת **_פרדניזול-_** סיסטמי \*\*מתחילים עם ה-2 העליונים והמטרה לגמול מהם **_אזאתיאופרין-_** ניתן מתחילת הטיפול ועד הפסקתו
112
מהן מטרות הטיפול | (4)
1. להפוך חולים לא-סימפטומטית 2. נרמול אנזימי כבד לטווח נורמלי או כמעט נורמלי 3. הורדת רמות האימיונוגלובולינים 4. העדר פעילות דלקתית בהיסטולוגיה כבדית
113
מתי נפסיק טיפול בהפטיטיסב אוטואימיוני
בהשגת רמיסיה שנמשכת למשך 3 שנים ← ביופסיה רואים שאין נוכחות דלקת ← ניתן להפסיק טיפול ולהמשיך לנטר **סה"כ 2 ביופסיות-** בתחילת הטיפול ואחרי 3 שנים שנרצה להפסיק את הטיפול **_רוב החולים 91% יגיעו לרמיסיה מוחלטת_**
114
מהם סדר התגובות מבחינת רמיסיה בהפטיטיס אקוטי תחת טיפול בסטרואידים
רימסיה קלינית- הראשונה שנראה (הרגשה טובה) רימיסיה ביוכימית- נרמול מדדי כבד רמיסיה היסטולוגית- לרוב בדיליי של חצי שנה (אין פעילות דלקתית)
115
מתי נשקול השתלה בחולים עם הפטיטיס אוטואימיוני (2 מצבים)
כשלא מצליחים להשיג רמיסיה עם סטרואידים בשלבים מאוחרים של צירוזיס שיש דה-קומפנצאציה 20% מחולים מושתלים יהיו עם הישנות של המחלה
116
מהם התסמונות שנראה חפיפה עם הפטיטיס אוטואימיוני ומה המשמעות של כך
PBC /PSC ## Footnote **_חולה שמתייצג עם הפפטיטיס אוטואימיוני נבדוק שאין ביטויים אוטואימיונים נוספים_**
117
מה מאפיין Budd ciari syndrome
טרומבוזיס בוריד ההפטי