זיהומים נשמתיים, זיהומים פטרייתים, UTI, אורתופדיים, זיהומים מולדים, דלקת רישות בקהילה ובבתי החולים Flashcards

(75 cards)

1
Q

אילו מחלות זיהומיות מאפיינות דרכי נשימה עליונות (בילדים)

4

A
  • Common cold- ויראלי
  • Croup- ויראלי
  • Epiglottitis- מצב חירום רפואי , יש חיסון המופילוס פארא אינפואנזה
  • Bacterial tracheitis- בד”כ משני לזיהום ויראלי
How well did you know this?
1
Not at all
2
3
4
5
Perfectly
2
Q

מהם המאפיינים של הצטננות פשוטה

Common cold

,התייצגות קלינית,משך, סיבוכים טיפול

A

נזלת, שיעול ולעיתים חום. מחלה ויראלית

נמשכת בערך שבוע

ילדים מעל גיל שנה- לרוב ללא חום

ילדים מתחת לגיל שנה- בד”כ עם חום

בתינוקות בגיל חודש חודשיים- יכולים להתייצג עם הפסקות נשימה (לא יכולים לנשום דרך הפה) ויכול לפגוע ביכולת לאכול

סיבוכים:

דלקת באוזן התיכונה, דלקת ריאות, סינוסיטיס ואסטמה

טיפול

הקלה בסימפטומים

How well did you know this?
1
Not at all
2
3
4
5
Perfectly
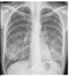
3
Q

מהי

CROUP (laryngotracheobronchitis)

, מחולל התייצגות קלינית, גילאים, סיבוכים, טיפול

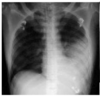
A

מחלה של חסימת דרכי אוויר עליונות , התייצגות עם שיעול נבחני, נשמע סטרידור- קול אינספירטורי בחסימה

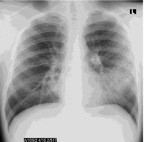
מחולל הכי שכיח- Para-influenzas (75%)

גיל- 3 חודשים עד- 5 שנים

טיפול- אנהלציית אנדרנלין וסטרואידים להקל והורדת הדלקת המקומית

סיבוכים- זיהומים משניים

הדמייה- לא ספציפי ולא רגיש Steeple sign= צריח בקנה

How well did you know this?
1
Not at all
2
3
4
5
Perfectly
4
Q

מהו

Spasmodic Croup

A

זיהומים חוזרים של מחלות קרופ, כנראה תגובת יתר, טיפול סימפומטי עם סטרואידים. אם הילדים מאוד חולים (כחלון / ירידה בסטורציה) נבצע טיפול אגרסיבי יותר

How well did you know this?
1
Not at all
2
3
4
5
Perfectly
5
Q

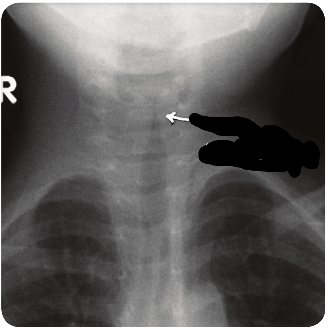
מהו הממצא

A

Steeple sign

היצרות של הטרכיאה , קנה צריח

מאפיין Croup

How well did you know this?
1
Not at all
2
3
4
5
Perfectly
6
Q

אפיגלוטיטיס

מי המחולל העיקרי

התייצגות קלינית

A

מצב חירום רפואי

היום יש חיסון

Haemophilus influenzae type B

חום , כאב, גרון, הדרדרות נשימה, נשענים קדימה **אנשים עם דאון יש חסר חיסוני ולכן בסיכון ביתר

How well did you know this?
1
Not at all
2
3
4
5
Perfectly
7
Q

Bacterial tracheitis

התייצגות, מחולל שכיח, מהלך היסטורי

A

יכול להיות חלק מקרופ (זיהומים ויראליים)

בד”כ זיהום משני למחלה ויראלית-החולים נראים יותר חולים (זיהום ויראלי ילדים בד”כ נראים טוב יותר והמעבדה שקטה)

זיהום חיידקים עם חום גבוה, הפרשות מוגלתיות ושיעול מתכתי

מחולל שכיח- סטאפ. ארוס

How well did you know this?
1
Not at all
2
3
4
5
Perfectly
8
Q

אילו 2 מחלות עיקריות נראה בילדים בדרכי נשימה תחתונות

A
  1. ברונכיאוליטיס- אבחנה רק בילדים מתחת לגיל שנתיים
  2. פניאומוניה- בילדים סטרפ פניאומוניה הכי שכיח
How well did you know this?
1
Not at all
2
3
4
5
Perfectly
9
Q

ברונכיאוליטיס

גיל, פתופיזיולוגיה, התייצגות קלינית, מחולל שכיח, טיפול

A

אבחנה רק בילדים מתחת לגיל שנתיים

התייצגות קלינית- צפצופים, קוצר נשימה, טכיפניאה, נשימת כנפי אף, ריטרקציות שימוש בשרירי עזר נשימתיים בבית חזה, הבטן עובדת.

מחולל שכיח- RSV אין חיסון, יש פאסיבי לתינוקות בסיכון סביב העונות שקורה

פתופיזיולוגיה- חסימת דרכי אוויר קטנטנות (נחסמות בקלות בתינוקות הקטנים)

טיפול- זונדה (שיתרכזו בלנשום, חמצן וכדומה) ניתן לתת וונטולין וסטרואידים (לא הוכח שעוזר)

How well did you know this?
1
Not at all
2
3
4
5
Perfectly
10
Q

תינוק מתחת לגיל שהתחילה אצלו נזלת ותוך יום יומיים זה מתקדם והזיהום מתשפט וביום השלישי מעורבות של דרכי אוויר תחתונות, מתקשים לנשום, משתעלים, לא חייב להיות חום. בד”כ האח הגדול היה מנוזל ששואלים, האם מספרת על תסמינים המתאימים לזיהום דרכי אוויר עליונות (שיעול, נזלת

מהי האבחנה האפשרית

A

סיפור קלאסי לברונכיאוליטיס

וירוס מאוד מדבק ונדבקים כל שנה מחדש. במבוגרים תסמנים של URI.

How well did you know this?
1
Not at all
2
3
4
5
Perfectly
11
Q

RSV

קשור בהופעה של 2 מצבים ?

מה חיזק את ההשערה שיש קשר בין הווירוס למצבים הנ”ל

A

אסתמה וברונכיאוליטיס - לא ידוע מי הביצה ומי התרנגולת

בקורונה כל הוירוסים נעלמו - לא ראו ברונכיאוליטיס ולא התקפי אסטמה או צפצופים

בנוסף פניאומוניה והוירוס גם משפיעים אחד על השני- פיקים תואמים בתחלואה, כנראה הוירוס גורם לפניאומוקוק להיות יותר אלים

How well did you know this?
1
Not at all
2
3
4
5
Perfectly
12
Q

פניאומוניה

מהלך היסטורי, מחוללים, התייצגות קלינית

A

**וירוסים שעושים ברונכיאוליטיס יכולים גם לחולל פניאומוניה

לרוב דלקת ריאות חיידקית- שוב משנית לזיהום ויראלי (כמו טראכאיטיס בקרטריאלי)

רואים החמרה בתסמינים- שיעול יותר פרודוקטיבי, קשה לנשום , החמרה.

ילדים בגיל בית ספר- התייצגות פתאומית (יכולה להתבטא בכאבי בטן והקאות)

המחולל העיקרי הינו סטרפ. פניאומוניה (פניאומוקוק) בילדים ← ב-40% מהילדים הם נמצאים באף ולא עושים כלום, לעיתים יש טריגר שגורם לחיידק להיות אינבזיבי יותר **ילד עם פניאומוקוק חיובי מתרבית מהאף לא אומר שלילד יש פניאומוקוק

How well did you know this?
1
Not at all
2
3
4
5
Perfectly
13
Q

מהו הסרוטיפ שמאפיין את הפניאומוקוק

כיצד נמנע פניאומניה מפניאומוקוק

כיצד נוכל לאבחן פניאומוקוק שמחולל מחלה אינבזיבית

A

קפסולות

בתרבית נראה גרגור- הקפסולות

חיסון- 3 מנות עד גיל שנה ל-13 הזנים הכי אלימים

בירור מחלה אינבזיבית- אוכל לבודד מאזור סטרילי (דם , נוזל חוט שדרה)

How well did you know this?
1
Not at all
2
3
4
5
Perfectly
14
Q

כיצד מתחיל כל אירוע של זיהום בדרכי נשימה ?

LTRI

A

קולוניזציה של מחוללים באף או בגרון שמצוים שם באופן נורמלי

How well did you know this?
1
Not at all
2
3
4
5
Perfectly
14
Q

כיצד מתחיל כל אירוע של זיהום בדרכי נשימה ?

LTRI

A

קולוניזציה של מחוללים באף או בגרון שמצוים שם באופן נורמלי

How well did you know this?
1
Not at all
2
3
4
5
Perfectly
15
Q

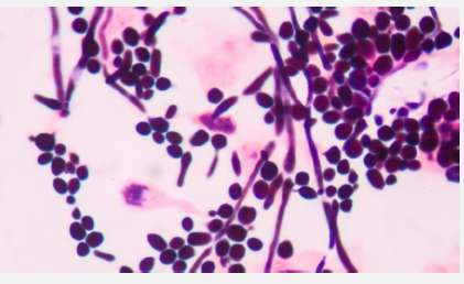
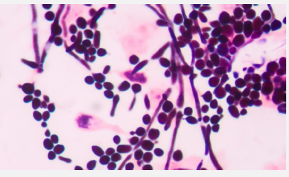
מהו הממצא

איזה זיהום נראה ומדוע מתרחש

A

קנדידה- שמר

שוכנת באופן שגרתי בדרכי עיגול, חלל הפה ומע’ גנטילית ועור

לרוב ייגרם זיהום על רקע פגיעה במנגנוני ההגנה הטבעיים, זיהום יכול להיות שטחי או פולשני (צמיחה בדם)

How well did you know this?
1
Not at all
2
3
4
5
Perfectly
16
Q

מי הם החולים בסיכון לקנדידמיה

A
  • טיפול אנטיוביטי,
  • קתטר
  • ניתוח אבדומינאלי
  • כימותרפיה
  • ליין מרכזי
  • מדוכאי חיסון
  • סכרתיים
How well did you know this?
1
Not at all
2
3
4
5
Perfectly
17
Q

מהם ההתוויות למתן טיפול אנטי-פטרייתי אמפירי

A

חולים קריטיים + גורמי סיכון + ללא גורם אחר למצב הספטי

How well did you know this?
1
Not at all
2
3
4
5
Perfectly
18
Q

כיצד נאבחן קנדידה

A

אבחון של קנדידה:

  • תרבית מהדם
  • אנטיגן לבטא די גלוקן
  • PCR לקנדידה
How well did you know this?
1
Not at all
2
3
4
5
Perfectly
19
Q

מה יכול להגיד לנו לחץ פתיחה גבוהה בניקור מותני

A

עדות לזיהום

How well did you know this?
1
Not at all
2
3
4
5
Perfectly
20
Q

איזו פטרייה אופיינית לחולל מנינגיטיס במדוכאי חיסון

A

קריפטוקוקוס- שמר

מצויה בעיקר בהפרשות של עופות

How well did you know this?
1
Not at all
2
3
4
5
Perfectly
21
Q

, מהו הזיהום הכי שכיח של קריפטוקוקוס, באיזה חולים שכיח שיתרחש, מה מאפיין אותה, מה נראה בבדיקות מעבדה, אבחנה, טיפול

A

הזיהום הכי שכיח- קריפטוקוקל מנינגיטיס

CD4 < 100 (HIV)

מאפיין- לחץ תוך גולגולתי גבוהה = סיכון גבוה להרניאציה של המח

בבדיקת נוזל שדרה- לימפוציטים, חלבון גבוה וסוכר נמוך

ככל שיש יותר תאים = המחלה יותר חמורה אך באיידס זה ההפך

אבחנה-

  • צביעת אינדיאה מנוזל עמוד שדרה,
  • אנטיגן קריפטוקוקיאלי מהדם או מנוזל חוט השדרה,
  • פאנל PCR,
  • תרבית מנוזל חוט שדרה

טיפול- אנטי-פטרייתי, וניקורים חוזרים להורדת לחץ תוך גולגולתי. לא מתחילים טיפול לאיידס בשלב המחלה, נדחה בכמה שבועות כדי לא לגרום ל IRIS

How well did you know this?
1
Not at all
2
3
4
5
Perfectly
22
Q

מהו הממצא

A

פטריית עובש- מוקור

How well did you know this?
1
Not at all
2
3
4
5
Perfectly
23
Q

מוקורמיקוזיס

גורמי סיכון, התייצגות קלינית,טיפול, אבחנה

A

נגרמת מפטריית עובש סביבתית בשם מוקור ← זיהום אגרסיבי שמתקדם מערב, מערב כלי דם ויוצר נמק מצב מסכן חיים לא מוגבל ע”י רקמות **התקדמות המשכית ופחות המטוגנית

גורמי סיכון- סכרת, פגיעה בתפקוד פגוציטים (מושתלי מח עצם, טיפול מדכא חיסון), עליה ברמות ברזל חופשי בדם, ניתוח בטני או טראומה עורית מזהמת

התייצגות קלינית- מחלה סינו-צרבלרית- = סכרת, מושתלי מח עצם, מחלה ריאתית - מושתלי מח עצם, זיהום בטני, זיהום עורי

אבחנה- תרבית וביופסיה מהרקמה , אולי גם נצליח מהדם

, טיפול- ניתוח כולל הטרייה אף טיפול תרופתי לא יצליח להכחיד בנוסף טיפול אנטי-פטרייתי וטיפול במחלת הרקע

How well did you know this?
1
Not at all
2
3
4
5
Perfectly
24
מתי נחשוד במקור פטרייתי בחולה נויתרופאני
הופעת חום פרסיסטניטי שחוזר 4-7 ימים עם טיפול אנטיובטי **בנוסף הכי שכיח לפטריות בנויטרופאני- עירוב של החזה ולכן נעשה סיטי חזרה** בחולים תחת טיפול כימותארפי- לזכור שבהתאוששות הנויטרופילים יכולה להיות החמרה של הביטוי של המחלה וזה בסדר.
25
מהו הממצא? כיצד נאבחן
**Halo sign- תמונה קלאסית ופתוגנמונית לאספרגילוס** _אבחון-_ קליניקה, הדמיה, ברונכוסקופיה **אבחנה דפיניטיבית-** ביופסיה עם הדגמה של הפטריה ברקמת הדם **אבחנה אפשרית-** אנטיגן גלקטומנן בדם , תרבית ו PCR
25
מהם 3 הביטויים הקלינייםשל אספרגילוס (חולה עם מע' חיסון תקינה, לא תקינה, ותקינה + פרנכימת ריאה חולה)
**חולה עם מע' חיסון תקינה-** מתפתחת אלרגיה **חולה עם מע' חיסון תקינה ופרנכימת ריאה חולה-** קאביטציה ובולה גדולה והפטריה גדלה לה בכיף **חולה עם נויטרופאניה / מע' חיסון פגומה-** פטרייה מובילה למחלה אינבזיבית
26
אילו 3 אוכלוסיות מועדות לזיהומים בדרכי השתן
* ילדות בגיל ביה"ס * נשים צעירות * קשישים
27
מהם 3 המגנונים הפתופיזיולוגיים המובילים לזיהום בדרכי השתן
1. **מנגנון עולה-** חיידקים עולים מהפרינאום / הואגינה אל השופכנים, מושפע מזרם השתן, אנטומיה (מרחק אנטומי), טראומה לאורתראה (בקיום יחסי מין, קתטר) 2. **חסימה בניקוז-** הריון, אבנים( בכליה), שלפוחית נוירוגנים (הפרעה בתפקוד השלפוחית), ברמת השופכן (סרטן ערמונית, תהליך תופס מקום) 3. **פיזור המטוגני-** בקטרמיה / אנדוקרדיטיס למשל סטאפ.ארוס
28
מהם החיידקים הכי שכיחים לזיהום בדרכי השתן 4 חיידקים / קבוצות
* **אנתרובקטריות- הכי שכיח זיהום באי.קולי** * **סטאפ סאפרופיטיקוס-** נשים פעילות מינית * **קנדידה-** אחרי אנטיובטיקה, אין תחרות עם הפלורה הטבעית פיזור המטוגני * **סטאפ.ארוס-** פיזור המטוגיני
29
סימנים + מהו האזור המזוהם * Cystitis * Pyelonephritis * Prostatitis
**_Cystitis_** דלקת אינטרא-לומינאלית בשלפוחית השתן. לא חודרנית _סימנים:_ כאבי בטן מעל הפוריבס, צריבה וקושי במתן שתן, תכיפות במתן שתו. _99% ללא סימנים סיסטמיים_ **_Pyelonephritis_** זיהום שמגיע לכליות, _מחלה אינבזיבית פרנכימטית ויכול להיווצר אבצס_ _סימנים:_ כאבין באגן, רגישות במותן, לעיתים כאבים במישוש וניקוש, _מלווה בסימנים סיסטמיים-_ חום, צמרמורות, בחילות והקאות, **התייבשות** **_Prostatitis_** BPH, מהלך חסימתי בפרוסטטה, זיהום שמתיישב על בלוטת הערמונית _סימנים:_ כאבים חזקים באגן, סופרה-פוביס, פרינאום, זרם מקוטע במתן שתן, דחיפות וחוסר התרוקנות _בבדיקה רקטלית בלוטה מוגדלת ומאוד רגישה,_ סימנים סיסטמיים כוללים חום
30
מהו **_Asymptomatic bacteriuria_** (2)הגדרה, טיפול, מקרים יוצאי דופן
**CFU/ml 105 הגדרה-** נוכחות פתוגן אחד או יותר **בהעדר תסמיני זיהום בדרכי השתן** , מעל רמה של **טיפול-** ללא טיפול _יוצאי דופן:_ * **נשים בהריון-** מגדירים אחרי 2 תרביות חיוביות, ומטפלים (מעלה סיכון ללידה מוקדמת) * **לפני פרוצדורה אורולוגית הכוללת חדירה למוקוזה**
31
מה בודקים בסטיק שתן 3 חשובים
**סטיק שתן כללי-** אוספים באמצע הזרם, בודקים: 1. **לויקוציט אסתראז-** אם חיובי יש נוכחות של לויקוציטים בשתן, ככל שיותר כהה = יותר לויקוציטים _גולד סטאנדרט לדלקת בדרכי השתן_ 2. **דם-** חשוד באבנים / פיאלונפרטיס, לא פתוגנמוני 3. **ניטריטים-** מעיד על נוכחות של _אנתרובקטריה_
32
כיצד נאבחן UTI (3 דרכים) ואיזה בדיקות נזמין בכל אחת מהתת מצבים של דלקת בדרכי השתן
**שתן לכללית = סטיק שתן** **מיקרוסקופיה-** 5 לויקוציטים ומעלה פר שדה **תרבית שתן-** בנוכחות תסמינים קלאסיים של ציסטיס מספיק 102 מושבות, בפיאלונפריטיס 104 בנוסף נבדוק רגישות לאנטיובטיקה בתרבית **_מה נזמין מתי_** **_ציסטיטיס-_** לא נזמין בדיקות בד"כ, טיפול אמפירי בטלפון. רק שיש אירועים חוזרים / אבחנה של מחלת מין ניקח שתן לכללית + תרבית **_פיאלונפריטיס-_** שתן לכללית , תרבית + רגישויות \*\*במאושפזים עם פיאלו- גם תרביות דם **_פרוסטיטיס-_** שתן לכללית, תרבית עם רגישויות
33
מתי נבצע הדמייה בקונטקס של UTI 3 מצבים
1. אירועים חוזרים של ציסטיטיס במיוחד בילדות 2. UTI before age of 2 3. פאילונפרטיסי ללא שיפור אחרי 4-5 ימים בכאבים או בממצאים
34
איזו אנטיובטיקה מתאימה לכל הזיהומים של UTI
Resperim \*\*מתאים גם כטיפול לציסטיטיס חוזר
35
מהו הממצא
**_Impetigo_** זיהום של רקמה חיצונית באפידרמיס, נגעים בצבי **דבש** **מחלה מקומית-** טיפול טופיקלי במשחה נגד סטאפ.ארוס **מחלה מפושטת-** טיפול סיסטמי צפלוספורינים ואוגמנטין כיסוי MSSA
36
**_צלוליטיס_** רקמות מעורבות, מחוללים שכיחים, טיפול
מערב אפידרמיס ודרמיס הכי שכיח **סטפילוקוקים וסטרפטוקוקים בעיקר MSSA** **_טיפול_** גרם חיובי- צפלוספורין, אוגמנטין \*\*לא נכסה גרם שלילי אמפירי _צלוליטיס במהלך אשפוז-_ פה **נחשוד במרסה** ונטפל בוונקומיצין, קלינדמיצין ורספרים _נובע מכך שהפלורה של המטופל התחלפה לפלורה של בית החולים_ _טיפול מניעתי-_ טיפול בגורמי סיכון וכשיש 3-4 צלוליטיס בשנה נשקול טיפול (פנצילין או אריתרומיצין)
37
מהו הממצא _מחוללים, טיפול, אוכלוסיו ת בסיכון_
Erysipelas- צלוליטיס שטחי שמערב את הלימפה, גבולות חדים, מראה אדום מבריק _מחוללים-_ סטרפטוקוקוים וסטפילוקוקים _טיפול-_ פנצילין , צפלוספורינים דור 1 _אוכלוסיות בסיכון-_ זקנים, מדוכאי חיסון, סכרת, אלכהוליסטים, תסמונת נפרוטית **צריך לחפש מקום חדירה**
38
אילו מחוללים שכיחים לNacrotizing fasciitis
* GAS * Clostridium pyogenes ## Footnote **_הכי חשוב אבחנה קלינית_**
39
מתי נראה זיהום ב- Vibrio Vulnificus
חולים שחמתיים ומדוכאי חיסון **_בחשיפה למים מלוחים_** טיפול- צפלוספורינים דור 3 ודוקסילין
40
מה הממצא
Necrotizing fasciitis
41
מהו הטיפול ב Necrotizing fasciitis
ניתוח והטריות בשילוב עם אנטיובטיקה אמפירית לכיסוי גרם חיוביים ושליליים \*\*Suspicions to GAS / clostridium - **add clindamycin**
42
מהו פתוגן שכיח בנשיכת חתול מהו הפתוגן השכיח בנשיכת כלב
Pasteurella multocida- חתול טיפול- רק אם חושדים בזיהום לואיס פסטר גידל מיאו כלב- פסטורלה קאניס \*\*גם בנשיכת כלב וחתול יכול להיות סטאפ.ארוס
43
מהם המחוללים ברגל סכרתית / פצע לחץ
סטפילוקוקים וסטרפטוקוקים מהעור (בעיקר סטאפ, ארוס) **הדומיננטים** ## Footnote **\*\*הכיסוי האמפירי לא כולל גרם שלילי אלא אם כן מדובר במטופל שקיבל אנטיובטיקה לאחרונה / רגל איסכמית**
44
למה נחלק אוסטאומיאליטיס מחולל עיקרי, אוכלוסייה, מופעים
**,המטוגני-** מופע אקוטי המופע השכיח החולים הקלאסים _ילדים_ בעיקר בעצמות הרכות (במבוגרים בעיקר בחוליות) **לא המטוגני-** פצע לחץ למשל שהגיע לעצם, זיהום מהעור שחדר לעצם, נפוץ בסכרתיים או לאחר טראומה **_מחולל עיקרי-_סטאפ.ארוס** **אוסטאומיאליטיס אקוטי- _לרוב המטוגני,_** בקטרמיה, מחלה סוערת, כאבים באתר, נפיחות **אוסטיאומיאליטיס כרוני-** _לרוב לא המטוגני,_ שברים שלא נרפאים, מעט כאב ונפיחות, לרוב ללא חום \*\***מחלה אקוטית נקח תרביות דם- חוסך בויפסיית עצם שהיא הגולד סטנדרט** **_טיפול-_** ניתוח ואנטיובטיקה למשך 4-6 שבועות
45
איזה גורמי סיכון יובילו לדלקת ריאות ע"ב פתוגן ספציפי * חשיפה לעופות * חשיפה לחיות חוות או חתולים * מלונות / קרוזים בשבועיים האחרונים
* חשיפה לעופות- קלמידיה פיסטאקי * חשיפה לחיות חווה- קוקסיאלה ברנוטי (ריקציה) * מלונות וקרוזים- לגיונלה
46
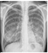
מהי ההתייצגות הקלינית של דלקת ריאות
עמימות בניקוש, פרמיטוס מוגבר, שימוש בשרירי עזר, נשמת, דופק מהיר
47
מהו הממצא הטיפוסי לתמונה
פניאומוקוק- רואים לובולר פניאומוניה Typical pneumonia
48
מהו הממצא
בקטריות לא טיפוסיות , קורונה דלקת ריאות שהיא patchy A-typical pneumonia
49
מהו הממצא
קאביטציות- יכולה להיות **סטאפ ארוס אחרי מחלה ויראלית**
50
היפונתרמיה משנית לפניאומוניה, לאיזה פתוגן אופייני
לגיונלה
51
מהי אבחנה מבדלת עיקרית של פניאומוניה נרכשת בקהילה
**_אי ספיקת לב עם בצקת ריאות_** גם יוביל לתסנין דו"צ, לרוב נבדיל ע"י תרביות סמני דלקת וכדומה
52
מהו המדד לפיו נחליט האם לאשפז / לא לאשפז חולה עם CAP
**_CURB65 score_** * **_C-confusion_** * **_Uremia \> 20mg/dL_** * **_Respiratory rate \> 30 per min_** * **_Blood pressure \< 90/60_** * **_Age \> 65_**
53
תוך כמה זמן אתן אנטיובטיקה מאבחון של דלקת ריאות
טווח של 4 שעות
54
דלקת ריאות מהקהילה מה הטיפול: חולים בריאים, חולים עם מחלות רקע שמטופלים בבית, חולים שמתאפשזים קל ובמצב קשה
**חולים בריאים בבית-** דוקסיצילין (טטראציקלינים) **חולים עם קו-מורבידיות בבית-** אמוקסיצילין + מאקרוליד / פלורוקינולון **חולים מאושפזים קל-** אמפיצלין + דוקסיצילין / מאקרוליד **חולים מאושפזים קשה-** צפלוספורינים דור 3 + פלורוקינולונים
55
תוך כמה זמן נצפה למגמת שיפור באנשים עם פניאומוניה מהקהילה
נצפה תוך 48-72 שעות למגמת שיפור
56
מה ההגדרה של פניאומוניה HAP VAP
_תסנין_ ריאתי הנצפה בצילום חזה + עדות לזיהום קליני HAP \> 48 שעות לאחר קבלה לבית חולים VAP \> 48 שעות מוונטילציה
57
מהו הסיכוי ל-VAP בהנשמה ממושכת
**_ככל ההנשמה ממושכת יותר הסיכון פוחת_** ימים 1-5 ← סיכון של 3%, יורד ל2% עד יום 10 ובהמשך עד 1% סיכון
58
למה משמש ניטור רמות ה-procalcitonin
עוזר להחליט האם להפסיק טיפול ומתי, מנטר רמות סידן וחיידקים מפרישים חומרים המעוררים הפרשת פרו-קלציטונין. **כשהוא יורד אינדיקציה להפסיק**
59
מי הם הפתוגנים משמאל לימין
שמאל- סטיפילוקוק (אשכולות) גרם חיובי מרכז- סטרפטוקוק- שרשראותאו זוגות (גרם חיובי) ימין- קלבסיאלה (גרם שלילי)
60
איזה כיסוי אמפירי נרצה לתת ב _VAP / HAP_ _מהם גורמי הסיכון לפתוגנים עמידים כולל מרסה ופסאודומונס_
שילוב של עד 3 אנטיובטיקות **_בכל החולים המאושפזים צריכים כיסוי ל-MSSA / MRSA_** _גורמי סיכון לחיידקים עמידים (MDR)_ _VAP-_ טיפול אנטיביוטי לוריד ב90 ימים האחרונים, חולים בשוק ספטי בזמן הפניאומוניה, כשל נשימתי ומעל 5 ימים באשפוז לפני הפניאומוניה, דיאליזה _HAP-_ טיפול אנטיביוטי ב-90 ימים האחרוים
61
מהו הטיפול האמפירי שניתן ב HAP או VAP
1. MSSA- בטא לקטאם, צפלוספורינים דור 4, קווינולונים, קארבפנאמים 2. MRSA- לינזוליד או וואנקומיצין (בד"כ רק אם יש נשאות למרסה בבדית מטוש או התפרצות בבית חולים) 3. , פסאודומונס- פיפרצילין+ טאזובקטאם, קארברפנאם אמינוגליקוזידים ופלואורוקוינילונים צפלוספורינים דור 3&4, ## Footnote **משך הטיפול 7 ימים ב נרצה לראות שיפור תוך 48-72 שעות**
62
מהו זיהום מולד ומהם המחוללים הגורמים למחלות מולדות
**זיהום המולד-** עובר מהאם ליילוד במהלך ההריון דרך השלייה או במהלך הלידה **מחלות עם השפעה לטווח הארוך** **מחוללים** **TORCH** 1. T: toxoplasmosis. 2. O: other (e.g. syphilis, varicella-zoster, parvovirus B19) 3. R: rubella. 4. C: cytomegalovirus (CMV) 5. H: herpes simplex virus (HSV)
63
כיצד נוכל לאבחן את העובר ואת היילוד ואת האם
_אבחון האם-_ נוגדנים בסרולוגיה _אבחון העובר-_ הדמייה , בדיקת מי שפיר ואז ניתן לעשות PCR IgG- הנוגדנים שעוברים מהאם לעובר **_כלומר תינוק אחרי שנולד מראה תמונת מראה של מה שיש לאמא ולכן לא יעזור לבדוק סרולוגיה ליילוד_** _אבחון הילוד-_ השוואה סרולוגית לאם, **טיטר נוגדנים גבוה של היילוד מהאם = שהוא גם ייצר בעצמו נוגדנים ולכן מהווה אינדיקציה להדבקה**
64
איזו בדיקה ביילוד מהווה אינדיקציה להדבקה
השוואת טיטר הנוגדנים של האם והיילוד אם טיטר היילוד \> טיטר האם ← **אינדיקציה להדבקה**
65
מהו הזיהום הנפוץ ביותר בישראל בלידות חי מהי הפתופיזיולוגיה של הפגעה בעובר ומהי ההתייצגות האפשרית
**_CMV_** כ-10-20% יפתחו בעיות שמיעה, פגיעות מוטוריות וקוגנטיביות **הפתופיזיולוגיה** זיהום השליה והיא נהיית חולה ← פוגע בהתפתחות העובר **_אף אחד לא מוגן, גם מי שכבר חלתה ב-CMV_** **_יכולה להידבק שוב והעובר יסבול_**
66
מהי דרך העברה של CMV מי אוכלוסיות בסיכון להידבק _מהו הטיפול_
העברה דרך חלב אם, רוק, דם, זרע, שתן **_תינוקות אחרי לידה אין בעיה, רק בהדבקה בהריון_** _מי בסיכון:_ כל מי שעובד בגן, אמהות לפעוטות (הריון שני ואילך) **אנשי מע' הבריאות לא בסיכון-** לא אוכלים עם מטופלים, לא מתנשקים איתם ולא מחליפים חיתולים ואם כן רוחצים ידיים **טיפול רק בתינוקות סימפטומתיים-** Valgancilovir \*\*only for newborns
67
מהו הסיכון לפגיעה ארוכת טווח בתינוקות שנדבקו בהריון עם CMV
תינוקות עם תסמינים בלידה- 40-58% לתסמינים בטווח הרחוק תינוקות א סימפטומטים- 10-15% סיכון לפגיעה בטווח הרחוק _ואם תיהיה אז רק בשמיעה_ _תסמינים בלידה-_ דברים נוירולוגים נוראיים, הפטיטיס, הפטומגאליי, פריחת אוכמניות , פגיעה בעיניים
68
כיצד ניתן להידבק בטוקסופלזמוזיס
* בשר לא מבושל, * פירות וירוקת לא שטופים, * חשיפה לאדמה ומים המזוהמים בצואת חתולים _למי שהיה טוקסופלזמה אין סיכוי להידבק שוב_
69
כיצד נאבחן טוקסופלזמוזיס ביילוד מהו הטיפול
**_Sabin Feldman dye teste_** מבוצע רק באבו-כביר (מתמקצע בזה), צובעים פרזיטים חיים ואז לוקחים נוגדנים מהאם והתינוק ולפי מידת העלמות הצבע (שהם מתים ע"י נוגדנים הם מאבדים את הצבע) ניתן לכמת את כמות הנוגדנים. _מתקבלת תוצאה מספרית אותה נשווה בין רמת האם לרמה ביילוד_ _טיפול בהריון-_ **ספירמיצין מונע העברה בהריון** _באבחון מאוחר / בהדבקה-_ טיפול ב3 תרופות ע"מ שתיהיה פגיעה מינימאלית
70
מהו אמצעי זהירות חשוב בחשד לספיליס מהו סיכון אפשרי של ספיליס בתינוקות לא מטופלים (בלי קשר אם הופיעו סימפטומים)
**_חייבים לשים כפפות בכל פריחה בחשד לספיליס= נראה כמו כוויה מאוד אופיינית_** סיכון להתפתחות מאפיינים נוירולוגים, בעצמות , מפרקים ושיניים **מעל גיל 2**
71
מהי הגישה הטיפולית בסיפיליס ביילוד
לאם יש נוגדנים חיוביים לסיפיליס ← אם האמא טופלה כמו שצריך פחות נתנפל על היילוד מבחינת טיפול ← משווים רמת טיטרים של נוגדנים בין האם ליילוד ← נותנים פנצילין ליילוד אם יש חשד **ניתן לתת זריקה 1 דרך השריר או 10 ימים דרך הוריד הכל תלוי בהאם האם קיבלה טיפול נכון**
72
איזה זיהום מולדת לא מוביל לאנומאליות התפתחותיות מה מאפיין בהסתכלות על המטופל
Parvo-B19 Slapped cheeks
73
מהי הטריאדה ליילוד שנדבק בהרפס ברחם ומהם הביטויים של תינוק שנדבק בתעלת הלידה
**_מתרחש כשהאם נדבקת בפעם הראשונה- לרוב מתים מהידרופס פטאליס אם נולדים יש טריאדה_** 1. תפרחת ווסקולרית- וסיקולות כיבים וצלקות 2. פגיעה עינית 3. פגיעה קשה במע' העצבים- הדירואנצפליתיס או מקירואנפליתיס **_הדבקה במעבר בתעלת הלידה_** **_3 ביטויים:_** 1. פגיעה בעיניים ובעור 2. מע' עצבים 3. פגיעה מפושטת