EUS/ ERCP, דימות בטן, פוליפים במעי הגס, מניעה אוכלוסייה בסיכון Flashcards

(117 cards)

1
Q

מה נוכל להדגים בלבלב

(4)

A
  • דלקת חריפה
  • דלקת כרונית
  • גידול רקמתי
  • נגע סיצטי
How well did you know this?
1
Not at all
2
3
4
5
Perfectly
2
Q

אילו רמזים צילום בטן יכולים לתת על תהליכים בלבלב

(2 רמזים)

A

חסימת מעיים זמנית וחלקית- מאפיין פאנקריאטיטיס אקוטי

הסתיידויות בלבלב- מאפיין פאנקריאטיטיס כרוני

לא משמש לאבחנה, לא משתמשים ברוטינה

How well did you know this?
1
Not at all
2
3
4
5
Perfectly
3
Q

מדוע אולטראסאונד אינה בדיקת הבחירה לדימות של לבלב

A

הלבלב מוסתר ע”י אוויר ממע’ העיכול- כלומר גם אם נראה תהליכים התשובות יהיו מסויגות

How well did you know this?
1
Not at all
2
3
4
5
Perfectly
4
Q

מדוע משתמשים בסיטי בטן לדימות הלבלב

A

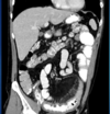
כדי ללמוד על מידת החומרה של המחלה-** **נותן מדד פרוגנוסטי בדלקת חריפה

80% רגישות

מתאים לתהליכים דלקתיים ופחות לתהליכים גידוליים

How well did you know this?
1
Not at all
2
3
4
5
Perfectly
5
Q

מהו

Balthazar score

A

אינדקס שבאמצעותו ניתן לקבל מדד לחומרה ופרוגנוזה של תמותה- משתמשים דרך פענוח סיטי

How well did you know this?
1
Not at all
2
3
4
5
Perfectly
6
Q

איזו בדיקה מחליפה את ה

ERCP

ומדוע

A

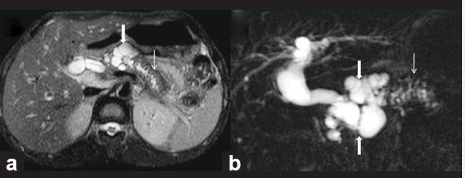
MRCP

מדמה את הצינורות של המרה והלבלב ולא פולשני ולכן מחליף את ה-ERCP

מאבחן גידולי לבלב בגודל קטן, מאבחן ומאפיין ציסטות

How well did you know this?
1
Not at all
2
3
4
5
Perfectly
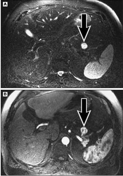
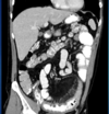
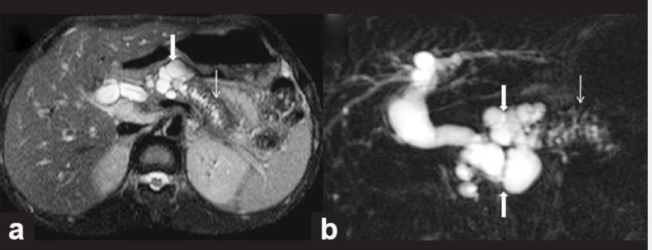
7
Q

מהו הממצא

A

פסואודוציסטה בלבלב- דם,אפיתל ושאריות של חלבון שהצטבר

How well did you know this?
1
Not at all
2
3
4
5
Perfectly
8
Q

מהו הממצא

A

IPMN

הרחבה של צינור הלבלב יחד עם ציסטה, מדובר בציסטה גידולית

How well did you know this?
1
Not at all
2
3
4
5
Perfectly
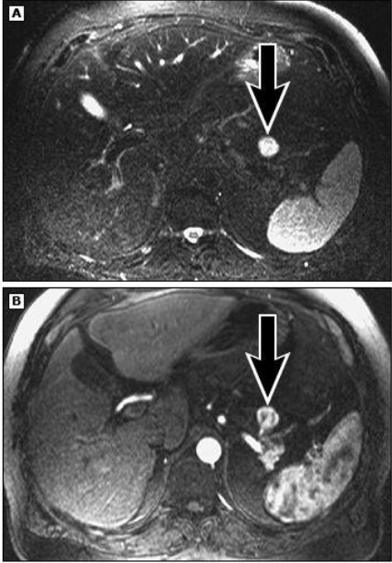
9
Q

מהו הממצא

A

ציסט-אדנוקרצינומה

How well did you know this?
1
Not at all
2
3
4
5
Perfectly
10
Q

מהו הממצא

A

פאנקריאטיטיס כרוני

How well did you know this?
1
Not at all
2
3
4
5
Perfectly
11
Q

מהוא הממצא

A

גידול נוירואנדוקריני בלבלב

How well did you know this?
1
Not at all
2
3
4
5
Perfectly
12
Q

למה משתמשים ב

EUS

A

חקירת נגע בלבלב ודגימה שלו, בנוסף אפשרויות טיפול (אבלציה של הצליאק גנגליון)

How well did you know this?
1
Not at all
2
3
4
5
Perfectly
13
Q

מהו אמצעי הגולד סטנדרט לאבחון לבלב

A

EUS

How well did you know this?
1
Not at all
2
3
4
5
Perfectly
14
Q

איזה אמצעי הדמייה הכי רגיש במציאת דלקת כרונית בלבלב

A

EUS

How well did you know this?
1
Not at all
2
3
4
5
Perfectly
15
Q

מה EUS יכול לאבחן

A

דלקת לבלב כרונית, הסתיידויות, התרחבויות והיצרויות של צינורות המרה והלבלב, סיצטות ותהליכים תופסי מקום

How well did you know this?
1
Not at all
2
3
4
5
Perfectly
16
Q

כיצד נראה גידול ב

EUS

A

כתם היפואקואי (שחור), אבנורמלי, ניתן למדוד את המוצקות- ככל שיותר ככל = מוצק יותר

How well did you know this?
1
Not at all
2
3
4
5
Perfectly
17
Q

אילו סוגי ציסטות נוכל לראות

EUS

(7)

A
  1. סרוטית
  2. פסואודוציסטה
  3. מוצינוזית
  4. IPMN
  5. NET
  6. סיצט-אדנומה
  7. סיצט-אדנוקרצינומה
How well did you know this?
1
Not at all
2
3
4
5
Perfectly
18
Q

איזו אינפורמציה EUS

יכול להעניק לנו על תהליכים תופסי מקום בלבלב

A
  1. גודל, מיקום ומוצקות
  2. גבולות ומעורבות של כלי דם

אינפורמציה חשובה למנתח

How well did you know this?
1
Not at all
2
3
4
5
Perfectly
19
Q

מהו הממצא

A

פסאודו-סיצטה, ציסטה שאינה צלולה

**נראה בד”כ אחרי טראומה או דלקת לבלב

How well did you know this?
1
Not at all
2
3
4
5
Perfectly
20
Q

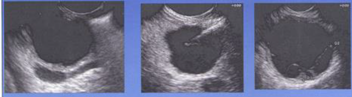
כיצד אראה ציסטה סרוטית בלבלב

A

סיצטה הבנויה ממחיצות וציסטות קטנות עם אפיתל קובייתי. בד”כ עם הסתיידות מרכזית

אם אדקור אקבל מים (סרום)

ציסטה שפירה וממאירות אינה שכיחה בסוג זה.

How well did you know this?
1
Not at all
2
3
4
5
Perfectly
21
Q

מה המאפיינים של ציסטה מוצינוזית

מתי הציסטה בתהליכי השתנות?

A

מכילה ריר והרבה חלבון, התמרה לסרטן משמעותית (10-20%)

חלל אחד גדול ופחות מחיצות. לרוב נתקדם לניתוח

ציסטה בתהליכי השתנות-דופן עבה, מעט מחיצות ויותר הסתיידויות

How well did you know this?
1
Not at all
2
3
4
5
Perfectly
22
Q

מהו

IPMT ולאיזה 2 סוגים נחלק

A

שגשוג ניאופלסתי של תאים מייצרי ריר בצינוריות הלבלב

Main duct / side branch

MD- התמרה 40-70%, מציעים ניתוח

SB- דורש מעקב, התמרה 10%

How well did you know this?
1
Not at all
2
3
4
5
Perfectly
23
Q

מהם פקטורים מנבאי ממאירות ב

main duct IPMN

(3)

A
  • צינור לבלב ראשי > 1 ס”מ
  • ציסטות > 3 ס”מ
  • נודולים בדופן = רכיב רקמתי הנמצא ליד או בציסטה, מעיד על השתנות

אם רואים את המאפיינים הנ”ל נשאף לנתח ולהוציא את הלבלב

How well did you know this?
1
Not at all
2
3
4
5
Perfectly
24
Q

מה המשמעות של רכיב רקמתי ליד או בציסטה עצמה

A

= רכיב רקמתי הנמצא ליד או בציסטה, מעיד על השתנות- כלומר ציסטאדנומה/ ציסטאדנוקרצינומה

How well did you know this?
1
Not at all
2
3
4
5
Perfectly
25
מהו סוג הנוזל שאקבל בכל אחת מ-3 הציסטות סרוטית, מוצינוזית , IPMN, פסואודו-ציסטה
סרוטית- מים מוצינוזית / IPMN- רירי פסואודו-ציסטה- נוזל שוקולדי בצבע חום
26
מה חשוב שניקח בחשבון באנליזה של הנוזל הנלקח מהציסטה
**_CEA-_** בתהליכים ניאופלסתיים יהיה גבוהה. מתחת ל-5 = ציסטה מימית פשוטה. **מעל 192- ציסטה מוצינודית ככל הנראה ניאופלסתית** **_עמילאז-_** כל דבר במחובר לצינור יכיל עמילאז , כך אדע אם מדובר בנגע סולידי או מחובר לצנרת **_עמילאז וCEA נותנים מידע לגבי איכות הציסטה והפרוגנוזה שלה_**
27
מהו תהליך השימוש ב ERCP מהו סיבוך משמעותי שלו ומתי נשתמש בו
אנדוסקופ שנכנס ומנקז צינור מרה ראשי וצינור לבלב ואז מוזרק חומר ניגוד והצינורות משוקפים. **_פאנקריטיטיס אקוטי-_** סיבוך משמעותי של התהליך **_השיבוש לטיפול ופחות לאבחנה (EUS/ MRCP)_** טיפול באבני מרה, ביופסיה מהצנרת, סטנט למקום חסום
28
מהו Double duct sign
מצב בו גם צינור כיס המרה וגם צינור הלבלב חסומים **_לרוב בגלל גידול בראש הלבלב. בשיקוף אנחנו נראה שני צינורות דקים שצרים ונעלמים_**
29
מהם הטיפולים שמאפשר EUS (5)
* **Celiac block-** הזרקת אלכוהול וחומרים מאלחשים, משתק עצבוב למספר חודשים * **הזרקת אלכוהול לציסטה-** נמק מקומי העלמות הסיצטה * **סטנט לפסאודוציסט וניקוזה** לחלל המעי עד שנספגת ונעלמת * **טיפול בלבלב נמקי-** נקרוסקטומי, לשטוף חומר נמקי * **אבלציה-** הרג תאי גידול נוירואנדוקרינים קטנים / ציסטות
30
מהם הטיפולים האפשריים עם ERCP (4)
אבנים, גידולים, היצרויות, דליפות **לעיתים אחרי שחותכים את צינור הלבלב והוא דולף** **_מכשיר טיפולי ולא כלי אבחנתי_** **_ERCP spyglass-_** מכשיר עדין שרואה מה קורה בתוך הצנרת, **לגידולים שנמצאים בתוך הצנרת**
31
מתי נשתמש בצילום X-ray (5)
* Acute abdomen * חסימת מעי * פניאומופריטונאום- אוויר חופשי בבטן * Toxic megacolon * גוף זה לא רדיופאקי (לא אטום לקרינה) **לא נבצע בטראומה** אוויר (שחור) ← שומן ← רקמות רכות ← רקמות קשות
32
**איך נבדיל בין מעי גס למעי דק בצילום חזה**
**מעי גס-** ההאוסטרות לא חוצות מצד לצד אלא צמודות לדופן. המעי עצמו פריפרי **מעי דק-** פסים לבנים דקים שחוצים את המעי מצד לצד (valvulae conniventes)
33
למה משמש צילום בטן בשכיבה ולמה משמש צילום בטן בעמידה
צילום בעמידה- יעיל עבור חסימת מעי, פלס נוזל אוויר (נראה רק בעמידה / במבט צידי) **מעל 3 ס"מ של הרחבה מעיד על חסימה** צילום בשכיבה יעיל עבור הרחבת מעי- **לא נראה פלסים אלא רק אוויר**
34
מהו הצילום בשכיבה ומהו הצילום בעמידה
שמאל- עמידה ← פלס נוזל-אוויר ימין ← שכיבה, רק אוויר כי הנוזל שוקע לכיוון הגב
35
מתי נראה את לולאות המעי בצילום רנטגן
כשיש נוכחות אוויר חופשי בבטן - פרפורציה ממע' העיכול
36
מהו Coffee bean sign
תסביב של לולאת מעי גס סביב עצמה **גורם להתרחבות פרוקסימאלית, אם רואים בצילום רנטגן מספיק לאבחנה**
37
מהם הממצאים
* שמאלי- ציסטה מסוידת בכבד * אמצעי- דלקת לבלב כרונית, הסתיידויות בלבלב * ימין- הסתיידויות בדופן כיס מרה
38
מה השימוש של בדיקה פלורוסקופית
בליעת בריום וצילום סט צילומי רנטגן - **מאפשר לקבל הערכה פונקציונאלית**
39
מהי הדמיית הבחירה לרוב הממצאים האבנורמליים בבטן יתרונות וחסרונות
סיטי יתרונות- רזולוציה גבוהה, מהירה, סטוקטורות במיקומית שונים, חתכים שונים חסרונות- יקרה, הרבה קרינה, אלרגיה ליוד, קונטרא-אינדיקציה באי ספיקת כליות
40
מתי שנשמש בסיטי
* Acute abdomen * מסות אבדומינלאיות (כולל אנוריזמות) * staging + follow up of tumors * סיבוכים אחרי ניתוח
41
מהם הממצאים
שמאל- גרורות בכבד ימין- גידול נוירואנדוקריני בלבלב
42
מהם הממצאים
פאנקריאטיטיס אקוטי- שלבים שונים ימין- necrotizing pancreatitis, nodules around the pancreas = sabonification
43
מהו הממצא
**_פרפורציה_** רואים חומר ניגוד שניתן פומית יוצא מצינור העיכול (נמצא בסמוך ללבלב) + נוכחות של בועות אוויר בחלל הבטן
44
מהו הממצא
חסימת מעי דק- החומר מגיע רק עד שלב מסוים בצינור העיכול עד נק' מסוימת במעי הגס ונעצר ובהמשך רואים הצטברות צואה
45
מהו הממצא
לולאות מעי מעובות בקרהון- חומר ניגוד שלילי המאפשר להדגים את הלולאות הפתולוגיות בצורה מיטבית , **עיבוי הדופן וחומר ניגוד שעובר בדופן צר**
46
מהו הממצא
Comb sign בחולה קרהון- התנפחות של כלי דם המזניטרים עם הרחבה ווסקולרית - מראה של מסרק
47
מה התפקיד של MRI בקרהון
מבדיל בין דלקת פעילה למחלה פיברוטית היצרותית, זיהוי סיבוכים , הערכה של הענות לטיפול, גילוי של מחלה לאחר ניתוח
48
מתי נשתמש בMRI בחשד של אפנדציטיס
נשים בהריון- לא רוצים להקרין ושימוש באולטראסאונד פחות טוב, **תוספתן מעל 7 ס"מ , מודלק ועם פלס אוויר בפנים**
49
מהי MRCP מתי נשתמש
טכניקה לא פושנית להתסכלות על צינורות הלבלב והמרה, בהערכה לפני ניתוח (למשל אבנים בכיס מרה) **_מאפשר לראות אבנים ופתולוגיות נוספות בצינור בלבד_**
50
מהו הממצא
הדגמה של גידול בצינור המרה תחת הדמיית MRCP
51
באיזה הדמייה נשתמש כדי לעשות Staging of colonrectal cancer
MRCP
52
מהי בדיקת הבחירה לאבנים בכיס מרה
US
53
מהו הטיפול בו נשתמש באנגיוגרפיה
טיפול בדימומים. **_במקום שיש אקסטרווזציה ש חומר ניגוד יעשו אמבוליזציה כדי לעצור את הדימום_**
54
מהי בדיקת FIT
Fecal immunochemical testing **בדיקת צואה אשר בודקת נוכחות של המוגלובין אנושי בצואה ע"י נוגדן** מיועד לאיתור סרטן = נגע גדול , מכויב שנוטה לדמות בקלות * **רגישות- 79%** * **סגוליות- 94%** _באיתור סרטן מעי גס_ _בפוליפים סגוליות גבוהה אבל רגישות נמוכה_
55
מהי בדיקת הגולד סטנדרט לאיתור פוליפים וסרטן במעי הגס
**_קולונוסקופיה_** הבדיקה היחידה שמאפשרת טיפול חסרונות: בדיקה פולשנית ותלויה בהכנה של המטופל, 25% מהמקרים קיים סיכוי לפספס פוליפים \*\***אדם עם דם בצואה נשלח לקולונסקופיה**
56
אילו אופציות יש לאנשים עם קונטרא-אינדיקציה לקולונסקופיה מה היתרונות והחסרונות
1. סיטי קולונגרפיה- שחזור תלת מימדי של הקולון **_יעילה לפוליפים מעל 1 ס"מ,**_ דורשת אבחנה מוקדמת של המעי _**ואם התגלה פוליפ ← קולונוסקופיה._** 2. קפסולה לקולון- **רגישות וסגוליות גבוהה לפוליפים מעל 1 ס"מ**, _יותר טובה מהסיטי קולונוגרפיה בפוליפים מעל 6 מ"מ_ ## Footnote **הבדיקות הנ"ל אבחנתיות בלבד**
57
אילו 2 סוגי פוליפים מעיניינים אותנו בקולונוסקופיות מהי השכיחות להופעה של אותם פוליפים
1. Adenomatous polyps 2. Sessile serrated polyps (SSA's) מעל גיל 50 - **בין 20-53% מהמקרים נמצא פוליפ אחד מהסוג הזה**. מתוכן 10% יהיה פוליפ מתקדם בדרך להפוך לנגע סרטני
58
מהו המסלול המורפולוגי שבו פוליפ הופך לסרטן
Normal mucosa → aberrant crypt (local cells proliferation) → polyps → polyps growth and become cancer
59
מהו המסלול המולקולארי שבו פוליפ הופך לסרטן
**Initiation → mutation in APC** \*\*in FAP this mut. is accelerated **האינצאציה יוביל להופעת אדנומה** **Progression-** K-ras,P53 \*\*in lynch accelerated **הפרוגרסיה תהפוך אדנומה לאדנוקרצינומה** בסרטן ספורדי יש בערך 10 שנים מהתחלת התהליך ועד הופעת סרטן
60
אילו 2 מסלולים מולקולריים מעורבים בהיווצרות סרטן מעי גס מהי המוטציות הראשונית ומה השניוניות
**_Wnt signaling pathway-_** המסלול הקלאסי והעיקרי 80% מהמקרים. פה המוטציה הראשונית הינה APC ואז עוד מוטציות. **_Serrated pathway-_** מוטציה ראשונית הינה BRAF, בשלב הבא יש **מוטציה אפי-גנטית בד"כ ע"י מתילציה של גנים.** 20-30% ממקרי הסרטן
61
מהם 3 הפקטורים המעלים/ מורידים סיכון לפוליפים
1. גורם גנטי- סיכון פי 2-3 לקרובי משפחה מדרגה ראשונה 2. דיאטה ואורחות חיים 3. תוספי תזונה של סידן- מוריד הישנות של פוליפים מסוג אדנומה ב-35% \*\*_הוכח במחקרים_
62
במה תלוי דרגת הסיכון של פוליפ ופוטנציאל לממאירות (4 מאפיינים)
1. **גודל-**_ככל שהעולים בגודל הפוליפים יותר עם ווילוסים ומכילים דיזפלזיה ברמה גבוהה_ 2. **דרגת דיספלזיה** 3. **סוג היסטולוגיה (אדנומות)-** _טובולרי_ הרבה יותר שכיח (בד"כ שפיר), _ווילוס_ דרגת דיזפלזיה גבוהה יותר.פחות שכיח **אדנומות מסוכנות** 4. **מספר הפוליפים-** ככל שכמות הפוליפים עולה רואים ש-% הקרצינומה עולה
63
אילו 3 סוגים של Sessile serrated polyps ישנם
1. _hyperplastic polyps-_ פוליפים בקולון הדיסטלי **לא ניאופלסטיים** 2. _Traditional serrated polyps-_ בעלי מראה לובולרי , דומים יחסית לאדנומות, קולון דיסטלי, **פוטנציאל ניאופלסתי** 3. _Sessile serrated polyps-_ שטוחים, נפוצים בקולון הפרוקסימאלי, **בעלי פוטנציאל ניאופלסטי**
64
אילו 2 סוגים של פוליפים אדנומות קיימים
1. tubular adenoma 2. Villous adenoma- הסוג המסוכן
65
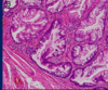
מהו הממצא
**Sessile serrated polyps-** רואים עליהם גם mucous cap- נראה כמו מעין לכלוך
66
מה נראה במבט היסטולוגי בפוליפים מסול Sessile serrated
נראה כמו מגף בבסיס המוקוזה
67
מהו השילוש המסוכן של Sessile serrated polyps
**קשה לאבחן** **קשה להסיר** **יכולים להכיל דיספלזיה- פוטנציאל ממאירותי**
68
מהי optical biopsy
שיטה שעוזרת להדגים נגעים ולהבדיל אדנומות פוליפ היפרפלסטי ונגעים סרטניים ומאפשרת לזהות האם קיימת דיספלזיה ב-serreted sessile polyp ## Footnote **_כלומר לא תמיד חייבים לקחת ביופסיה , ניתן לאבחן ולטפל על סמך אנדוסקופיה בלבלד_**
69
כיצד מסווגים פוליפים במעי הגס | (2 מאפיינים)
**גודל-** קטן מ-5 מ"מ(דימיניוטיב), 6-10 מ"מ (קטן), 1-2 ס"מ (בינוני), מעל 2 ס"מ(גדול) **מורפולוגיה-** מסווג לפי קליספקציה פריז,לפי 2 קלסיפיקציות: א. peduncle / sessile ב. Granular vs non granular **_לגודל הצורה והמראה יש משמעות פרוגנוסטית_**
70
מהם הפוליפים הכי שכיחים שנתקלים בהם בקולונסקופיה ומיקום עיקרי, כיצד נסיר אותם
Diminutive polyps קטנים מ-5 מ"מ, נמצאים בעיקר ברקטום ובסיגמואיד הדיסטלי 50% יכולים להיות אדנומות, נדיר שגדלים לאורך זמן **_הסרה-_** באמצעות cold snare polypectomy- החוט _לולאה קרה_
71
כיצד נכרות פוליפ בגדול 6-10 מ"מ ומה יהיה השיקולים שלנו
1.5% נמצא פתולוגיה מתקדמת ולכן נשלח להיסטולוגיה את הממצאים. בגידול המחובר ע"י גבול- נשתמש בלולאה חשמלית שצורבת כלי דם בגידול שטוח (ססיל) אפשר לכרות עם לולאה קרה
72
מהי הגישה לפוליפים בגודל של 10-20 מ"מ
כ-⅓ מהמקרים יש היסטולוגיה מתמקדמת, 20% מהם ניתן להשאיר חלק ולפספס סרטן, סיכון לדימום ופרפורציה **נסיר עם לולאה חמה או** **ESD/ en-bloc EMR-** שיטה בה מזריקים חומר מיוחד מתחת לפוליפ למנוע סיבוכי כריתה
73
מהו הגישה לפוליפים מעל 2 ס"מ (5% מהמקרים) ואיזה 2 סוגים נראה
1. **פוליפ שתלוי על גבעול גדול-** יכיל כלי דם גדולים, סכנה לדימום, צריך לחנוק את הפוליפ ע"י לולאה ואז לכרות 2. **פוליפ שמתפשט לטרלית-** משתמשים בטכניקת EMR שהיא בטוחה יותר מהסרה סטנדרטית Large peduncle lateral spreading
74
מהי טכניקת EMR
הזרקה מתחת לפוליפ חומר ג'לטיני עם אדרנלין שיוצר מעין “כרית” שמרימה את הפוליפ + צבע שצובע את סיבי הקולגן בסאב מוקוזה בכחול- מאפשר לדעת שלא פגענו בשריר בזמן כריתה
75
מהם השיקולים בהסרת פוליפ גדול | (3)
* _קונטרא-אינדיקציות להסרה מורכבת (EMR/ ESD)-_ כשקיים חשד שהגידול אינבזיבי וחדר לסאב מוקוזה ואף מערב לימפה * _מגבלת גודל-_ כמעט ולא קיימת * _התמודדות עם שאריות ומעקב-_ הזמנת חולים למעכב סדור לפעמים יש צורך בהסרה נוספת
76
מהם הגורמים שיכולים להגדיל סיכוי למעורבות של גרורות בבלוטות לימפה
1. **עומק החדירה של הפוליפ לתוך התת רירית** 2. **נוכחות תאי גידול בתוך כלי דם / כלי לימה קטנים** 3. **דרגת התמיינות-** התמיינות נמוכה /שוליים חיוביים
77
מתי נשלח מטופל לניתוח אונקולוגי מלא הכולל כריתה של חלק מהמעי עם אספקת דם ובלוטות לימפה
* **בכל מצב בו תאים מפוליפ ממאיר הגיעו לכלי דם או לימפה** * **דיפרינצאציה נמוכה** * **שוליים חיוביים**
78
מהם הסיכונים בהסרת פוליפ | (4)
* **_דימום-_** סיכון עולה עם קו-מורבידיות, מיקום בקולון הימני וגודל הפוליפ * **_פרפורציה-_** כמעט ולא מתרחש בכריתה סטנדרטית, לרוב לא מצריך ניתוח * **_כריתה לא שלמה-_** 20% של כריתה לא שלמה בפוליפים הגדולים מ-1.5-2 ס"מ, **יכול להוביל ל-interval cancer = סרטן שמתפתח לפני בדיקת המעקב הבא,** בעיקר מתרחש ב-sessile serrated שמתפשטים לטרלית * **_הישנות-_** בד"כ הפוליפ המאוחר יהיה גדול יותר
79
מהו interval cancer
כריתה לא שלמה של פוליפ ← בין הבדיקה לבדיקה הבאה מתפתח סרטן
80
מה הם התוויות לממצאים בקולונסקופיה: ממצא נורמלי, סיכון נמוך, סיכון גבוה
**ממצא נורמלי-** פוליפים היפרפלסטיים / ללא פוליפים _נחזור אחרי 10 שנים_ **סיכון נמוך-** 1-2 אדנומות / sessile serrated קטן מ-1 ס"מ, _בדיקה חוזרת תוך 5-10 שנים_ **סיכון גבוה-** אדנומות או סרטד \> 1ס"מ, אדנומה ווילוסית, דיזפלזיה בדרגה גבוהה, מעל 3 פוליליפם, או סרטד (Serrated) שיש בים דיספלזיה
80
מה הם התוויות לממצאים בקולונסקופיה: ממצא נורמלי, סיכון נמוך, סיכון גבוה
**ממצא נורמלי-** פוליפים היפרפלסטיים / ללא פוליפים _נחזור אחרי 10 שנים_ **סיכון נמוך-** 1-2 אדנומות / sessile serrated קטן מ-1 ס"מ, _בדיקה חוזרת תוך 5-10 שנים_ **סיכון גבוה-** אדנומות או סרטד \> 1ס"מ, אדנומה ווילוסית, דיזפלזיה בדרגה גבוהה, מעל 3 פוליליפם, או סרטד (Serrated) שיש בהם דיספלזיה _בדיקה חוזרת תוך 3 שנים. if we haven't found anything after 3 year repeat after 5 years_
81
באיזה גודל הפוליפים הכי מתפספסים
## Footnote **_הפוליפים שהכי מתפספסים בגודל 6-8 מ"מ, 20% מהפוליפים מתפספסים בבדיקות_**
82
מהם גורמי סיכון ל CRC (4)
1. גיל \> 50 2. ממצאי קולונסקופיה קודמת 3. היסטוריה משפחתית- 20% מהמקרים קורים בקרובים מדרגה ראשונה שחלו כבר בסרטן מעי גס, כלומר סיכון פי 2-3 בקרובים דרגה ראשונה 4. IBD- 10% לכל 10 שנות מחלה
83
מהם 3 הפקטורים הסביבתיים העיקריים הקשורים ל CRC מהו תוסף שהוכח כמוריד סיכון ל- CRC
* אלכוהול * עישון * השמנה **תוספת סידן-** היחיד שהוכח כמוריד סיכון
84
מהם המאפיינים המולקולרים של CRC (4)
1. אי יציבות כרומוזומאלית- 80% 2. MSI- 15% 3. TSG- APC 60-80% (sporadic cancer) 4. Proto-oncogenes Kras 65% (sporadic cancer)
85
כמה מסלולי התפתחות של ממאירות קיימים ב CRC ומה משותף לשלושתם
**Wnt signaling משותף לשלושתם** * **CIMP-** Kras → MSI trough methylation of MLH1 (serrated) * **CIN-** APC → Kras → TSG * **MSI-H-** APC →MSI trough methylation of MLH1
86
כיצד נקבע ה staging in CRC
87
איפה נראה גרורות שמקורן במעי הגס לעומת גרורות שהמקור הוא רקטום
מעי גס - ניקוז **פורטלי = _גרורות לכבד_** רקטום- אספקת דם דואלית , **_התפזרות בריאה לעיתים לפני הכבד_**
88
מהו הטיפול הדפיניטיבי ב CRC
ניתוח (בשלב מוקדם). ככל השאזור יותר פרוקסימאלי כך האדם יהיה פחות סימפטומתי.
89
מהי הגישה הטיפולית ב- CRC
**ניתוח** * **מעקב אחר רמות CEA** * **כימותרפיה- לפני / אחרי הניתוח**: _ניאו-אדוגבנט-_ יחסית נדיר, בד"כ להקטין לפני ניתוח או הערכה תגובה לטיפול _,אדג'ובנט-_ כל שלב 3 או 2 עם מאפיינים אגרסיביים או סרטן רקטלי בשלב 2 בגלל סיכוי גבוה להישנות **CapeOX / FOLFOX (more common in IL)** * **אימיונותרפיה-** בד"כ ניתן בשלב 4. סיומת MAB
90
מהי השרידות ל-5 שנים ב CRC
* שרידות כללית 64% * שלב 1-2 שרידות של 90% * שלב 3 71% * שלב 4 14%
91
מי בסיכון לחלות בסרטן מעי גס ומי בסיכון מוגבר
**כולם בסיכון 1:17** רוב המקריים ספורדיים, 30% יש סיפור משפחתי, 15-20% עם תסמונות גנטיות (הרוב לינץ' עם 80% סיכוי לחלות)
92
אילו פוליפים הינם ניאופלסטיים | (2 סוגים)
93
אילו 2 תסמונות גנטיות של CRC קיימות
1. סינדרומים שקשורים לפוליפוזיס- FAP 2. סינדרומים בהם **אין ריבוי פוליפים (עד 10)-** Lynch (HNPCC)
94
מימה נגרם FAP Familial adenomatous polyposis
מוטציה ג'רמינלית בגן **_APC, AD_** ה-Second hit לרוב בילדות ולכן כבר רואים פוליפוזיס בילדות **_גורם לסרטן ב-100% מהמטופלים שלא מטופלים_**
95
מהם התבטאויות נוספות של FAP (3)
1. **Gardner syndrome**- פוליפוזיס, ציטסות אפידרמליות גידולים דזמואידים ואוסטאומות, מתחיל באזור הפה והלסת 2. **Turcot syndrome-** גידולי מח בעיקר מדולובלסטומה 3. **אדנומות וקרצינומות של הקיבה והתריסריון-** פיתוח אדנומות לא רק בקולון הדיסטלי , 80% מהמקרים
96
מהו הבירור הגנטי במסגרת חשד ל- FAP
**מוטציה חיובית ל-APC-** ניתן לאבחן כ-FAP **מוטציה שלילית בגן APC-** _אבחון החולים אם יש תמונה קלינית מתאימה_ כלומר יש מוטציה פשוט לא איתרנו **_רק ב-85% מחולי FAP יהיו חיוביים למוטציה ב-APC_**
97
מהו הטיפול והמעקב הדרוש אחר אדם חיובי למוטציה ב-APC FAP מאובחן או בן משפחה חיובי גם
* קולנוסקופיות מגיל 10-12 * כריתה מניעתית של המעי הגס בגיל 18-25 חוץ 2-3 ס"מ לשמור המשכיות עם הספינקאר * פעם בשנה סיגמואידוסקופיות + רקטוסקופיות שלא מתפתח סרטן * גסטרוסקופיות של הקיבה והתריסיון * מעקב בלוטת תריס MRI לבדיקת גידולים דזמואידים, ואמפולה ע"ש ואטר
98
מהו המנגנון הגנטי המוביל ל- FAP
loss of TSG APC
99
מהו המנגנון הגנטי המוביל ללינץ סינדרום ולמה יוביל בגנום
Germline mutation in genes involved in DNA MMR (MLH1, MSH2) **_will lead to MSI - many somatic mutations_** **_20% of CRC will develop by this pathway_**
100
מהם 2 המגנונים המובילים ל- MSI
1. מוטציות גרמינליות באחד מגני MMR 2. מתילציה באחד מה-MMR ## Footnote **_שניהם יובילו להעדר ביטוי חלבון מתאים ברקמת הגידול_**
101
מהי השכיחות של תסמונת לינץ מתי נבדוק
**_שכיחות של 1:300_** לכן בכל סרטן של מעי גס נעשה צביעה אימיונוהיסטוכימית לגנים של תיקון דנ"א- בהעדר צביעה אין ביטוי **חשוד לתסמונת לינץ'** ואז נצטרך לבדוק האם המוטציה היא germline
102
מה הקשר בין תסמונות לינץ' להתפתחות CRC מהי המשמעות לגבי חולים בתסמונות
* **_זמן קצר בין אדנומה לאדנוקצינומה-_** דורש מעקב כל 1-2 שנים. _מורידים כל פוליפ בכל גודל ותמיד נשלח לפתולוגיה_ * **_הרבה סוגי סרטן במטופל ובקרובי משפחה-_** סיכון של 80% לסרטן מעי גס וסיכון מוגבר לסרטנים נוספים (חוץ מערמונית ושד)
103
מהי Chromendoscopy ומה היתרון שלה
שיטה בקולונסקופיה שצובעים עם חומר שמדגיש את הפוליפים הקטנים ביותר ככה נוכל לכרות בשלב מוקדם ## Footnote **משפר יכולת איתור אדנומות בלינץ'**
104
מהו * Synchronous CRC * Metachronous CRC
* **Synchronous CRC-** מצב בו סרטן נוסף מאובחן בטווח של 6 חודשים מתרחש בין 6-18% מהמקרים, עקרונית כמו 2 גידולים שונים שמאובחנים בו זמנית * **Metachronous CRC-** אבחון של סרטן נוסף יותר מ-6 חודשים מאבחנת הסרטן הראשון, 40% בגיל 10, 70% בגיל 40
105
מה כולל המעקב באנשים עם תסמונת לינץ' | (5)
* **קולונסקופיות**- כל שנה מגיל 20, אם מאותר סרטן נעשה כריתה מניעתית של כלל הקולון * בדיקות וגינליות פעם בשנה * **כריתה מניעתית של הרחם והשחלות -**בין גילאים 40-45 או בסיום ילודה * גסטרוסקופיות- **סרטן קיבה** * בדיקות שתן לאיתור **סרטן שלפוחית השתן** - לא ספציפי
106
**מתי נחשוד בתסמונת גנטית** **(4)**
1. גיל צעיר 2. ריבוי מקרי סרטן במשפחה 3. מספר סוגי סרטן במטופל אחד 4. מעל 10 אדנומות / מעל 3 פוליפים המרטומות
107
מהו המאפיין של גידול כדי שייקרא Lynch like
גידול שהיה MSI-H / היעדר של אחד מחלבוני ה-MMR
108
מה משפיע על עלייה בסיכון ל-CRC | (3)
יותר קרובי משפחה, דרגת קרבה, גיל צעיר, מחלות IBD
109
מי הם הקבוצות בסיכון ל CRC ואחוזים
110
למי נבצע בדיקת סקר ומהי בדיקת הבחירה
**אוכלוסיות בסיכון מוגבר** **אוכלוסייה בסיכון ממוצע-** ללא סימפטומים או סיפור משפחתי או אישי **_בדיקת הבחירה היחידה לגילוי מוקדם הינה קולונסקופיה_**
111
מתי נתחיל לבצע קולונסקופיה
* כשיש סיפור משפחתי- גיל 40 / 10 שנים לפני הגיל הצעיר ביותר במשפחה * IBD- תלוי באורך וחומרת המחלה * סיכון ממוצע- מעל גיל 50
112
מהם הסימפטומים של סרטן מעי גס שדרוש בירור עבורן (4)
* דימום רקטלי * עצירות * שינויי בהרגלי יציאות (גידול משמאל)- אם לא חולף לאחר שבועיים שלוש * אנמיה מחוסר ברזל (גידול מימין)
113
מהו חלון הזדמנויות למניעה של סרטן במעי הגס
כ-90% מתפתחים מפוליפ, חולפים בין **7-10 שנים** מהופעת הפוליפ הראשוני ועד הפיכה לממאיר
114
**_מהם שלבי ההכנה לקולונסקופיה_** **_(3 שלבים)_**
1. _דיאטה 3 ימים לפני-_ לא פירות וירקות, לא סובין ודגנים ומזונות עתירים בסיפרים 2. _יום לפני הבדיקה-_ כלכלה נוזלית בלבד (מיצים, מרק) 3. _כ-16 שעות לפני-_ מתן מרוק פיקולקס- מכיל חומר אוסמוטי ומוביל לשלשול, **שותים המון מים ללא אוכל והכל מתנקה.** שותים _16 + 8_ שעות לפני הבדיקה
115
מהי תדירות המעקב של קולונסקופיה
1. ללא סיפור משפחתי - 10 שנים 2. סיפור משפחתי קל- 5 שנים 3. עד 2 פוליפים \< 10 מ"מ- 5-10 שנים 4. אדנומה \> 10 מ"מ / היסטולוגיה מתקדמת (ווילוס / דיספלזיה הי גרייד) - 3 שנים 5. סיפור משפחתי “רחב”- בהתאם לבירור גנטי
116
מתי נצבע בדיקת דם סמוי בצואה ומה היא בודקת
FIT אחת לשנה מגיל 50 לאוכלוסיה בסיכון ממוצע ריאקציה של נוגדן לגלובין - מאתר דימום **מעל סף מסוים שנקבע באותה מדינה, ככל שהמדינה יותר עשירה היא תקבע סף נמוך יותר וכך יותר אנשים יישלחו לבדיקה-** נוריד ספציפיות אך נעלה רגישות _בדיקה חיובית = קולונסקופיה_ _ה-PPV for positive FIT who does have cancer = 4-5%_