עיכול-גישה לשלשול, כיב קיבה ותריסריון GERD, הפרעות בליעה, צליאק Flashcards

(106 cards)

1
Q

מהם 3 הקריטריונים להגדרת שלשול

A
  • יציאה במרקם שאינו מוצק
  • נפח צואה מעל 200 גרם ליום
  • מעל 3 יציאות ביום
How well did you know this?
1
Not at all
2
3
4
5
Perfectly
2
Q

מהו ההבדל בין שלשול חריף לכרוני

A

חריף- פחות משבועיים בד”כ על רקע זיהומי (90%)

פרוססטנטי- בין 2-4 שבועות

כרוני- מעל 4 שבועות

How well did you know this?
1
Not at all
2
3
4
5
Perfectly
3
Q

מהם3 המרכיבים אליהם נתייחס בהגדרה של שלשול

A

נפח, מרקם, תדירות

בשלשול קלאסי כל ההגדרות יתקיימו

How well did you know this?
1
Not at all
2
3
4
5
Perfectly
4
Q

מהם האבחנות המבדלות של תלונה עם שלשול

A

שלשול חריף (עד שבועיים), פרסיסטנטי (2-4 שבועות) , כרוני (מעל 4)

מצבים המדמים שלשול אך אינם שלשול

Fecal incontinences- בעיה במנגנון השליטה על סוגרים שגורם לבריחת צואה, לעיתים אפילו לפני שמספיקים להגיע לשירותים

Pseudodiarrhea- יציאות תכופות בכמות קטנה, מלווה בטנזמוס (תחושת דחיפות), פרוקטיטיס (דלקת של הרקטום), הרגשה של התרוקנות של שלמה

overflow diarrhea- בעצירות קשה והיווצרות אבני צואה יש התנזלות של הצואה והצפה של הרזרבואר מעבר ליכולות ולכן יש דליפה נוזלית

How well did you know this?
1
Not at all
2
3
4
5
Perfectly
5
Q

מהו

Pseudodiarrhea

A

דלקת מקומית ברקטום, יציאות קטנות בתדירות גבוהה לאו דווקא שלשול

How well did you know this?
1
Not at all
2
3
4
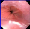
5
Perfectly
6
Q

כיצד נסווג שלשול (2 סוגי חלוקות)

A

כרוני / אקוטי / פרסיסטנטי

נפח- קטן / גדול

פתופיזיולוגיה- סרקטורי / אוסמוטי

הרכב הצואה- מימי / שומני/ אינפלמטורי

How well did you know this?
1
Not at all
2
3
4
5
Perfectly
7
Q

כיצד נבדיל בין שלשול שנובע במעי הימני / מעי דק לבין שלשול שנובע ממחלה דיסטלית ברקטום

A

נפח היציאות

יציאות גדולות ופחות תכופות בד”כ ללא כאב רקטלי = מעי גס ימני / מעי דק

יציאות תכופות, קטנות, יכולות להוביל לכאב בזמן היציאה = מחלה דיסטלית ברקטום (פרוקטיטיס, IBS)

How well did you know this?
1
Not at all
2
3
4
5
Perfectly
8
Q

מהי הפתופיזיולוגיה לשלשול וכיצד תתבטא

A

בשלשול יש עודף נוזלים כתוצאה בהפרעה של ספיגה נטו של מים ולאקטרוליטים כתלות במנגנון שנפגע:

  1. קצב ספיגה- למשל בזיהומים של המוקוזה קצב הספיגה יירד בגלל הפרעה בספיגה
  2. שינויים בבזמן המעבר התוכן במעיים- פחות זמן לספיגה בגלל תנועתיות מוגברת = שלשול
  3. שינוי בהרכב תוכן הצואה- למשל בצואה שומנית (סטאטוריאה) השומן לא יוצר קשרים עם מים ולכן לא נספחים לצואה ויוצאים בצורה מוגברת
How well did you know this?
1
Not at all
2
3
4
5
Perfectly
9
Q

מהי כמות המים שנספגת באופן תקין במעי הגס והדק, מתי נראה שלשול

A

99% מהמים עוברים ספיגה.

מתוך 10 ליטר רק 100 מ”ל יוצאים בצואה

במצב של פגיעה אפילו של 1% בספיגה = שלשול

How well did you know this?
1
Not at all
2
3
4
5
Perfectly
10
Q

מהו שלשול מימי

שלשול אינפלמטורי

שלשול שומני

A

שלשול מימי- עלייה בהפרשת , אלקטרוליטים או ירידה בספיגתם, רקע ויראלי (מחלה קלה יותר)

שלשול אינפלמטורי- חיידקים, תהליך דלקתי (מחלה קשה יותר) או ניאופלסתי המעב את המקוזוה. כאבי בטן, חום 38.5, שלשול דמי, שלשול עם ריר / מוגלה

שלשול שומני-הפרעה בספיגת שומנים / חומרים אחרים במעי הדק

How well did you know this?
1
Not at all
2
3
4
5
Perfectly
11
Q

מימה נגרם שלשול

מהו שלשול אוסמוטי ושלשול סקרטורי

A

חוסר איזון שנובע מהפרעה בספיגה והפרשה של מים ואלקטרוליטים

שלשול אוסמוטי- התוכן אוסמוטי וסופח מים

שלשול סקרטורי- עודף אלקטרוליטים בלומן סופחים מים

How well did you know this?
1
Not at all
2
3
4
5
Perfectly
12
Q

מהי האתיולוגיה לשלשול זיהומי = דרכי הדבקה

(3 דרכים)

A

Feco oral

מגע באוכל או מים מזוהמים

שימוש באנטיובטיקה שפוגעת בפלורה

How well did you know this?
1
Not at all
2
3
4
5
Perfectly
13
Q

מי הם 5 הקבוצות בסיכון לפתח שלשול חריף על רקע זיהומי

A
  1. מטיילים- 40% מהמטיילים למקומות אנדמיים
  2. צרכני מזון מסוימים- בסמיכות לארוחות המוניות מחוץ לבית, מכוון למזהמים ספצייפים לפי סוג המזון חזיר לא מבושל יוביל לשלשול אינפלמטורי דמי
  3. מדוכאי חיסון- חסר ראשוני (IgA, CVID) איידס, דיכוי מח עצם , תרופות שמדכאות את מע’ החיסון
  4. עובדי מעונות יום ומשפחותיהם- במיוחד במצבים של שלשול מעל 5-7 ימים
  5. מטופלים מאושפזים- זיהומים נוקוזומיאליים , שימוש באנטיובטיקה (קלוסטרידיום /שינוי פלורת המעי)
How well did you know this?
1
Not at all
2
3
4
5
Perfectly
14
Q

מהם הסימפטומים של שלשול אקוטי

A
How well did you know this?
1
Not at all
2
3
4
5
Perfectly
15
Q

אילו הופעות סיסטמיות יכולות להתרחש בשלשול זיהומי

A

אריתריטיס אקוטי- לאחר סלמונלה, ירסינאה, קומפילובקטר ושיגלה (SSYC)

תירואידיזיס אוטואימיוני, פרקידרדיטיס , גלומרולונפריטיס- אחרי ירסינאה

HUS- אחרי שיגלה

How well did you know this?
1
Not at all
2
3
4
5
Perfectly
16
Q

מהי האתיולוגיה לשלשול חריף לא זיהומי

A

IBD

צליאק

תסמונת מעי רגיז

שימוש בחומרים משלשלים

מחלות אנדוקריניות

How well did you know this?
1
Not at all
2
3
4
5
Perfectly
17
Q

אילו תרופות יובילו בעיקר לשלשול חריף לא זיהומי

A

NSAID

כימותרפיה

How well did you know this?
1
Not at all
2
3
4
5
Perfectly
18
Q

מתי כן נתערב בשלשול אקוטי

A

שלשול קשה עם התייבשות

שלשול דמי

חום מעל 38.5

מעל 48 שעות ללא שיפור

כאבי בטן עזים במטופל מעל 50

מבוגרים מעל 70 / מדוכאי חיסון

אם אדם נותן שתן בכמות טובה הוא לא מיובש

How well did you know this?
1
Not at all
2
3
4
5
Perfectly
19
Q

איך נברר שלשול חריף

A

בדיקת צואה- תרביות חיידקים / הסתכלות לאיתור פרזיטים, תבחינים אימיוניים לטוקסינים- קלוסטרידיום

בדיקות מתקדמות- פחות בשימוש בשלשול חריף

How well did you know this?
1
Not at all
2
3
4
5
Perfectly
20
Q

מהי הגישה הטיפולית במטופל עם שלשול חריף

A

רה הידרציה- עדיף דרך הפה, ORS מכיל מלחים גלוקוז ומים כדי לספוג אלקטרוליטים

הזנה- מותר, עדיף להימנע ממוצרי חלב

How well did you know this?
1
Not at all
2
3
4
5
Perfectly
21
Q

מתי ניתן תרופות נגד שלשול בשלשול חריף

מהי קונטרא-אינדיקציה

A

שלשול בינוני קשה ללא חום או דימום (לא דלקתי)

Loperamide

Bismuth subsalicylate- קונטרא אידנקציה אי ספיקת כליות

How well did you know this?
1
Not at all
2
3
4
5
Perfectly
22
Q

מתי ניתן אנטיובטיקה בשלשול חריף

A
  • מחלה קשה
  • מאפיינים המרמזים לזיהום בקטריאלי אינווזיבי (יציאות דמיות או מוגלתיות)
  • המחולל שיגלה או קומפילבוקטור פילורי וקלוסטרידיום- מחלה קשה עם חום ממושך
  • מאפיינים במטופל המגבירים סיכוי לסיבוכים
  • נשים בהריון עם חשד לליסטריה
  • דיזנטריה- שלשול דמי או קאלפרוטקטין מוגבר

לא ניתן במצב של אי.קולי שמייצר שיגה טוקסין כי זה מעודד אותו לייצר

לרוב נשאף לא לתת טיפול אנטיביוטי

How well did you know this?
1
Not at all
2
3
4
5
Perfectly
23
Q

מהי הפתופיזיולוגיה של שלשול כרוני

A

שלשול סקרטורי / אוסמוטי הפרעה בשיווי משקל

או יותר הפרשה של אלקטרוליטים ומים או יותר הפרשה של מים מאלקטרוליטים

How well did you know this?
1
Not at all
2
3
4
5
Perfectly
24
Q

באילו 2 מצבים תיגרם הפרשה של ש”מ ותיווצר צואה נוזלית

A

אכילת תוכן אוסמוטי שלא נספג וסופח מים

עודף אלקטרוליטים שסופחים מים

מתחת ל-50 מיליאוסמול = שלשול סקרטורי

מעל 100 מיליאוסמול = שלשול אוסמוטי

How well did you know this?
1
Not at all
2
3
4
5
Perfectly
25
איך נוכל להבדיל בפרקטיקה בין שלשול אוסמוטי לסקרטורי
אם נשים אדם בצום שלשול אוסמוטי יפסיק (כי לא מכניס תוכן שלא נספג) לעומת שלשול סקרטורי שימשיך ## Footnote **_שלשול אוסמוטי משתפר / חולף בצום לעומת שלשול סקרטורי שממשיך בצום_**
26
מהי הפתופיזיולוגיה של שלשול סקרטורי ושל שלשול אוסמוטי
**שלשול אוסמוטי-** אכילת חומר בלתי ספיגים (אין הפרעה בספיגת אלקטורוליטים וריכוזם בצואה נמוך) **שלשול סקרטורי-** הפרעה בספיגת אלקטרוליטים, הם אחראים לאוסמולריות, ריכוזם גבוה בצואה
27
מהי סטיטוריאה
**_פגיעה בספיגת השומן_** צואה שומן, מסריחה שצפה באסלה מלווה בירידה במשקל וחסרים תזונתיים **הפרשת שומן בצואה מעל 7 גרם ליום**
28
מהי הפתופיזיולוגיה של סטיאטוריאה
**_Intraluminal maldigestion_** אי ספיקת לבלב אקסוקריני, מחלות כבד כרוניות (פגיעה בייצור המרה) SIBO _כל המצבים שגורמים לבעיה בעיכול של השומן בלומן_ **_Mucosal malabsorption_** במחלת הצליאק, מצבים של בעיה בספיגה של שומנים **_Post mucosal lymphatic obstruction_** טראומה, גידול, תת ספיגה של שומן + איבוד חלבון דרך אנטתרוציטים. פחמימות וחומצות אמינו נשאר תקין
29
מהם המאפיינים של שלשול דלקתי
כאבי בטן, דימום, חום, נוכחות של פרוקלקטין גבוה בצואה **_במצב של שלשול כרוני דלקתי המלווה בדם-_** לשלול ממאירות
30
מהם 2 סיבות אפשרויות לשלשול כרוני
**דיסמוטיליות**- זמן מעבר מהיר במע' העיכול **Factitial diarrhea**- המטופל גורם לעצמו מבלי לדעת או פשוט לא מספר לנו
31
מהם 3 השלבים בתהליך האבחנתי של שלשול כרוני
אבחון אתיולוגי הערכת מאזן נוזלים / אלקטרוליטים הערכת מצב תזונתי
32
אילו נגעים מחשידים למחלת מעיים כרונית
**Dermatitic herpetiformis-** Celiac **Erythema nodosum / Pyoderma gangernosum**- IBD
33
מהי ההגדרה של כיב
* *פגיעה של 5 מ"מ ומעלה ברירית הקיבה או התריסריון עם עומק שניתן להעריך** * *באנדוסקופיה או עדות היסטולוגית לחדירה לסאבמוקוזה** ## Footnote נגע פחות מ-5 מ"מ יקרא ארוזיה
34
מהם האתיולוגות של כיב פפטי 2 הכי שכיחות
1. הליקובקטר פילורי 2. NSAIDS _נכון גם לקיבה וגם לתריסריון_
35
מהי הסיבה להידבקות בהליקובקטור מה השכיחות שלו באוכלוסייה ומהם הסיבוכים אליהם עלול להוביל
שכיחות - 7-78% קשור לתנאי סנטציה והגיינה, לרוב נדבקים בילדות אפשר להחלים / להיות אסימפטותי **סיבוכים:** גסטריטיס כרוני, מחלה פפטית, MALT lymphoma Gastric cancer (adenocarcinoma)
36
מדוע שימוש ב NSAIDS מוביל לכיב פפטי
בעיקר אספירין עיכוב של COX1 ופגיעה במוקוזה של מע' העיכול - כי אין ייצור של פרוסטגלנדינים. פרוסטגלנדינים- מגרים הפרשת מוקוז ובי-קרבונט ומגבירים זרימת דם לאזור דבר שמוביל לעידוד יצירת שכבות אפיתל חדשות + עיכוב הפרשת חומצה
37
מהי ההתייצגות הקלינית של חולה עם כיב פפטי
כאב אפיגסטרי, תחושת מלאות וכבדות **כיב בקיבה-** מוחמר בארוחה **כיב בתריסריון-** מוחמר בצום ושאוכלים מרגשים יותר טוב _מה חשוב בבדיקה הגופנית-_ **סיבוכים** כמו פרפורציה
38
איזה סוג של כיב יוחמר בארוחה
כיב בקיבה
39
איזה סוג של כיב יוחמר בצום
כיב בתריסריון, יוקל בארוחה
40
כיצב נאבחן מחלת כיב פפטי
**_גסטרוסקופיה (EGS)_**
41
מהם התמונות
כיבים- בד"כ יהיו מכוסים בחומר צהוב = פיברין
42
איך נחליט למי נבצע גסטרוסקופיה
**_לפי הערכת סיכונים =במחלות שהמחלה היא לא רק כיב_**
43
מהי הקלסיפיקציה של ביצוע EGD (גסטרוסקופיה)
1. גיל מעל 55 / סימני אזהרה 2. גיל מתחת ל-55 ללא סימני אזהרה ← נבדוק נוכחות להליקובקטור * **אם יש הליקובקטור ←** נטפל בהליקובקטור ← אם נכשלנו נטפל ב- PPI למשל 4 שבועות ← אם נכשלנו נשקול גסטרוסקופיה * **אם אין הליקובקטור ←** טיפול ב-PPI למשל 4-6 שבועות ← אם נכשלנו נשקול גסטרוסקופיה
44
מהם סימני ההאזהרה של דיספפפזיה (סימפטומים המערבים דרכי עיכול עליונות) 9 סימנים
1. Age- \>55 2. Family history 3. GI bleeding 4. Iron deficiency unexplained 5. Jaundice 6. persistent vomiting 7. progressive dysphagia 8. weight loss 9. abdominal mass palpable
45
מהם הבדיקות הלא פולשניות והפולשניות לאבחון הליקובקטר
**_לא פולשניות:_** **_סרולוגיה בבדיקת דם-_** _בדיקה בעיקר לשלילה_**,** לא מראה האם האדם החלים או לא רק שהייתה הדבקה או לא. **_בדיקת צואה + תבחין נשיפה-_** טובים לזיהוי נוכחות חיידקר כרגע \*\*חסרון- מושפעות מטיפול של נוגדי חומצה (PPI) ואנטיביוטיקה- יוביל ל-false negative **_פולשניות_** **_אנדוסקופיות-_** במציאת ממצאים מחשידים ניתן לקחת ביופסיה
46
מה בודקים בתבחין נשיפה
הליקובקטר פילורי מפרק אוריאה ע"י האנזים אוראירז לפד"ח. **לכן נותנים אוריאה מסומנת ובודקים בתבחין נשיפה האם יש פד"ח מסומן** _PPI + antibiotics can cause false negative_
47
מהו הטיפול בכיב פפטי
1. **_Antacids-_** סותרי חומצה, לא משתמשים בו אלא רק להקלה דחופה בסימפטומים אך **לא מרפא כיב** 2. **_H2 Blockers-_** דיכוי הפרשת חומצה (בזאלית וגם בתגובה לארוחה), פיתוח סבילות מהירה לתרופה + השפעה על תרופות אחרות דרך קשירה לציטוכרום 450 3. **_PPI (proton pump inhibitors)-_** נקשרות ישירות למשאבות אשלגן- מימן **ומדכאות הפרשת חומצה בקיבה**, התרופה נקשרת למשאבות פעילות בלבד = לקחת כחצי שעה לפני ארוחת בוקר. ע"י שינוי חומציות הקיבה יכולה להשפיע על ספיגה של תרופות נוספות, **סה"כ** **נוחה לשימוש ויעילה בדיכוי הפרשת חומצה וריפוי כיבים** _PPI הינה תרופת הבחירה לריפוי של מחלה פפטית_
48
מהו הטיפול בהליקובקטור
**_שילוב של 2+ 3 אנטיובטיקות כי החיידק מפתח עמידות + PPI למשך זמן ארוך כ-14 יום_**
49
כיצד נטפל באנשים עם כיב פפטי כתוצאה משימוש ב NSAIDS
אם אפשר להפסיק שימוש- נפסיק, אם יש צורך נוסיף _H2 blocker_ מי שלא ניתן להפסיק ← שילוב עם _PPI_ **יעיל בהחלמה של כיב גם אם ממשיכים בתרופה** **_מטופל המיועד לטיפול ארוך טווח ב-NSAIDS נעשה בדיקה להיליקובקטור לפני התחלת הטיפול ונחסל לפני_**
50
בן 45 , התלונן על כאב ברום הבטן לאחר אכילה בחודשים האחרונים. מציין ירידה במשקל של כ- 10 ק"ג בחודשיים האחרונים. ללא הקאות. ללא אנמיה. ללא סיפור משפחתי של ממאירויות. בבדיקתו הגופנית ללא חיוורון, ללא הגדלת קשריות לימפה. בטן רכה, רגישות קלה במישוש רום הבטן. איזו בדיקה נעשה לו
גסטרוסקופיה- כי יש סימן אזהרה (ירידה במשקל)
51
מטופל שעשינו לו גסטרוסקופיה וגלינו כיב פפטי והתחלנו טיפול של אומפרזול (PPI) למשך חודשיים ממשיך להתלונן על כאבים ללא שיפור, מה עושים?
**_חולים עם כיב כיבה חייבים לוודא שהכיב נרפא לאחר 8 שבועות ללא קשר אם היה הקלה בסימפטומים או לא כי מחשיד לגידול, בכיב בתריסריון אין צורך לבדוק כי הסבירות לממאירות הוא נמוך_**
52
מהי הסיבה הכי שכיחה לדימום מ Upper GI
**_כיב בקיבה_**
53
מהם 3 הסיבוכים האפשריים של כיב פפטי
1. _דימום-_ הכי נפוץ, סיבוך מסוכן **לרוב ההתייצגות הראשונית עם דימום,** יותר במבוגרים מעל 60 שנוטלים NSAIDS 2. _פרפורציה-_ תמותה משמעותית, יכולה גם להתייצג ראשונית 3. _חסימה-_ תגובה דלקתית / צלקת במעבר של הפילורוס, בחילות, הקאות, שובע מוקדם. **_טיפול-_** PPI אך אם נוצרה צלקת של ממש טיפול כירורגי או הרחבת בלון באנדוסקופיה
54
מהו ה Z-line בוושט
המעבר בין רירית הקיבה (במרכז התמונה) שמורכבת מאפיתל עמודי לבין רירית הוושט שמורכבת מאפיתל קשקשי
55
מהי פריסטלטיקה ראשונית ומהי פריסטלטיקה שיונית של הוושט
_פריסטלטיקה ראשונית-_ מקושרת לבליעה, בעקבות הבליעה יש הפעלה של התכווצות ופתיחה של הספינקטרים UES LES _פריסטלטיקה שניונית-_ התכווצות בין בליעות, **_אינה מקושרת לרפלקס הבליעה_ ומתרחשת כ-8-10 שניות לאחר פעולת הבליעה,** מבצעת ניקוי של תוך שנותר בוושט בליעה ← פתיחה של 2 הספינקטרים ← בולוס נופל ← 8-10 שניות אח"כ אם אין עוד בליעה מתפתח גל פריסטלטי שסוחט את הוושט
56
מהם 2 המגנונים החשובים בפיזיולוגיה של הוושט
1. Deglutitive inhibition- בליעה של מזון מעוררת גל אינהיבציה שמפסיק פריסטלטיקה לכ-10 שניות וגורם לפתיחה של ה-LES \*\*_אינהביציה חשובה כדי שתוכן נוזלי ייכנס ישירות לקיבה מבלי לחכות לפריסטלטיקה_ 2. Transient lower esophagus sphincter relaxation (TLSER)- גרעפסים, הרפייה של הסוגר התחתון לא בגלל בליעה אלא בגלל לחץ מכאני שנוצר **ע"י הקיבה, הרפייה מלמטה ולא מלמעלה**
57
מהם הסימפטומים של רפלוקס השכיחים (4)
**צרבת-** הכי שכיח, בד"כ מוקלת ע"י גורם מנטרל חומצה **רגורגיטציה-** עלייה של תוכן קיבה עד הגרון / חלל הפה, מתרחשת ללא מאמץ **כאב חזה-** הסיבה הכי שכיחה לכאבי חזה לא קרדיאליים (יכול להקרין לכפתיים וללסתות) **דיספגיה-** קושי בבליעה, אם מדובר בדיפסגיה אורופרנגיאלית _לרוב הסיבה הינה נוירולוגית_ בעיקר בסיטוריה של CVA
58
אילו 5 בדיקות רלוונטיות להערכת הוושט במצב של רפלוקס
**אנדוסקופיה-** ראות מצוינת של הוושט, ניתן לזהות ברט'ס , קנדידה, דלקות וכדומה ואף לקחת ביופסיה **רדיוגרפיה-** בליעה של בריום ושיקוף של תהליך הבליטה, מאפשר לבחון את התהליך הפיזיולוגי של הבליעה **מונומטריה-** בדיקה _אבחנתית_ לתנועיות ותפקוד הוושט, מייצגת מיקום של תנועה הוושט על ציר זמן, **מוניטוריזציה של רפלוקס-** שמים צינורית 24 שעות / קפסולה והיא מודדת מתי יש ירידה בחומציות מתחת ל-4 = היה רפלוקס **_Intraluminal impendence multichannel- בדיקת הגולד סטנדרט לבחינת רפלוקס,_** ניתן לבדוק את כל סוגי הרפלוקס
59
מהי הפתופיזיולוגיה של GERD
**_LES עם טונוס מופחת_** * נפוץ ב-TLESR / Diaphragmic hernia * הריון * עודף משקל * יותר תוכן קיבה = יותר רגורגיטציה * גסטרופורזיס- עיכוב במעבר התוכן לקיבה * בעיה בפינוי החומצה מהוושט / בעיה בעמידות הוושט לחומציות
60
* מהו רפלוקס פתולוגי * רפלוקס פיזיולוגי * GERD * Erosive GERD * NERD
**רפלוקס פזיולוגי-** מדי פעם רפלוקס ללא תלונות או סימפטומים **רפלוקס פתולוגי-** כולל סימפטומים או פגיעה במוקוזה (גם יתרחש בשינה) **GERD-** רפלוקס שגורם לסיבוכים / סימפטומים משמעותיים **Erosive GERD**- עדות אנדוסקופית / היסטולוגית לאזופגיטיס בשל עלייה בחומצה **NERD-** מרבית המטופלים, מצב שבן אין ארוזיה (כלומר אין אסופיגטיס)
60
* מהו רפלוקס פתולוגי * רפלוקס פיזיולוגי * GERD * Erosive GERD * NERD
**רפלוקס פזיולוגי-** מדי פעם רפלוקס ללא תלונות או סימפטומים **רפלוקס פתולוגי-** כולל סימפטומים או פגיעה במוקוזה (גם יתרחש בשינה) **GERD-** רפלוקס שגורם לסיבוכים / סימפטומים משמעותיים **Erosive GERD**- עדות אנדוסקופית / היסטולוגית לאזופגיטיס בשל עלייה בחומצה **NERD-** מרבית המטופלים, מצב שבן אין ארוזיה (כלומר אין אסופיגטיס)
61
כיצד נאבחן GERD
**_ניתן לאבחן ע"ב אנמנזה (קליניקה) בלבד_**
62
אילו מהאוכלוסיות עם GERD נבדוק
כשיש סימפטומי אזהרה ובחיפוש אחר סיבוכים או אבחנה מבדלת אחרת _סימפטומי אזהרה-_ גיל מעל 50, אנמיה, ירידה במשקל, דיספאגיה ← **יגרמו לבצע אנדוסקופיה**
63
אבחנות מבדלות ל-GERD 5
1. infection , pill / eosinophilic esophagitis 2. peptic ulcer 3. biliary colic / dysphagia 4. coronary heart disease 5. esophageal motility disorder ## Footnote **_סה"כ ישנם סוגים אחרים שאינם רפלוקס_**
64
מהו הטיפול ב- GERD (5)
1. _שינוי באורך חיים-_ **ירידה במשקל הינו הרכיב היחידי בקטגוריה שהוכח מדעית כעוזר להורדת GERD**, מעל BMI \> 35 תופעה כמעט אוניברסלית 2. _PPI_- מרפא אסופגיטיס, 30 דק' לפני ארוחה כי נקשר למשאבות פעילות, **הוכח כיעיל במניעת מתאפלזיה (ברט'ס)** 3. _H2 blockers-_ חוסמי היסטדין, יחסמו רק מסלול אחד לגירוי הפרשת חומצה 4. _תרופות נוגדות חומצה(ANTACID)-_ ללא מרשם, הקלה מיידית. **מטפלות נטו בתסמינים של הצרבת** 5. _Fundoplication-_ ניתוח למקרי קצה, מונע רפלוקס ע"י חיזוק מעבר וושט קיבה \*\*בד"כ נבצע שהטיפול התרופתי לא עוזר
65
כיצד נאבחן Barrett's esophagus
חייב להיות מאובחן גם בפתולוגיה וגם באנדוסקופיה **פתולוגיה-** מתאפלזיה אינטסטינאלית (חייבים תאי גובלט ותאי אפיתל עמודי) **אנדוסקופיה-** מעבר לא סדיר בין אפיתל ושט לקיבה באזור מעבר ושט קיבה
66
מהו הטיפול במצב של Barrett's
* אנדוסקופיה כל 1-5 שנים * טיפול ב-PPI- יעיל במניעת מתאפלזיה **במצב של** **High grade dysplasia:** EMR, mucosal ablation
67
איזה מדד בהקשר של דיספגיה יכול להעיד על חומרת המצב
ירידה במשקל
68
מהי הבדיקה שנעשה כשאדם מגיע עם דיספאגיה
**_אנדוסקופיה_** דיספגיה היא Alarm symptom
69
איך נחלק דיספגיה ( 2 בעיות שיגרמו לדיספגיה)
70
מהו הממצא
צד שמאל- תקין צד ימין- Hiatal hernia
71
מהו הממצא
**Cork screw esophagus** נגרם בשל: Diffuse esophageal spasm- התכווצויות לא מתואמות של הוושט
72
מה בודקת Endoflip
בדיקה לבעיות מעבר וושט קיבה-בודקת את גמישות המעבר
73
מהי האתיולוגיה של Oropharyngeal dysphagia
**_רוב הבעיות קשורות למצבים נוירולוגים = הסיבה הכי שכיחה_** * CVA- הסיבה הכי שכיחה לדיספגאיה אורופארנג'אלית * פרקינסון * ALS _בעיות סטרקטורליות-_ גידול, קריקופראנגיאל בר (סחוס שגדל וחוסם), זנקר דיברטיקולום _בעיות איטרוגניות-_ ניתוח והקרנות לאזור ראש צוואר _פתולוגיות של שרירים משורטטים-_ מיסתניה גרביס
74
מהו הממצא
Zenker's diverticulum
75
מהו Zenker's diverticulum מימה נובע
**_בליטה של הוושט שיוצרת כיס-_** מזון מצטבר שם בד"כ נובע מפתולוגיה באזור ה-UES (היצרות או אוכל ישן שנתקע)
76
מתי מופיעה דיספאגיה למזון מוצק
כשהלומן של הוושט \< 13 מ"מ
77
מהם שלבים הבדיקות של דיספאגיה
אנדוסקופיה כדי לשלול גידול ← לקיחת ביופסיות אם צריך נעשה מונומטריה או צילום רדיוגרפי בבריום ,אם הכל תקין נעצור פה
78
מהו Schatzki's ring
בעיה סטרקטורלית שגורמת לדיספאגיה מחיצה דקה ועדינה, לא עושה נזק אבל גורמת להיצרות ואוכל שלא נלעס טוב יותר להיתקע _לרוב הדיפאגיה לא תיהיה ע"ב יומי ובד"כ לא יחסום יותר מ-50% מהלומן_ **מדובר רק ברירית עצמה וניתן לפתור עם הרחבה** מיקום: לרוב 2-3 ס"מ מעל ה-LES **_יופיע במבחן!!_**
79
מהו הממצא
Schatzki's ring
80
מהו הממצא
Schatzki's ring
81
מהי Achalasia
**_הפריסטלטיקה של הוושט פגומה_** דיספאגיה של מוצקים + נוזלים- שונה מרוב ההפרעות ← **_חולה עם התלונה הנ"ל כמעט בתוך יש לו אכלאזיה_** \*\* שונה ממנגנון שחוסם שבו נוזלים כן יעברו
82
מהי האתיולוגיה של אכאלזיה מהו מאפיין פתוגנמוני של אכאלזיה בשיקוף
הרס של גנגיליונים אינהיביטורים ע"י נוגדנים ← נשארים רק גנגליונים אקסיטטורים ולכן ה-LES תמיד נמצא בטונוס מוגבר ומכווץ. **הוושט תיהיה מורחבת ובקצה הדיסטלי יהיה מקור ציפור.**
83
מהי ההתייצגות הקלינית באדם עם אכאלזיה 5 תלונות
* **דיספאגיה למוצקים + נוזלים** * **רגורגיטציה** * **אספריציות(** דלקות ריאות חוזרות), * **ירידה במשקל** * **כאב בחזה עם הקרנה לצוואר לזרועות וללסת-** מאוד מדמה כאב על רקע קרדיאלי
84
מהי האבחנה המבדלת של דיספאגיה
**_מחלת שאג'ס (טריפוזומונה קרוזי)-_** באזורים אנדמיים (דרום אמריקה) ומעורבות סיסטמית **_Diffuse esophageal spasm-_** התכווציות לא מתואמת של הוושט, יוביל למופע של Crock screw **_פסואודואכלאזיה-_**הכל מתנהג כמו אכאלזיה עם תמונה אופיינית במונומטריה **אך הגורם לכך הינו גידול (5%) מהמקרים** **_אם יש תמונה של אכאלזיה תמיד נחשוב על גידול שמקורו בוושט / לוחץ מבחוץ / תסמונות פארא-ניאופלסטית של סרטן ריאות שגורם לתמונה קלינית דמוית אכאלזיה_**
85
מהו הממצא
אכלאזיה וושט מורחבת עם מקור הציפור
86
מהי מטרת הטיפול באכאלזיה
הורדת הלחץ ב- LES
87
מה ההבדל בין DES לאכאלזיה
DES- הרלקסציה של הסוגר התחתון תקינה **כלומר אין בו טונוס מוגבר** = אין בו פגיעה אכלאזיה- יש בעיה בהרפייה של הסוגר התחתון
88
איך נבדיל בין Esophageal dysphagia Oropharyngeal dysphagia
89
מהי Diffuse esophageal spasm
90
אילו בדיקות מעבדה אוכל לבדוק לצליאק | (3)
Anti TTG- **הכי רגיש לאבחון של צליאק**, נוגדן של IgA, אם יש ערכים נמוכים בחולה תיהיה לי בעיה לאבחן **EMA** **IgD- DPG** **_תמיד אבדוק רמות של IgA, אם הרמות תקינות אוכל לשלוח ל-anti-TTG_**
91
מהם 3 המטרות של הבדיקות הסרולוגיות לצליאק
1. זיהוי מטופלים סימפטומטיים שצריך לעשות להם **ביופסיה- גולד סטאנדארט** 2. סקר לא-סימפטומטים בסיכון גבוה 3. ניטור מאובחנים
92
מהי בדיקת הגולד סטנדרט של צליאק מה נראה בתמונה חיובית לצליאק
**ביופסיה דרך גסטרוסקופיה** **Villus atrophy-** השטחה של הווילי **Hyperplastic crypts-** היפרפלזיה של הקריפטות **Increased intraepithelial lymphocytes** **_יוביל לתת ספיגה במטופליםעם צליאק-_** ויטמין די נמוך, ברזל נמוך (אנמיה), ירידה במשקל
93
מהי בדיקה אלטנרטיבית לגסטרוסקופיה במטופל החשוד לצליאק (אם לא נרצה לשלוח לגסטרו)
**_HLA-DQ2-DQ8_** **_בהכרח לכל החולים בצליאק יהיה את הווירנאט הזה אבל לא לכל מטופל עם הוויראנט יש צליאק_**
94
מהו המנגנון הפתופיזיולוגי של צליאק
באכילת גלוטן ישנה תגובה אימיונית כנגד תאים במעי הדק וכנגד טראנסגלוטמינאז ## Footnote **קשור גם בחשיפה לאנטיגן + רה-דיספוזציה גנטית**
95
מהו Marsh grade
סקאלת אבחון היסטולוגית של צליאק 0- מוקוזה תקינה 4- היפופלזיה מוחלטת והרס של המבנה התקין
96
מאיפה כדאי לקחת ביופסיות כדי לראות אטרופיה של הווילי
קליפת הבצל- החלק הראשון של התריסריון, חלקים מהמעי ## Footnote **חשוב לזכור שיש התאפיינות של** **Patchy מבחינת ממצאים היסטולוגים**
97
מהם 2 הפיקים של גילאים לצליאק מהי ההתייצגות הקלינית
ילדים מבוגרים (40-60) **כל מי שמגיע עם אנמיה מחסר ברזל לברירו של מע' עיכול ניקח ביופסיות אקראיות של המעי הדק** **התייצגות:** מטופלים עם גזים ונפיחות, יציאות רכות (לעיתים) תמונה קלאסית בילדים- בטן תפוחה ותת ספיגה FTT (תסמונת קווישוקור- הבן הבכור)
98
אילו גורמים מעלים סיכון לצליאק מהי הסבירות לצליאק בין קרובי משפחה מדרגה ראשונה ותאומים
* תסמונת דאון- פי 50 * סכרת סוג 1 * טרנר, חסר של IgA תאומים מונוזיגוטים- 75% קרובי משפחה מדרגה ראשונה- 10%
99
מהי הפתוגנזה של צליאק
antigen is present only on MHC-II of people with **_HLA DQ2-DQ8_** כלומר אדם ללא הווריאנט הזה של HLA בהכרח לא יפתח צליאק
100
מהי ההתייצגות הקלינית של צליאק
* **קלאסית- קשורה למע' העיכול** ← כאבי בטן, שלשולים, גזים, שבועי מוקדם, רעשי בטן, ירידה במשקל, עייפות וחולשה * **לא קלאסית (א-טיפיקאל)- לא קשורה למע' העיכול** ← אנמיה, אוסטאופורוזיס, תסמינים נוירולוגים, תופעות עוריות (דרמיטיטס הירפטיפורמיס, הפרעות הורמונליות ונטייה לדימומים * **א-סימפטומטית**
101
איזה ממצא עורי לא אבחנתי אך מאוד פתוגנמוני לצליאק
דרמטיטיס הפרטיפורמיס
102
למה התמונה מכוונת אותנו עם שלשולים, כאבי בטן, אנמיה, ויטמין די נמוך
צליאק
103
מימה מורכב ה Celiac iceberg
* **סימפטומטים עם צליאק-** ביופסיה וסרולוגיה חיובית * **א-סימפטומטים עם צליאק-** חיובים לסרולוגיה + ביופסיה * **מטופלים לטנטים-** א-סימפטומטים עם מוקוזה נורמלית , סרולוגיה חיובית בלבד
104
מהו הטיפול בצליאק ומדוע כלכך חשוב לשמור עליו
המנעות ממזונות עם גלוטן. בשכיחות לא גבוהה קיים סיכוי לממאירות, חסרים תזונתיים משמעותיים
105
מהי הממאירות הכי שכיחה שיכולה להתפתח מצליאק
T-cell lymphoma פי 3 מהאוכלוסייה הכללית בד"כ בצליאק לא מ טופל לאורך שנים. אין צורך במעקב רק שמירה על נוגדנים ופעם בשנה מעקב סרולוגי. **_אם יש אדם עם סימני אזהרה + צליאק לא מאוזן האבחנה עולה על הפרק_**