ECCEMA NUMULAR Flashcards

(9 cards)

1
Q

¿CON QUÉ OTRO NOMBRE SE LE CONOCE AL ECCEMA NUMULAR?

A

DERMATITIS NUMULAR, DERMATITIS MICROBIANA, ECCEMA MICROBIANO.

How well did you know this?
1
Not at all
2
3
4
5
Perfectly
2
Q

¿DEFINICIÓN DE ECCEMA NUMULAR?

A

DERMATOSIS QUE PREDOMINA EN LAS EXTREMIDADES Y SE CARACTERIZA POR PLACAS ECCEMATOSAS O LIQUENIFICADAS EN FORMA DE MONEDA, DE DIFERENTE TAMAÑO, EVOLUCIÓN CRÓNICA, RECIDIVANTES Y RESISTENTES AL TRATAMIENTO.

SE DESENCADENA POR FACTORES MÚLTIPLES, COMO DERMATITIS ATÓPICA, PIEL SECA, CLIMA FRÍO Y QUIZÁ DEPENDA DE SENSIBILIZACIÓN A UN FOCO INFECCIOSO BACTERIANO PRIMARIO O UN METAL.

How well did you know this?
1
Not at all
2
3
4
5
Perfectly
3
Q

¿EPIDEMIOLOGÍA DEL ECCEMA NUMULAR?

A

ES DE DISTRIBUCIÓN MUNDIAL.

AFECTA A AMBOS SEXOS, CON PREDOMINIO LEVE EN VARONES, NIÑOS Y JÓVENES O EN ADULTOS DE 55 A 65 AÑOS DE EDAD.

SE OBSERVA MÁS A MENUDO EN CLIMAS FRÍOS.

LA FRECUENCIA EN LA CONSULTA DERMATOLÓGICA EN ESTADOS UNIDOS Y EN SUECIA ES DE 0.1 A 0.2%, EN SUDÁFRICA DE 9.1%, Y EN MÉXICO DE 0.5 A 6%.

How well did you know this?
1
Not at all
2
3
4
5
Perfectly
4
Q

¿ETIOPATOGENIA DEL ECCEMA NUMULAR?

A

PARA ALGUNOS ES DESCONOCIDA, PARA OTROS ES MÚLTIPLE; UNA PIEL SECA FAVORECE LA PERMEACIÓN DE ALERGENOS, Y SE CONSIDERAN DESENCADENANTES FACTORES INFECCIOSOS, DE ORIGEN DENTAL, VÍAS RESPIRATORIAS Y ALERGENOS AMBIENTALES.

AL PARECER EXISTE UNA FALTA DE REGULACIÓN DE PROTEINASAS PRESENTES EN LOS MASTOCITOS AUMENTADOS EN LA DERMIS SUPERFICIAL, LOS CUALES FAVORECEN LA INFLAMACIÓN; TAMBIÉN SE HAN ENCONTRADO NEUROPÉPTIDOS QUE CONTRIBUYEN A LA FORMACIÓN DE LAS PLACAS ECCEMATOSAS Y LA PERSISTENCIA DE LAS MISMAS.

CON BASE EN BIOPSIAS NO PARECE QUE HAYA AUMENTO DE FIBRILLAS NERVIOSAS.

PARECEN INTERVENIR LA AUTOSENSIBILIZACIÓN, LOS ALÉRGENOS, EL FENÓMENO IDE (AUTOECCEMATIZACIÓN), LA PIEL RESECA, O UNA INFECCIÓN BACTERIANA CRÓNICA, NASOFARÍNGEA O CUTÁNEA, EN UN TERRENO ATÓPICO (DERMATITIS ATÓPICA NUMULAR), PRINCIPALMENTE POR STAPHYLOCOCCUS AUREUS.

CONTRIBUYEN EL CLIMA FRÍO, LAS SUSTANCIAS IRRITANTES, EL ESTRÉS FÍSICO Y EMOCIONAL, Y LA INSUFICIENCIA VENOSA; PARECEN INFLUIR UN POCO LAS DEFICIENCIAS NUTRICIONALES, LA HIGIENE INADECUADA Y EL ALCOHOLISMO.

HAY DOS FORMAS DE INICIO: UNA LOCAL DESPUÉS DE UNA HERIDA O TRAUMATISMO, Y OTRA, AL PARECER HEMATÓGENA, QUE EMPIEZA CON RESEQUEDAD DE PIEL EN LA CARA ANTERIOR DE LAS PIERNAS, PARTICULARMENTE EN ANCIANOS.

SE HA CUESTIONADO SU EXISTENCIA COMO ENFERMEDAD SEPARADA; ALGUNOS CONSIDERAN QUE SE RELACIONA CON DERMATITIS ATÓPICA O DERMATITIS (ECCEMA) POR CONTACTO.

SE HAN IMPLICADO DERIVADOS QUÍMICOS DE GOMA, FORMALDEHÍDO, NEOMICINA, NÍQUEL (18-63%) Y MERCURIO DE LAS AMALGAMAS; EN ANCIANOS SE PRESENTAN PRUEBAS AL PARCHE POSITIVAS A DERMATOPHAGOIDES FARINAE.

FORMAS GRAVES DISEMINADAS SE HAN RELACIONADO CON TERAPIA PARA HEPATITIS C CON RIVABIRINA E INTERFERÓN Y CON INHIBIDORES DE FACTOR DE NECROSIS TUMORAL.

How well did you know this?
1
Not at all
2
3
4
5
Perfectly
5
Q

¿CLASIFICACIÓN DEL ECCEMA NUMULAR?

A
  1. ECCEMA NUMULAR VERDADERO: ECCEMA NUMULAR DEBIDO A ESTASIS, DISHIDROSIS, AUTOECCEMATIZACIÓN, ERUPCIÓN PUSTULOSA CRÓNICA RECURRENTE DE PALMAS Y PLANTAS, OTRAS.
  2. DERMATITIS NUMULAR DE LA NIÑEZ.
How well did you know this?
1
Not at all
2
3
4
5
Perfectly
6
Q

¿MANIFESTACIONES CLÍNICAS DEL ECCEMA NUMULAR?

A

EL ECCEMA NUMULAR ES CIRCUNSCRITO, PERO CASI SIEMPRE DISEMINADO; AFECTA PRINCIPALMENTE LAS CARAS DE EXTENSIÓN DE LAS EXTREMIDADES, EN ESPECIAL EL DORSO DE LAS MANOS (61%), PIERNAS (92%) Y PIES, EL TRONCO (31%) Y, RARA VEZ, LA CARA Y CUELLO (15%).

LAS LESIONES PUEDEN TENER CIERTA SIMETRÍA Y LAS RECURRENCIAS TIENDEN A OCURRIR EN EL MISMO SITIO.

ES FRECUENTE EL INICIO EN PIERNAS, CON DISEMINACIÓN ULTERIOR (FIG. 9-1).

LA DERMATOSIS ESTÁ CONSTITUIDA POR PLACAS EN FORMA DE MONEDA (NUMULARES) DE 1 A 3 CM DE DIÁMETRO (FIGS. 9-2 A 9-4); EN ETAPAS TEMPRANAS O EN FASE DE AGUDIZACIÓN SE OBSERVA ERITEMA, PÁPULAS, VESÍCULAS, COSTRAS MELICÉRICAS Y HEMÁTICAS QUE DAN ASPECTO ECCEMATOSO; EN ETAPAS CRÓNICAS HAY ENGROSAMIENTO DE LA PIEL, LIQUENIFICACIÓN E HIPERPIGMENTACIÓN; UNA VEZ ESTABLECIDAS TIENDEN A PERMANECER DEL MISMO TAMAÑO.

EL PRURITO ES INTENSO, CONSTANTE Y MOLESTO.

SE HA INFORMADO FENÓMENO ISOMÓRFICO.

LAS LESIONES APARECEN CON RAPIDEZ, EN 1 A 2 SEMANAS, PERO LA EVOLUCIÓN ES CRÓNICA, DE 1 A 5 AÑOS EN PROMEDIO, CON MEJORÍAS TRANSITORIAS. ALGUNOS CONSIDERAN AL ECCEMA DEL PEZÓN COMO UNA FORMA DE ECCEMA NUMULAR O DERMATITIS ATÓPICA.

LAS COMPLICACIONES SON INFECCIÓN AGREGADA Y DERMATITIS POR CONTACTO, LO QUE CONTRIBUYE A LA GRAVEDAD, CRONICIDAD Y MALA CALIDAD DE VIDA.

EN LA MAYORÍA DE LOS PACIENTES SE ENCUENTRA UN FOCO INFECCIOSO EXTRACUTÁNEO (FARINGOAMIGDALITIS, CARIES Y OTROS).

How well did you know this?
1
Not at all
2
3
4
5
Perfectly
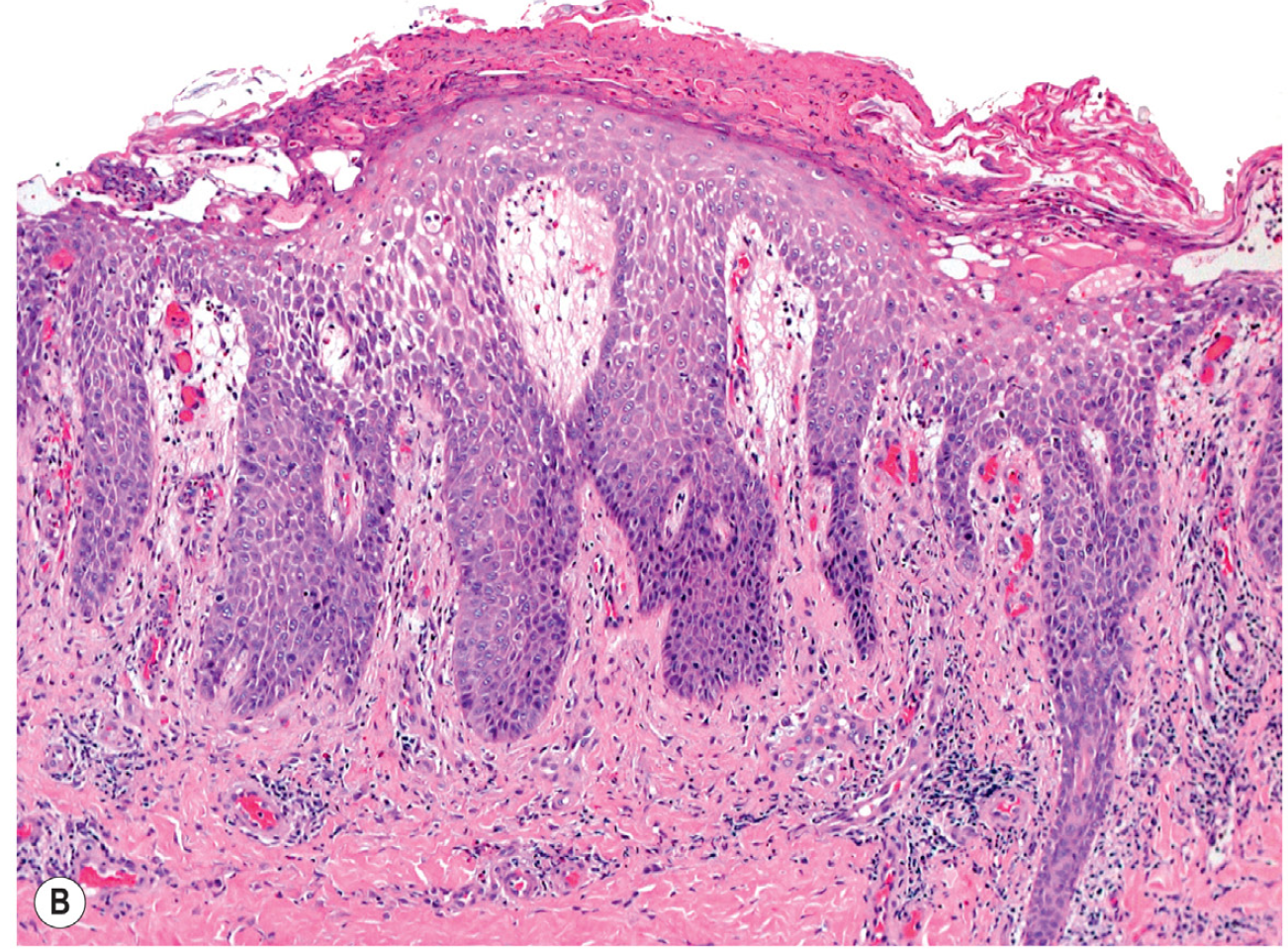
7
Q

¿HISTOPATOLOGÍA DEL ECCEMA NUMULAR?

A

COMPRENDEN DERMATITIS AGUDA CON EDEMA INTERCELULAR, INTRACELULAR O DE AMBOS TIPOS, O ESPONGIOSIS Y FORMACIÓN DE VESÍCULAS INTRAEPIDÉRMICAS. INFILTRADO LINFOCÍTICO PERIVASCULAR MODERADO A INTENSO.

PUEDE HABER HIPERQUERATOSIS Y PARAQUERATOSIS, ACANTOSIS IRREGULAR Y EXOCITOSIS.

ACANTOSIS IRREGULAR DE LA EPIDERMIS ACOMPAÑADA POR UNA MARCADA ESPONGIOSIS, ASÍ COMO POR ESCAMAS Y COSTRAS PARAQUERATÓSICAS.

EN LA DERMIS HAY UN INFILTRADO LINFOHISTIOCÍTICO, CON ALGUNOS LINFOCITOS DENTRO DE LA EPIDERMIS. HAY EDEMA EN LA DERMIS PAPILAR

How well did you know this?
1
Not at all
2
3
4
5
Perfectly
8
Q

¿DIAGNÓSTICO DIFERENCIAL DEL ECCEMA NUMULAR?

A

DERMATITIS ATÓPICA, LIQUEN CRÓNICO SIMPLE, DERMATITIS POR CONTACTO, ECCEMA DE PIERNAS, ERUPCIONES CAUSADAS POR FÁRMACOS, IMPÉTIGO, PSORIASIS, TIÑA DEL CUERPO, ENFERMEDAD DE BOWEN, MICOSIS FUNGOIDE.

How well did you know this?
1
Not at all
2
3
4
5
Perfectly
9
Q
A
How well did you know this?
1
Not at all
2
3
4
5
Perfectly