IMPETIGO Flashcards

(11 cards)

1
Q

¿DEFINICION DE IMPETIGO VULGAR?

A

ES UNA DERMATOSIS BACTERIANA AGUDA CAUSADA POR STAPHYLOCOCCUS AUREUS Y OTRAS BACTERIAS RELACIONADAS.

ES CONTAGIOSA, AUTOINOCULABLE Y MUY FRECUENTE, EN PARTICULAR DURANTE LA NIÑEZ.

SE CARACTERIZA POR AMPOLLAS CASI SIEMPRE EFIMERAS, QUE SON REEMPLAZADAS POR PUSTULAS, LAS CUALES SE DESECAN CON RAPIDEZ Y FORMAN COSTRAS MELICERICAS QUE RECUBREN UNA EROSION PURAMENTE EPIDERMICA. SE CLASIFICAN EN AMPOLLAR O ESTAFILOCOCICA Y COSTROSA O ESTREPTOCOCICA.

How well did you know this?
1
Not at all
2
3
4
5
Perfectly
2
Q

¿EN QUÉ CLASE SOCIAL PREDOMINA EL IMPÉTIGO?

A

PREDOMINA EN CLASES SOCIALES BAJAS.

How well did you know this?
1
Not at all
2
3
4
5
Perfectly
3
Q

¿ETIOLOGIA DEL IMPETIGO VULGAR?

A

PUEDE ORIGINARSE POR STAPHYLOCOCCUS AUREUS Y ESTREPTOCOCOS PYOGENES (ESTREPTOCOCO BETA HEMOLITICO DEL GRUPO A).

How well did you know this?
1
Not at all
2
3
4
5
Perfectly
4
Q

¿CUALES SON LAS COMPLICACIONES DEL IMPETIGO VULGAR?

A

EN GENERAL NINGUNA; PUEDE HABER FIEBRE, MALESTAR GENERAL Y ADENOPATIA REGIONAL; RARA VEZ HAY CELULITIS O SEPTICEMIA.

EN IMPETIGOS MUY EXTENSOS Y EN CLIMAS CALUROSOS SE HA INFORMADO GLOMERULONEFRITIS EN 2 A 5% DE LOS ENFERMOS; SE CREE QUE LA NEFRITIS SE RELACIONA CON ESTREPTOCOCO B-HEMOLITICO DE LAS CEPAS 49 Y M-29.

How well did you know this?
1
Not at all
2
3
4
5
Perfectly
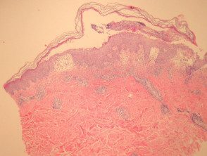
5
Q

¿HISTOPATOLOGIA DEL IMPETIGO VULGAR?

A

NO SE REQUIERE BIOPSIA.

SE PRESENTA UNA AMPOLLA SUBCÓRNEA CON ABUNDANTES NEUTRÓFILOS; EN OCASIONES EN EL PISO DE LA AMPOLLA SE OBSERVAN ALGUNAS CÉLULAS ACANTOLÍTICAS.

EL ESTRATO ESPINOSO INFERIOR A LA AMPOLLA PUEDE MOSTRAR ESPONGIOSIS Y EXOCITOSIS.

EN LA DERMIS SUPERFICIAL EXISTE UN INFILTRADO INFLAMATORIO MODERADO DE NEUTRÓFILOS Y LINFOCITOS.

EN ETAPAS POSTERIORES SE OBSERVA UNA COSTRA COMPUESTA DE EXUDADO SEROSO Y RESTOS NUCLEARES DE NEUTRÓFILOS.

How well did you know this?
1
Not at all
2
3
4
5
Perfectly
6
Q

¿EPIDEMIOLOGÍA DEL IMPÉTIGO VULGAR?

A

STAPHYLOCOCCUS AUREUS OCASIONA 11 MILLONES DE INFECCIONES DE TEJIDOS BLANDOS EN EL MUNDO, Y LA ENFERMEDAD INFECTOCONTAGIOSA MÁS COMÚN ES EL IMPÉTIGO.

SE UBICA ENTRE LOS PRIMEROS CINCO LUGARES EN LA CONSULTA DERMATOLÓGICA EN NIÑOS; NO HAY PREDILECCIÓN POR SEXO Y PREDOMINA EN CLASES SOCIALES BAJAS; ES MÁS FRECUENTE EN VERANO, EN CLIMAS TROPICALES Y EN DESNUTRIDOS; INFLUYEN SOBRE SU FRECUENCIA TRAUMATISMOS, MORDEDURAS O PICADURAS DE INSECTOS, DERMATOSIS PRURIGINOSAS PREEXISTENTES, INFECCIONES PIÓGENAS EXTRACUTÁNEAS Y MALA HIGIENE PERSONAL.

How well did you know this?
1
Not at all
2
3
4
5
Perfectly
7
Q

¿CLASIFICACIÓN DEL IMPÉTIGO?

A

IMPÉTIGO PRIMARIO Y SECUNDARIO.

DE ACUERDO CON LA CAUSA Y MORFOLOGÍA:

ESTAFILOCÓCICO O AMPOLLAR Y ESTREPTOCÓCICO O COSTROSO.

How well did you know this?
1
Not at all
2
3
4
5
Perfectly
8
Q

¿MANIFESTACIONES CLÍNICAS DEL IMPÉTIGO VULGAR?

A

EL IMPÉTIGO PUEDE SER PRIMARIO (APARECER EN PIEL SIN DERMATOSIS PREVIA) O BIEN SECUNDARIO (SOBRE UNA DERMATOSIS PREEXISTENTE).

LA FORMA PRIMARIA SE LOCALIZA A MENUDO ALREDEDOR DE LOS ORIFICIOS NATURALES (COSTROSA O ESTREPTOCÓCICA): BOCA, FOSAS NASALES, PABELLONES AURICULARES Y OJOS, COMO CONSECUENCIA DE UNA INFECCIÓN EN ESTOS SITIOS QUE GENERA LAS LESIONES CUTÁNEAS (FIGS. 72-1 Y 72-2); EN LACTANTES PREDOMINA EN EL PERINÉ, EN LA REGIÓN PERIUMBILICAL O ES DISEMINADO (AMPOLLAR O ESTAFILOCÓCICO).

LA LESIÓN INICIAL ES UNA AMPOLLA CON UN CONTENIDO CLARO, DE 0.5 A 2 CM DE DIÁMETRO, RODEADA POR UN HALO ERITEMATOSO, QUE EN POCAS HORAS SE TRANSFORMA EN PÚSTULA; EL TECHO SE ROMPE Y APARECE UN EXUDADO SEROSO O SEROPURULENTO QUE SE DESECA Y ORIGINA LAS COSTRAS MELICÉRICAS (FIG. 72-3).

LAS LESIONES SON DE EVOLUCIÓN AGUDA, TIENDEN A LA CURACIÓN ESPONTÁNEA EN 2 A 3 SEMANAS, DEJAN UNA PIEL EROSIONADA QUE DA LA IMPRESIÓN DE UNA QUEMADURA Y DESPUÉS UNA MANCHA DE COLOR ROSADO; AL CURAR, LA EPIDERMIS SE REGENERA SIN DEJAR CICATRIZ.

PUEDE HABER LESIONES VESICULOPUSTULARES QUE PREDOMINAN EN LAS EXTREMIDADES INFERIORES Y LA CARA. A VECES LAS LESIONES SE EXTIENDEN CON RAPIDEZ POR AUTOINOCULACIÓN, Y SOBREVIENEN LESIONES ADYACENTES O A DISTANCIA; LA EXTENSIÓN PERIFÉRICA FORMA LESIONES CIRCINADAS O ANULARES (FIG. 72-4).

LA FORMA SECUNDARIA O IMPETIGINIZACIÓN PUEDE APARECER EN CUALQUIER PARTE DEL CUERPO; LAS LESIONES SON LAS MISMAS: ERITEMA, AMPOLLAS, PÚSTULAS Y COSTRAS MELICÉRICAS. ESTA FORMA CASI SIEMPRE SE ASIENTA SOBRE UNA DERMATOSIS PRURIGINOSA PREVIA (FIG. 72-5).

DIFERENTES AUTORES HAN PROPUESTO MÚLTIPLES FORMAS CON BASE EN DETALLES DE LA MORFOLOGÍA, LOCALIZACIÓN O CAUSA, PERO NO SIEMPRE ES POSIBLE SEGUIR ESTA CLASIFICACIÓN, NI SE CONSIDERA PRÁCTICA (CUADRO 72-1).

IMPÉTIGO AMPOLLAR, FLICTENULAR O ESTAFILOCÓCICO VERDADERO. INFECCIÓN ESTAFILOCÓCICA CUYA LESIÓN INICIAL ES LA AMPOLLA; DA IMÁGENES CIRCINADAS (FIGS. 72-6 Y 72-7); PREDOMINA EN PLIEGUES, PUEDE AFECTAR LAS PALMAS Y PLANTAS; CASI NUNCA HAY LINFADENOPATÍA.

CUANDO OCURRE DURANTE LAS DOS PRIMERAS SEMANAS DE VIDA SE DENOMINA PÉNFIGO NEONATAL. ES MÁS FRECUENTE ENTRE LOS 2 Y 5 AÑOS DE EDAD.

IMPÉTIGO COSTROSO O NO AMPOLLAR. REPRESENTA 70% DE LOS CASOS Y SE PRESENTA EN ADULTOS Y NIÑOS, RARA VEZ SE MANIFIESTA ANTES DE LOS 2 AÑOS, APARECE EN PIEL NORMAL O POR IMPETIGINIZACIÓN. PREDOMINA EN PARTES EXPUESTAS COMO EXTREMIDADES Y CARA E INICIA CON UNA VESÍCULA DE BASE ERITEMATOSA; SE ULCERA Y SE CUBRE DE COSTRAS MELICÉRICAS, CRECE CENTRÍFUGAMENTE Y APARECEN LESIONES SATÉLITES POR AUTOINOCULACIÓN. PUEDE HABER LINFADENOPATÍA Y FIEBRE.

How well did you know this?
1
Not at all
2
3
4
5
Perfectly
9
Q

¿COMPLICACIONES DEL IMPÉTIGO VULGAR?

A

EN GENERAL NINGUNA; PUEDE HABER FIEBRE, MALESTAR GENERAL Y ADENOPATÍA REGIONAL; RARA VEZ HAY CELULITIS O SEPTICEMIA. EN IMPÉTIGOS MUY EXTENSOS Y EN CLIMAS CALUROSOS SE HA INFORMADO GLOMERULONEFRITIS EN 2 A 5% DE LOS ENFERMOS; SE CREE QUE LA NEFRITIS SE RELACIONA CON ESTREPTOCOCO BETA HEMOLÍTICO DE LAS CEPAS 49 Y M-29.

How well did you know this?
1
Not at all
2
3
4
5
Perfectly
10
Q

¿DIAGNÓSTICO DIFERENCIAL DEL IMPÉTIGO?

A

HERPES SIMPLE, DERMATITIS POR CONTACTO AGUDA, SIFÍLIDES PAPULOCOSTROSAS, TIÑAS INFLAMATORIAS, PÉNFIGO, PENFIGOIDE, DERMATITIS HERPETIFORME.

How well did you know this?
1
Not at all
2
3
4
5
Perfectly
11
Q

¿TRATAMIENTO DEL IMPÉTIGO?

A

LAVADO CON AGUA Y JABÓN, Y APLICACIÓN LOCAL DE UN ANTISÉPTICO DÉBIL EN FOMENTOS O BAÑOS, PARA ELIMINAR MECÁNICAMENTE LAS COSTRAS; PUEDE USARSE SULFATO DE COBRE AL 1 POR 1 000, O AGUA DE ALIBOUR (SULFATO DE COBRE + SULFATO DE ZINC) CADA 8 HORAS O SOLUCIÓN DE GLUCONATO DE CLORHEXIDINA.

DILUIR 1 SOBRE EN 1/2 LITRO DE AGUA Y APLICAR EN FORMA DE FOMENTOS CON GASAS ESTÉRILES EN LESIONES POR 10 MINUTOS CADA 8 HORAS DURANTE 10 DÍAS.

NO SE RECOMIENDAN LAS SOLUCIONES DE PERMANGANATO DE POTASIO AL 1 POR 10 000, POR LA PIGMENTACIÓN OSCURA PERSISTENTE Y SU ALTO PODER SENSIBILIZANTE.

SE PUEDE AGREGAR UNA CREMA CON YODOCLOROHIDROXIQUINOLEÍNA (CLIOQUINOL [VIOFORMO®]) AL 0.5 A 3%, O FUSIDATO DE SODIO (ÁCIDO FUSÍDICO) MUPIROCINA AL 2% CADA 12 HORAS POR 5 DÍAS; OTRAS OPCIONES SON BACITRACINA, POLIMIXINA, GENTAMICINA, RIFAMPICINA Y ERITROMICINA TÓPICAS.

ES UNA ALTERNATIVA EN CASOS RESISTENTES EL UNGÜENTO DE RETAPAMULINA 1% QUE SE RECOMIENDA EN MAYORES DE NUEVE MESES DE EDAD, ES UNA PLEUROMUTILINA QUE INHIBE SELECTIVAMENTE LA SÍNTESIS DE PROTEÍNA BACTERIANA.

EN ESTUDIOS DE INVESTIGACIÓN, EL GEL DE DICLORODIMETILTAURINA NVC-422 (0.1, 0.5 Y 1.5%) APLICADO TRES VECES AL DÍA HA MOSTRADO EXCELENTES RESULTADOS CLÍNICOS, MICROBIOLÓGICOS Y DE TOLERANCIA.

TIENEN INTERÉS HISTÓRICO LOS COLORANTES. LOS GLUCOCORTICOIDES ESTÁN CONTRAINDICADOS (VÉASE CAP. 169).

EN PACIENTES CON LESIONES MUY DISEMINADAS, EN PARTICULAR LOS MENORES DE EDAD, ESTÁ JUSTIFICADA LA ADMINISTRACIÓN DE ANTIBIÓTICOS SISTÉMICOS, COMO LA DICLOXACILINA, 100 MG/KG/DÍA, DIVIDIDOS EN CUATRO DOSIS, O EN ADULTOS 500 MG CADA SEIS H DURANTE 5 A 7 DÍAS.

SE DEBEN EVITAR LOS ANTIBIÓTICOS BETA LACTÁMICOS EN PRESENCIA DE S. AUREUS RESISTENTE A METICILINA (MRSA).

OTRAS ALTERNATIVAS SON ERITROMICINA, 30 MG/KG/DÍA EN NIÑOS, Y EN ADULTOS OXACILINA, 2 G/DÍA; ES CÓMODA LA ADMINISTRACIÓN DE NUEVOS MACRÓLIDOS, COMO LA AZITROMICINA, CLARITROMICINA Y ROXITROMICINA.

SE RECOMIENDAN PERIODOS DE TRATAMIENTO BREVES CON ANTIBIÓTICOS ESPECÍFICOS CONTRA ESTREPTOCOCOS O ESTAFILOCOCOS, AUNQUE SE HAN INFORMADO RESISTENCIAS A LOS ANTIBACTERIANOS ESTÁNDAR.

CEFALOSPORINAS DE PRIMERA GENERACIÓN, 50 A 100 MG/KG/DÍA EN DOSIS DIVIDIDAS CADA 8 H, O CLOXACILINA, CLINDAMICINA Y AMOXICILINA MÁS ÁCIDO CLAVULÁNICO, 500 MG TRES VECES AL DÍA O 40 MG/KG/DÍA (TABLETAS 500 MG/125 MG; SUSPENSIÓN 250 O 125 MG/62.5 O 31.25 MG), O SULBACTAM.

EN CASOS RESISTENTES A METICILINA SE RECOMIENDA: CLINDAMICINA, TRIMETOPRIMSULFAMETOXAZOL, TETRACICLINAS, MINOCICLINA Y FLUOROQUINOLONAS.

LAS MEDIDAS HIGIÉNICAS ADECUADAS Y EL TRATAMIENTO DE LAS INFECCIONES PRIMARIAS EVITAN LA RECIDIVA.

EN LO REFERENTE A EPIDEMIAS INTRANOSOCOMIALES EN RECIÉN NACIDOS, SE REQUIEREN AISLAMIENTO Y MEJORA DE LAS PRECAUCIONES GENERALES: LAVADO DE MANOS CON JABONES ANTISÉPTICOS, Y CULTIVO DE MUESTRAS DE PIEL Y NARINAS DEL PERSONAL DE ENFERMERÍA. EN CASO DE NEFRITIS O EPIDEMIA, LOS CONTACTOS DEBEN RECIBIR PENICILINA V, 15 MG/KG/DÍA EN DOSIS DIVIDIDAS CADA SEIS HORAS DURANTE TRES DÍAS.

How well did you know this?
1
Not at all
2
3
4
5
Perfectly