FOLICULITIS Flashcards

(7 cards)

1
Q

¿DEFINICIÓN DE FOLICULITIS?

A

INFLAMACIÓN AGUDA PERIFOLICULAR DE ORIGEN ESTAFILOCÓCICO, QUE SE LOCALIZA PRINCIPALMENTE EN PIEL CABELLUDA, ZONA DE LA BARBA Y BIGOTE, AXILAS O PUBIS; SE CARACTERIZA POR PÚSTULAS CON UN PELO EN EL CENTRO, QUE AL DESAPARECER NO DEJAN CICATRIZ.

How well did you know this?
1
Not at all
2
3
4
5
Perfectly
2
Q

¿EPIDEMIOLOGÍA DE LA FOLICULITIS?

A

APARECE A CUALQUIER EDAD Y EN CUALQUIER SEXO; PREDOMINA EN ADULTOS. LA FOLICULITIS QUELOIDEA DE LA NUCA PREDOMINA EN AFROAMERICANOS.

How well did you know this?
1
Not at all
2
3
4
5
Perfectly
3
Q

¿ETIOLOGÍA DE LA FOLICULITIS?

A

INFECCIÓN PRODUCIDA POR STAPHYLOCOCCUS AUREUS, QUE GENERA UNA REACCIÓN PERIFOLICULAR; CUANDO ES SUPERFICIAL HAY AFECCIÓN DE LA TRAYECTORIA EPIDÉRMICA DEL FOLÍCULO (OSTIUM), Y EN LA PROFUNDA, DEL COMPONENTE DÉRMICO.

PUEDE SER PRIMARIA O CONSECUTIVA A OTRAS DERMATOSIS, COMO ESCABIASIS O PEDICULOSIS; LA FAVORECEN LOS TRAUMATISMOS COMO EL RASURADO O EL USO DE GRASAS O ALQUITRANES.

EN LA FOLICULITIS QUELOIDEA DE LA NUCA SE OBSERVA UNA CURVATURA ANORMAL DEL PELO, FAVORECIDA POR EL ROCE CON EL CUELLO DE LA ROPA, Y UNA INFLAMACIÓN PROGRESIVA QUE LLEVA A DESTRUCCIÓN DEL FOLÍCULO. TANTO LA FOLICULITIS COMO LA FURUNCULOSIS DE REPETICIÓN SE HAN RELACIONADO CON DISMINUCIÓN DE LAS CIFRAS SÉRICAS DE ZINC.

EL ACNÉ NECRÓTICO ES UNA FOLICULITIS ESTAFILOCÓCICA CON HIPERSENSIBILIDAD A LA GLIADINA DEL GERMEN DE TRIGO.

LA FOLICULITIS DECALVANTE Y LA CELULITIS DISECANTE SE CONSIDERAN ALOPECIAS CICATRIZALES NEUTROFÍLICAS PRIMARIAS. AMBAS PUEDEN FORMAR PARTE DEL SÍNDROME DE TÉTRADA FOLICULAR (HIDROSADENITIS SUPURATIVA, ACNÉ CONGLOBATA Y QUISTE PILONIDAL).

How well did you know this?
1
Not at all
2
3
4
5
Perfectly
4
Q

¿MANIFESTACIONES CLÍNICAS DE LA FOLICULITIS?

A

SE LOCALIZA EN CUALQUIER PARTE DE LA SUPERFICIE CUTÁNEA, SALVO PALMAS DE LAS MANOS Y PLANTAS DE LOS PIES; PREDOMINA EN PIEL CABELLUDA, ZONA DE LA BARBA Y BIGOTE, EXTREMIDADES, AXILAS O PUBIS; SE CARACTERIZA POR UNA O VARIAS PÚSTULAS DE 1 A 3 MM, DE COLOR AMARILLENTO, RODEADAS DE ERITEMA Y CON UN PELO EN EL CENTRO; CON RAPIDEZ SE ABREN Y QUEDAN CUBIERTAS DE UNA COSTRA MELICÉRICA.

LA EVOLUCIÓN ES AGUDA, ASINTOMÁTICA O PUEDE CAUSAR DOLOR LEVE. CURA SIN DEJAR CICATRIZ, Y EN OCASIONES SE PRESENTA POR BROTES.

LA FORMA SUPERFICIAL (IMPÉTIGO DE BOCKHART) GENERA PÚSTULAS PEQUEÑAS EN LA SALIDA DEL FOLÍCULO, A MENUDO EN LA PIEL CABELLUDA DE NIÑOS (FIG. 73-2). EN LA FORMA PROFUNDA SE PRESENTAN ABSCESOS; SE OBSERVA EN VARONES ADULTOS, Y SUELE LOCALIZARSE EN LA ZONA DE LA BARBA Y BIGOTE; APARECEN LESIONES ABUNDANTES, CRÓNICAS, RECIDIVANTES Y QUE MUESTRAN RESISTENCIA AL TRATAMIENTO; CONSTITUYEN LA FOLICULITIS O SICOSIS DE LA BARBA.

LA FOLICULITIS QUELOIDEA O ACNÉ KELOIDALIS NUCHAE, ES UNA FOLICULITIS CICATRICIAL IDIOPÁTICA QUE SE LOCALIZA EN LA NUCA, AL PRINCIPIO ORIGINA PÚSTULAS; EN ETAPA TARDÍA SÓLO SE OBSERVAN LESIONES DE ASPECTO QUELOIDEO SEPARADOS, DE ALGUNOS MILÍMETROS DE DIÁMETRO, O BIEN, UNIDOS EN PLACAS ALOPÉCICAS LINEALES O IRREGULARES, CON ALGUNOS PELOS EN FORMA DE PINCEL O PENACHO; DEFORMAN LA REGIÓN Y SON DOLOROSAS, EN LA BIOPSIA SE OBSERVA FOLICULITIS CICATRICIAL CON INFILTRADOS INFLAMATORIOS MIXTOS Y VAINAS PILARES VACÍAS.

LA FOLICULITIS DECALVANTE ES POCO FRECUENTE Y AFECTA PIEL CABELLUDA CON PÚSTULAS FOLICULARES QUE DEJAN ÁREAS CICATRICIALES CON LESIONES ACTIVAS EN LA PERIFERIA Y DE EVOLUCIÓN LENTA, CON PRESENCIA DE PELOS EN PENACHO O MUÑECA CON MÁS DE 6 PELOS POR UNIDAD FOLICULAR (FIG. 73-7). ES UNA ALOPECIA CICATRICIAL NEUTROFÍLICA.

HAY UNA VARIANTE EN AFROAMERICANOS QUE ASOCIA PSEUDOFOLICULITIS DE LA BARBA, ACNÉ QUELOIDAL Y ALOPECIA CICATRICIAL DEL VÉRTEX Y REGIÓN PARIETAL.

LA PERIFOLLICULITIS CAPITIS ABSCEDENS ET SUFFODIENS O CELULITIS DISECANTE DE LA PIEL CABELLUDA ES RARA, CRÓNICA Y DESTRUCTIVA.

SE CARACTERIZA POR UNA FASE NO CICATRIZAL SIMILAR A LA ALOPECIA AREATA CON PUNTOS NEGROS Y AMARILLOS GIGANTES QUE PROGRESA A UNA FASE CICATRIZAL DE ABSCESOS DOLOROSOS CON ASPECTO NODULAR Y CEREBRIFORME, CON FÍSTULAS, DA LUGAR A QUELOIDES Y ALOPECIA.

How well did you know this?
1
Not at all
2
3
4
5
Perfectly
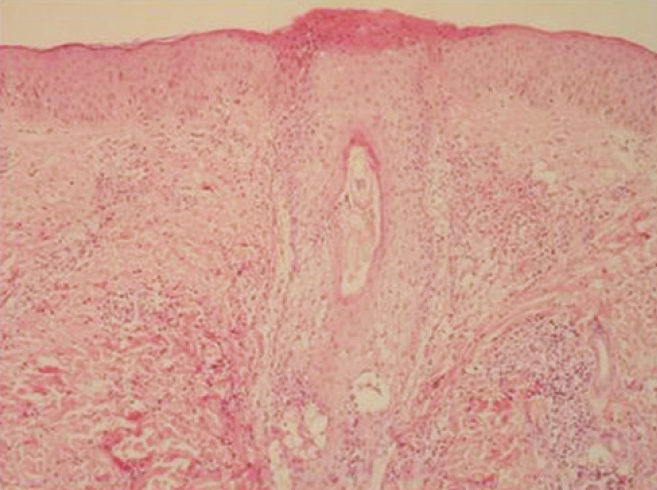
5
Q

¿HISTOPATOLOGÍA QUE SE OBSERVA EN LA FOLICULITIS?

A

SE OBSERVA UN INFILTRADO INFLAMATORIO PERIFOLICULAR SUPERFICIAL Y PROFUNDO (FIG. 73-8).

How well did you know this?
1
Not at all
2
3
4
5
Perfectly
6
Q

¿DIAGNOSTICO DIFERENCIAL DE LA FOLICULITIS?

A

FURUNCULOSIS (FIG. 74-1), ELAIOCONIOSIS FOLICULAR (FIG. 2-10), PUSTULOSIS
SUBCÓRNEA DE SNNEDON-WILKINSON (FIG. 38-10), DERMATITIS HERPETIFORME (FIG. 42-1), VARICELA (FIG. 106-1), MILIARIA (FIG. 44-1), QUERION DE PIEL CABELLUDA (FIG. 94-6), FOLICULITIS DERMATOFÍTICA (FIGS. 94-6 Y 94-7), FOLICULITIS POR MALASSEZIA (PITYROSPORUM) SP. (FIG. 95-6), DERMATOSIS ACNEIFORMES (FIG. 2-12), FOLICULITIS EOSINOFÍLICA DE LA INFECCIÓN POR HIV (FIG. 53-3). HAY FOLICULITIS MUY INFLAMATORIAS QUE APARECEN POR CONTAGIO EN TINAS DE BAÑO Y SON CAUSADAS POR PSEUDOMONAS U OTROS MICROORGANISMOS.

How well did you know this?
1
Not at all
2
3
4
5
Perfectly
7
Q

¿TRATAMIENTO DE LA FOLICULITIS?

A

SE APLICA EL MISMO DE LA DERMATOSIS ORIGINAL; ES NECESARIO ELIMINAR LAS CAUSAS DE IRRITACIÓN; Y PROCURAR LAVADOS CON AGUA Y JABÓN.

LOCALMENTE SE APLICAN FOMENTOS ANTISÉPTICOS CON SULFATO DE COBRE AL 0.1%, Y TOQUES YODADOS AL 1% EN SOLUCIÓN ALCOHÓLICA.

TAMBIÉN PUEDEN UTILIZARSE ANTIBIÓTICOS TÓPICOS CON BAJO ÍNDICE DE SENSIBILIZACIÓN, COMO MUPIROCINA, FUSIDATO DE SODIO (ÁCIDO FUSÍDICO), BACITRACINA Y RETAPAMULINA.

EN CASOS RECIDIVANTES SE USA DICLOXACILINA, 1 A 2 G/DÍA POR VÍA ORAL DURANTE 10 DÍAS; CLINDAMICINA 300 MG CADA 6 HORAS; AMOXICILINA CON CLAVULANATO, 500 MG CADA 8 HORAS; OXACILINA, 2 G/DÍA; MINOCICLINA, 100 MG/DÍA POR VÍA ORAL DURANTE VARIAS SEMANAS; TRIMETOPRIM-SULFAMETOXAZOL, 80/400 MG, DOS VECES AL DÍA DURANTE 10 A 20 DÍAS; DAPSONA O DIAMINODIFENILSULFONA (DDS), 100 A 200 MG/DÍA DURANTE TRES MESES (VÉASE CAP. 169), O AZITROMICINA, 500 MG/DÍA DURANTE 3 DÍAS.

EN FOLICULITIS DECALVANTE SE RECOMIENDA DAPSONE 100 MG AL DÍA Y EN FOLICULITIS QUELOIDEA Y CELULITIS DISECANTE, ISOTRETINOÍNA POR VÍA ORAL (VÉANSE CAPS. 2 Y 169).

EL USO DE ESTA ÚLTIMA ES CONTROVERSIAL EN FOLICULITIS DECALVANTE. EN ESTE CASO, CUANDO NO HAY PÚSTULAS Y APARECEN LESIONES DOLOROSAS Y MOLESTAS, LA SOLUCIÓN, AUNQUE MUCHAS VECES TRANSITORIA, PUEDE SER APLICAR TRIAMCINOLONA POR VÍA INTRALESIONAL, O EXTIRPACIÓN QUIRÚRGICA, RADIOTERAPIA SUPERFICIAL O LÁSER EXCIMER MONOCROMÁTICO, Y RECIENTEMENTE FOTOTERAPIA CON UVB. SE HA OBSERVADO BUENA RESPUESTA CON LA EXTIRPACIÓN DE UNA ELIPSE HORIZONTAL O ELECTROCIRUGÍA, Y CICATRIZACIÓN POR SEGUNDA INTENCIÓN.

UPTODATE.

EL TRATAMIENTO CON UN ANTIBIÓTICO ANTIESTAFILOCÓCICO TÓPICO SUELE SER SUFICIENTE PARA LOS PACIENTES CON AFECTACIÓN CUTÁNEA LIMITADA SEGÚN LA EXPERIENCIA CLÍNICA. NORMALMENTE TRATAMOS CON MUPIROCINA TÓPICA TRES VECES AL DÍA DURANTE CINCO A SIETE DÍAS O CLINDAMICINA TÓPICA EN GEL, LOCIÓN O SOLUCIÓN DOS VECES AL DÍA DURANTE 7 A 10 DÍAS.

OTRAS OPCIONES DE TRATAMIENTO SON LA RETAPAMULINA TÓPICA Y EL ÁCIDO FUSÍDICO TÓPICO. SIN EMBARGO, SE HA OBSERVADO UN AUMENTO DE LA RESISTENCIA DE S. AUREUS AL ÁCIDO FUSÍDICO EN ZONAS EN LAS QUE SU USO ES HABITUAL, Y ESTE FÁRMACO NO ESTÁ DISPONIBLE EN ESTADOS UNIDOS.

How well did you know this?
1
Not at all
2
3
4
5
Perfectly