Que faut-il faire pour éviter un artefact d’anisotropie ?
Le faisceau doit être perpendiculaire à une structure fibrillaire pour qu’elle apparaisse échogène !
il faut toujours faire 2 coupes et
faire une analyse controlatérale.
Comment apparait une cellule néoplasique ?
Hypo échogène et hyper atténuante
Quels sont les impératifs techniques à l’examen échographique des tendons ?
Quels sont les 5 rôles dévolus à l’échographie dans la pathologie tendineuse ?
Confirmer l’existence d’une lésion tendineuse
Préciser son siège
Déterminer la gravité de l’atteinte
Tenter d’évaluer le caractère aigu ou
chronique de la lésion du tendon
Proposer une orientation étiologique
Quels signes échographiques doit on rechercher pour une atteinte des tendons ?
Que retrouve-t-on d’un point de vue échographique lors d’une tendinopathie globale ?
Une tuméfaction fusiforme hypoéchogène du tendon La perte de l’aspect parallèle avec déformation convexe des bords tendineux
Quel aspect caractéristique ont les nerfs périphériques dans un plan transversal en échographie ?
l’aspect échographique classique folliculaire ou en « nid d’abeille » dans le plan transversal.
Qu’est-ce qu’une tendinopathie focale ?
Correspond à une forme cicatricielle d’une rupture minime du tendon et l’échographie met en évidence
Quels sont les signes échographiques d’une tendinopathie focale ?
Quels signes échographiques devez-vous rechercher si vous suspecter une rupture totale de tendon ?
Dans quel plan doit-on rechercher une rupture partielle de tendon ? Que doit-on rechercher à l’échographie ?
Dans le plan transversal.
3 aspects sémiologiques différents sont décrits :
- Un simple épaississement hypoéchogène avec perte de la structure fibrillaire du tendon
Il faut s’assurer de cette continuité des fibres restantes par l’épreuve dynamique qui mobilise le tendon de part et d’autre de la zone de rupture partielle ;
C’est la comparaison au côté controlatéral qui peut être très utile car dans ce cas particulier, le tendon conserve en général une échogénicité normale.
Qu’est-ce qu’une fissure d’un tendon ? Que doit-on rechercher en échographie ?
Rupture partielle dans le plan longitudinal.
Un tendon scindé en 2 par une zone linéaire hypo ou anéchogène.
L’étude dynamique (tendon tendu puis détendu) est très utile pour dissocier les 2 bandes tendineuses et d’ouvrir l’espace fissuraire.
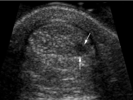
Patient de 37 ans, vient vous voir avec une douleur au-dessus du talon. Il dit avoir repris la course en ce moment. Que voyez- vous à l’imagerie ?

Tendinopathie focale.
Le tendon calcanéen apparaît en coupe axiale.
Tendon calcanéen globalement augmenté de volume et on visualise un nodule intratendineux arrondi et hypoéchogène (↑).
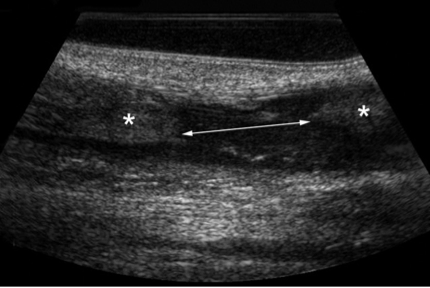
Patient de 22 ans, vient vous voir suite à une douleur soudaine après un fractionné piste. Le patient dit avoir
entendu comme un coup de fusil a eu une douleur vive au talon d’Achille.
Le patient boite et a du mal à poser le pied. Que voyez-vous à l’imagerie ?

Rupture complète du tendon calcanéen.
Échographie en coupe sagittale permettant de visualiser la solution de continuité hypoéchogène (↔) entre les deux fragments tendineux (*).
Les différents éléments sémiologiques échographiques à rechercher sont :
C’est dans ce cadre des ruptures tendineuses que les épreuves dynamiques prennent leur importance en recherchant :
Patient se présente pour une douleur à l’épaule. Que voyez- vous à l’imagerie ?

Signe du double épanchement sur une coupe antérieure axiale passant par la partie basse du long biceps.
Épanchement de la BSAD (flèches simples) et épanchement de la gaine du long biceps (double flèche).
Signe indirect de rupture transfixiante de la coiffe avec une spécificité supérieure à 90 %.
Patient se présente pour une douleur à l’épaule. Que voyez-vous à l’imagerie ?

Enthésopathie calcifiante.
Plage hypo échogène de l’enthèse du supra- épineux visible sur deux coupes orthogonales (flèche) , associée à une fine calcification linéaire (têtes de flèche)

Rupture partielle profonde du tendon du supra- épineux.
Coupe coronale sur le tendon du muscle supra- épineux : plage hypo échogène (têtes de flèches) non transfixiante de la face profonde du tendon du muscle supra- épineux.
Coupe sagittale : plage hypo échogène profonde (têtes de flèches) avec interface hyper échogène du cartilage (flèches).

Rupture transfixiante du tiers moyen du tendon supra- épineux de diagnostic « facile » :

Coupes coronales obliques comparatives.
Rupture transfixiante du tendon supra- épineux droit (a) caractérisé e un méplat marqué (têtes de flèches) et un aspect hypo échogène non liquidien de la zone tendineuse rompue.
Noter l’aspect normal du supra- épineux controlatéral ( b, flèches).

Coupes sagittales des fosses supra- épineuses chez un patient présentant une rupture ancienne de la coiffe à gauche.
Hypotrophie et infiltration hyper échogène du corps musculaire du supra- épineux gauche (double flèche) traduisant une dégénérescence graisseuse difficile à quantifier.

Fracture du trochiter.
Coupe coronale oblique sur le tendon du supra- épineux gauche montrant un décroché de la corticale du trochiter, et une petite infiltration hypo échogène au contact.

Coupes coronales comparatives sur les articulations acromio-claviculaires d’un patient présentant une impotence fonctionnelle droite, avec radiographies normales, suite à un choc direct.

Coupe sagittale oblique comparative de l’intervalle des rotateurs chez un patient présentant cliniquement une capsulite rétractile droite.
Net épaississement supérieur à 4 mm des éléments ligamentaires de l’intervalle des rotateurs à droite et notamment du ligament coraco-huméral (doubles flèches).

Rupture complète du tendon distal du biceps.
Coupe sagittale :
Coupe horizontale :