Que permet de mesurer la densitométrie ?
Quelles sont les mesures et les échelles ?
La densitométrie mesure la densité osseuse.
Les mesures sont :
Quelles sont les contre-indications à la radiographie ?
Citer les 5 contrastes de la radiographie :
Quelles sont les imageries à rayons X ?
Que faut-il observer en 1er sur une radiographie ?
Quelles sont les contre-indications de l’IRM ?
Quels sont les signes radiographiques d’une inflammation au niveau du coude ?
Quelle est la 1ère chose à rechercher lors d’une inflammation du coude sur une radiographie ?
Fracture de la tête radiale
Quelles sont les causes d’un Femoro-acetabular impignement syndrome ? Quel differents types existent ?
(Due aux chocs répétitifs entre la paroi antérieure du cotyle et la tête fémorale)
CAM : déformation de la tête fémorale
PINCER : rétroversion de l’acetabulum ou un acetabulum trop profond qui augmente la couverture de la tête fémorale
Causes : - Epiphysiolyse - Maladie de Legg Calve Perthes (nécrose avasculaire) - Coxa magna - Developmental Hip dysplasia - Fracture du col fémoral
Quels sont les signes radiographiques d’un FAIS ?
Comment découvre-t-on une dysplasie développementale de hanche ? Quel est le traitement? Quelle est la cause de cette malformation ?
Chez l’enfant, une jambe est bien plus courte que l’autre.
Au moindre doute faire une Echographie.
Harnet de Pavlik pour 6 mois, jusqu’à ce que le problème soit résorbée.
Il y a un fort facteur génétique, surtout chez les Bretons et les Auvergnats.
Quel sont les signes radiographiques d’une dysplasie de hanche ?
. Tête du fémur soit absente, déformée ou trop petite
. Déplacement latéral du fémur
. Acetabulum vertica
Que permet l’angle de Wiberg ? Donner les significations et mesures.
L’angle de Wiberg permet de mesurer la couverture de l’acétabulum sur la tête du fémur.
L’angle doit mesurer entre 20° et 40°

Qu’est-ce qu’une coxa vara ? Quelle ligne permet de la diagnostiquer ? Quelles sont les mesures de cette ligne ?
Une coxa vara est une dysplasie de hanche où l’angle du fémur se referme.
La ligne est l’angle fémoral, qui est normal entre 120° et 130° -
Supérieur à 130° : coxa valga
Inférieur à 120° : coxa vara

A quel âge peut-on avoir un Fibrous Xanthomas congénital ? Passé cet âge, comment cela s’appelle-t-il ?

On peut avoir un Fibrous Xanthomas congénital entre 4 et 8 ans.
Après 8 ans, cela s’appelle un fibrome non ossifié. (Non-ossifying fibroma)
A partir de combien de cm un Fibrous Xanthomas peut faire risquer une fracture ?
8 cm
S’il y a plus de 3 tâches de Fibrous Xanthomas, spécialement au niveau du genou, que peut-on craindre ?

Une neurofibromatose (pustule café au lait sur la peau) associée à la maladie : Von Recklinhausen’s disease

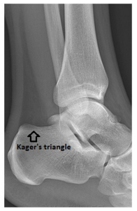
Sur une radiographie de profil de la cheville, comment s’appelle la poche de graisse en avant du tendon d’Achille ?
Le triangle de KAGER

Comment s’appelle la graisse sous le ligament rotulien ?
Bourse de Hoffa

Quelle est la différence entre une fabella et un loose body ?
Qu’appelle-t-on la tendinite du danseur ? Quels sont les sites pouvant la créer ?
La tendinite du danseur est une tendinite du tendon du muscle flexor hallucis longus.
Les sites pouvant la développer sont :
Qu’est-ce qu’un posterior impignement syndrom ?
Douleur et gonflement à l’arrière de la cheville suite à un os trigone (qui est un défaut de la maturation osseuse).

Qu’est-ce qu’une tarsal coalition ? Que peut-elle provoquer ?
Anomalie congénitale non symptomatique étant la fusion du calca avec talus ou du calca avec naviculaire.
Cela peut créer des entorses à répétition.

Qu’est-ce que l’anteater sign ?
En scanner fenêtre osseuse, c’est la fusion entre le calca et le naviculaire.
