Remind yourself of the boy anatomy of the elbow

What is the anterior humeral line?
The anterior humeral line is a radiographic line that is drawn down the anterior margin of the humerus and through the middle third of the capitellum.

What is teh radiocapitellar line?
Line drawn along the longitudinal axis of the proximal radius. Normally the line passes through the capitellum. If it does not, there is radiocapitellar dislocation.

State some common conditions of the elbow
For supracondylar fractures discuss:
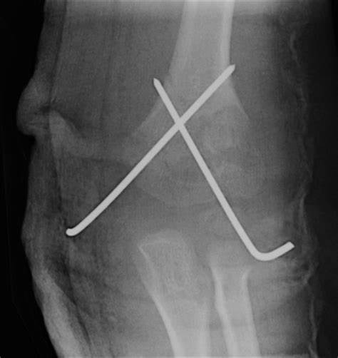
What might you see on x-ray of supracondylar fracture?

What is the management of supracondylar fractures?

State some potential complications of supracondylar fractures
For olecranon fractures dicuss:
What investigations should you do for a olecranon fracture?

Discuss the management of olecranon fractures
Treatment usually guided by degree of displacement:
What are the most common fractures of the elbow?
Radial head fractures
For radial head fractures discuss:
What is an Essex-Lopresti fracture?
Fracture of radial head with disruption of the distal radio-ulnar joint. Always requires surgical intervention.

What investigations would you do for radial head fractures?
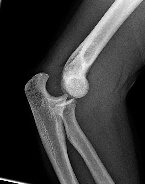
What might you see on x-ray of someone with a radial head fracture?
Sail sign (elevation of anterior fat pad)

What classification is used to classify radial head fractures?
Mason classification; based on degreee of dispalement & intra-articular involvement

Discuss the management of radial head fractures
Management depends on mason classification, neurovascular compromise and mechanical compromise of elbow.
State some potential complication of radial head fractures
Elbow dislocations can be simple or complex; explain the difference
State some clinical features of an elbow dislocation

A good capillary refill can be found in pts who have elbow dislocation and arterial injury; true or false?
TRUE; elbow has rich collateral circulation
What investigations should you do if you suspect an elbow dislocation?
What would you see on x-ray if pt has elbow dislocation?
Loss of radiocapitellar and ulnotrochlear congruence
