The shoulder joint is very mobile and hence unstable; what is the chance of a young person re-dislocating their shoulder after a traumatic first dislocation?
80%
Define a shoulder dislocation
Humeral head loses its articualtion with glenoid cavity of scapula
The type of shoulder classification is classified based on the relation of the humeral head to the….
Infraglenoid tubercle

State the three types of shoulder dislocation
Which is most common
Anteriorinferior (usually just termed anterior) is most common; accounting for ~95% of dislocations

Describe the likely mechanisms of injury for the following:
Anterior dislocation
Posterior
Inferior
State some risk factors for shoulder dislocation
State symptoms of shoulder dislocation
What might you find on clinical examination of someone with:
Anterior Dislocation
Posterior Dilocation
What must you assess when there has been a shoulder injury?
Assess neurovascular status. Axillary and suprascapular nerves are especially at risk

State some injuries associated with shoulder dislocations
Bony injuries
Labral, ligamentous and rotator cuff injuries
What is a Bankart lesion?
What is a bony Bankart lesion?

What is a Hill Sach’s lesion?
Impaction injury to the chondral surface of the posterior and superior portions of humeral head (present in 80% traumatic dislocations)

What investigations would you do if you suspect shoulder dislocation?
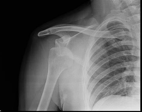
What type of shoulder dislocation does this x-ray show? (AP view)

Anterior dislocation
Typical X-ray findings in anterior shoulder dislocation include:
What type of shoulder dislocation does this x-ray show? (AP view)

Posterior shoulder dislocation
Typical X-ray findings in posterior shoulder dislocation include:
Discuss the management of shoulder dislocations
When they first present do A-E as often injuries occur following trauma so ensure pt is stable and assess for other injuries.
Mainstay of treatmen is “reduction, immobilisation & rehabilitiation”
*NOTE: must assess neurovascular status pre- and post- reduction
State some potential complications of shoulder dislocations
What is dead arm sydnrome?
Sudden sharp or ’paralyzing’ pain when the shoulder is moved forcibly into a position of maximum external rotation in elevation or is subjected to a direct blow. The patient is no longer able to perform a throwing movement with the control and the velocity that he achieved before the injury due to pain and numbness. It’s also called recurrent transient subluxation of the shoulder
Discuss the Stanmore classification for shoulder instability
Idea that there are broadly 2 reasons why shoulder becomes unstable:
Stanmore classification uses three polar groups to classify shoulder dislocations: traumatic structure, atraumatic structural and muscle patterning non structural.
However, there can be much overlap between groups therefore Bayley’s triangle is used to represent this idea of continuity between three groups.

Suggest how each of the following categories of shoulder dislocation, from Stanmore classification, may present:
I Traumatic structural
• significant trauma
• often a Bankart’s defect
• usually unilateral
• no abnormal muscle patterning
II Atraumatic
• no trauma
• structural damage to the articular surfaces
• capsular dysfunction
• no abnormal muscle patterning
• not uncommonly bilateral
III Habitual non-structural (muscle patterning)
• no trauma
• no structural damage to the articular surfaces
• capsular dysfunction
• abnormal muscle patterning
• often bilateral
What might suggest that a shoulder dislocation is a non-structural muscle patterning (type III) dislocation?
Discuss the management for type III dislocations?
Pt features:
Usual “reduction, immobilse, rehabilitation” but with lots and lots of PHYSIO
What two tests can we do for shoulder instability?
Explain how to do the apprehension test
The patient can be supine or sitting (if sitting use one hand to stabilise back of shoulder). The therapist will flex the patient’s elbow to 90 degrees and abducts the patient’s shoulder to 90 degrees, maintaining neutral rotation. The examiner then slowly applies an external rotation force to the arm to 90 degrees while carefully monitoring the patient[1]. Patient apprehension from this maneuver, not pain, is considered a positive test

Explain how to do Jobe’s relocation test
Following positive result from apprehension test, apply posterior force to the shoudler. If pt shows relief/reduced apprehension this is a positive Jobe’s relocation test.
