Remind yourself of the bony anatomy of the tibia
*On posterior have soleal line

Remind yourself of the ligaments of the knee

Tibial shaft fractures often ocur through which two types of injury?
Why is there increased risk of open fractures and compartment syndrome with tibial fractures?

Describe the clinical presentation of a tibial shaft fracture
What investigations would you do if you suspect a tibial shaft fracture?
Discuss the management of tibial fractures, include:
Initial Management
Definitive management:
*NOTE: associated fibula fractures can usually be left alone as they heal when once tibia is stabilised
High energy tibial fractures often result in fibula fracture at ____ level.
Low energy tibial fractures often result in fibula fracture at ______ level
State some potential complications of #tibial shaft
State the typical mechanism of injury for a tibial plateua fracture
Results in impaction of femoral condyle into tibial plateau
Which side of tibial plateua is more commonly injured in tibial plateau fractures & why?
Describe the clinical presentation of tibial plateau fractures
The significant swelling that is seen in tibial plateau fractures is due to lipohaemarthrosis; what is lipohaemarthrosis?
Lipohaemarthrosis results from an intra-articular fracture with escape of fat and blood from the bone marrow into the joint

What investigations would you do if you suspect a tibial plateau fracture?
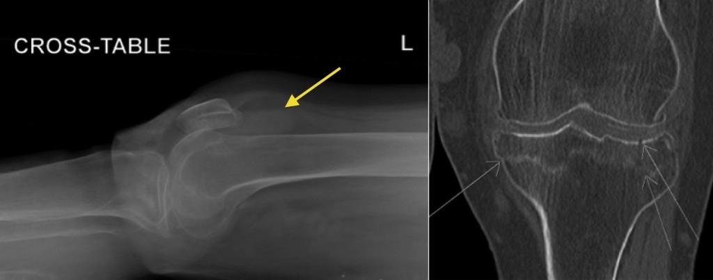
Describe the appearance of lipohaemarthrosis on x-ray
You will notice that there is a very straight line (arrow) at the superior aspect of the fluid, above which there is some low density material. This is fat floating on blood, and makes this a lipohaemarthrosis. The reason this is significant is that it means that there must be an underlying fracture, even if one cannot be seen on the radiograph (because the fat is actually marrow fat, and must have leaked into the joint through a fracture).

What classification system can be used to classify tibial plateua fractures?
Schatzker
*don’t learn in’s and out’s

Discuss the management of tibial plateau fractures, include management of:
Un-complicated (no ligamentous damage, no tibial subluxation or articular step <2mm)
Complicated (articular step =/>2mm, angular defomrity =/>10 degrees, metaphyseal-diaphyseal translation, ligametnous injury requiring repair, associated tibial fractures)
What is the main potential complication of tibial plateau fractures?
Post-traumatic OA
What is the typical mechanism of injury of patella fractures? (2)
Describe the typical presentation of patella fractures
Pain
Swelling
Deformity
Difficulty extending knee
Bipartite patella may be incidentally picked up on imaging; what is bipartite patella?
What investigations would you do if you suspect a patella fracture?
*Skyline view often not possible if pt has #patela as pain inhibits knee flexion; skyline requires 30 degrees knee flexion
The AO Foundation Classification classifies patella fractures intwo three groups: 1, 2 and 3. Describe these 3 groups
Discuss the management of patella fractures, include management of fractures which are:
Non-displaced or minimally displaced
Significatn displacement or disruption to extensor mechanism
