Endocrine: Thyroid Flashcards

(64 cards)

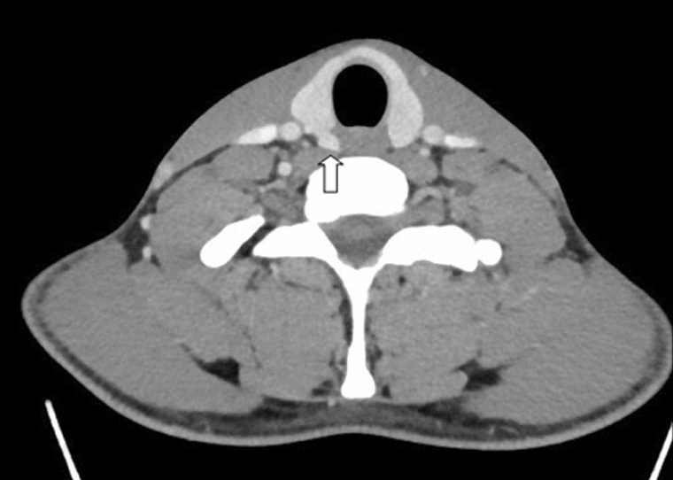
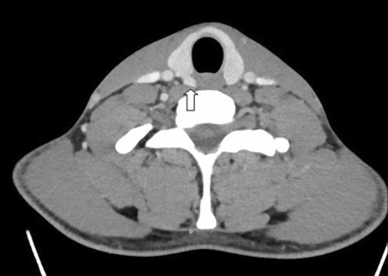
1
Q

The thyroid descends from the ______ during fetal development

A

Foramen cecum (at the base of the tongue)

How well did you know this?
1
Not at all
2
3
4
5
Perfectly
2
Q
A

Zuckerkandl tubercle (a posterior nodular extension of the thyroid that can help with locating the recurrent laryngeal nerve that exists medial to this tubercle)

How well did you know this?
1
Not at all
2
3
4
5
Perfectly
3
Q

How can you find the recurrent laryngeal nerve on imaging?

A

It should be medial to the Zuckerkandl tubercle (a posterior nodular extension of the thyroid)

How well did you know this?
1
Not at all
2
3
4
5
Perfectly
4
Q

Which thyroid cancer is classically associated with microcalcifications…

A

Papillary thyroid cancer

How well did you know this?
1
Not at all
2
3
4
5
Perfectly
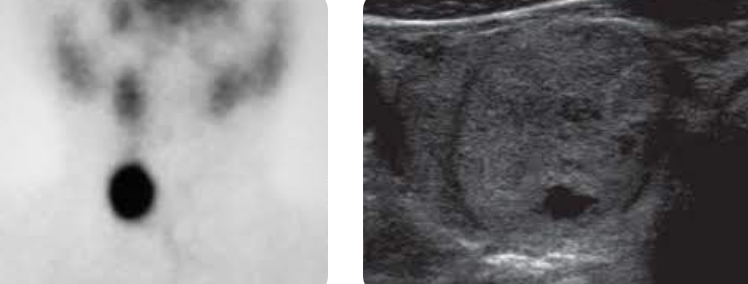
5
Q

Thyroid ultrasound

A

Colloid nodule

Note: Comet tail artifact.

How well did you know this?
1
Not at all
2
3
4
5
Perfectly
6
Q

Which features would make a thyroid colloid nodule more suspicious?

A
  • Microcalcifications
  • Increased vascularity
  • Solid components
  • Large size (> 1.5 cm)
  • Being cold on I-123 nuclear imaging
How well did you know this?
1
Not at all
2
3
4
5
Perfectly
7
Q

Solitary thyroid nodule with microcalcifications…

A

Think papillary thyroid cancer

Note: Microcalcifications in a multinodular goiter are less suspicious.

How well did you know this?
1
Not at all
2
3
4
5
Perfectly
8
Q

What is the most specific imaging feature (and highest positive predictive value) for thyroid malignancy?

A

Microcalcifications

How well did you know this?
1
Not at all
2
3
4
5
Perfectly
9
Q

Thyroid nodule with a complete hypoechoic halo…

A

Highly suggestive of benign nodule

How well did you know this?
1
Not at all
2
3
4
5
Perfectly
10
Q

Thyroid nodule with peripheral vascularity…

A

Likely benign

How well did you know this?
1
Not at all
2
3
4
5
Perfectly
11
Q

Thyroid nodule with central vascularity…

A

Suspicious for malignancy

Note: Solid, hypervascular nodules are more likely to be malignant.

How well did you know this?
1
Not at all
2
3
4
5
Perfectly
12
Q

What ultrasound feature has the highest sensitivity for thyroid nodule malignancy?

A

Solid composition

Note: Pure cystic or spongiform (>50% cystic) echo texture are likely benign.

How well did you know this?
1
Not at all
2
3
4
5
Perfectly
13
Q

Ultrasound follow up shows a solid thyroid nodule becoming more cystic over time…

A

Likely benign

How well did you know this?
1
Not at all
2
3
4
5
Perfectly
14
Q

Are hyperechoic or hypoechoic thyroid nodules more concerning?

A

The more hypoechoic, the more concerning for malignancy

How well did you know this?
1
Not at all
2
3
4
5
Perfectly
15
Q

Is size or suspicious features more important when deciding whether to biopsy a thyroid nodule?

A

Suspicious features

Note: Size is not predictive of malignancy in thyroid nodules.

How well did you know this?
1
Not at all
2
3
4
5
Perfectly
16
Q

Are solitary thyroid nodules or multinodular thyroids more concerning?

A

The risk of cancer per nodule is lower in a multinodular thyroid; however, because there are more nodules the summed risk of thyroid cancer is usually higher in multinodular thyroids.

How well did you know this?
1
Not at all
2
3
4
5
Perfectly
17
Q

Thyroid ultrasound

A

Think hyperfunctioning (toxic) adenoma

Note: Mostly solid thyroid nodule that is hot on I-123 scan (nodule uptake with relatively suppressed background thyroid uptake).

How well did you know this?
1
Not at all
2
3
4
5
Perfectly
18
Q

Goiter

A

A thyroid that is too big

How well did you know this?
1
Not at all
2
3
4
5
Perfectly
19
Q

Differential for a goiter

A
  • Multinodular thyroid
  • Graves disease
  • Low iodine (especially if pt is malnourished)
How well did you know this?
1
Not at all
2
3
4
5
Perfectly
20
Q

Female with painful thyroid after an upper respiratory infection…

A

Think subacute thyroiditis (De Quervains thyroiditis)

How well did you know this?
1
Not at all
2
3
4
5
Perfectly
21
Q

Hyperthyroidism followed by hypothyroidism in a pregnant pt with a painless thyroid…

A

Think Subacute thyroiditis (De Quervains thyroiditis)

Note: In pregnant women, subacute thyroiditis is often painless. Initial hyperthyroidism is due to spilling of thyroid hormones, which if followed by hypothyroidism.

How well did you know this?
1
Not at all
2
3
4
5
Perfectly
22
Q

De Quervain thyroiditis

A

AKA subacute thyroiditis is thyroid inflammation (usually painful, though not during pregnancy) that occurs after an upper respiratory infection

Note: Usually pt will be hyperthyroid during the acute phase and then become hypothyroid.

How well did you know this?
1
Not at all
2
3
4
5
Perfectly
23
Q

Iodine radiotracer uptake during the acute phase of subacute/De Quervain thyroiditis…

A

Decreased

Note: Even though pts are hyperthyroid during the acute phase, this is due to spill of thyroid hormones (not overproduction). Thyroid hormone production is actually turned off because the pt is hyperthyroid, which is why uptake is decreased.

How well did you know this?
1
Not at all
2
3
4
5
Perfectly
24
Q

Acute suppurative thyroiditis

A

A bacterial infection of the thyroid gland, which may progress to a thyroid abscess

How well did you know this?
1
Not at all
2
3
4
5
Perfectly
25
Pediatric pt with recurrent acute suppurative thyroiditis
Think 4th branchial cleft cyst Note: Infection starts in 4th branchial cleft cyst and travels via a pyriform fistula to the thyroid.
26
Which thyroid disorder is associated with IgG4 disease?
Reidels thyroiditis (fibrous tissue replacing the thyroid and causing mass effect on adjacent structures) Note: IgG4 disease is also associated with retroperitoneal fibrosis, sclerosing cholangitis, and orbital pseudotumor).
27
Reidels thyroiditis most commonly affects what pt population?
Females in their 40s-70s with IgG4 disease
28
50 y/o female with retroperitoneal fibrosis
Think Reidels thyroiditis (thyroid replaced by fibrotic tissue) Note: Usually associated with IgG4 disease.
29
Thyroid is T1 and T2 dark
Think Reidels thyroiditis (thyroid replaced by fibrotic tissue) Note: Usually associated with IgG4 disease.
30
What is the most common congenital neck cyst in pediatrics?
Thyroglossal duct cyst Note: These can be anywhere from the foramen cecum at the bast of the tongue to below the thyroid gland.
31
Think thyroglossal duct cyst
32
Complications of thyroglossal duct cysts
- Infection - Ectopic thyroid tissue (which can get papillary thyroid cancer)
33
What is the most common location for a thyroglossal duct cyst?
Infrahyoid (45%) Note: 30% are at the hyoid and 25% are suprahyoid. If "at or above the hyoid" is an option this is a better answer (55%).
34
What is the most common location for an ectopic thyroid?
Tongue base (i.e. lingual thyroid)
35
Think lingual thyroid
36
Next step if you see a lingual thyroid
Thyroid ultrasound (to look for normal thyroid tissue) Note: Sometimes the lingual thyroid is the only thyroid tissue the pt has and if you surgically remove it, they will become hypothyroid.
37
What is the most common cause of hyperthyroidism?
Graves disease (anti-TSH receptor autoimmune disease)
38
Graves disease (anti-TSH receptor autoimmune disease) Note: Thyroid inferno sign on Doppler.
39
Thyroid-associated orbitopathy in Graves disease Note: This is painless (unlike orbital pseudotumor) and spares the tendon insertions. The lateral rectus muscle is the least enlarged.
40
Pyramidal lobe Note: When the pyramidal lobe is accentuated on thyroid scintigraphy, think Graves disease.
41
Radioiodine uptake of 65% on thyroid scintigraphy...
Graves disease Note: Radioiodine uptake is increased to 50-80% in Graves disease, often accentuating the pyramidal lobe.
42
What is the most common cause of goitrous hypothyroidism in the US?
Hashimotos thyroiditis (anti-TPO and anti-thyroglobulin autoimmune disease) Note: Hashimoto's actually causes hyperthyroidism first, but pts are usually hypothyroid by the time it is diagnosed.
43
Anti-TSH receptor antibodies...
Graves disease
44
Anti-thyroid peroxidase antibodies...
Hashimoto's thyroiditis
45
Anti-thyroglobulin antibodies...
Hashimoto's thyroiditis
46
Hashimoto's thyroiditis Note: This is the heterogeneous "giraffe skin" appearance of the thyroid.
47
Pt with Hashimoto's thyroiditis
Regenerative nodule Note: This is a "white knight" regenerative nodule (homogenous hyperechoic nodules in a Hashimoto's thyroid).
48
Enlarged level 6 lymph node (around the thyroid)...
Think metastatic laryngeal cancer Note: These can also be enlarged in Hashimoto's thyroiditis.
49
What are the 4 main subtypes of primary thyroid cancer?
- Papillary (most common) - Follicular - Medullary - Anaplastic
50
Hurthle cell thyroid cancer
A variant of follicular thyroid cancer seen in elderly pts Note: This does not take up I-131 as well as normal follicular thyroid cancer and should be followed with FDG PET/CT instead.
51
What is the most common type of thyroid cancer?
Papillary (followed by follicular)
52
Prognosis of papillary thyroid cancer
Excellent (responds well to I-131 treatment) Note: Follicular thyroid cancer prognosis is still ok (does respond too I-131 treatment), but not as good.
53
Metastatic spread of papillary thyroid cancer is via...
Lymphatic spread
54
Metastatic spread of follicular thyroid cancer is via...
Hematogenous spread
55
Which subtype of thyroid cancer often produces calcitonin?
Medullary thyroid cancer (associated with MEN IIa and IIb syndromes)
56
Which subtype of thyroid cancer is associated with prior radiation therapy?
Anaplastic
57
Which subtypes of thyroid cancer do not take up I-131?
- Medullary - Anaplastic Note: Hurthle cell thyroid cancer is a variant of follicular thyroid cancer that doesn't take up I-131 as well.
58
Which subtypes of thyroid cancer are seen more frequently in elderly pts?
- Anaplastic - Hurthle cell (a variant of follicular)
59
Cervical lymph nodes with microcalcifications...
Think metastatic papillary thyroid cancer
60
Major complication of treating thyroid cancer with metastases to the lungs
Pulmonary fibrosis
61
Imaging findings of lymphadenopathy due to metastatic thyroid cancer
- Hyperechoic - Hyperenhancing - T1 bright - Microcalcifications (if papillary thyroid cancer)
62
What is a common imaging feature of metastatic thyroid cancer to the brain?
Hemorrhage Note: These tend to "bleed like stink".
63
Pt with MEN II syndrome
Metastatic spread of medullary thyroid cancer Note: Thyroid cancer mets to the lung often have a miliary appearance.
64
Hematogenous spread of thyroid cancer (e.g. follicular) most often goes to which organs?
- Bones - Lung - Liver Note: Brain mets often hemorrhage.