Reproductive: Multiple Gestations Flashcards

(21 cards)

1
Q

What are the two major categories of twins?

A
  • Monozygotic (identical)
  • Dizygotic (non-identical)
How well did you know this?
1
Not at all
2
3
4
5
Perfectly
2
Q

What are the subtypes of monozygotic twin pregnancy?

A
  • Dichorionic, diamniotic with separate placentas (split within 3 days)
  • Dichorionic, diamniotic with fused placentas (split happens before 8 days)
  • Monochorionic, diamniotic
  • Monochorionic, monoamniotic (split happens after 8 days)
  • Conjoined twins (split after 13 days)

Note: Prognosis gets worse the later the split occurs (e.g. monoamniotic twins can get tangled together).

How well did you know this?
1
Not at all
2
3
4
5
Perfectly
3
Q

What are the subtypes of dizygotic twin pregnancies?

A

Dichorionic and diamniotic (this is the only option for dizygotic twins)

How well did you know this?
1
Not at all
2
3
4
5
Perfectly
4
Q

How can you differentiate a monochorionic pregnancy from a dichorionic pregnancy?

A
  • T sign (monochorionic) vs twin peak sign (dichorionic)
  • Membrane thickness
How well did you know this?
1
Not at all
2
3
4
5
Perfectly
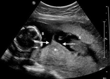
5
Q

What type of twin pregnancy?

A

Dichorionic diamniotic

Note: Arrow point to the twin peak sign (beak-like tongue between the two membranes of a dichorionic pregnancy).

How well did you know this?
1
Not at all
2
3
4
5
Perfectly
6
Q

How do some people use membrane thickness to help determine whether a pregnancy is monochorionic or not?

A

A thick, easy to see membrane (1-2 mm) is more likely to be chorion

Thin, hard to see membranes (<1 mm) are more likely to be amnion

Note: This is fairly subjective.

How well did you know this?
1
Not at all
2
3
4
5
Perfectly
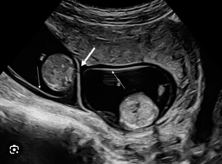
7
Q

What type of twin pregnancy?

A

Monochorionic diamniotic

Note: Arrow points to the intertwin membrane (T sign without twin peak sign).

How well did you know this?
1
Not at all
2
3
4
5
Perfectly
8
Q

What is considered significant growth difference between twins?

A

More than 15% difference in fetal weight or abdominal circumference between twins is considered significant

How well did you know this?
1
Not at all
2
3
4
5
Perfectly
9
Q

When can normal growth charts be used to evaluate twin pregnancies?

A

During the first and second trimesters

Note: During the third trimester, a different growth chart should be used.

How well did you know this?
1
Not at all
2
3
4
5
Perfectly
10
Q

Twin-twin transfusion syndrome can only occur in what type of pregnancy?

A

Monochorionic twins (sharing a placenta)

How well did you know this?
1
Not at all
2
3
4
5
Perfectly
11
Q

What are the complications of in utero feto-fetal transfusion?

A
  • TTTS/Twin-twin transfusion syndrome (fast flow)
  • TRAP/Twin reversed arterial perfusion syndrome (fast flow)
  • TAPS/Twin anemia polycythemia sequence (slow flow)
How well did you know this?
1
Not at all
2
3
4
5
Perfectly
12
Q

Twin-twin transfusion syndrome

A

A complication of chronic feto-fetal transfusion via a communicating vessel in the shared placenta of a monochorionic pregnancy. The majority of blood is shunted to one of the twins, resulting in a larger twin (who often gets hydrops and dies) and a skinnier twin (who actually does better).

How well did you know this?
1
Not at all
2
3
4
5
Perfectly
13
Q

Twin oligohydramnios polyhydramnios sequence

A

In a monochorionic twin pregnancy, when one twin has oligohydramnios and the other has polyhdramnios. This is suspicious for twin-twin transfusion syndrome.

How well did you know this?
1
Not at all
2
3
4
5
Perfectly
14
Q
A

Think twin-twin transfusion syndrome

Note: Twin A has polyhrdramnios and twin B has oligohydramnios (AKA TOPS/Twin Oligohydramnios Polyhydramnios Sequence).

How well did you know this?
1
Not at all
2
3
4
5
Perfectly
15
Q

Which twin is expected to have high umbilical artery resistance in twin-twin trasnfusion syndrome?

A

The donor (skinny) twin

How well did you know this?
1
Not at all
2
3
4
5
Perfectly
16
Q

Twin Reversed Arterial Perfusion Syndrome (TRAP)

A

A severe form of twin-twin transfusions syndrome, where the recipient (fat) twin gets so much extra blood that they dont develop a heart (this is the acardiac twin) and uses the other twins heart (the pump twin) to pump blood

Note: The acardiac twin will die, but the pump twin can survive as long as their heart doesn’t become strained by the extra tissue (usually this occuts if the acardiac twin is predominantly just lower extremity development).

17
Q

Doppler ultrasound demonstrates twin A umbilical artery flow oriented towards twin B…

A

Think TRAP/twin reversed arterial perfusion syndrome (Twin A is the pump twin acting as the functional heart for the acardiac twin B)

18
Q

Twin anemia polycythemia sequence

A

A syndrome related to feto-fetal transfusion in a monochorionic pregnancy where hemoglobin is transferred from one twin (that becomes anemic) to the other (which becomes polycythemic). Unlike in TTTS or TRAP, there is no oligohydramnios

Note: This often occurs after incomplete laser treatment for TTTS (twin-twin transfusion syndrome).

19
Q

Monochorionic pregnancy with discordant MCA Dopplers (evelated peak systolic velocity in twin A) s/p treatment for twin-twin transfusion syndrome…

A

Think TAPS (twin anemia polycythemia sequence) where twin A is the anemia fetus and twin B is polycythemic

20
Q

Fetus papyraceous

A

When one twin dies in utero

Note: This becomes a bigger issue for the surviving twin if it occurs later in pregnacy.

21
Q

Twin-embolization syndrome

A

Whn you have embolized, necrotic tissue embolized from a dead fetus to a living fetus. This can result in DIC, tissue ischemia, and infarction.

Note: This can only occur in a monochorionic pregnancy due to shared placental circulation.