Urinary: Bladder Flashcards

(54 cards)

1
Q

Which portion of the bladder has a peritoneal cover?

A

The bladder dome

How well did you know this?
1
Not at all
2
3
4
5
Perfectly
2
Q

Why do pts with the prune belly developmental anomaly (Eagle Barrett Syndrome) develop cryptorchidism?

A

Bladder distention interferes with descent of the testes (and causes the hydroureteronephrosis seen in this condition)

How well did you know this?
1
Not at all
2
3
4
5
Perfectly
3
Q

What type of cancer is most common in a urachal remnant?

A

Adenocarcinoma (not TCC)

How well did you know this?
1
Not at all
2
3
4
5
Perfectly
4
Q

Midline soft tissue structure just above the bladder anteriorly with calcifications…

A

Think adenocarcinoma of a urachal remnant

How well did you know this?
1
Not at all
2
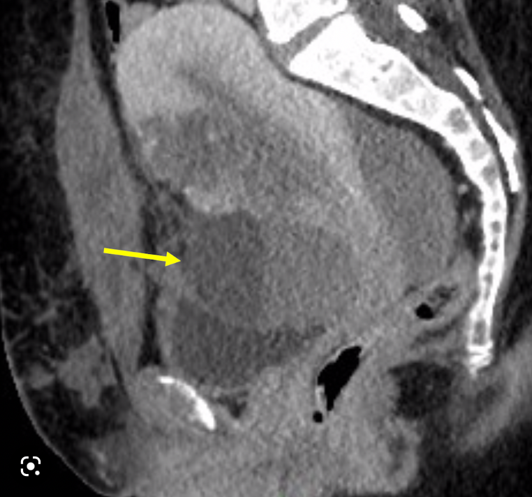
3
4
5
Perfectly
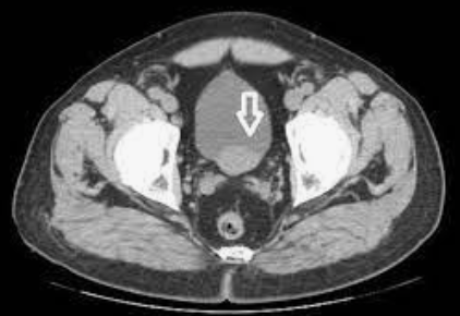
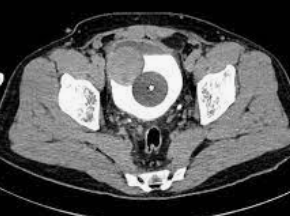
5
Q
A

Hutch diverticulum (near ureteral orifice or lateral bladder)

Note: These are associated with ipsilateral reflux (“secondary reflux”).

How well did you know this?
1
Not at all
2
3
4
5
Perfectly
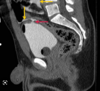
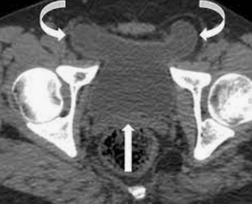
6
Q
A

Bladder ears (“transitory exztraperitoneal herniation of the bladder” into the inguinal canal

Note: This is a transient finding during Valsalva and often associated with inguinal hernias.

How well did you know this?
1
Not at all
2
3
4
5
Perfectly
7
Q

Gross hematuria…

A

Think bladder cancer first

Note: Microscopic hematuria is less specific.

How well did you know this?
1
Not at all
2
3
4
5
Perfectly
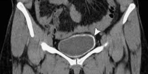
8
Q

Diffuse circumferential bladder wall thickening…

A
  • Infection/inflammation
  • Chronic outlet obstruction
  • Transitional cell carcinoma (only if asymmetric and irregular)
How well did you know this?
1
Not at all
2
3
4
5
Perfectly
9
Q

What is the best contrast phase to look for bladder cancer?

A

Delayed/excretory phase

How well did you know this?
1
Not at all
2
3
4
5
Perfectly
10
Q

Most common bladder cancer in children (<10 y/o)

A

Rhabdomyosarcoma

How well did you know this?
1
Not at all
2
3
4
5
Perfectly
11
Q

What is the most common subtype of transitional cell carcinoma in the bladder?

A

Superficial papillary

How well did you know this?
1
Not at all
2
3
4
5
Perfectly
12
Q

Squamous cell carcinoma of the bladder…

A

Think schistosomiasis infection (or longstanding suprapubic catheter)

Note: Squamous - Schistosomiasis - Suprapubic.

How well did you know this?
1
Not at all
2
3
4
5
Perfectly
13
Q
A

Think schistosomiasis infection and be suspicious of squamous cell carcinoma of the bladder

Note: Any irregular bladder/ureteral calcifications should raise suspicion for squamous cell carcinoma.

How well did you know this?
1
Not at all
2
3
4
5
Perfectly
14
Q

Adenocarcinoma of the bladder…

A

Think urachal remnant or bladder exstrophy

How well did you know this?
1
Not at all
2
3
4
5
Perfectly
15
Q

Urinary hesitancy or dribbling

A

Think bladder leiomyoma

Note: Smooth, solid, homogenous soft tissue mass.

How well did you know this?
1
Not at all
2
3
4
5
Perfectly
16
Q

40 y/o F

A

Think bladder leiomyoma

Note: Smooth, solid, homogenous soft tissue mass in the region of the trigone (most common location).

How well did you know this?
1
Not at all
2
3
4
5
Perfectly
17
Q

What is the most common benign bladder tumor?

A

Leiomyoma

How well did you know this?
1
Not at all
2
3
4
5
Perfectly
18
Q

Why do bladder diverticula cancers tend to have early perivesicle fat invasion?

A

Bladder diverticula have limited muscle in the wall to slow invasion)

How well did you know this?
1
Not at all
2
3
4
5
Perfectly
19
Q

What is the most common location for bladder transitional cell carcinoma?

A

Bladder base (inferior posterior)

Note: Think where urine is most likely to layer dependently.

How well did you know this?
1
Not at all
2
3
4
5
Perfectly
20
Q
A

Think papillary type transitional cell carcinoma

Note: These tend to have “frond like” branching (and are lower grade than the more aggressive non-papillary TCC).

How well did you know this?
1
Not at all
2
3
4
5
Perfectly
21
Q

Which subtype of transitional cell carcinoma is more aggressive?

A

Non-papillary

Note: The “frond-like” papillary TCCs tend to be lower grade.

How well did you know this?
1
Not at all
2
3
4
5
Perfectly
22
Q

What is the most common location for a bladder squamous cell carcinoma?

A

Trigone and lateral walls

23
Q

Bladder flap hematoma

A

Hematoma that collects between the bladder and uterus due to a defect in the anterior uterine wall (very common, somewhat expected, complication of a c section)

Note: It is generally considered normal if under 4 cm (and not superinfected).

24
Q

Fever s/p cesarean section

A

Think bladder flap hematoma with superinfection

Note: Fluid-fluid level in a fluid collection between the bladder and uterus s/p c section.

25
Urinary diversion surgery
A broad category of procedures where bowel is used as a conduit or reservoir for urine after a radical cystectomy
26
Common early complications of urinary diversion surgery
- Adynamic ileus (25%) - Small bowel obstruction (3%) - Urinary leakage (5%) - Fistula
27
Where is the most likely transition point if there is a small bowel obstruction shortly following a urinary diversion procedure?
The enteroenteric anastomosis
28
Where is the most likely location of a urine leak following a urinary diversion procedure?
The ureteral-bowel reservoir anastomosis
29
Major risk factor for fistula formation following urinary diversion procedure
Pelvic radiation
30
What are common late complications of urinary diversion procedures?
- Urinary infection - Urolithiasis - Parastomal herniation - Urinary stricture - Tumor recurrence
31
Major risk factor for parastomal herniation following urinary diversion
Obesity Note: This occurs in 15% of pts will an ileal conduit. Most don't require treatment, but 10% will need surgery.
32
Urinary stricture following a urinary diversion procedure is significantly more likely on which side?
The left side (higher risk due to the angulation created as its brought through/under the mesentery)
33
Psoas hitch procedure (pulling one side of the bladder superiorly and sewing it to the psoas muscle so that it can reach a shortened ureter following surgical resection of the distal ureter) Note: In this case there must have been an injury/stricture/cancer involving the distal left ureter that was resected.
34
Emphysematous cystitis Note: The pt is usually diabetic.
35
Bladder is maximally distended
Tuberculosis infection Note: This is the "thimble bladder" due to wall thickening/contraction.
36
Bladder calcification should make you think schistosomiasis infection and worry about squamous cell carcinoma of the bladder Note: Any irregular bladder/ureteral calcifications should raise suspicion for squamous cell carcinoma.
37
Bladder fistulas are more common in...
- Men - Women s/p hysterectomy Note: The uterus protects the bladder from fistulization for those who have them.
38
What are the most common causes of bladder fistulas?
- Diverticulitis (most common, usually a colovesical fistula) - Crohns (usually a ileovescial fistula) - Cancer/trauma (usually a rectovescial fistula)
39
Neurogenic bladder Note: This is the "pine cone" bladder.
40
Classic imaging appearance of a neurogenic bladder
Small and contracted OR large and atonic Note: "Pine cone" bladder is the most classic appearance.
41
Neurogenic bladder increases the risk for...
- Urolithiasis - UTIs - Bladder cancer Note: Due to urinary stasis (same reason bladder diverticula have these same risks).
42
Bladder stones are associated with what type of cancer?
Both transitional cell carcinoma (more common) and squamous cell carcinoma
43
Pear shaped bladder, think: - Pelvic lipomatosis - Hematoma
44
Best imaging test for suspected bladder trauma
CT Cystography with a water soluble contrast agent
45
How much contrast should you instill in the bladder for cystography in the setting of suspected bladder trauma?
300-400 mL or until detrussor contraction Note: The key is the bladder needs to be fully distended with water-soluble (NOT barium) contrast.
46
Traumatic bladder rupture is most commonly intraperitoneal/extraperitoneal
Extraperitoneal (80-90% of traumatic bladder ruptures)
47
Trauma
Think extrapeitoneal bladder rupture and recommend cystography or delayed/excretory phase imaging Note: This is the "molar tooth" sign of extraperitoneal bladder rupture.
48
Molar tooth sign of extraperitoneal bladder rupture is due to contrast accumulation in what potential space?
Prevesicle space of Retzius
49
If there is a traumatic pelvic fracture, the chance of a concurrent bladder rupture is...
10% Note: If there is a bladder rupture, there is almost always a pelvic fracture.
50
Pathophysiology of traumatic bladder rupture
- Pelvic fracture lacerating bladder (usually extraperitoneal) - Blunt trauma to an already distended bladder causing it to "explode" (usually intraperitoneal because the bladder dome is the weakest part)
51
Cystogram in the setting of traumatic injury
Intraperitoneal bladder rupture, requiring surgery Note: Contrast is spreading "freely" in the peritoneal cavity, including left parabolic gutter (yellow arrow).
52
Traumatic injury complicated by massively elevated creatinine
Think pseudoazotemia in the setting of an intraperitoneal bladder rupture Note: Urine creatinine can be absorbed by the peritoneal lining if there is an intraperitoneal bladder rupture, causing massively elevated serum creatinine (even through the kidneys are actually functioning fine).
53
How can you differentiate extraperitoneal and intraperitoneal bladder rupture?
Extraperitoneal rupture (much more common) results in leaked contrast accumulating near the bladder (e.g. molar tooth sign) Intraperitoneal rupture (more rare) results in contrast freely flowing in the peritoneal cavity (look for it outlining bowel loops)
54
Which type of bladder rupture requires surgical management?
Intraperitoneal (more rare) Note: The more common extraperitoneal bladder rupture can usually be managed medically.