Urinary: Calcifications Flashcards

(16 cards)

1
Q

What are the most common kidney stones?

A
  • Calcium oxalate (most common)
  • Struvite stones
  • Uric acid
  • Cysteine
  • Indinavir
How well did you know this?
1
Not at all
2
3
4
5
Perfectly
2
Q

Cysteine kidney stones are associated with…

A

Congenital disorders of metabolism

How well did you know this?
1
Not at all
2
3
4
5
Perfectly
3
Q

Indinavir kidney stones are are associated with…

A

HIV

How well did you know this?
1
Not at all
2
3
4
5
Perfectly
4
Q

Which is the only kidney stone that is not seen on CT?

A

Indinavir stone

How well did you know this?
1
Not at all
2
3
4
5
Perfectly
5
Q

Treatment for kidney stone

A
  • Medical management (stones <5 mm)
  • Intervention (stones >10 mm)

Note: Between 5-10 mm is variable. Uric acid stones can usually be treated medically regardless of size.

How well did you know this?
1
Not at all
2
3
4
5
Perfectly
6
Q

Which type of kidney stone can usually be treated medically, even when very large?

A

Uric acid stones

Note: All you need is potassium citrate or sodium bicarbonate to increase the pH of the urine and “melt” the uric acid stones.

How well did you know this?
1
Not at all
2
3
4
5
Perfectly
7
Q

Staghorn calculi are usually what type of stone?

A

Struvite

Note: These require alkaline urine to grow, usually in the setting of a Proteus or Klebsiella infection.

How well did you know this?
1
Not at all
2
3
4
5
Perfectly
8
Q

How can you differentiate uric acid stones from other types of kidney stones on imaging?

A
  • Uric acid stones have a lower attenuation (<500 HU)
  • Uric acid stones have little if any change in HU on dual energy CT (due to the composition of lighter atoms)
How well did you know this?
1
Not at all
2
3
4
5
Perfectly
9
Q

How do most kidney stones change on duel energy CT?

A

Most kidney stones will be have a higher HU at 80 kVp relative to 140 kVp

Note: The important exception are uric acid stones which have no to minimal change on duel energy (if any change it will be the opposite of other stones, having a lower HU on 80 kVp relative to 140 kVp).

How well did you know this?
1
Not at all
2
3
4
5
Perfectly
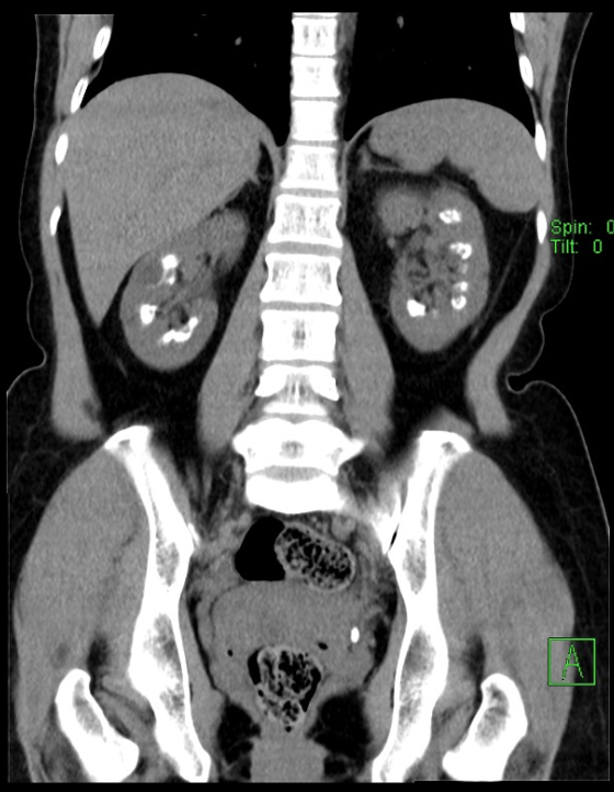
10
Q
A

Cortical nephrocalcinosis (sequela of cortical necrosis)

Note: Cortical calcifications. Disseminated PCP and tuberculosis can look like this also.

How well did you know this?
1
Not at all
2
3
4
5
Perfectly
11
Q

Differential for cortical nephrocalcinosis

A

Acute drop I blood pressure:

  • Shock
  • Postpartum
  • Burn patients
How well did you know this?
1
Not at all
2
3
4
5
Perfectly
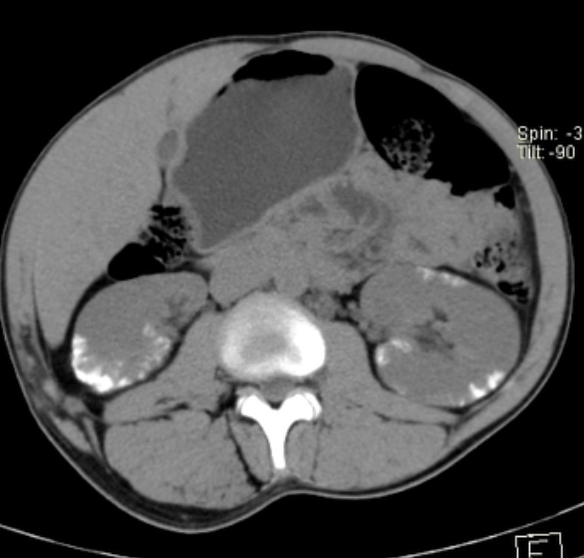
12
Q
A

Medullary nephrocalcinosis

Note: Hyperechoic renal papilla/pyramids (may or may not shadow on ultrasound).

How well did you know this?
1
Not at all
2
3
4
5
Perfectly
13
Q

Common causes of medullary nephrocalcinosis

A
  • Hyperparathyroidism (most common)
  • Medullary sponge kidney (second most common)
  • Lasix use
  • Renal tubular acidosis type 1

Note: Hyperparathyroidism and type 1 RTA tend to cause more dense calcification than medullary sponge.

How well did you know this?
1
Not at all
2
3
4
5
Perfectly
14
Q
A

Medullary nephrocalcinosis

How well did you know this?
1
Not at all
2
3
4
5
Perfectly
15
Q

Medullary sponge kidney

A

A congenital cause of medullary nephrocalcinosis (usually asymmetric) due to underlying cystic dilatation of the collecting tubules

How well did you know this?
1
Not at all
2
3
4
5
Perfectly
16
Q

Medullary sponge kidney is associated with…

A
  • Ehlers-danlos
  • Caroli’s
  • Beckwith-Wiedemann