Exam 1 Flashcards

(50 cards)

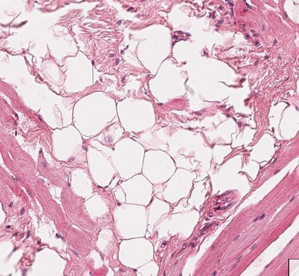
1
Q

What is this tissue?

A

White Adipose Tissue (unilocular)

How well did you know this?
1
Not at all
2
3
4
5
Perfectly
2
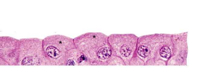
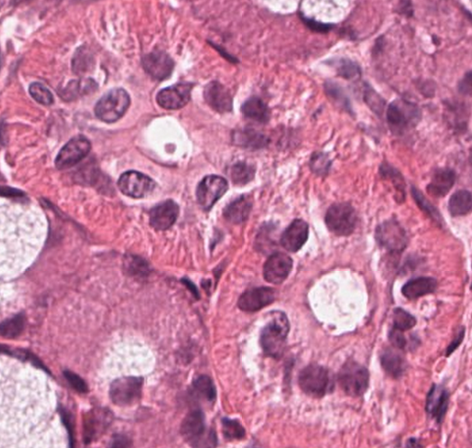
Q

What are the arrows pointing to?

A

Non-motile, Absorptive Stereocilia

How well did you know this?
1
Not at all
2
3
4
5
Perfectly
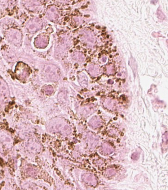
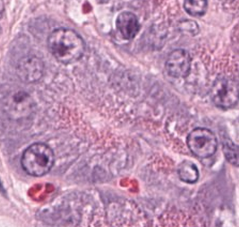
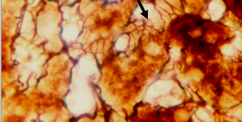
3
Q

What are the brownish/black dots

A

Melanin (skin)

How well did you know this?
1
Not at all
2
3
4
5
Perfectly
4
Q

What is this tissue?

A

Brown Adipose Tissue ( Multiocular)

How well did you know this?
1
Not at all
2
3
4
5
Perfectly
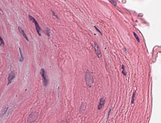
5
Q

What are the arrows pointing to? (List 2 structures present)

A
  1. Collagen (thick) 2. Elastic Fibers (thin squiggly)
How well did you know this?
1
Not at all
2
3
4
5
Perfectly
6
Q

What kind of tissue is this?

A

Dense Connective Tissue

How well did you know this?
1
Not at all
2
3
4
5
Perfectly
7
Q

What kind of structure am I? What kind of product do I secrete?

A
  1. Goblet Cell 2. Mucous
How well did you know this?
1
Not at all
2
3
4
5
Perfectly
8
Q

Give the full name of the epithemium on the left.

A

Kertanized Stratified Squamous Epithelium

How well did you know this?
1
Not at all
2
3
4
5
Perfectly
9
Q

What kind of tissue am I?

A

Loose Connective Tissue

How well did you know this?
1
Not at all
2
3
4
5
Perfectly
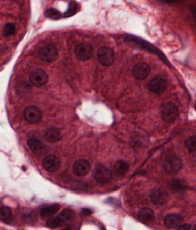
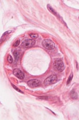
10
Q

What type of cells surround this structure? What is the structure in the middle?

A
  1. Columnar Cells 2. Lumen
How well did you know this?
1
Not at all
2
3
4
5
Perfectly
11
Q

What kind of gland am I?

A

Meibomian Gland

How well did you know this?
1
Not at all
2
3
4
5
Perfectly
12
Q

What kind of gland am I?

A

Mixed Acinar Gland

How well did you know this?
1
Not at all
2
3
4
5
Perfectly
13
Q

What am I?

A

Pancreatic Acini Ducts lined with cuboidal cells.

How well did you know this?
1
Not at all
2
3
4
5
Perfectly
14
Q

What kind of fibers are present?

A

Reticular Fibers

How well did you know this?
1
Not at all
2
3
4
5
Perfectly
15
Q

What kind of gland am I?

A

Sebaceous gland.

How well did you know this?
1
Not at all
2
3
4
5
Perfectly
16
Q

What kind of gland am I?

A

Serous gland.

How well did you know this?
1
Not at all
2
3
4
5
Perfectly
17
Q

Give the full name of the epithelium.

A

Non-keratinized Stratified Squamous Epitheliam

How well did you know this?
1
Not at all
2
3
4
5
Perfectly
18
Q

What kind of gland am I?

A

Sebaceous

How well did you know this?
1
Not at all
2
3
4
5
Perfectly
19
Q

What kidn of epithelium am I?

A

Transitional Epithelium

How well did you know this?
1
Not at all
2
3
4
5
Perfectly
20
Q

What type of cell am I?

A

Chondroblasts

How well did you know this?
1
Not at all
2
3
4
5
Perfectly
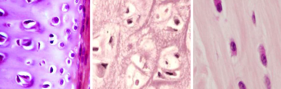
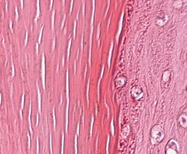
21
Q

What kind of cell am I? What surrounds me? What type of cartilage is this?

A
  1. Chondrocyte 2. Lacunae 3. Hyaline
22
Q

What kind of cell am I? What kind of cartilage am I?

A
  1. Chondrocyte 2. Fibrocartilage
23
Q

From left to right name the cartilages present.

A
  1. Hyaline 2. Elastic 3. Fibrocartilage
24
Q

What type of bone is this?

A

Lamellar Bone (mature)

25
What are the arrows pointing to? What is embedded in the dark red area? What kind of bone is present?
1. Mesenchymal Cells 2. Osteoblasts 3. Osteocytes (mature) 4. Woven Bone (immature)
26
What type of cells are present?
Mesenchymal Cells
27
What is this dense area known as? What is its purpose? What is the only type of cartilage that lacks this structure?
1. Perichondrium 2. Regeneration 3. Articular Hyaline Cartilage.
28
What is this usually present in?
Macrophages
29
Where is this normally stored?
Liver or Muscle
30
What kind of chromatin is inactive and dense?
Heterochromatin
31
What kind of chromatin is active and less dense?
Euchromatin
32
What are the 4 basic types of tissue?
Epithelium, Connective, Muscular, Nervous
33
What is the matrix composed of?
Fibers, Ground Substance, and Fluid
34
What is Type I, II, III, IV Collegen?
1. Bone 2. Cartilage 3. Ritucular Fibers 4. Basement Membrane
35
What development occurs within membranes of mesenchymal tissue?
Intramembranous Ossification
36
What type of development occurs in most bones starting with a carlaginous model?
Endochondral Ossification
37
What are the 3 types of cartilage?
1. Hyaline 2. Elastic 3. Fibrocartilage
38
Which growth of cartilage starts wiithin the cartilage itself?
Intersitital Growth
39
Which growth of cartilage starts at the periphery?
Appositional Growth
40
What mode of secretion looses no cytoplasm when products are released? Give an example of a tissue that performs this.
1. Merocrine 2. Mammory gland
41
What mode of secretion looses some cytoplasm when cell buldges off releasing its products? Give an example of a gland that does this.
1. Apocrine 2. Serous (sweat) Gland
42
What mode of secretion dies when it releases its products? Give an example of a gland that performs this.
1. Holocrine 2. Sebaceous Gland
43
What mode of secretion has its products diretly towrads the vasculature?
Endocrine
44
What mode of secretion releases its products into a duct and is transported somewere else in the body?
Exocrine
45
What type of stain.....stainsthe basement membrane?
PAS (Periodic Acid Schiff)
46
What is the most common type of stain?
HE (hematoxylin-esoin)
47
What color does esoin stain? What does it stain? What pH does it like?
1. Pink/Red 2. Cytoplasm 3. Acidiophilic
48
What is the green triple stain?
Masson Stain
49
What color does Hematoxylin stain? What does it stain in the cell? What pH does it like?
1. Blue/purple 2. Cell products(proteins/DNA/RNA) 3. Baseophilic
50
What is the blue triple stain?
Mallory's Trichome Stain