Final Exam Flashcards

(50 cards)

1
Q

What are the structures labed A and B?

A

A= Axon

B=Dendrite

How well did you know this?
1
Not at all
2
3
4
5
Perfectly
2
Q

What is the structure labed A?

A

Choriod Plexus

How well did you know this?
1
Not at all
2
3
4
5
Perfectly
3
Q

What kind of cell is this in the nervous system? What is their puropse?

A

Ependymal Cell

They create the cerebral spinal fluid and form the Coriod Plexus

How well did you know this?
1
Not at all
2
3
4
5
Perfectly
4
Q

What type of cell is this?

A

Ganglion Cell

How well did you know this?
1
Not at all
2
3
4
5
Perfectly
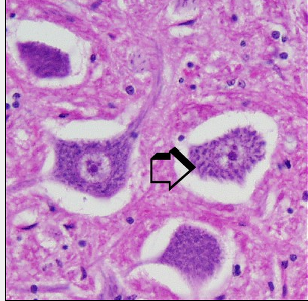
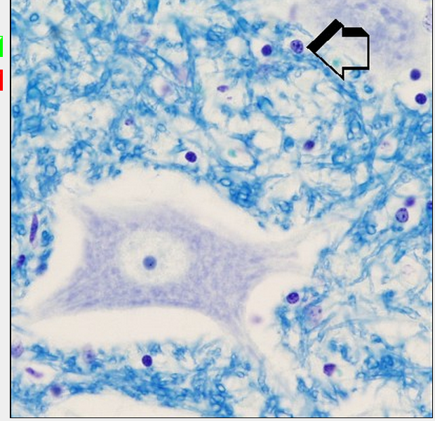
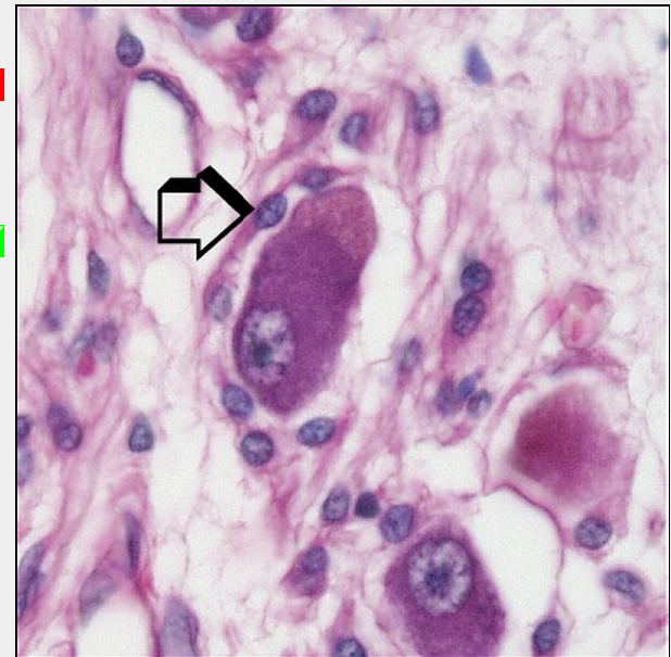
5
Q

What kind of cell is the arrow point to?

A

Glial Cell

How well did you know this?
1
Not at all
2
3
4
5
Perfectly
6
Q

What type of cell is this? Where is it located? What is its function?

A

Golgi Organ

Located at insertion of skeletal muscle fibers into tendons

Senses stretching

How well did you know this?
1
Not at all
2
3
4
5
Perfectly
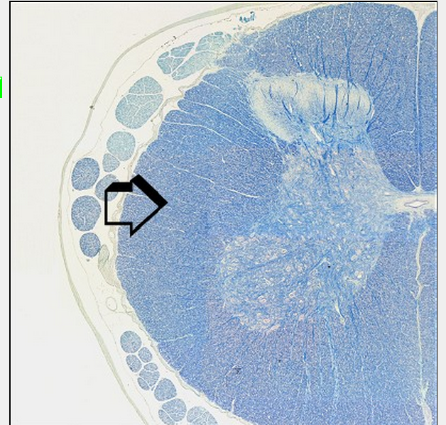
7
Q

Which matter of the brain is the arrow indicating? What part of the brain is this then?

A

Grey Matter

The grey matter is central in the spinal cord

How well did you know this?
1
Not at all
2
3
4
5
Perfectly
8
Q

What is the lable A indicating?

A

Myelin Sheeth

How well did you know this?
1
Not at all
2
3
4
5
Perfectly
9
Q

What type of nervous tissue is this?

A

Peripheral Tissue

How well did you know this?
1
Not at all
2
3
4
5
Perfectly
10
Q

What type of cell is this?

A

Neuron

How well did you know this?
1
Not at all
2
3
4
5
Perfectly
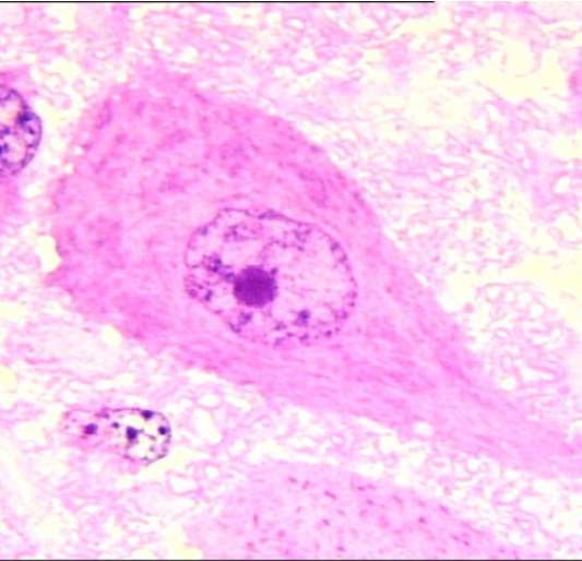
11
Q

What kind of cell is this arrow indicating

A

Nissl Bodies (granular body)

How well did you know this?
1
Not at all
2
3
4
5
Perfectly
12
Q

What is the picture indicating?

A

Node of Ranvier (gap in the myeline sheeth)

How well did you know this?
1
Not at all
2
3
4
5
Perfectly
13
Q

What is the difference between image I and II?

What are the structures labled A

What are the structures labled B

A

I= non-myelinated

II= myelinated

A= Nucleus of Shwann Cells

B= Node of Ranvier

How well did you know this?
1
Not at all
2
3
4
5
Perfectly
14
Q

What type of cell is this?

A

Purkinje Fibers

How well did you know this?
1
Not at all
2
3
4
5
Perfectly
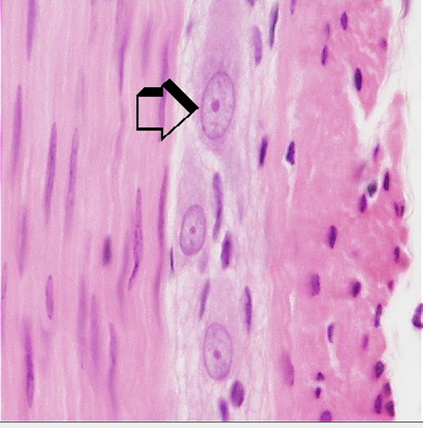
15
Q

What type of cell is this?

A

Satelite Cell

How well did you know this?
1
Not at all
2
3
4
5
Perfectly
16
Q

Which matter is this arrow pointing to?

A

White Matter

Its around te peripheria in the spinal cord

How well did you know this?
1
Not at all
2
3
4
5
Perfectly
17
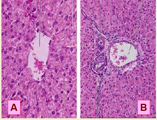
Q

A is a picture of? B is a picture of?

A

A= central vein

B= portal triad

How well did you know this?
1
Not at all
2
3
4
5
Perfectly
18
Q

What is A? What is B? What do they secrete?

A

A= Cheif cell,secrets pepsinogen

B=Parietal Cell, secrets HCl

How well did you know this?
1
Not at all
2
3
4
5
Perfectly
19
Q

What are these cells? Where are they located?

A

Crypt of Lieberkuhn

Present in SI and LI

How well did you know this?
1
Not at all
2
3
4
5
Perfectly
20
Q

What is A? What is its job

A

Gallbladder

bile storage

How well did you know this?
1
Not at all
2
3
4
5
Perfectly
21
Q

What is this a picture of? Where is it located?

A

Islets of Langerhan

Pancreas

22
Q

What is the arrow point to? Where are they found?

A

Lacteals, found in small intestine

23
Q

What is the arrow point to

A

Margo Plicatus

24
Q

What is A, B and C

A

A= mucosa

B= Submucosa

C=muscularis

25
What kind of gland is this?
Muscous Gland
26
What is this a picture of
Portal triad
27
What is this a picture of
taste buds
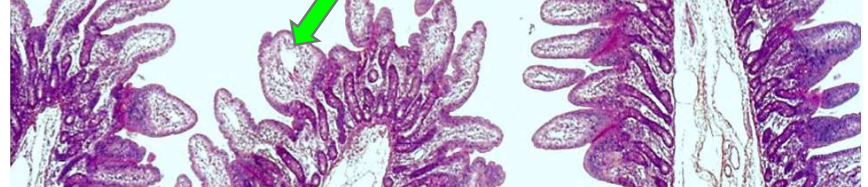
28
What is the arrow point to? Where are they located in the GI
Villi Small intestine only
29
What are these a picture of
Collecting Ducts
30
What is this a picture of?
Glomerulus
31
What is A, What is B
A= Proximal Convoluted tube B= distal convoluted tube
32
What kind of tubules are these?
Proximal tubules
33
What are the arrows point to
Renal corpuscles
34
What is this a picture of? What type of cells bleb up like this
Urinary Bladder Urothelium--transitonal epithelium
35
What structure is this?
Alveolus
36
What is A? What is B
A is septum of alveoli B= dust cell
37
Label the structures from A to C
Cilia, Goblet cells, Basal cells
38
What kind of cells are these
Clara cells
39
What is circled? What do they do?
Conchae turbinates increase area of contact with inhaled air
40
Which one is the trache and which one is the esophagus
A is trachea B is esophagus
41
What respiratory region is this. What is A/B
Mucociliary Aparatus responsible for clearance A= Cilia B= Goblet cells
42
What is A, What is B
A is the respiratory region B is the olfactgory region
43
What is this a picture of
Respiratory bronchiol--located in the exchange portion
44
What are these a picture of? Where are they located
Swell Bodies located in the ofactory region
45
What organ is this? What is it used for?
Vomeronasal organ chemoreceptor/ sexual behavior
46
What are the structures labled A-D on the tooth
A= Enamal B= Dentin C= Periodontal Ligament D= Cementum
47
What are the 4 types of sensory nerves in the skin
A= Thermoreceptors B= Messiner Corpucles ``` C= Nociceptors D= Pacinian Corpucles ```
48
What are the layers of tubular organs
Tunica Mucosa Tunica Submucosa Tunica Muscularis Tunica Serosa Tunica Adventitia
49
What layer of tubular organ is this? What are the lables A-C? What is the purpose of structure B
Tunica Muscularis A= longitidunial muscularis B= Myenteric Plexus C= Inner muscularis puropose is having nervous vessles that control glands and smooth muscle
50