Exam 3 Flashcards

(30 cards)

1
Q

What lymphatic organ is this?

A

Cloacal Bursa

How well did you know this?
1
Not at all
2
3
4
5
Perfectly
2
Q

What lymphatic organ is this? What kind of epithelial cells are circled?

A

Cloacal Bursa, Psudostratified colomnar epithelium

How well did you know this?
1
Not at all
2
3
4
5
Perfectly
3
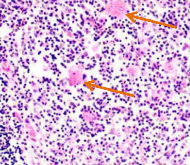
Q

What lymphatic organ is this? What are the arrows pointing to?

A

Thymus, Hassall’s corpuscles

How well did you know this?
1
Not at all
2
3
4
5
Perfectly
4
Q

What lymphatic organ is this? What are the structures labled A and B? What is significant about both of these?

A

Thymus

Cortex, Medulla

Cortex= positive selection

Medulla=negatice selection

How well did you know this?
1
Not at all
2
3
4
5
Perfectly
5
Q

What lymphatic organ is this? What cells are concentrated in the paracortex? What cells are concentrated in the follicle? What also occurs in the follicles?

A

Lymph node

Tcells

Bcells

Antigen Presentation

How well did you know this?
1
Not at all
2
3
4
5
Perfectly
6
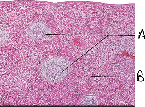
Q

What is this lymphatic organ? What are the structures labled A and B? What are their primary functions

A

Spleen

A= White Pulp (lymphocytes, where immune responses occur)

B= Red Pulp (stores RBC)

How well did you know this?
1
Not at all
2
3
4
5
Perfectly
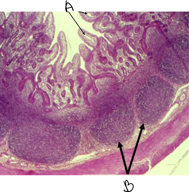
7
Q

What lymphatic organ is this? What are the stuctures labled A and B?

A

“GALT” falling under “MALT”

A= Lacteals

B= Peyer’s Patch

How well did you know this?
1
Not at all
2
3
4
5
Perfectly
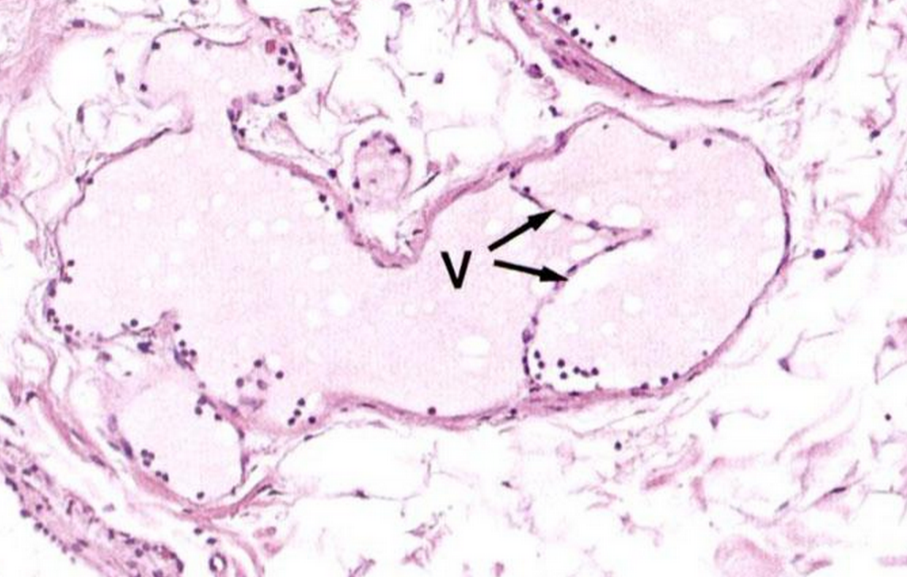
8
Q

What is this structure?

A

Lymphatic Duct w/valves

How well did you know this?
1
Not at all
2
3
4
5
Perfectly
9
Q

What structure of the eye is this? Label all the layers to this structure

A

1=anterior coneal epithelium

2= anterior limiting membrane

3= stroma

4= descemet membrane

5= posterior epithelium

Cornea

How well did you know this?
1
Not at all
2
3
4
5
Perfectly
10
Q

What structure of the eye is this? What are the names for lables 1 and 2

A

Ciliary Process

1= nonpigmented epithelial cells (for aqueous humor)

2= pigmented cells(forms zonular fibers)

How well did you know this?
1
Not at all
2
3
4
5
Perfectly
11
Q

What part of the eye is this? What are the structures labled A and B

A

Retina

A= photoreceptor layer

B= retinal pigmented layer

How well did you know this?
1
Not at all
2
3
4
5
Perfectly
12
Q

What structure is this

A

choroid

How well did you know this?
1
Not at all
2
3
4
5
Perfectly
13
Q

What are these structures? Where are they located? What are their function?

A

Herring Bodies

Neurohypophysis

storage site for ADH and Oxytocin

How well did you know this?
1
Not at all
2
3
4
5
Perfectly
14
Q

What are these cells? What do they produce? Where are they located?

A

Pinealocytes

Melatonin

Penial Gland (Epiphysis)

How well did you know this?
1
Not at all
2
3
4
5
Perfectly
15
Q

What is this endocrine organ? What are the arrows point to? What do they produce? Is B less active or more active follicle?

A

Thyroid

parafollicular cells produce calcium

more active thyroid follicle

How well did you know this?
1
Not at all
2
3
4
5
Perfectly
16
Q

What kind of cells are these? What endocrine gland are they located in? What do they secrete

A

Zona glomerulosa

adrenal gland

aldosterone

17
Q

What kind of cells are these? What endocrine organ are the located in? what do they secrete

A

zona fasciculate

adrenal gland

glucocorticoids

18
Q

What kind of cells are these? what endocrine organ are they located in? what do they secrete

A

Zona reticularis

adrenal gland

androgen secreting cells

19
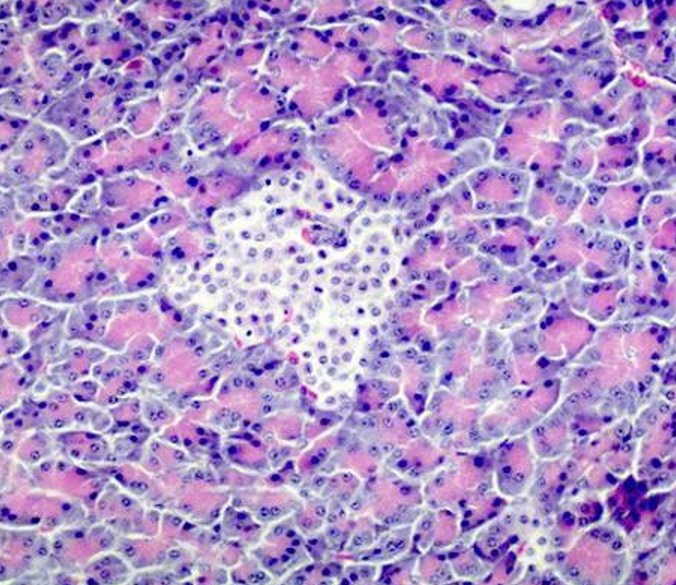
Q

What is this grouping of cells called? Where are they located

A

Islet of Langerhans

Pancreas

20
Q

What are these cells?

A

Sertoli Cells

21
Q

What are these cells? What do they produce

A

Leydig cells

testosterone

22
Q

What is this structure?

23
Q

What structure is this

24
Q

What structure is this

A

Ductus(Vas) Deferenes

25
What stage of folliculogenesis is this?
Primordial
26
What stage of folliculogenesis is this
Primary
27
What stage of folliculogenesis is this
Secondary
28
What stage of folliculogenesis is this
Tertiary
29
What stage of folliculogenesis is this
Mature/Graffian
30