Exam 2 Flashcards

(45 cards)

1
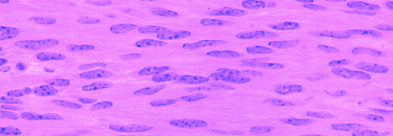
Q

What type of muscle is this?

A

Smooth muscle

How well did you know this?
1
Not at all
2
3
4
5
Perfectly
1
Q

What kind of artery is this

A

Elastic

How well did you know this?
1
Not at all
2
3
4
5
Perfectly
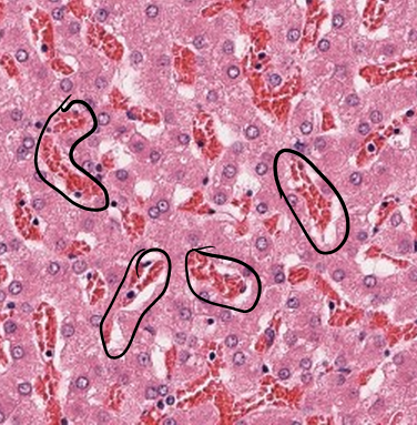
2
Q

What is circled in this picture

A

Discontinuous Sinosoids (in capillary)

How well did you know this?
1
Not at all
2
3
4
5
Perfectly
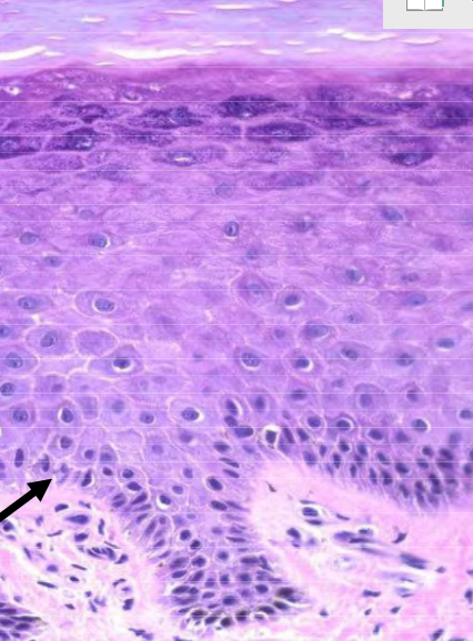
2
Q

What layer is indicated by the arrow

A

stratum basale

How well did you know this?
1
Not at all
2
3
4
5
Perfectly
3
Q

What kind of capillaries are these

A

Discontinuous

How well did you know this?
1
Not at all
2
3
4
5
Perfectly
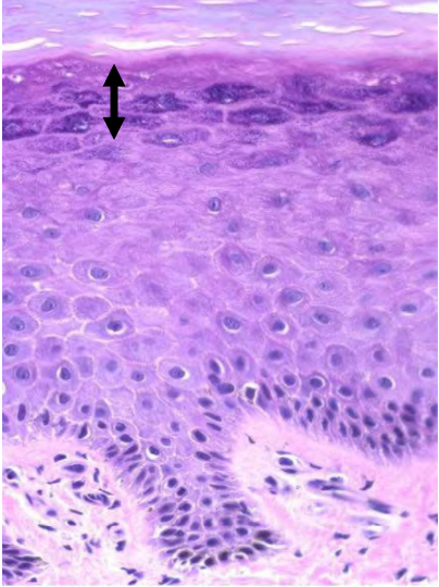
3
Q

What is indicated by the arrow

A

stratum granulosum

How well did you know this?
1
Not at all
2
3
4
5
Perfectly
4
Q

Which one is the artery and which one is the vein

A

Big muscle one is artery, little one is vein

How well did you know this?
1
Not at all
2
3
4
5
Perfectly
4
Q

What type of capillary is this

A

Continuous

How well did you know this?
1
Not at all
2
3
4
5
Perfectly
5
Q

What is the name of the granueles present in the skin

A

keratohylanin

How well did you know this?
1
Not at all
2
3
4
5
Perfectly
6
Q

Know why one side is the left and why one side is the right

A

L=thicker

How well did you know this?
1
Not at all
2
3
4
5
Perfectly
8
Q

Located in sperm- what kind of cells are present?

A

Sertoli Cells

How well did you know this?
1
Not at all
2
3
4
5
Perfectly
9
Q

Label the caridac structres from left to right

A

epicardium, myocardium, endocardium

How well did you know this?
1
Not at all
2
3
4
5
Perfectly
9
Q

What kind of cardiac vessel is this

A

ateriole with 3 layers around it

How well did you know this?
1
Not at all
2
3
4
5
Perfectly
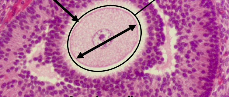
11
Q

What stage of folliculogenesis is this?

A

Tertiary Follicle

How well did you know this?
1
Not at all
2
3
4
5
Perfectly
12
Q

What are the arrows indicated from top to bottom

A

papillary and reticular cells

How well did you know this?
1
Not at all
2
3
4
5
Perfectly
14
Q

What muscle is this located in? What is the arrows pointing to

A

Cardiac muscle, ANP (atrail natiuretic peptide)

How well did you know this?
1
Not at all
2
3
4
5
Perfectly
15
Q

Labled stuff!

A

wee

How well did you know this?
1
Not at all
2
3
4
5
Perfectly
16
Q

What type of cell is circled

A

Langerhan cell

How well did you know this?
1
Not at all
2
3
4
5
Perfectly
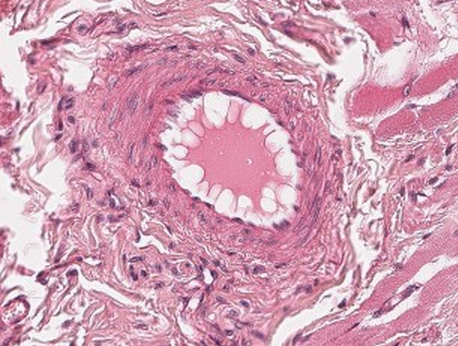
17
Q

What type of artery is this

A

muscle artery

17
Q

What is the arrows pointing to

A

Hair follicles, bulb

19
Q

What stage of Follicuogenesis is this?

A

Secondary follicle

19
Q

No question–look at the capillarys

20
Q

What kind of capillarys are these?

21
Q

What type of muscle is this? Label all 3 arrows from the top to bottom

A

Skeletal

  1. Perimysium
  2. peripheral nucleus
  3. endomysium
22
What are the circled structres. What type of muscle is this
Intercalated discs, cardiac muscle
23
What type of gland is emptying in the hair follicle
Sebacous gland
24
What layer of skin is indicated by the arrow
stratum lucidum
26
Label the cardiac muscle structures from left to right
Myocardium, Purkinje fibers, epicardium
27
Label from left to right
Tunica Adventita, media, intima
28
What is indicated by the arrow
stratum corneum
29
What are the arrows pointing to?
Seminifirous Tubes
30
What kind of cell is located here
Merkel cell
32
What is the arrow pointing to?
Zona Pellucida
33
What are the arrows point to
Lipofuscin
34
What is this a picture of?
Testie
36
What type of cardiomyocytes are these?
Left arrow=contractile cell Right arrow= conductile cell
37
Which one is a vein, which one is the artery
Vein Left, Artery Right
38
From left to right label the skin cells
malanocytes, langerhan cells
39
What type of muscle is this? Label from top to bottom.
1. Perymysium 2. Boxes= Muscle Cells 3. Perpherial nuceli 4. Endomysium
40
What is the arrow pointing to in the skin
Stratum spinosum desmosomes
41
What layer of skin is this
Stratum spinosum
42
What stage of folliculogeneisis is this?
Primary Oocytes with Primary Follicles
43
Label the artery and capillary
little circles with lumens are caps the bigger lumen is artery
44
Lable the structures
A. Vein B. Lymphatic C. Artery
45