Exam2Lec5EarMicroscopyPics Flashcards

(15 cards)

1
Q

What is #1-5?

A
  1. Macula
  2. Utricle w/ endolymph
  3. otoconia
  4. othilic membrane
  5. hair cells
How well did you know this?
1
Not at all
2
3
4
5
Perfectly
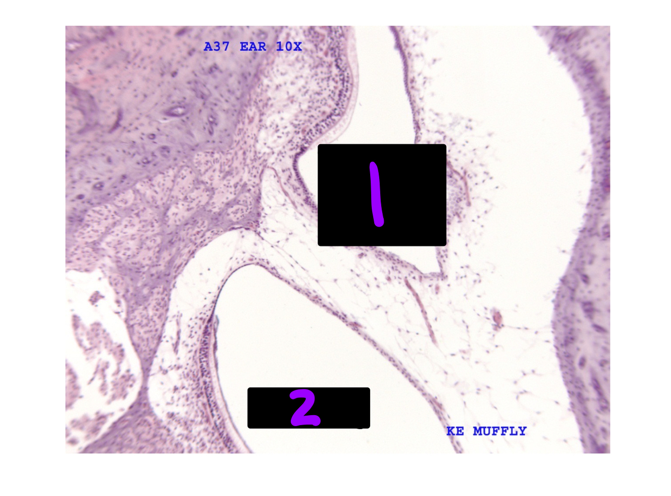
2
Q

What is #1-5?

A
  1. Scala vestibuli
  2. vestibular membrane
  3. tectorial membrane
  4. inner tunnel
  5. cochlear duct
How well did you know this?
1
Not at all
2
3
4
5
Perfectly
3
Q

What is #6-10?

A
  1. Outer tunnel
  2. stria vascularis
  3. spiral ligament
  4. inner spiral tunnel
  5. inner hair cell
How well did you know this?
1
Not at all
2
3
4
5
Perfectly
4
Q

What is #11-14?

A
  1. Outer hair cell
  2. outer pharyngeal
  3. basilar membrane
  4. scala tympani
How well did you know this?
1
Not at all
2
3
4
5
Perfectly
5
Q

What is #1 and 2?

A
  1. Utricle with endolymph
  2. Crista ampularis
How well did you know this?
1
Not at all
2
3
4
5
Perfectly
6
Q

What is #1 and 2?

A
  1. Ampula of semicircular canal with endolymph
    2.cupula
How well did you know this?
1
Not at all
2
3
4
5
Perfectly
7
Q

What is #3 and 4?

A
  1. Hair cells
  2. crista amp
How well did you know this?
1
Not at all
2
3
4
5
Perfectly
8
Q

What is #1-4?

A
  1. Outer tunnel
  2. inner tunnel
  3. tectorial membrane
  4. basilar membrane
How well did you know this?
1
Not at all
2
3
4
5
Perfectly
9
Q

What is #5-8?

A
  1. Outer phalangeal
  2. outer hair
  3. inner hair
  4. inner spiral tunnel
How well did you know this?
1
Not at all
2
3
4
5
Perfectly
10
Q

What is #1?

A
  1. Ampula of semicircular canal with crista ampullaris
  2. utricle with macula
How well did you know this?
1
Not at all
2
3
4
5
Perfectly
11
Q

What is #1?

A

Cochlear duct

How well did you know this?
1
Not at all
2
3
4
5
Perfectly
12
Q

What is #2?

A

Organ of Corti

How well did you know this?
1
Not at all
2
3
4
5
Perfectly
13
Q

What is #3?

A

Scala tympani

How well did you know this?
1
Not at all
2
3
4
5
Perfectly
14
Q

What is #4?

A

Scala vestibuli

How well did you know this?
1
Not at all
2
3
4
5
Perfectly
15
Q

What is #5?

A

Spiral ganglia

How well did you know this?
1
Not at all
2
3
4
5
Perfectly