Exam2Lec8LymphoidSystemMicroscopyPics Flashcards

(35 cards)

1
Q

What is #1?

A

1° lymphoid nodule

dark color, no germinal center

How well did you know this?
1
Not at all
2
3
4
5
Perfectly
2
Q

What is #2?

A

1° lymphoid nodule

dark color, no germinal center

How well did you know this?
1
Not at all
2
3
4
5
Perfectly
3
Q

What is #3?

A

1° lymphoid nodule

dark color, no germinal center

How well did you know this?
1
Not at all
2
3
4
5
Perfectly
4
Q

What is #4?

A

2° lymphoid nodule

light color, has a germinal center

How well did you know this?
1
Not at all
2
3
4
5
Perfectly
5
Q

What is #1?

A

2° lymphoid nodule

2° is bigger than 1°, has germinal center

How well did you know this?
1
Not at all
2
3
4
5
Perfectly
6
Q

What is #2?

A

1° lymphoid nodule

1° is smaller than 2°, no germinal center

How well did you know this?
1
Not at all
2
3
4
5
Perfectly
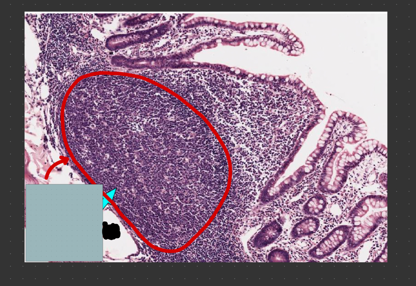
7
Q

What structure is circled in red?

A

active 2° lymphoid nodule with germinal center

How well did you know this?
1
Not at all
2
3
4
5
Perfectly
8
Q

What type of epithelium is the pink arrow pointing to?

A

stratified squamous epithelium

How well did you know this?
1
Not at all
2
3
4
5
Perfectly
9
Q

What structure is #1?

A

lymphatic nodule

How well did you know this?
1
Not at all
2
3
4
5
Perfectly
10
Q

What structures are #2?

A

tonsilar crypts

How well did you know this?
1
Not at all
2
3
4
5
Perfectly
11
Q

What structures are #3?

A

lymphatic nodules

How well did you know this?
1
Not at all
2
3
4
5
Perfectly
12
Q

What structure is circled in green?

A

1° lymphoid nodule (inactive) = no germinal center

How well did you know this?
1
Not at all
2
3
4
5
Perfectly
13
Q

What structure is #1?

A

white pulp

How well did you know this?
1
Not at all
2
3
4
5
Perfectly
14
Q

What structure is #2?

A

red pulp

How well did you know this?
1
Not at all
2
3
4
5
Perfectly
15
Q

What are the areas represented by RP?

A

red pulp

How well did you know this?
1
Not at all
2
3
4
5
Perfectly
16
Q

What structure is #3?

17
Q

What structure is #4?

18
Q

What structure is #5?

19
Q

What structure is #6 (pink arrow)?

20
Q

What structure is circled in green?

A

central artery

21
Q

What structure is #7?

A

trabecular vein

22
Q

What structure is #8?

23
Q

What structure is #9?

24
Q

What structure is #10?

25
**What are the areas represented by WP?**
white pulp
26
What is #1?
white pulp
27
What is #2?
PALS
28
What is #3?
germinal center
29
What is #4?
marginal zone
30
What is #5?
central artery
31
What is #6?
red pulp
32
**What is #1 & #7 (same structure)?**
lymphatic nodule
33
**What is #2?**
red pulp
34
**What is #3?**
germinal center
35
**What is #4?**
marginal zone