vad ingår i inspektion
Se hur patienten går, även om den kan göra häl och tå-gång.
Se även efter:
Palpation
Skelett
Leder
Palpation
Skelett
Leder
Fotled, lisfranc led mellan tarsal och metatarsal, samt MTP1 för gikt.
viktiga lig att ha koll på
FTA-ligamentet (framför laterala malleolen) –
Även bra att känna medialt och på planterfascian för hälsporre.
Rörlighet
muskler att kunna
Tibialis anterior och posterior är supinationer. Medan proneus longus och brevis är pronatorer.
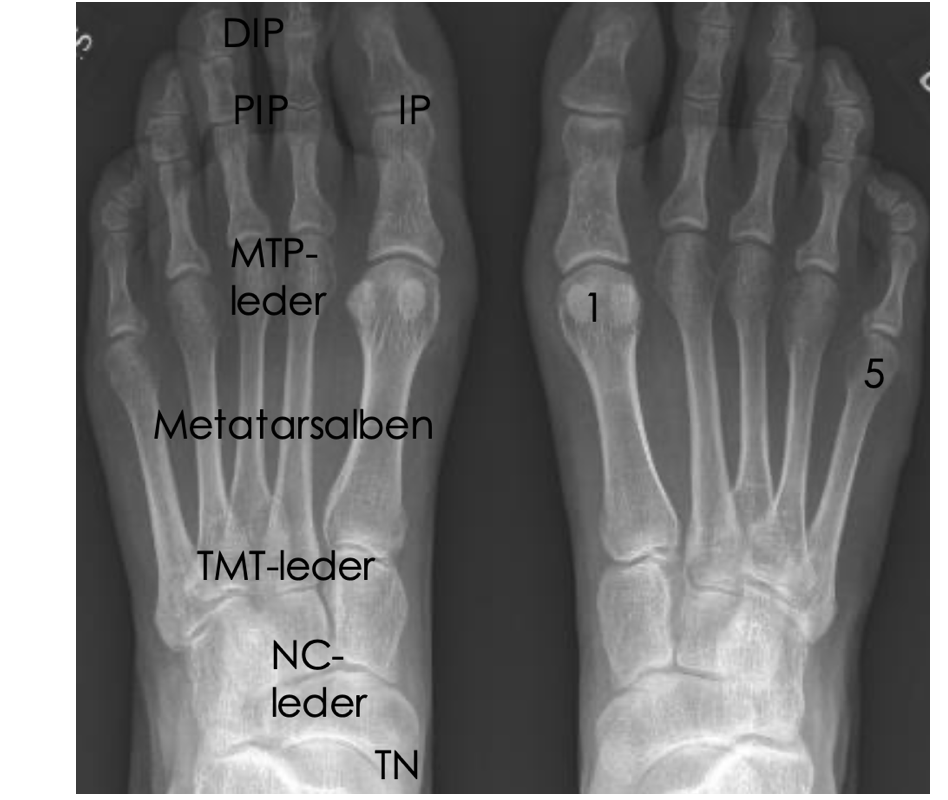
vad heter alla leder i benet?
Subtalarleder
NC-leder = naviculare-cuneiforme-led
TMT-leder = tarsometatarsallederna
Stortåns grundled: MTP1 = metatarsofalangealled 1
MTP 2-5 = metatarsofalangeallederna
Tåleder = PIP (proximal interfalangealled) och DIP (distal interfalangealled)

anatomi fot från sidan

vad är lisfrank

vad är thoms och tinels test?
även gaffel
Thompsons test
Tineles test
Perkutera n.tibialis över mediala malleolen för tunnelsyndrom.
Gaffelstabilitet