What is the molecular basis of Pick’s disease?
What are the gross neuropathological features of Pick’s disease?
Pick’s disease is characterised by fronto-temporal atrophy, and so is the most commonly-associated condition when people refer to fronto-temporal dementia. Quite a severe atrophy usually, to the extent that sometimes described as knife-edge as the gyri have shrunk so much.
What are the microscopic neuropathalogical features of Pick’s Disease?
At a microscopic level we see marked gliosis and significant neuronal loss. Markers of the disease include:
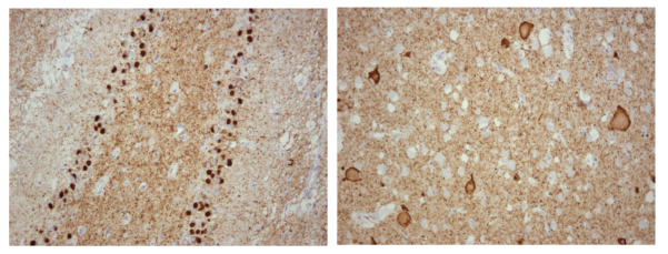
Left – hippocampus (laminar structure, so hippocampus) - Black dots are pick bodies. Right – large, inflated, balloon neurones. Note: Pick’s disease has neuronal inclusions, not glial inclusions, but there is a marked gliosis

What syndromes are characterised by both 3R and 4R taupoathy?
FTDP-17 (Frontotemporal Dementia with Parkinsonsim) syndromes. There are a whole series of tau mutations caused by mutations in chromosome 17.
What is the molecular basis of Progranulin-associated PTLDs?
Tau Negative but Ubiquitin positive.
There are a whole series of frontotemporal dementias with neuronal inclusions, but no tau. Mutations in progranulin cause Tau negative frontotemporal dementia linked to chromosome 17. The progranulin gene is close to tau.
What are the gross neuropathological features of Progranulin-associated FTLDs?
What are the microscopic neuropathological changes of with Progranulin-associated FTLDs?
One brain section was stained with ubiquitin (standard stain for abnormal intracellular protein inclusions for all kinds of diseases) and they found that the pathology was quite unique and included:

What are the clinical features of Progranulin-associated FTLDs?
We can map the progression of progranulin-associated FTLD.
Describe the categorisation of tau-negative FTLDs
