How was Parkinson’s Disease originally described?
Shaking palsy (paralysis agitans) Involuntary motion, with lessened muscular power, in parts not in action even when supported, with propensity to bend the trunk forward, and to pass from a walking to a running pace: the senses and the intellect being uninjured” James Parkinson (1817) Essay on the Shaking Palsy. Turns out he was actually quite accurate, except for the ‘senses and intellect being uninjured’.
What is the epidemiology of Parkinson’s Disease?
Confounders: Parkinsonism, essential tremor, comorbidity in elderly, neuroleptic drugs
Identify the key neuropathological features of Parkinson’s disease (PD)
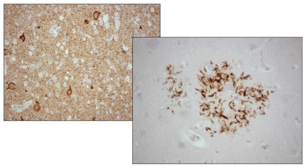
What are Lewy Bodies and Lewy Neurites?
A lewy body is a hyaline (smooth) circular inclusions in the neuronal cell bodies - it is a large lump of protein (α-synuclein) sitting in the cell. They pick up the pink eosinophil stains very easily and are therefore described as lamellated eosinophilic cytoplasmic inclusions. A lewy neurite is this accumulation of granular material and abnormal α-synuclein filaments, in a neurone’s neurite (a projection from the cell body). Both are found in α-synucleinopathies such as dementia with Lewy bodies, Parkinson’s disease, and multiple system atrophy.
What is the function of α-synuclein?
α-synuclein is a member of the human synuclein family along with β- synuclein and γ-synuclein. It is abundant in the brain. It has an unknown physiological function but may be involved in the regulation of synaptic plasticity and neurotransmitter release (due to its presynaptic location).
Neuritic Dystrophy Hypothesis of Lewy Neurodegeneration?
Normally, α-synuclein is transported to synaptic terminals. In the neuritic dystrophy hypothesis, normal (soluble) α-synuclein transforms into (insoluble) β-pleated sheet form. This then builds up accumulates in mitochondria and vesicles, and eventually disrupts neurofilaments and microtubules, blocking axonal transport. Eventually resulting in neuronal death.

What is Braak staging of PD based on?
These stages are based on Lewy body localisation. It suggests that Lewy body pathology does not begin in substantia nigra. The first pathology appears to begins in dorsal motor nucleus of glossopharyngeal and vagus nerves, anterior olfactory nucleus, and enteric nerve cell plexus. The pathology proceeds in rostral direction toward neocortex.
What is the difference between Parkinson’s Disease Dementia (PDD) and Dementia with Lewy Bodies (DLB)?
Parkinson’s Disease Dementia (PDD) is dementia resulting from PD.
Lewy Body Dementia (LBD, Dementia with Lewy Bodies) is dementia that precedes, or occurs within 1 year from motor symptoms. It involves mostly cortex pathology without subcortical involvement – there is great debate whether it is a different disease or not. Is this 1 year cut-off arbitrary?
Describe the Braak Staging of Parkinson’s Disease Pathology, and roughly to what symptoms they produce.
Based on a progressive model from brainstem to neocortex:
Stage 1-2 are not associated with motor signs. May lose sense of smell. Stage 3 is associated with motor signs. Stage 4-6 is associated with cognitive and emotional signs.

What are the problems with Braak staging?
Progression of PD does not always comply with this model.
Others (including Prof Gentleman) have suggested that the dorsal motor nucleus of the vagus is not an obligatory trigger site of Parkinson’s disease, as it isn’t always affected.
Some suggest that it begins in the peripheral ganglia, as α-synuclein pathology can be found in the epicardial nerve fascicles and paravertebral sympathetic ganglia.
Others suggest it could be in the in the anterior olivary nucleus of the nerves originating from the nose.
What mechanism tries to explain how environmnetal triggers can cause PD?
Retrograde transport from gut, and airborne through nose are the 2 main entry sites to the brain. This supports theories that suggest such neurodegenerative diseases may have a transmissible “prion-like” spread. Anosmia is a common early symptom of PD (and Alzheimer’s disease) – but not definitive. Constipation is another early symptom of PD.
What are the causes of Parkinsonism?
Note: Parkinson’s disease is the most common form of Parkinsonism (which is a spectrum of symptoms)
*Most of the P+ syndromes are difficult to diagnose clinically – so just labelled as “atypical” PD – and specific P+ syndrome is diagnosed in post-mortem.
Discuss the clinicopathological correlates of dementia in Parkinson’s disease.
Around 80% of PD patients develop dementia
This presents as abnormalities of attention, concentration, memory, word list generation, abstraction and categorisation, judgement, problem resolution, strategy formulation and visuospatial dysfunction (such as problems with visual discrimination, visual organisation, spatial orientation, drawing and angle perception) represent core features of the dementia syndrome in PD.
Note: As opposed to mainly memory problems in AD, PD mainly has frontal pathology and hence decision making (though memory can also become involved later on).
However, the underlying pathology of cognitive deficits and dementia associated with PD has been a matter of controversy, both in terms of site and type of pathology
Recent neuropathological studies have described global Aβ [amyloid- β] deposition in the striatum in Lewy body disorders, especially in Parkinson’s disease with dementia (PDD) and dementia with Lewy bodies (DLB)
However, PET studies using the 11C PIB ligand that binds to Aβ detects significant striatal pathology only in DLB, not PDD
To see why this was, immunohistochemistry was done post- mortem, found that in PDD, there was more diffuse amyloid pathology than clumps – so it was a problem with imaging in the point above.
This suggests that striatal Aβ pathology is common in both PDD and DLB, and may reflect the development of dementia in these conditions
Define the term “parkinsonism” and list the CNS disorders that may present in this way
Parkinsonism is a clinical syndrome characterized by tremor, bradykinesia, rigidity, and postural instability. Parkinsonism can be caused by:
What is MSA and it’s sub-classifications?
Multiple System Atrophy is a term covering three disorders with very similar cellular pathology, so grouped together. They are all alpha-synucleinopathies:
These are old terms used. They are now all grouped as MSA. But can be sub-classified.
Now characterised as:
What are the macroscopic neuropathological features of MSA?
What are the microscopic neuropathological features of MSA?
What is CBD?
Corticobasal Degeneration (CBD) is a progressive neurodegenerative disorder.
4R Tauopathy not alpha-synucleinopathy
What are the symptoms of CBD?
Symptoms include rigidity, clumsiness, stiffness and jerking of arm, and “alien limb”. Clinically distinguished from PD mainly due to Alien limb syndrome/phenomenon – limb moves without the consciousness of the patient – disconnect between cognition and motor movement
Affects cerebral cortex (fronto-parietal atrophy), deep cerebellar nuclei and substantia nigra
What are the neuropathological features of CBD?
Microscopically distinguished by:

What is the most common form of atypical parkinsonism?
Progressive Supranuclear Palsy (PSP)
What is PSP?
Progressive Supranuclear Palsy (PSP) is the most common form of atypical parkinsonism. PSP is also a 4R tauopathy.
What are the symptoms of PSP?
Symptoms:
What are the neuropathaological features of PSP?
PSP - Macroscopic pathology:
PSP - Microscopic pathology:
