WHat is a stroke?
•(cerebrovascular accident – CVA) = Rapidly developing clinical signs of focal (or global) disturbance of cerebral function, lasting more than 24hoyrs or leading to death, with no apparent cause other than of vascular origin. sudden interruption in the vascular supply of the brain.
What is a transient ischaemic attacks?
•TIA – Transient ischemic attack – sudden onset of focal neurologic symptoms and/or sign lasting typically <1hours, brought on by transient decrease in blood flow. Causes are same eg, atherothromboemboiusm, cardioembolism, hypervsicosity, vasculitis. Check not hypoglycaemia, migraine aura, focal epilepsy etc. Do bloods, lipids CXR, ECG, doppler, poss angiography, C. Control RFs, antiplatelet drugs, anticoag factor, carotid endarectomy qithin 2w possible. Driving stopped for at least 1m. ABDE score for emergency referral (age, BP, clinical, duration symptoms, diabetes).
SYmptoms and signs of a stroke
•Symptoms + Signs: Sudden onset, Motor weakness (face/arm/leg weakness or sensory loss), loss coordination, speech problems (dysphasia-understanding/generation language, dysarthria, dysphonia), swallowing problems, visual field defects (homonymous hemianopia), balance problems. Dynamic phenomenon. Loss of function. Mostly UMN lesion but these symptoms aren’t immediate– so tone usually increases but this is gradual, brisk reflexes, clonus,
Cerebral hemisphere infarct symptoms
– Contralateral hemiplegia (flaccid then spastic), contralateral sensory loss, homonymous hemianopia, dysphasia
Brainstem infarct symptom
•– may result in more severe symptoms including quadriplegia and lock in syndrome.
Haemorrhages - signs/symptoms generally
•more likely to have decrease in level of consciousness, headache, nausea and vomiting.
Ischaemi vs haemorrhagic stroke

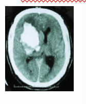
What is this

Intracerebral ahemorrhage
WHta is a TACI?
PACI
Lacunar infarct
Posteiror ciruclation infarct:
Vertebrobasillar arteries
1 of following:
Symptoms of anterior cerebral artery stroke
Contralateral hemiparesis and snesory loss, lower extremity >upper
Symptoms middle cerebral artery stroke
Posterir cerebral artery stroke symptoms
Contralateral homonymous hemianopia wit muscular sparing. Visual agnosia
Webers syndrome (branches of posterior cerebral artery that supply midbrain)
Ipsilateral CN III palsy
Contralateral weakness of upper an dlower extremities
Posterior inferior cerebellar artery stroke (lateral medullar syndrome, wallenberg syndrome)
Ipsilateral: facial pain and temp loss
Contralateral limb/torso pain and temp looss
Atai, nystagmus
Anterior inferior cerebellar artery (lateral pontine syndrome) stroke symtpoms
SYmptoms similar to Wallenbers but ipsilateral facia apralyis and deafness
Retinal/opthalmic artery stroke
Amaurosis fugac
Basilar artery storke symptoms
Locked in syndrome
Investigations in stroke
Subarachnoid vs subdural vs epidural on CT

Management of strokes
•Management: maintain homeostasis (blood glucose, bp), screen swallow, ct/mri within 1hour, antiplatelets, thrombolysis, thrombectomy. .
•Ischaemic – thrombolysis if criteria met. Within 4.5 presentation, no previous ICH, uncontrolled hypertension, pregnant etc. Once hemorrhagic excluded then 300mg aspirin ASAP and continue antiplatelet therapy.
•TIA = <24h. Give aspirin 300mg immediately unless contraindicated (if taking anticoag etc or exclude haemorrhage). If has had more than 1 TIA or cardioembolic source or severe carotid stenosis then discuss admission with storke specialist. If within last 7days suspected then urgen assess with stroke Dr within 24hrs and if more than a week ago then specialist assessment within 7days if possible with stroke Dr
•Haemorrhagic stroke – neurosurgical consultation. Most not suitable for surgery. So supportive Tx. Anticoags and antithrombotics should be stopped to minimize bleeding. If anticoagulated then reverse as quickly as possible and try reduce BP (evidence)
Primary vs secondary prevention in strokes