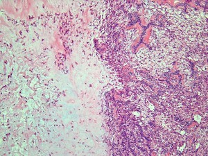
A 35 year old woman presents to her physician after a dentist appointment where the dentist discovered a mobile mass in her left parotid gland. The mass was excised and the following was discovered. What is the most likely diagnosis and treatment? What is the prognosis?

Pleomorphic adenoma of salivary gland
Histo:
Treatment:
- Surgical excision
Prognosis:

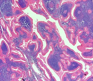
The following histologic specimen was obtained from a parotid gland mass. There was a similar mass on both parotid glands (bilateral). Based on the appearance, what is the diagnosis, treament and prognosis?

Warthin’s tumor:
Histo:
Treatment:
- Surgical excision
Prognosis:
- 4-25% recurrence due to multifocality or incomplete excision
Mucoepidermoid carcinoma
Most common malignant tumor
A 45 year old woman presents to her physician with increasing difficulty swallowing as well as trouble breathing at night. Upon barium swallow, the following is visible. What is her diagnosis and treatment?

Achalasia- esophageal dilation
Achalasia= Inability of the LES (lower esophageal sphincter) to relax after swallowing, resulting in periodic esophageal obstruction
Clinical: dysphagia, odynophagia, regurgitation, increased risk for squamous cell carcinoma
Histo: reduction/absence of myenteric ganglion cells
Barium swallow= see smoothly tapered distal end due to:
Diagnosis: barium swallow, upper endoscopy, abdominal CT, endoscopic ultrasound to rule out secondary causes (carcinoma, etc.)
Treatment: Botulinum toxin, pneumatic dilatation, surgical myotomy (laproscopic)

A 55 year old obese man reports frequent chest pain, especially after eating spicy foods or drinking coffee. What is his diagnosis based on the endoscopic exam and what are the complications of this condition?

GERD: see hyperemia, vertical linear streaks due to mucosal erosions/ulcers
Pathogenesis:
Associated symptoms: Regurgitation, pulmonary symptoms (adult-onset asthma), cough (at night), hoarseness, laryngitis, chest pain, disturbed sleep
Lab tests:
1) 24-hour ambulatory esophageal pH monitoring= gold standard (measures proximal and distal esophagus, stomach pH)
2) Endoscopy (with biopsy)- rule out other pathology, look for Barrett’s
3) Bernstein test= reproduce patient’s symptoms by infusing acid into esophagus
Complications: Esophagitis–> peptic stricture, esophageal hemorrhage, ulcer, pulmonary symptoms, Barrett’s esophagus

A 56 year old man with a history of chronic liver disease comes to the ER with hematemesis. Based on the specimens below, what is his diagnosis, what caused this anomaly, and how should he be treated?

Esophageal varices= dilatation of submucosal esophageal veins, often due to portal hypertension secondary to cirrhosis
Below: Portal hypertensive gastropathy= increased vascularity of stomach mucosa (milder form of portal HTN pathology)

A 35 year old man complains of new onset pain with swallowing. He is sexually active and states that he recently engaged in unprotected oral sex with another man. Based on the endoscopic view below, what is his diagnosis?

Herpes esophagitis: pain with swallowing (odynophagia) due to severe inflammatory process disrupting esophageal mucosa
Histo: lateral margin of ulcer: see Cowdry A intranuclear inclusions

A 30 year old man with a history of asthma goes to see his physician because of chronic symptoms of heartburn. He tells his doctor he’s tried Tums and he just finished a 3-week trial of Prilosec but his symptoms have persisted. The physician decides to perform an endoscopy- the results of which are below. What is the patient’s diagnosis and treatment?

Primary eosinophilic esophagitis
Clinical features
Dysphagia, food impaction, mimics GERD
Many pts have allergic history (asthma, etc.)
By definition, pts have normal pH monitoring levels &/or fail antireflux therapy
Histo: > 15 eosinophils/high powered field in squamous epithelium in patients lacking response to PPIs/have normal pH (to rule out GERD which also causes eosinophilia)
Treatment: dietary modification +/- corticosteroids
A 67 year old alcoholic patient presented with profusely bloody vomit to the emergency room and later expired. The following was found at autopsy. What caused this pathology?

Mallory-weiss laceration
A 40 year old woman comes to her doctor complaining of difficulty swallowing. Additionally, she has increased bruising and her periods have gotten heavier. Based on the endoscopic image below, what is her diagosis?

Esophageal web= eccentric, thin membrane of tissue in esophagus, most commonly proximal. Can cause dysphagia, aspiration
Plummer-Vinson syndrome= esophageal webs + iron deficiency anemia + glossitis; seen in women, responds to iron supplementation
An 85 year old man reports to his physician that he feels like he gets food stuck in his throat. He reports no problems swallowing (getting the food out of his mouth and down into his throat), but once in his throat it feels like it gets stuck. Based on his endoscopic exam, what is his diagnosis?

Esophageal diverticula= outpouchings of esophageal wall
True= all layers, including muscle
False= mucosa and submucosa only
Zenker’s diverticulum = false, seen in elderly, cervical esophagus
Epiphrenic diverticulum= true diverticulum, any age, just above diaphragm

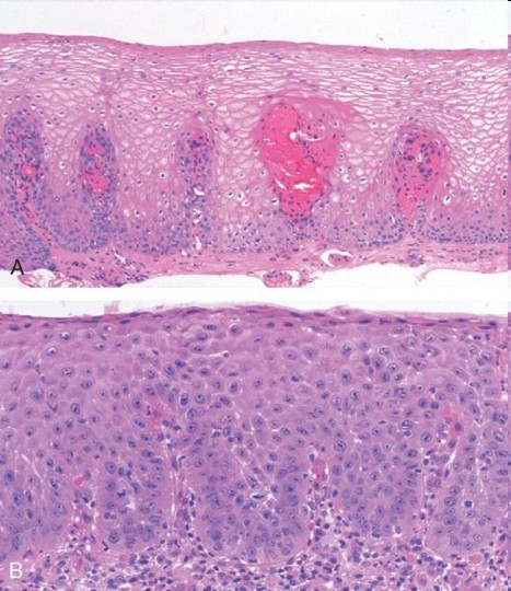
A 55 year old man has had chronic heartburn for the last 20 years that he has “managed” with tums and decreasing ingestion of spicy foods. Upon endoscopic examination, you see the following. What is his diagnosis and what other concerns might you have?

Barrett’s esophagus= Endoscopically recognizable columnar metaplasia of the esophageal mucosa that is confirmed pathologically to have intestinal metaplasia, the latter defined by goblet cells. Complication of longstanding reflux
Both the endoscopic and pathologic components should be present to establish BE
See “salmon pink tongues” (columnar metaplasia) and goblet cells in luminal esophagus= intestinal metaplasia
Below: contrast with normal GE junction: Barrett’s squamocolumnar junction (Z-line) does not correspond to gastroesophageal junction
Development of adenocarcinoma in BE= metaplasia–> dysplasia–> carcinoma sequence (50-fold increase in adenocarcinoma- 5-8% 5-year survival)
* 2% risk in BE pts W/O dysplasia
* 20% risk in BE pts W/ high-grade dysplasia (~45% low-grade dysplasia progress to high grade)

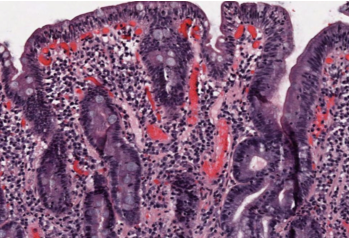
35 year old male presents with colicky abdominal pain and diarrhea 4-5 times a day for the past 2 years. What is his differential and diagnosis based on the colonoscopy image below?

Celiac sprue:
- Antibodies to gliadin
- Distal duodenum, proximal jejunem
- Loss of villi on histology
Malabsorption of:
- Vitamin K–> hemorrhagic diathesis
- Iron deficiency
- associated with dermatitis herpetiformis
- Increased risk of malignancy (T-cell lymphoma)
Labs:
Colonoscopy= celiac sprue; see small-bowel scalloping
Testing:
- Gluten-containing diet before biopsy, response to gluten-free diet
- Serology: Anti-tTG IgA (anti-tissue transglutaminase; high sensitivity, specificity), serum IgA (to rule out IgA deficiency= false negative), anti-endomysial, HLA testing of DQ2/DQ8
- Thyroid function tests
- Stool (WBCs, ova, parasites, culture)
- Colonoscopy for: colonic polyps, IBD, collagenous colitis, microscopic colitis
- Be careful with biopsies from duodenal bulb: subjected to physiologic peptic injury–> broader, shorter villi and increased PMNs in normal physiologic state
Fast patient for 48 hours: If malabsorption is suspected (steatorrhea), workup includes:

A 34 year old woman was recently in a car accident where she sustained severe trauma. She underwent surgery and had to recieve 3 units of blood. A week later during her hospital stay she reports horrible abdominal pain and begins to vomit- the vomit contains threads of blood. Based on the histologic specimen below, what is her diagnosis and what caused this? What is the treatment?

Acute erosive/hemorrhagic gastritis= Abrupt onset of ab pain & bleeding a/w ETOH, NSAIDs, or low hemodynamic state following trauma
Mechanism: Breakdown of mucosal barrier due to:
Etiologies:
Treatment: Acid-suppression (H2 blockers, PPIs)

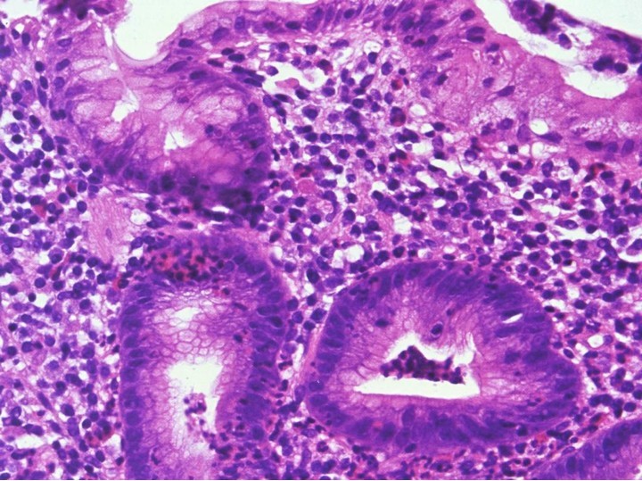
A 50-year-old man presents with recurrent GERD. He states that he has been avoiding spicy foods and doesn’t eat for at least 3 hours before going to bed, but he still has acid reflux. Based on the histologic sample below, what is his diagnosis and treatment?

H. pylori gastritis= spiral shaped organisms resting on surface of mucous layer–> secrete toxin (non-invasive organism)–> neutrophilic infiltrate in pits, crypts, and crypt lumens Seen in antrum (vs body/fundus in autoimmune gastritis)
Definition= Chronic antral-predominant gastritis caused by H. pylori (environmental atrophic gastritis- vs autoimmune)
Clinical= Associated with peptic ulcer disease (stomach & duodenum), gastric lymphoma & carcinoma
Histo: pititis, cryptitis, crypt abscesses (neutrophils= activity)
* Gastric MALT lymphoma due to H. pylori can regress after eradication of infection

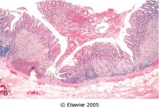
A 55 year old man presented to his physician complaining of worsening nausea and vomiting over the past several days. On physical exam, the physician noted some ascites but no other symptoms of liver disease. The patients blood panels came back normal except for decreased albumin. An endoscopic exam was performed and a sample of gastric tissue was taken (below)- what is the patient’s diagnosis?

Menetrier’s disease: hyperplastic gastropathy
Definition= Body & fundus-restricted hyperplasia of foveolar (mucous cell) epithelium with hypoproteinemia
Clinical= decreased plasma proteins (albumin) from gastric mucosa, decreased acid production
Pathogenesis= TFG-alpha overexpression
Gross= Markedly thickened rugal folds in fundus & body (resembling brain)- looks grossly identical to Zollinger-Ellison
Microscopic= Foveolar (mucous cell) hyperplasia–> corkscrewing

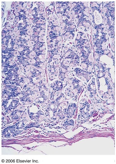
A 35 year old man comes into your office complaining of recurrent symptoms of heartburn and right upper quadrant pain. Additionally, he has been having diarrhea that is seemingly unrelated to food intake (even after he stops eating for a day, he continues to have symptoms). He appears dehydrated and his blood labs reveal hyponatremia. Based on the histologic specimen of the antrum below, what is his diagnosis?

Zollinger-Ellison Syndrome=
Hypergastrinemia usually due to a gastrinoma (a gastrin-secreting neuroendocrine tumor) in either the pancreas, duodenum, or antrum
Microscopic
Fundic expansion with increased parietal cells (in contrast to mucous cell hyperplasia in Ménétrier’s disease)

17 year old male presents with lower right quadrant abdominal pain, arthralgias, uveitis, rash on his shins, and bloody diarrhea 6-8 times daily. What is his differential diagnosis, diagnosis based on colonoscopy, and treatment?

Crohn disease: 3 types:
1. Inflammatory: fever, anorexia, weight loss, diarrhea +/- blood, abdominal pain, arthralgias, fatigue
Extra-intestinal manifestations: polyarticular arthropathy, uveitis, rashes
Colon involvement:
Patchy “skip” lesions, rectal sparing (not always)
Rule of Thirds (approx. 30% each)
Much less common in esophagus or gastroduodenal (except in pediatric pts)
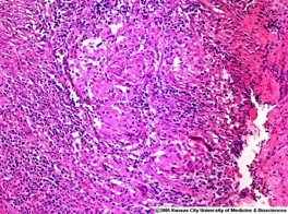
27 year-old male has a history of longstanding abdominal pain and diarrhea. What is the histologic finding below indicative of?

Crohn Disease non-caseating granuloma
Disordered immune response to intestinal bacteria:
Extraintestinal manifestations:
- migratory polyarthritis, erythema nodosum, ankylosing spondylitis, uveitis, Oxalate kidney stones (low calcium reabsorption–> oxalate crystal formation)
Labs:
- HLA-DR1, NOD2 (epithelial cells, leukocytes oversecrete NF-kappaB)
A 32 year old woman presents to her physician with a history of chronic diarrhea. A colonscopy reveals chronic inflammation in different portions of her bowel, including her terminal ileum. Based on the gross specimen below, what is the differential diagnosis? Based on her symptoms, what is her likely diagnosis?

Strictures caused by: chronic ischemia, cancer or Crohn disease
Crohn stricture: transmural strictures, fissures, creeping fat, abscesses; seen in terminal ileum, skip lesions, rectum spared, can affect ANY part of columnar GI tract

Crohn disease: string sign
* Yersinia infection can mimic Crohn Disease

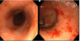
A 25 year old man comes to his physician with a history of alternating diarrhea and constipation as well as lower abdominal pain. The symptoms have resolved somewhat over the past few months, but there is still blood in his stool and the physician decides to perform a colonoscopy which reveals the following. What is his diagnosis?

Ulcerative Colitis: Lead pipe colon (loss of Haustral folds)- seen in quiescent disease)
Symptoms:
Associated with HLA-DR2 phenotype
*Increased risk of colon cancer: colectomy with signs of dysplasia on colon biopsy
Features of chronicity in IBD:

A 35 year old man with a 15 year history of ulcerative colitis comes to his physician complaining of a gradual onset of constipation. Every few days he will have large bowel movements and then nothing for several days, which is a large change from his usual frequency due to his UC. Based on the surgical findings below, what is his diagnosis?

Ulcerative colitis Toxic Megacolon: in severe cases of UC, there is a complete shutdown of NM function–> toxic megacolon

Ulcerative colitis: pseudopolyps
