Deep venous thrombosis–> pulmonary embolism
Causes:
Incidence: General population= 1%; hospitalized= 30%
Outcome of small pulmonary emboli (60-80% of all emboli)
Outcome of middle-size emboli (below):
PULMONARY INFARCTION
- Hemorrhagic
- pleural-based
- wedged-shaped
- fibrinous exudate on pleural surface
- form contracted scar with resolution
- predominantly lower lobes
Hemorrhagic infarction due to dual blood supply (vs renal infarct–> whitens tissue b/c sole blood supply cut off)
Outcome;
Prognosis: Two-thirds of PE not diagnosed, even when fatal
- Mortality rate reduced to 5-10% with treatment
Treatment: Improvement without treatment due to fibrinolysis and contraction of thrombus
- Treatment with fibrinolytic agents ASAP
- Early diagnostic tools: perfusion lung scan, pulmonary angiography
Pulmonary embolism
FIRST AID:
Sudden-onset symptoms:
- Chest pain
- tachypnea–> respiratory alkalosis
- dyspnea
- hemoptysis
- unremarkable chest x-ray; use CT to diagnose
Types:
- Most common= Femoral vein thrombosis
- pelvic vein, foreign body, bone marrow, amniotic fluid (–>post-partum DIC), air emboli
- Fat= bone fractures, liposuction–> hypoxemia, neurologic abnormalities, petechial rash
** Determine if thrombus was pre or post-mortem: pre-mortem should have lines of Zahn= pink (platelets + fibrin) + red (RBCs)
No change in ventilation (normal PFTs)
Tachypnea–> respiratory alkalosis
Large emboli= saddle embolus–> sudden death due to cardiovascular collapse (repeated small emboli can have same effect as large emboli)
Pathology: pulmonary artery completely occluded by large embolus
Incidence: General population= 1%; hospitalized= 30%
A 65 year old man with a 40 year history of smoking comes to your office. You notice that he appears slightly cyanotic (bluish lips) and there is some swelling of his extremities. He is in your office due to a persistant cough after a cold that “just won’t go away”. On auscultation he has early crackles (large airway involvement). What is his diagnosis and what is the treatment?
Chronic bronchitis= “blue bloater”; persistant cough with sputum production for three months in at least 2 consecutive years
- Reid index= thickness of gland layer/total thickness of bronchial wall > 50% (40%= normal)
- Mucous gland hypertrophy/hypersecretion
Symptoms: wheezing, crackles, cyanosis (early onset hypoxemia due to shunting), late-onset dyspnea; RV dilation, elevated JVP
- decreased FEV1/FVC ratio (FEV1 decreases more)
Symptoms:
Treatment:
Path:
Histo:
Histo: normal lung tissue with areas of dilated alveolar space
- pieces of alveolar wall not connected anywhere else (free-floating)
Vs Panacinar emphysema (Below):
- all portions of acinus
- lower basal zones (seen in lower lobes)
- More homogenous distribution than centiacinar
Etiology:
- alpha-1-antitrypsin deficiency (PiZZ or Pi null)
- worse in smokers
Treatment: liver transplant cures alpha-1-antitrypsin deficiency
A 5-year old girl is taken to the physician by her mother for new onset shortness of breath. She also has watery eyes and persistant sneezing. The symptoms get worse when she goes outside to play with her dogs. Her mother says she has been giving her daughter children’s benedryl, but she started wheezing today and was having enough difficulty breathing that she considered taking her to the emergency room. The daughter currently appears to be in no acute distress and upon auscultation the physician does not hear any abnormal lung sounds. There are no obstructions in her mouth or throat. Based on a histologic sample from another person, what might this girl have and how can the physician test for it? What is the treatment?
Extrinsic (Atopic) Asthma: paroxysmal contraction of bronchial smooth muscle in response to various stimuli–> increased mucous secretion, reversible airway narrowing (obstructive lung disease)
FIRST AID:
- Curschmann’s spirals (whorled mucous plugs)
- Charcot-Leyden crystals (debris of eosin)
* NO NEED TO BIOPSY- diagnosis based on function tests, methacholine challenge testing
- Overinflated lungs; patchy atelectasis; airways with mucous plugs
- Pulsus paradoxus= large (>10 mm Hg) drop in BP on inspiration
Can be intrinsic or extrinsic, exacerbated by cold, stress, exercise
Clinical manifestations:
Treatment:
Gross:
- Overinflated lungs; patchy atelectasis; airways with mucous plugs
Histopathology:
- Edema
- Inflammation with eosinophils (bronchitis-olitis)
- Hypertrophy of smooth muscle and mucous glands
- Curschmann’s spirals (whorled mucous plugs)
- Charcot-Leyden crystals (debris of eosin. Membranes)
A 35 year old woman with a history of cystic fibrosis presents to the emergency room after her husband noticed she seemed to have increased confusion and disorientation. Additionally she had a spiking fever. Her symptoms of CF had worsened over the past few days but she had not been able to get in to see her physician due to work. On auscultation, she had mid-inspiratory crackles. Based on a gross specimen below, what is her diagnosis?
Bronchiectasis:
FIRST AID:
- chronic necrotizing infection affecting bronchi and bronchioles–> leads to abnormal dilatation of airways.
- Basal segments most affected (worst drainage)
Causes:chronic necrotizing infection:
- Adenovirus, RSV infection
- Inherited: CF, dyskinetic ciliary syndrome (Kartagener syndrome), hypogammaglobulinemia- all states allow infection proliferation within air spaces
- Acquired: neurologic (swallowing, loss of cough reflex), smoking, allergic bronchopulmonary aspergillosis
Clinical manifestations:
- Clubbing of fingers
- Cough
- Mid-inspiratory crackles
- Fever
- Abundant purulent sputum
- Obstructive respiratory insufficiency
dyspnea/cyanosis
- Cor-pulmonale
- Metastatic brain abscesses - necrotizing infection moves to brain (first exclusion in brain abscess= bronchiectasis)
- Amyloidosis- amyloid deposition around vessels
Histopath:
Below: mucous material, debris fills dilated airway
Coal-workers pneumoconiosis (anthraocosis)
Anthracosis= accumulation of coal dust in lungs, pleura, lymph nodes
- No significant reaction
- Smokers/urban dwellers
Chronic inhalation of coal dust–> anthracosis
Simple silicosis (chronic)
Caused by inhalation of crystalline silica (usually quartz)
CXR:
Clincal presentation:
- Acute: a few weeks to a few years after the initial exposure
- Chronic: 10 to 30 years after first exposure
- Accelerated: within 10 years of initial exposure
Dose and duration of exposure important
Symptoms variable (PFT)
Associations/complications:
Diagnosis:
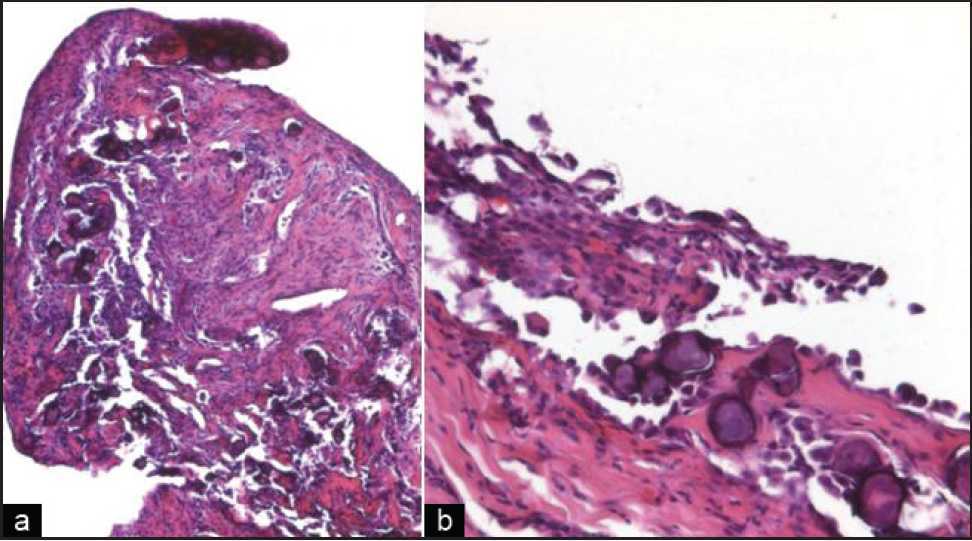
Asbestosis
“unquenchable disease”
Spectrum:
- Asbestos–> fibrosis (below)
- Pleural disease–> plaques and effusion
- Rounded atelectasis
- Malignancy: lung cancer, mesothelioma
Causes:
- Mining and milling of fibers, textiles, cement, insulation, shipbuilding; spouses clothes
Clinical presentation:
- 30-40 years post-exposure (pleural effusions 15 years post): dyspnea on exertion
Benign asbestos pleural effusion (BAPE)
Complications of asbestos:
Histo:
- Granuloma with ferruginous bodies (below)
* No medical therapy for asbestos-related pulmonary disease

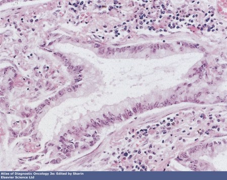
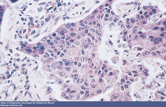
Adenocarcinoma of the lung:
Peripheral location
Most common lung cancer in non-smokers and females
Histo: Well differentiated–> see glands

Histo:
- growth along alveolar septa–> thickening of walls


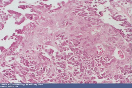
Histo:
- Keratin pearls, intracellular bridges


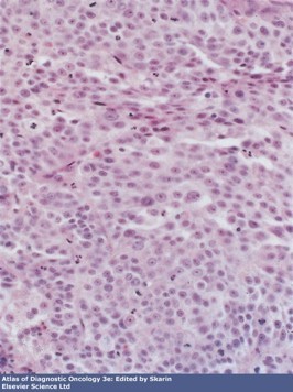
Histo
- Kulchitsy cells= small dark blue cells (primitive cells of basal bronchial epithelium)


Histo: pleomorphic giant cells

A 57 year old woman presents to her physician complaining of issues breathing. She has no recent infections or illnesses and she is a lifelong non-smoking. Additionally she complains of recurrent bouts of diarrhea that don’t seem to vary based on her diet. Based on her symptoms and the lung biopsy below, what is her diagnosis?

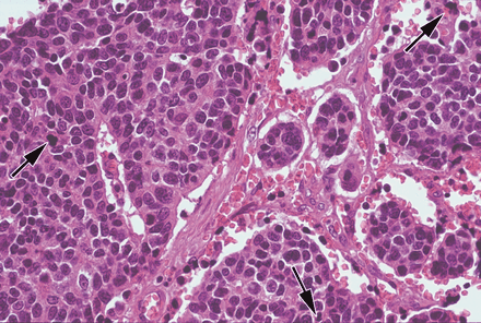
Bronchial carcinoid tumor
Excellent prognosis, rare mets
Symptoms:
Histo: nests of neuroendocrine cells; chromogranin, synaptohysin, neuron-specific enolase positive
A 75 year old retired shipbuilder passes away after developing progressively worsening breathing problems. At autopsy, his lungs are examined and reveal the following. What is his diagnosis and what might be seen histologically?


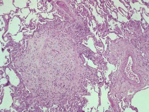
A 60 year old man with a collection of exotic birds presents to his physician because of progressive dyspnea and cough. On physical exam, he has diffuse upper lobe crackles. A biopsy of his lung reveals the following changes- what is his diagnosis and treatment?

Hypersensitivity pneumonitis: bronchiolitis obliterans organizing pneumonia (BOOP)
Extrinsic allergic alveolitis= cell-mediated (Type III/IV hypersensitivity) reaction to inhaled antigens
Acute disease: dyspnea, chest pain, fevers, chills, productive cough
Chronic disease: insiduous, dyspnea, cough, fibrosis
Organic antigens:
Diagnosis: serm precipitins, pathology, history of exposure (presents like ILD)
Histo:
Treatment: steroids (symptomatic), antigen avoidance

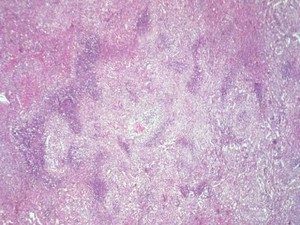
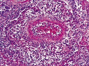
A 50 year old woman presents with glomerulonephritis as well as lesions on her nose. She has just noticed that when she coughs there is some blood. Based on the histologic specimen of her lung below, what is her diagnosis and treatment?

Wegener granulomatosis
Granulomatous vasculitis involving upper and lower respiratory tract and kidney
Diagnosis: C-ANCA autoantibody
Treatment: Steroids, immunosuppresive drugs
A 45 year old man presents to his phyisician with persistant asthma. A blood panel reveals elevated peripheral eosinophils. After ruling out a parasitic infection, a biopsy is performed. Based image below, what is the diagnosis and treatment?

Churg-Strauss syndrome: can cause diffuse pulmonary hemorrhage
Systemic vasculitis, often associated with Asthma
Treatment: Steroids
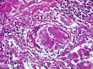
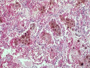
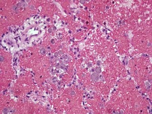
A 50-year old man suffered from an acute respiratory viral illness 6 months ago and is currently being treated for renal failure. Now he has developed an interstitial pneumonia. Based on the histology below, what is his diagnosis?

Goodpasture syndrome–> acute pulmonary hemorrhage (below)
