What is the cause of the pathology shown below?

This is a cleft lip and palate. This is due to failure of facial prominences to fuse.
A 47 year old female present to the clinic with the lesion shown below in her cheek. She is a lawyer and gets these often and they tend to go away after a few days. What is your diagnosis?

Aphthous ulcer. Note the grayish base (granulation tissue) surrounded by erythema. These tend to arise due to stress and resolve spontaneously.
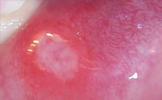
A 47 year old female present to the clinic with the lesion shown below in her cheek. She is a lawyer and gets these often and they tend to go away after a few days. You diagnose her with Behçet Syndrome. What would lead you to diagnose her with this condition?

Behçet Syndrome is the triad of recurrent apthous ulcers, genital ulcers and uveitis. It is due to immune complex vasculitis involving small blood vessels.
What causes Behçet Syndrome?
Unknown etiology. May sometimes be seen after a viral infection.
A 29 year old man presents with the shallow, painful, red ulcer shown below. How did he get this honker on his lip?

He has oral herpes. It is usually due to HSV-1 infection during childhood that remains latent in the trigeminal ganglia. Sunlight or stress can cause reactivation of the virus and cause the cold sore seen in our friend.
A 66 year old man presents with erythroplakia in his mouth. History reveals smoking and chronic alcohol abuse. Where is the most likely location you will find leukoplakia?
Erythroplakia is a precursor to squamous cell carcinoma because is indicates squamous cell dysplasia. Oral squamous cell carcinoma is most commonly found in the floor of the mouth.
A patient presents with a white shaggy patch on the lateral aspect of the tongue. You cannot scrape it away. What is your most likely diagnosis?
Shaggy leukoplakia from EBV infection in an immunocompromised individual. If the patient had leukoplakia on the floor of the mouth you would be thinking squamous cell carcinoma. If you could scrape the plaque away you would be thinking oral thrush (oral candidiasis)

A 16 year old boy presents with bilateral inflamed parotid glands. What is your main concern in treating this patient?
Mumps presents with bilaterally inflamed parotid glands. The virus can also cause orchitis in teenagers which may result in sterility.
A 10 year old girl presents with bilaterally inflamed parotid glands and stomach pain. She also has a terrible headache and neck stiffness. Labs reveal an elevated serum amylase. What is causing her condition?
Mumps presents with bilaterally inflamed parotid glands and can also cause aseptic meningitis and pancreatitis. Her serum amylase is elevated due to increased activity of the parotid glands or the pancreas, both can be elevated by mumps.
A 66 year old man presents with right sided sublingual salivary gland inflammation. What is most likely causing his condition?
He has sialadenitis, characterized by unilateral blockade of salivary gland by a stone and subsequent S. Aureus infection.
A 73 year old woman presents with a mobile, painless, circumscribed mass at the angle of her jaw. It is excised, but comes back when she is 75 years old. What is causing her condition?
She has a benign pleomorphic adenoma. This is the most common tumor of the parotid gland. It has a high rate of recurrence due to irregular borders.
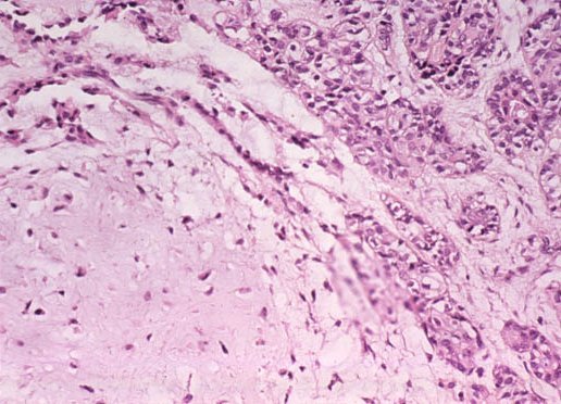
What would you expect to see on microscopic examination of the parotid tumor shown below?

This is a pleomorphic adenoma, characterized by stromal (cartilage) and epithelial (glands) tissue.

A 73 year old woman presented with a mobile, painless, circumscribed mass at the angle of her left jaw. She has had it for 10 years and decides to not have it removed. She comes back when she is 75 years old and now complains of weakness on the left side of her face. What is your diagnosis?
Rarely, pleomorphic adenomas can transform from a benign tumor to a malignant tumor. Facial nerve involvement indicates infiltration of the parotid gland and malignancy.
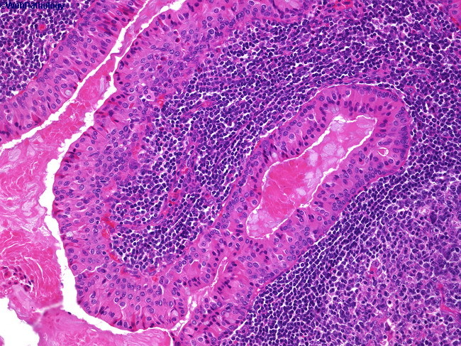
A 53 year old man presents with a mass in the parotid gland. You biopsy it and diagnose him with the second most common salivary gland tumor. What did you see on biopsy?
He has a Warthin tumor. This is characterized by a benign cystic tumor with abundant lymphocytes and germinal centers (like a lymph node).

A 44 year old woman presents with a 2 month history of a mass in her parotid gland. She decided to get it checked out because she can no longer drink water without spilling on herself. What would you expect to see on microscopic examination of the parotid mass?
Mucoepidermoid carcinoma. This is a malignant tumor of the parotid gland that typically causes facial nerve damage. You would see mutinous and squamous cells in the tumor.

What are the 4 common clinical presentations in patients with the condition shown below?

This is a tracheo-esophageal fistula. This will present with 1) vomiting from food getting stuck in the proximal atretic esophagus, 2) polyhydramnios from the fetus not being able to recycle amniotic fluid, 3) aspiration from gastric acid coming up the distal esophagus into trachea and 4) abdominal distention from tracheal air flowing into the distal esophagus and on to the stomach.

You go to the doctor because whenever you eat pancakes or sandwiches, you feel like food gets stuck if you don’t have a drink to wash it down with. What might you have?
An esophageal web. This presents with dysphagia for poorly chewed food because a thin protrusion of esophageal mucosa catches some of the food.
You go to the doctor because whenever you eat pancakes or sandwiches, you feel like food gets stuck if you don’t have a drink to wash it down with. Labs reveal severe iron deficiency anemia. What other clinical finding is the doctor likely to have?
Plummer-Vinson syndrome is characterized by severe iron deficiency anemia, an esophageal web and a beefy-red tongue due to atrophic glossitis.
A patient presents complaining of dysphagia when eating food and really bad breath (halitosis). What acquired defect could be causing this?
Zenker Diverticulum (false diverticulum). This happens when there is an abnormality swallowing, causing an out pouching of pharyngeal mucosa through the muscular wall in the pharynx, just above the esophageal sphincter. Food gets trapped in there causing dysphagia and halitosis.

A 37 year old woman presents with painful hematemesis. She has a history of alcohol abuse and bulimia. What is causing her symptoms?
She has Mallory-Weiss syndrome characterized by persistent vomiting from bulimia and alcoholism, creating a linear longitudinal laceration of the mucosa at the GE junction.
A 37 year old woman presents with painful hematemesis. She has a history of alcohol abuse and bulimia. On physical exam you note bumps in the skin of her neck that crackle when you push on them. What is causing her symptoms.
Lacerations of the esophageal mucosa puts her at risk for Boerhaave syndrome. This syndrome is characterized by rupture of the esophagus that allows air to enter the mediastinum. Air gets into the fascial planes of the subcutaneous tissue and often travels up to the neck, causing subcutaneous emphysema.
A 37 year old woman presents with painless hematemesis. She has a history of alcohol abuse. What is causing her condition?
Rupture of esophageal varices is the most common cause of death in people with liver cirrhosis. Portal hypertension causes blood back up in the lower submucosal esophageal veins. When they rupture, they do not stop bleeding because these patients are not producing coagulation factors due to liver disease.
A 45 year old man presents with dysphagia when swallowing solid food and liquids. His breath is putrid. He is sent for a barium swallow CT and the results are shown below. What is causing his condition?

Achalasia. This patient has damage to the ganglion cells of the myenteric plexus. This results an inability to relax the esophageal sphincter and loss of peristalsis, resulting in dysphagia, food piling up and putrid breath.

A 45 year old man presents with dysphagia when swallowing solid food and liquids. His breath is putrid. He is sent for a barium swallow CT and the results are shown below. What are the most common causes of this condition?

He has achalasia. Most common causes are idiopathic and Chagas disease (virus damages myenteric ganglion).