What is the landmark that divides the oropharynx from the hypo pharynx?
Hyoid bone.
What pharyngeal muscle is found near the epiglottis?
Middle constrictor.

What structures are indicated in the image?

To = base of tongue, E= epiglottis, V= volleculae, A= aryepiglottic folds, P= pyriform recesses. H= hypopharynx, L = larynx, HB = hyoid bone
What causes barium to stop on the left side of the image?

Epiglottis
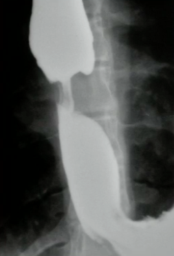
What is your diagnosis in this patient who presented with heart burn?

Sliding hiatal hernia. Note that the mucosal ring is > 2 cm superior to the diaphragm.
Where will you see thickening of gastric rugae?
In the antrum of the stomach.

4 parts of the duodenum, which parts are retroperitoneal?
1) Bulb 2) Descending 3) Horizontal 4) ascending. Parts 3 and 4 are retroperitoneal.

What is your diagnosis?

Note the large thickened areas at the base of the tongue, indicating lymphoid hyperplasia.
What is your diagnosis?

Lateral pharyngeal pouches from weakening in the mucosa. These can eventually become diverticula and present with halitosis.
What is your diagnosis?

There is a mass blocking flow of the barium during the swallow indicating a filling defect. This is a large squamous cell carcinoma.
What could be causing the asymmetry seen on the right side of the image shown below?

It is a slight filling defect, it could be an early carcinoma.

What could be causing the sign shown below?

An advanced carcinoma. Note the multiple filling defects with ulcerations.

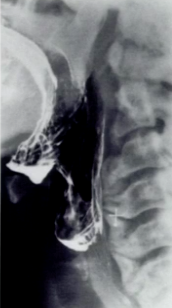
What causes this?

Weakness of muscular layer (cricopharyngeaus) in the esophagus that allows mucosa to protrude through and form a Zenker Diverticulum.
What type of diverticulum originates inferior to the cricopharyngeus?

Killian-Jaimeson Diverticulum
What causes this type of diverticulum?

Granulomatous disease or radiation of the chest cause a diverticulum of all layers of the wall (traction diverticulum). These will still clear food.
What is your diagnosis of this image of the esophagus?

Epiphrenic diverticulum. These are often associated with reflux and are located near the GE junction.
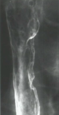
What could cause this?

Pseudodiverticulosis. This is a result of chronic inflammation or irritation of the submucosal glands that causes tiny outpouchings.
What causes a shaggy esophagus?

HIV patients with oral thrush and candidiasis cause these pseudodiverticula.
What is your diagnosis?

Schatzki ring. Normally you give a 13mm ring and if that cannot pass they need to be dilated.
What is your diagnosis?

Reflux esophagitis. Note the multiple tiny ulcerations.
What are these all signs of?

Fixed transverse folds, feline esophagus and tertiary waves are all associated with reflux esophagitis or eosinophilic esophagitis.
Why do you keep an eye on this condition?

This is Barrett esophagus. It is precancerous.
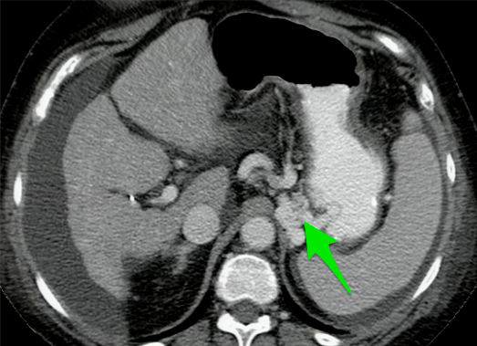
What is your diagnosis in this patient with liver disease?

Uphill varices. Note the serpigineous nodularity in the distal esophagus. This is a result of portal hypertension

What is your diagnosis in this patient who presented with no history of liver disease or alcohol abuse?

Varicoid carcinoma. These look like varices, but aren’t.